阿摩線上測驗
登入
首頁
>
獸醫實驗診斷學
> 97年 - 97-2 專技高考_獸醫師:獸醫實驗診斷學#42464
97年 - 97-2 專技高考_獸醫師:獸醫實驗診斷學#42464
科目:
獸醫實驗診斷學 |
年份:
97年 |
選擇題數:
80 |
申論題數:
0
試卷資訊
所屬科目:
獸醫實驗診斷學
選擇題 (80)
1.測定血中之葡萄糖或碳水化合物時,最佳的抗凝劑為: (A)EDTA (B)heparin (C)citrates (D)sodium fluoride
2.以繃帶吸取靜脈血,風乾後裝入試管密封輸送,並於包裝外面標明可疑病名,是要送檢下列何種疾病之病材? (A)黑腿病(black leg) (B)炭疽(anthrax) (C)惡性水腫(malignant edema) (D)邊蟲病(anaplasmosis)
3.下列有關淋巴球之敘述何者正確?1.壽命長短差異甚大2.僅約一半之淋巴球存在血中,其餘分布於淋巴組織3.循環血中者多為T淋巴球 4.某些淋巴球具有分裂增數及轉變成活性淋巴球之能力 (A)123 (B)124 (C)134 (D)234
4.myelomonocytic leukemia(M4)這種血液性疾病較少發生於那一種動物? (A)貓 (B)狗 (C)馬 (D)豬
5.chronic granulocytic leukemia(CGL)主要是那一種血球細胞的增生? (A)嗜中性球 (B)單核球 (C)淋巴球 (D)紅血球
6.下列何種止血障礙疾病是缺乏凝血第 XI 因子所致? (A)A 型血友病 (B)B 型血友病 (C)C 型血友病 (D)封魏氏病
7.運鐵蛋白有多少結合處可與鐵結合? (A)全部 (B)1/2 (C)1/3 (D)1/5
8. 何種動物之淋巴肉瘤(lymphosarcoma)與白血病病毒之感染有關? (A)貓 (B)狗 (C)馬 (D)豬
9. polycythemia vera 的細胞來源是: (A)紅血球 (B)嗜中性球 (C)單核球 (D)淋巴球
10. 動物罹患 essential thrombocythemia 時,其血小板數值通常為多少 103/μL? (A)200-500 (B)600-800 (C)<200 (D)>1000
11.下列有關抗球蛋白抗體試驗之敘述何者正確?1.直接試驗陽性,代表病畜紅血球上有抗球蛋白抗體2.間接試驗適用於檢出新生仔畜型紅血球溶解作用.3已用醣皮質酮治療1週以上者可能會出現假陽性反應4.陰性代表病畜之貧血不是免疫媒介性 (A)12 (B)23 (C)24 (D)34
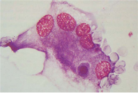
12.下圖賴特-任查(Wright-Giemsa)染色骨髓抹片中之大細胞最可能是下列何者?
(A)破骨細胞(osteoclast) (B)前巨核球(promegakaryocyte) (C)造骨胚細胞(osteoblast) (D)巨噬細胞(macrophage)
13.下列有關顆粒球生成素之敘述何者正確?1.可由T淋巴球分泌2.可由纖維胚細胞分3.可由內皮細胞分泌4.此因子之濃度決定分化成嗜中性球或紅血球 (A)123 (B)124 (C)134 (D)234
14.下列何者為凝血酶之受質?
①
凝血因子 I
②
凝血因子 V
③
凝血因子 VIII
④
凝血因子 XIII (A)① ② ③ (B)① ② ④ (C)① ③ ④ (D)② ③ ④
15.下列有關緊迫性淋巴球減少症之敘述何者正確? (A)緊迫之立即效果為循環淋巴球再分佈 (B)緊迫之較長期作用是骨髓和淋巴結之淋巴球被溶解 (C)功能性 T細胞最易被溶解,故會影響免疫功能 (D)骨髓快速停止淋巴球族群形成單位之分裂
16.有一骨髓抹片之紅血球胚細胞數少於50%,有疑問之胚細胞數占有核細胞總數(all nucleated cells;ANC)之30%以上,且過氧化酶染色(peroxidase stain)陽性者占總胚細胞數之3%以下。此病例應分類為: (A)骨髓異形成症候群(myelodysplastic syndrome) (B)紅血球系白血病(erythroleukemia) (C)急性淋巴胚細胞性白血病(acute lymphoblastic leukemia) (D)白血病樣反應(leukemoid reaction)
17.血液中鐵之輸送,須與下列何者之運鐵蛋白結合? (A)ε-球蛋白 (B)α-球蛋白 (C)β-球蛋白 (D)γ-球蛋白
18.血紅質(heme)合成過程中的數種酵素反應,可被下列何者所抑制? (A)鐵 (B)銅 (C)鈷 (D)鉛
19.下列那種家畜在增加有效之顆粒球形成作用時,有較高骨髓球階段的損耗率? (A)牛 (B)豬 (C)犬 (D)貓
20.檢測凝血因子之血液樣本應採用何種抗凝血劑? (A)Na-citrate (B)Li-heparin (C)Na-EDTA (D)NaF
21.缺乏下列何種徑路之酶或氧化物質太多時,會形成海因滋小體(Heinz bodies)及招致貧血? (A)己醣—一磷酸鹽徑路(hexose-monophosphate pathway) (B)盧拉徑路(Luebering-Rapoport pathway) (C)變性血紅素還原酶徑路(methemoglobin reductase pathway) (D)衛—梅徑路(Embden-Meyerhof pathway)
22. 下列何者是由相同之族群形成單位(CFU)而來? (A)嗜中性球及嗜酸性球 (B)嗜中性球及單核球 (C)紅血球及血小板 (D)嗜中性球及嗜鹼性球
23. 下列那項凝血因子不屬於凝血路徑之共同系統(common pathway)? (A)I (B)II (C)V (D)VII
24.下列何者將參與鐵的運送,同時與血紅素合成之輔因子有關? (A)錫 (B)銅 (C)鈷 (D)鋅
25.網狀球於骨髓中之滯留時間為多少小時? (A)12~24 (B)48~72 (C)96~120 (D)144~168
26.健康犬隻的血小板在血中之壽命平均約幾天? (A)1 (B)5 (C)10 (D)15
27.下列何種病毒性疾病最易引起組織需求性嗜中性球增多症? (A)貓白血病病毒 (B)豬瘟 (C)牛傳染性鼻氣管炎 (D)犬傳染性肝炎
28.生理性白血球相不會出現下列那種情況? (A)輕度嗜中性球增多症 (B)淋巴球減少症 (C)嗜中性球核左轉 (D)嗜酸性球減少症
29.下列那項凝血功能之疾病發生,遺傳之因素可能性較低? (A)散播性血管內凝血症候群(DIC) (B)factor VIII 之缺乏 (C)封魏氏病(von Willebrand’s disease) (D)factor IX 之缺乏
30.下列何種內泌素或激素不會使紅血球之形成作用增加? (A)紅血球生成素(erythropoietin) (B)雄性素(androgen) (C)被活化之T 淋巴球所分泌之介白素3(interleukin-3, IL-3) (D)動情素(estrogen)
31.貓之多血症常屬於下列何者? (A)相對性多血症 (B)暫時性多血症 (C)繼發性絕對性多血症 (D)原發性絕對性多血症
32. 血液樣本採集之後,置放於室溫,血糖會因為 glycolysis 而大約每小時降低多少%? (A)3 (B)10 (C)20 (D)30
33.下列那些細胞並不一定需要 insulin 的作用才能利用代謝 glucose?1.erythrocytes 2.neurons 3.muscle cells 4.renal tubular epithelial cells 5.hepatocytes (A)123 (B)124 (C)125 (D)245
34.那些血液中的值可用來顯示長期有高血糖的現象?1.fructosamine 2.hemoglobin A1c 3.glycoalbumin 4.glucose (A)123 (B)124 (C)234 (D)134
35. 下列何者會引起不良蛋白血症(dysproteinemia),且其 A/G 比可能在正常範圍內? (A)大量排出滲出液 (B)駒免疫不全病(severe combined immunodeficiency disease;SCID) (C)類風濕性關節炎(rheumatoid arthritis) (D)缺γ-球蛋白血症(agammaglobulinemia)
36.下列何種物質大量存在於血中時,血液會呈蕃茄汁狀混濁? (A)運鐵素 (B)球蛋白 (C)乳糜微粒 (D)血紅素結合素
37.某犬血漿蛋白質量為 8.0 g/dL,血漿纖維素原量為 500 mg/dL,其正確 PP/F 值為: (A)10 (B)35 (C)50 (D)16
38. 測定下列何者時,血液可用氟化鈉(NaF)抗凝,以免其檢測值假性升高? (A)氨(ammonia) (B)葡萄糖(glucose) (C)酮體(ketone) (D)乳酸鹽(lactate)
39.何種動物有急性壞死性胰臟炎時,容易出現高血脂症的現象? (A)羊 (B)狗 (C)牛 (D)馬
40.血清膽固醇量與甲狀腺功能通常呈下列何種變化? (A)平行增減 (B)正相關 (C)負相關 (D)無相關性
41. 急性期蛋白質(acute phase protein)的合成最主要受那一種細胞激素(cytokine)的控制? (A)IL-1 (B)IL-2 (C)IL-10 (D)IL-12
42.血清酵素中屬於反芻動物肝病診斷上指標的肝特異性酵素是下列何者? (A)天門冬酸鹽轉氨酶(AST) (B)氨基丙酸轉氨酶(ALT) (C)鳥氨酸轉碳醯酶(OCT) (D)麩氨酸鹽脫氫酶(GLDH)
43.下列那種測試一定要用肝素抗凝,其他抗凝劑易得到假高值? (A)血氯 (B)血氨 (C)血糖 (D)膽固醇
44.某病犬其血清氨基丙酸轉氨酶(ALT)之活性高值於每2~4天減少50%,而其阿金胺酸酶(arginase)活性由高值恢復正常,此代表何種臨床意義? (A)肝病預後不良 (B)肝病轉呈慢性 (C)肝病預後良好 (D)肝病持續中
45.尿中尿膽素原減少與下列何種情況最為有關? (A)脫水 (B)溶血 (C)口服抗生物質致腸內細菌劇減 (D)隨膽汁排泄之尿膽素原量增加
46.血清酵素測定用之血液,原則上應於採血後多少分鐘內分離血清?並於多少小時內完成活性值測定? (A)30 分鐘內分離血清,5 小時內完成測定 (B)30 分鐘內分離血清,8 小時內完成測定 (C)60 分鐘內分離血清,2 小時內完成測定 (D)60 分鐘內分離血清,4 小時內完成測定
47.下列何者不是高血清鹼磷酶活性之原因? (A)膽汁鬱滯 (B)胃腸炎 (C)胰炎 (D)嗜酸性球肌炎
48. 口服 D-xylose 試驗時,正常犬隻的反應是在口服幾分鐘之後,在血液中檢測到 D-xylose? (A)10-20 (B)60-90 (C)110-130 (D)150-170
49. 維生素葉酸鹽(folate)只會在那部分的腸道被吸收? (A)proximal small intestine (B)distal small intestine (C)diffuse small intestine (D)colon
50.糞便以蘇丹 III 染色,若有橘黃色或紅色、圓形且大小不一之物質出現,可能為下列何者? (A)蛋白質 (B)澱粉 (C)中性脂肪 (D)脂肪酸
51. 下列何者於小腸內由腸激酶(enterokinase)活化? (A)胰蛋白酶原(trypsinogen) (B)乳糜胰蛋白酶原(chymotrypsinogen) (C)羧基多胜分解酶原 A(procarboxypeptidase A) (D)羧基多胜分解酶原 B(procarboxypeptidase B)
52. 一隻 5 歲阿富汗犬近 3 個月來體重減輕,但食慾並未減少,大便量多且較軟,為其作脂肪吸收試驗為陰性,再餵食拌入胰臟消化酶之脂肪食物,2 小時後血漿呈混濁,此試驗結果判讀為: (A)腸管吸收不良 (B)胰功能不足 (C)膽汁不足 (D)瀰漫性腸病
53.當肌肉傷害停止時,血清中肌氨酸激酶(CK)活性值在幾小時內可恢復正常值? (A)48 (B)72 (C)96 (D)120
54.下列血清酵素,那一項最適合用來評估犬貓肌肉細胞的變性或壞死? (A)肌氨酸激酶(CK) (B)鹼磷酶(ALP) (C)山梨醇脫氫酶(SDH) (D)氨基丙酸轉氨酶(ALT)
55. 乳酸鹽脫氫酶(LDH)的異構酶 LDH 1,主要是存在大部分動物的那個器官? (A)骨骼 (B)小腸 (C)脾臟 (D)心臟
56.野獸之捕捉性肌病,其尿檢可發現下列何者? (A)低比重尿 (B)脂肪滴 (C)肌紅素尿 (D)亞硝酸鹽
57.米格魯犬(beagle)常見的家族遺傳性慢性腎衰竭的疾病為下列何者? (A)類澱粉樣沉澱(amyloidosis) (B)多發性腎臟囊腫(polycystic kidneys) (C)水腎(hydronephrosis) (D)腎發育不全(renal dysplasia)
58.當犬隻尿液之尿渣檢查結果,高倍視野下可見到3~5個扁平上皮細胞、3~4個紅血球、與3~4個白血球時,應判讀為下列何者? (A)腎盂腎炎 (B)下泌尿道結石 (C)下泌尿道感染 (D)無異常
59.以尿液試紙檢測有無潛血,是利用血紅素具有過氧化酶可氧化下列何種物質呈藍色反應的原理? (A)甲苯胺(O-toluidine) (B)對胺苯酸(para-amino-benzoic acid; PABA) (C)硝基氫氰酸鹽(nitroprusside) (D)硫酸銅
60. 犬由 20 分鐘之尿量以及尿中和血中之肌酸酐濃度可用來評估腎臟之何種功能? (A)異物排泄功能 (B)濃縮能力 (C)腎絲球體濾過速率 (D)稀釋能力
61.引起偽高副甲狀腺功能症之最主要腫瘤為: (A)乳腺癌 (B)鼻腔腺癌 (C)淋巴肉瘤(lymphosarcoma) (D)扁平細胞癌
62.親甲狀腺釋放激素刺激試驗為注射多少小時後採血測定投藥後之血清總 T4/T3 值? (A)2 (B)4 (C)6 (D)8
63.動物罹患低甲狀腺功能症時,約 2/3 病例之血清膽固醇量呈下列何種變化? (A)增加 (B)正常無改變 (C)降低 (D)不一定
64.血鎂值之異常主要發生於下列何者? (A)狗 (B)貓 (C)反芻獸 (D)馬
65.3 月齡以下正常幼犬 T4 值為成犬之幾倍? (A)1/4 (B)1/2 (C)1~1.5 (D)2~5
66.犬隻醫源性庫興氏症候群於進行 ACTH 刺激試驗後,其血清可體素值最有可能為多少nmol/L?(正常值:刺激前 20-250 nmol/L;刺激後 200-450 nmol/L) (A)小於 20 (B)80~120 (C)250~350 (D)大於 600
67. 臨床上測定電解質之陰離子差計算法,是指那些離子與(Cl-+HCO3-)之差額? (A)鈉、鉀 (B)鈉、鎂 (C)鈉、鈣 (D)鉀、鈣
68.試劑處理不當造成檢驗樣品中HCO3-量的減少,則陰離子差會有下述何種變化? (A)正常無變化 (B)增加 (C)假性增加 (D)降低
69.代謝性鹼中毒未代償時,下列何者正常? (A)血液 pH (B)PaCO2 (C)HCO3 (D)HCO3-/H2CO3
70.酸鹼不平衡之實驗室檢查結果為 pH<7.36 , PaCO2<36 mmHg ,血漿 HCO3-激烈降低時,分類上屬於下列何種酸鹼不平衡? (A)代謝性酸中毒 (B)代謝性鹼中毒 (C)呼吸性酸中毒 (D)呼吸性鹼中毒
71.健康動物之 HCO3-/H2CO3 比約為多少? (A)10:1 (B)20:1 (C)30:1 (D)40:1
72.下列那種原因不會出現高血鉀症之現象? (A)糖尿病併發酮體症 (B)艾地遜病(Addison’s disease) (C)庫興氏症候群(Cushing’s syndrome) (D)貓下泌尿道症候群引起之尿路阻塞
73. 維持 extracellular fluid 之滲透力,主要靠下列何種離子? (A)鈉 (B)鉀 (C)鈣 (D)鎂
74.使用庫倫計滴定法(Coulombmetric titration)測定電解質時,若有何種情況,可能出現假性低值? (A)溶血 (B)低蛋白血症 (C)高蛋白血症 (D)凝血障礙
75.Type III 免疫媒介多發性關節炎,通常伴隨有下列何者? (A)腫瘤 (B)胃腸道疾病 (C)呼吸道疾病 (D)凝血異常
76.隱球菌感染的腦脊髓液細胞分類,以下列何者佔多數? (A)嗜中性球 (B)淋巴球 (C)嗜酸性球 (D)單核球
77.Pandy 試劑用於測定腦脊髓液中何種主要成分? (A)電解質 (B)脂質 (C)葡萄糖 (D)蛋白質
78.若腦脊髓液中蛋白質濃度增加,而其葡萄糖含量與血糖值之比率下降、白血球數增加,可能是下列何種原因? (A)化膿性感染症 (B)病毒性感染症 (C)急性低血氧症 (D)維生素 B1 缺乏症
79.下列何者不是正常關節囊液之主要有核細胞? (A)淋巴球 (B)漿細胞 (C)單核球 (D)巨噬細胞
80. antinuclear antibody(ANA)是一種免疫球蛋白,與 SLE 有關,其檢測法使用下列何者? (A)PCR 法 (B)ELISA 法 (C)間接免疫螢光反應法 (D)電泳法
申論題 (0)
相關試卷
114年 - 114 公務升官等考試_薦任_獸醫:獸醫實驗診斷學#133104
114年 · #133104
114年 - 114 專技高考_獸醫師:獸醫實驗診斷學#128956
114年 · #128956
113年 - 113 專技高考_獸醫師:獸醫實驗診斷學#121658
113年 · #121658
112年 - 112 專技高考_獸醫師:獸醫實驗診斷學#115900
112年 · #115900
111年 - 111 專技高考_獸醫師:獸醫實驗診斷學#109869
111年 · #109869
110年 - 110 公務升官等考試_薦任_獸醫:獸醫實驗診斷學#103460
110年 · #103460
110年 - 110 專技高考_獸醫師:獸醫實驗診斷學#99943
110年 · #99943
109年 - 109-2 專技高考_獸醫師:獸醫實驗診斷學#89192
109年 · #89192
109年 - 109-1 專技高考_獸醫師:獸醫實驗診斷學#82796
109年 · #82796
108年 - 108 公務升官等考試_薦任_獸醫:獸醫實驗診斷學#80365
108年 · #80365