阿摩線上測驗
登入
首頁
>
呼吸疾病學
> 98年 - 98-1 專技高考_呼吸治療師:呼吸疾病學#37008
98年 - 98-1 專技高考_呼吸治療師:呼吸疾病學#37008
科目:
呼吸疾病學 |
年份:
98年 |
選擇題數:
80 |
申論題數:
0
試卷資訊
所屬科目:
呼吸疾病學
選擇題 (80)
1. 聽診器檢查之肺部音 rhonchi 表示: (A) 低音調連續音 (B) 高音調連續音 (C) 低音調間斷音 (D) 高音調間斷音
2. 下列何者不是 pursed-lip breathing 的生理效應? (A) 可以抗衡呼吸道的 dynamic compression (B) 可以抗衡呼吸道的 auto-PEEP (C) 可以減少 air trapping (D) 可以減少 anatomic deadspace
3. 下列有關發紺(cyanosis)之敘述,何者錯誤? (A) 一氧化碳中毒,不會出現發紺 (B) 膚色呈現發紺顏色時,通常血液中未與氧氣結合之血紅素超過 5 gm/dL 以上 (C) 如果病人血液中含有變性血色素(methemoglobinemia),皮膚也容易呈現發紺顏色 (D) 嚴重貧血時,也很容易呈現發紺顏色
4. 評估加護病房病人的病況嚴重度,下列那一項比較常使用? (A) APACHE II score (B) St. George's respiratory questionnaire (C) Karnofsky performance scale (D) Borg's dyspnea scale
5. 肺心症併右心衰竭時,較少出現那一項變化? (A) 小腿水腫 (B) 頸靜脈曲張 (C) 肺動脈高壓 (D) 肺水腫
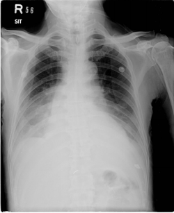
6. 下圖之胸部 X 光片,其 cardiothoracic ratio 約為多少?
(A)10.0~29.9% (B) 30.0~49.9%(C)50.0~69.9% (D)70.0~89.9%
7. 氣喘的階梯式治療,何種等級以上須使用吸入型類固醇藥物? (A) 輕度間歇性 (B) 輕度持續性 (C) 中度持續性 (D) 重度持續性
8. 氣喘若控制不好,往往造成呼吸道不可回復性的傷害,其呼吸道病理變化不包括下列何 者? (A) 平滑肌增生 (B) 血管增生 (C) 鱗狀上皮化生(metaplasia) (D) 上皮細胞基底層變厚
9. 下列何者不是氣喘早期過敏原反應中較重要之介質? (A) Leukotriene (B) Histamine (C) Interleukin-6 (D) 血小板活化因子(PAF)
10. 下列藥物中,何者不是氣喘患者的控制藥物(controller)? (A) Anticholinergic (B) Leukotriene 抑制劑 (C) Anti-IgE antibody (D) Cromones
11. 下列何者為使用抗膽鹼類藥物(anticholinergics)治療慢性阻塞性肺病患者可能出現的副 作用? (A) 心跳加速 (B) 手抖 (C) 口乾 (D) 血鉀下降
12. 下列何種細胞激素與支氣管氣喘最有關? (A) TNF-α (B) Interferon-α (C) TGF-α (D) Interleukin-5
13. 關於肺心症的致病機轉,下列何者錯誤? (A) 左心室肥大造成肺高血壓 (B) 動脈血氧下降造成肺高血壓 (C) 紅血球增生症,導致血液黏稠度增加 (D) 慢性阻塞性肺病是常見的病因
14. 下列有關茶鹼類(theophylline)藥物的敘述何者錯誤? (A) 支氣管擴張的效果較吸入型乙型交感神經刺激劑差 (B) 可降低肺血管阻力 (C) 可增進橫膈肌的收縮力和耐力 (D) 容易產生耐受性現象(tachyphylaxis)
15. 下列何者不是慢性咳嗽最常見的原因之一? (A) 單純肺氣腫 (B) 鼻涕倒流 (C) 氣喘 (D) 胃食道逆流
16. 下列氣喘之治療藥物中,何者會有口腔念珠菌感染之副作用? (A) Aminophylline (B) Beclomethasone (C) Ipratropium bromide (D) Montelukast
17. 氣喘患者接受支氣管激發試驗可以了解其呼吸道敏感性。利用 methacholine 某濃度刺激 後,患者用力第一秒吐氣量(FEV
1
)比未刺激前下降 20%,此濃度稱為: (A) PD
20
(B) PC
20
(C) PE
20
(D) PT
20
18. 有關氣喘病患肺功能檢查結果之敘述,下列何者最正確? (A) 功能性剩餘容積(FRC)通常會下降 (B) 剩餘容積與全肺容積之比值(RV/TLC)通常會下降 (C) 一氧化碳瀰散係數(DLco)通常正常或稍增加 (D) TLC 通常會下降
19. 某 30 歲男性氣喘急性發作,呼吸急促,尖峰吐氣流速為其最佳值的 65%。檢查結果最 有可能是下列何者?(FiO2=0.21) (A) pH 7.40,PaCO
2
40 mm Hg,PaO
2
98 mm Hg (B) pH 7.25,PaCO
2
32 mm Hg,PaO
2
80 mm Hg (C) pH 7.28,PaCO
2
55 mm Hg,PaO
2
75 mm Hg (D) pH 7.43,PaCO
2
32 mm Hg,PaO
2
70 mm Hg
20. 慢性阻塞性肺病其致病機轉(pathogenesis),下列敘述何者錯誤? (A) Alpha1 protease inhibitor(API)缺乏症與慢性支氣管炎有關 (B) 與環境污染有關 (C) 與遺傳因子有關 (D) 與 oxidant-antioxidant 不平衡有關
21. 下列有關戒菸的方法及其成效的敘述,何者錯誤? (A) 可採用尼古丁補充治療(nicotine replacement therapy) (B) 若配合行為治療(behavior modification)可增加成效 (C) Bupropion 可增加戒菸成效 (D) 採用綜合藥物,行為治療等方法戒菸成效一年可達 50%
22. 下列有關慢性阻塞性肺病者接受藥物治療的敘述,何者錯誤? (A) 口服茶鹼(theophylline)合併吸入乙型交感神經刺激劑對於氣管擴張有加成效果 (B) 口服茶鹼(theophylline)類藥物宜由低劑量開始 (C) 年齡大於 60 歲患者使用茶鹼(theophylline)類藥物易產生副作用 (D) 心臟衰竭病患使用茶鹼(theophylline)類藥物不須調整劑量
23. 關於吸菸與慢性阻塞性肺病的關聯,下列敘述何者錯誤? (A) 吸菸者之肺功能檢查,顯現阻塞性肺功能障礙 (B) 吸菸者肺部病理變化,出現氣道阻塞和慢性氣管炎變化 (C) 吸菸可出現慢性咳嗽,慢性咳痰等症狀 (D) 吸菸者約 30%會出現肺功能快速惡化現象
24. 下列何者不是慢性阻塞性肺病較常見的併發症? (A) 氣胸 (B) 肺心症 (C) 肺炎 (D) 肺栓塞
25. 下列何者不是慢性咳嗽的原因? (A) 胃食道逆流 (B) 氣喘 (C) 鼻涕倒流 (D) 細菌性肺炎
26. 下列何者是輕度持續氣喘(mild persistent asthma)的首選治療藥物? (A) 低劑量口服類固醇 (B) 低劑量吸入類固醇 (C) 短效吸入β
2
-agonist (D) 高劑量吸入類固醇
27. 下列有關復發性多發軟骨炎(relapsing polychondritis)的敘述,何者錯誤? (A) 會併發鞏膜炎、關節炎 (B) 只會影響氣管,不會影響支氣管 (C) 會發生窒息 (D) 可合併耳、鼻軟骨炎
28. 有關 Pseudomonas aeruginosa 感染之敘述,下列何者錯誤? (A) 為社區性肺炎常見之病原菌 (B) 可在病人氣管切開洞口培養出來 (C) 可在醫療人員口腔黏膜培養出來 (D) 可在醫院使用之肥皂水培養出來
29. 一位 28 歲男性,因持續三星期發燒(38℃)來診,伴隨咳嗽無痰,走路會呼吸困難, 於急診之胸部 X 光發現兩側下肺葉輕微浸潤,口腔有念珠菌感染(candidiasis),血中 CD4 淋巴球<200 cells/μL,最有可能之診斷為何? (A) 綠膿桿菌肺炎(pseudomonas aeruginosa pneumonia) (B) 卡氏肺囊蟲肺炎(pneumocystic carinii pneumonia) (C) 隱球菌肺炎(cryptococcus neoforman pneumonia) (D) 肺結核(pulmonary tuberculosis)
30. 感染流行性感冒病毒(Influenza virus)會導致病患之身體防禦機轉受損,易產生次發性 細菌感染,最常見之病原菌為何? (A) Haemophilus influenzae (B) Pseudomonas aeruginosa (C) Streptococcus pneumoniae (D) Mycoplasma pneumoniae
31. 肺結核患者給予抗肺結核藥物治療後,有關藥物副作用之敘述,下列何者錯誤? (A) Isoniazid(INH)→ hepatitis (B) Rifampin(RIF)→ thrombocytopenia (C) Pyrazinamide(PZA)→ hyperuricemia (D) Ethambutol(EMB)→ peripheral neuritis
32. 有關院內感染型肺炎(nosocomial pneumonia, hospital-acquired pneumonia)之敘述,下 列何者正確?①住院兩天(48 小時)後才發生之下呼吸道感染 ② Pseudomonas aeruginosa 為常見之病原菌種 ③加護病房患者發生之院內感染型肺炎,死亡率可達 70% ④只有發生在呼吸器使用之患者 (A) ①②③④ (B) 僅①②③ (C) 僅②③④ (D) 僅①③④
33. 一位 65 歲男性,胸痛住院,因呼吸衰竭予以氣管內管插管,住加護病房使用呼吸器, 插管第四天後,病患痰液變黃且量多,同時有發燒現象,胸部 X 光發現右下肺浸潤,此 時診斷為肺炎,安排支氣管鏡檢採樣,最有可能檢驗出之病原菌為何?① Staphylococcus aureus ② Acinetobactor baumannii ③ Enterococcus ④ Mycoplasma pneumoniae (A) ①② (B) ①③ (C) ②④ (D) ①④
34. 下列菌種中,何種是典型、急性社區型肺炎(typical, acute community-acquired pneumonia) 之常見病原菌?① Streptococcus pneumoniae ② Haemophilus influenzae ③ Moraxella catarrhalis ④ Legionella pneumophila ⑤ Mycoplasma pneumoniae (A) ①②③④⑤ (B) 僅①②③④ (C) 僅①②③ (D) 僅③④⑤
35. 一位 32 歲男性,因發燒畏寒現象(38℃)來診,伴隨咳嗽,急診胸部 X 光發現左下肺 浸潤,血液檢驗:白血球:3500 cells/mm3- 96% neutrophils、4% lymphocytes,血液培養: Streptococcus pneumoniae;給予 penicillin 治療後,仍持續發燒,理學檢查,發現身體有 許多針孔,才知為海洛因成癮者,接下來該如何處置? (A) 繼續使用抗生素 (B) 給予退燒藥即可 (C) 給予氧氣治療 (D) 應檢測 HIV(Human immunodeficiency virus),診斷患者是否為免疫不全者
36. 下列對於吸入性抗感染藥物之敘述,何者錯誤? (A) 吸入性 pentamidine 可作為 HIV 感染病患之 Pneumocystic carinii 之預防性治療 (B) 吸入性 ribavirin 主要用於住院病患感染嚴重之 Respiratory syncytial virus(RSV)之急性 治療 (C) 在囊性纖維化(cystic fibrosis)病患,吸入性抗生素(aminoglycoside)主要針對綠膿桿 菌(Pseudomonas aeruginosa) (D) 吸入性 ribavirin 主要用於 influenza 之急性治療
37. 下列何者較不需要利用支氣管鏡檢查(bronchoscopy)採取呼吸道檢體? (A) 嚴重危及生命之社區型肺炎(community-acquired pneumonia) (B) 免疫不全患者之社區型肺炎(community-acquired pneumonia) (C) 呼吸器使用患者之院內感染型肺炎(hospital-acquired pneumonia) (D) 一般急性之社區型肺炎(community-acquired pneumonia)
38. 胸部 X 光片支氣管可顯示影像稱為 air bronchogram,下列敘述何者錯誤? (A) 有 air bronchogram sign 表示病灶在肺部 (B) 有 air bronchogram sign 表示可能為膿胸 (C) 肺炎 X 光片影像常可出現 air bronchogram (D) 肺癌阻塞呼吸道使肺泡支氣管內均充滿發炎細胞及滲出液,不會出現 air bronchogram
39. 下列何種疾病可能併發急性縱膈腔炎? (A) 急性胃炎 (B) 後咽部感染(retropharyngeal space infection) (C) 腎結石 (D) 腎小球腎炎(glomerulonephritis)
40. 下列何者不屬於不明原因性間質性肺疾(idiopathic interstitial pneumonia)? (A) 尋常性間質性肺炎(usual interstitial pneumonia)的組織學變化 (B) 類肉瘤病(sarcoidosis) (C) 淋巴球間質性肺炎(lymphocytic interstitial pneumonia) (D) 非特異性間質性肺炎(nonspecific interstitial pneumonia)
41. 下列何者不是瀰漫性肺泡損傷(diffuse alveolar damage)組織期(organizing phase)病理 切片所看見的現象? (A) 透明膜(hyaline membrane)逐漸吸收 (B) 第 II 型肺泡上皮細胞增生 (C) 血清蛋白及紅血球滲入肺泡中 (D) 膠原纖維沈積
42. 有關不明原因性肺纖維化(idiopathic pulmonary fibrosis)的敘述,下列何者錯誤? (A) 若產生心血管併發症,大部分是造成右心衰竭 (B) 相較於一般民眾,不會有較高的機會得到肺癌 (C) 對於類固醇的治療,3 到 6 個月可評估其反應 (D) 肺移植是一種治療的選擇
43. 下列何種塵肺症,最易併發結核菌感染? (A) 矽肺病(silicosis) (B) 石綿症(asbestosis) (C) 重金屬肺病(hard metal disease) (D) 煤礦工人塵肺症(coal workers’ pneumoconiosis)
44. 下列何者可造成肺水腫? (A) 肺毛細血管壓太高 (B) 肺毛細血管壓太低 (C) 血漿蛋白質濃度太高 (D) 左心房壓力太低
45. 關於創傷病患之氣道處理原則,,下列敘述何者錯誤? (A) ATLS(advanced trauma life support)建議以 chin lift maneuver 小心打開呼吸道 (B) 鼻咽氣道(nasal airway)對於 cribriform plate 骨折病患不可使用 (C) 口咽氣道(oropharyngeal airway)對半昏迷(semiconscious)病患適合使用 (D) 可用手清除病患口咽中異物, 或以抽吸清除口咽部之血液及黏液
46. 下列何者不是胸腔創傷引起之乳糜胸(chylothorax)需早期手術治療之適應症? (A) 每日引流超過 500 mL (B) 形成多袋性(loculated)乳糜胸 (C) 纖維蛋白(fibrin)多,致使乳糜胸無法完全引流 (D) 肺無法膨脹
47. 有關胸腔創傷引起之乳糜胸(chylothorax)之治療,下列敘述何者正確? (A) 減少飲食中之脂肪含量,或增加長鏈三酸甘油脂成分 (B) 可進行全靜脈營養(total parenteral nutrition) (C) 可插胸管引流乳糜胸,但胸管引流對胸小管(thoracic duct)之癒合並無幫助 (D) 在移除胸管前,需持續投予低脂飲食以免乳糜胸再生
48. 有關創傷引起之連枷胸(flail chest),下列敘述何者錯誤? (A) 病患會有通氣不足(hypoventilation)現象 (B) 病患若有低血氧現象,需考慮是否有肺挫傷(contusion) (C) 約有 20~40%病患在急診需插氣管內管 (D) 不可給予止痛治療,以免肺蹋陷(collapse)
49. 外傷或是血胸之後感染合併出現的膿胸,其中最常見的致病菌為: (A) S. pneumoniae (B) S. aureus (C) Anaerobes (D) Pseudomonas aeruginosa
50. 預防自發性氣胸再發常用的硬化劑(sclerosing agent)是: (A) 盤尼西林 (B) 四環黴素及其衍生物 (C) 紅黴素 (D) Bleomycin
51. Guillain-Barre syndrome 病人產生呼吸衰竭,需使用人工呼吸器,平均使用呼吸器的時間 約為? (A) 10~15 天 (B) 20~25 天 (C) 50~55 天 (D) 70~75 天
52. 有關肌肉強直性失養症(myotonic dystrophy)的敘述,下列何者正確? (A) 這是成人肌肉失養症(muscular dystrophy)中少見的一種疾病 (B) 這是一個體染色體隱性遺傳的肌肉疾病 (C) 主要是第 19 對體染色體出現異常 (D) 偶爾合併出現有呼吸睡眠障礙
53. 下列何者檢查結果代表呼吸的神經肌肉系統發生問題造成呼吸通氣不足症 (hypoventilation)? (A) (A-a)PO
2
不正常,最大吸氣和吐氣壓力(maximal inspiratory, expiratory pressure)下 降 (B) (A-a)PO
2
正常,最大吸氣和吐氣壓力(maximal inspiratory, expiratory pressure)下降 (C) (A-a)PO
2
不正常,最大吸氣和吐氣壓力(maximal inspiratory, expiratory pressure)正 常 (D) (A-a)PO
2
正常,最大吸氣和吐氣壓力(maximal inspiratory, expiratory pressure)正常
54. 肺癌家族聚集性基因危險因子研究中,下列何者是下代得到肺癌高危險因子? (A) 年紀大得到肺癌 (B) 不抽菸者得到肺癌 (C) 肺癌細胞型態為扁平細胞癌者 (D) 男性得到肺癌
55. 非小細胞肺癌合併惡性肋膜積液,在 TNM 分期中屬於: (A) T1 (B) T2 (C) T3 (D) T4
56. 下列何者不是抑癌基因(tumor suppressor gene)? (A) p53 (B) ras (C) RB (D) p16/INK4A
57. 好發於後縱膈腔(posterior mediastinum)的腫瘤是: (A) 淋巴瘤 (B) 畸胎瘤(teratoma) (C) 肺癌 (D) 神經瘤(neurogenic tumor)
58. 上腔靜脈阻塞(superior vena cava obstruction)時可能出現下列何種現象? (A) 腹水 (B) 肋膜積液 (C) 胸前與頸部出現皮下靜脈擴張 (D) 下肢靜脈擴張
59. 有關潘克斯特氏症候群(Pancoast’s syndrome),下列敘述何者錯誤? (A) 主要是由下肺葉的肺癌所引起 (B) 主要症狀包括有肩膀疼痛、胸痛 (C) 可以伴隨有霍納氏症候(Horner’s syndrome) (D) 常需使用放射線治療、化學治療及手術治療,方可控制病情
60. 肺癌引起高血鈣時,可能會引起何症狀或何變化?①噁心嘔吐 ②下痢 ③無力感 ④ 尿量減少 (A) ①② (B) ①③ (C) ②④ (D) ③④
61. 下列何種細胞型態的肺癌是最常發生在不抽菸的女性患者身上? (A) 腺癌 (B) 鱗狀細胞癌 (C) 小細胞癌 (D) 大細胞癌
62. 晚期非小細胞肺癌(non-small cell lung cancer)的存活預後因子最重要的是: (A) 體重下降 (B) 食慾下降 (C) 骨頭轉移 (D) 日常體能狀態
63. 經開刀作肺葉及淋巴腺切除,病理學檢查診斷為肺癌第一期之病患,其五年存活率約為 多少%? (A) 95% (B) 65% (C) 30% (D) <5%
64. 肺癌病患接受放射線治療後,引起放射性肺炎(radiation pneumonitis),通常是約放射線 治療後多久發生? (A) 一星期 (B) 六星期 (C) 六個月 (D) 一年
65. 肺癌治療,常用的化學治療藥物 cisplatin,其常見的副作用為: (A) 心臟毒性 (B) 腎臟毒性 (C) 肝臟毒性 (D) 肺臟毒性
66. 癌症病灶在自發性螢光氣管鏡下呈現何種顏色? (A) 紅 (B) 黃 (C) 綠 (D) 藍
67. Apnea 目前的定義為呼吸氣流停止超過幾秒? (A) 5 秒 (B) 10 秒 (C) 15 秒 (D) 20 秒
68. 有關睡眠呼吸中止症候群的治療,下列敘述何者錯誤? (A) 減輕體重無法顯著改善睡眠呼吸中止症候群的嚴重度 (B) 減輕體重可以降低睡眠陽壓呼吸器(CPAP)維持上呼吸道的壓力 (C) 減輕體重來治療睡眠呼吸中止症候群的最大挑戰為維持體重 (D) 身體的姿勢對 50%以上的病人的睡眠呼吸中止症候群的嚴重度有重要的影響
69. 下列何者與陽壓呼吸器治療的接受度有關? (A) 吐氣氣道壓力 (B) 性別 (C) 白天嚴重嗜睡改善程度 (D) 陽壓呼吸器之設定壓力
70. 阻塞型睡眠呼吸中止症候群以陽壓呼吸器治療時,需達到何種目標? (A) 進入第三、四期睡眠 (B) 沒有血氧低下發生 (C) 出現快速動眼期(REM) (D) 減少呼吸中止(apnea)或淺呼吸(hypopnea)
71. 阻塞型睡眠呼吸中止症候群(obstructive sleep apnea syndrome)未接受治療患者之呼吸 中止指數(apnea index)每小時大於幾次時,死亡率會顯著上升? (A) 5 次 (B) 10 次 (C) 15 次 (D) 20 次
72. 睡眠呼吸中止症候群所造成的睡眠片斷(sleep fragmentation),會造成慢波睡眠 (slow-wave sleep)的缺乏,下列那一項不是其相關之臨床表現? (A) 人格改變 (B) 白天嗜睡 (C) 夜晚頭痛 (D) 認知功能變差
73. 下列那一種治療不適合用於治療先天性橫膈膜疝氣? (A) 放鼻胃管 (B) 經由面罩給予陽壓呼吸 (C) 經由氣管內管給予陽壓呼吸 (D) 高頻呼吸器
74. 一位四歲的兒童最常用多少 mm 的氣管內管? (A) 3 (B) 4 (C) 5 (D) 6
75. 新生兒呼吸窘迫症候群(respiratory distress syndrome)有很多臨床表現,下列那一種最 不常見? (A) 呼吸次數加快 (B) 呼吸功增加 (C) 胸壁順應性(compliance)減少 (D) 心跳減慢
76. 下列何者不是發生嬰兒猝死症的高危險因子? (A) 早產 (B) 仰睡 (C) 男嬰 (D) 母親抽菸
77. 關於兒童咽後膿瘍(retropharyngeal abscess)之敘述,下列何者錯誤? (A) 常出現在小於三歲的兒童 (B) 容易造成呼吸道阻塞 (C) 最常見致病菌是大腸桿菌 (D) 聲音會有改變
78. 兒童有嚴重氣喘而使用呼吸器時,下列何者不適合使用? (A) 低潮氣容積 (B) 低 PEEP(positive end-expiratory pressure) (C) Permissive hypercapnia (D) 低呼吸次數
79. 兒童溺水之後,在前 24 小時最容易發生那一種呼吸問題? (A) 肋膜積液 (B) 肺膿瘍 (C) 肺出血 (D) 肺水腫
80. 下列何者不是三歲以下小兒較常見的社區性肺炎病原菌? (A) Chlamydia pneumoniae (B) Respiratory syncytial virus (C) Hemophilus influenzae type b (D) Streptococcus pneumoniae
申論題 (0)
相關試卷
114年 - 114-2 專技高考_呼吸治療師:呼吸疾病學#128957
114年 · #128957
113年 - 113 專技高考_呼吸治療師:呼吸疾病學#121654
113年 · #121654
112年 - 112 專技高考_呼吸治療師:呼吸疾病學#115892
112年 · #115892
111年 - 111 專技高考_呼吸治療師:呼吸疾病學#109878
111年 · #109878
110年 - 110 專技高考_呼吸治療師:呼吸疾病學#99947
110年 · #99947
109年 - 109-2 專技高考_呼吸治療師:呼吸疾病學#89156
109年 · #89156
109年 - 109-1 專技高考_呼吸治療師:呼吸疾病學#82803
109年 · #82803
108年 - 108-2 專技高考_呼吸治療師:呼吸疾病學#78196
108年 · #78196
108年 - 108-1 專技高考_呼吸治療師:呼吸疾病學#74600
108年 · #74600
107年 - 107-2 專技高考_呼吸治療師:呼吸疾病學#70409
107年 · #70409