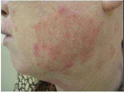
7. 一位33歲男性,今年7月間,突然發生如圖所示之皮膚紅疹,日曬後會更紅更癢。詢問用藥史,他過去2年內規則服用captopril, hydrochlorothiazide, and amiloride;近二週他因高血脂症而服用fenofibrate,請問最可能的診斷是:
(A) systemic lupus erythematosus (B) Sun burn (C) Photosensitivity due to hydrochlorothiazide (D) Photosensitivity due to fenofibrate (E) Dermatomyositis