所屬科目:牙醫學(四)(包括口腔顎面外科學、牙科放射線學等科目及其相關臨床實例與醫學倫理)
29.下列 4 張圖片是描述牙科局部麻醉注射時所使用的器材。在消毒結束後,依其使用步驟排列,正確次序為何? (A) ①→②→③→④ (B) ②→③→①→④ (C) ①→③→②→④ (D) ④→②→③→①
43.一位 12 歲青少年,無意間發現右臉頰無痛腫脹的情形,經環口放射線影像檢查 (panorex),於右側下顎骨呈現一處多室性病灶(如下圖所示)。有關此例之診斷推論,下列那一項最不合理? (A) 若其右側下齒槽神經支配區域有麻木現象,可以合理懷疑為造釉細胞瘤(ameloblastoma) (B) 以針頭抽吸(needle aspiration)呈現淡黃色清澈液體,可以懷疑為含齒性囊腫(dentigerous cyst) (C)以針頭抽吸(needle aspiration),初期呈淡黃色清澈液體,繼而呈現淡紅色液體,則應可 懷疑是 aneurysmal bone cyst (D) 由其右側下顎第一大臼齒牙根型態來看,有明顯病理性吸收之現象
70.下列放射線單位換算,何者錯誤? (A) 1 C/kg(coulomb per kilogram)=3876 R(roentgen) (B) 1 Bq(becquerel)=3.7 × Ci(curie) (C) 1 rad=1 cGy(gray) (D) 1 Sv(sievert)=100 rem
73.下圖 X 光片所呈現的放射線透性(radiolucent)病灶影像,其臨床診斷最可能為下列何者? (A) 鱗狀細胞癌(squamous cell carcinoma) (B) 齒瘤(odontoma) (C) 纖維瘤(fibroma ) (D) 殘餘囊腫(residual cyst)
74.下列何者為形容下圖所示唾液腺造影術之影像? (A) ball-in-hand appearance (B) snowstorm appearance (C) sausage-link appearance (D) tree in winter appearance
75.下圖為部分顎全景 X 光影像,箭頭所指處為下列何者? (A) 頸椎(cervical vertebrae)之影像 (B) 鈣化之莖突舌骨韌帶(stylohyoid ligament) (C) 對側下顎骨後緣之複影 (D) 攝影時患者手指摸頸部所致
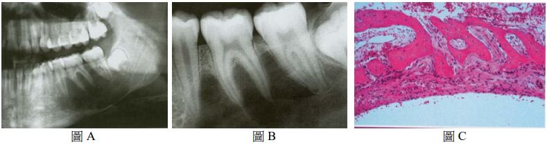
76.一位 16 歲男孩在常規 X 光檢查時,發現左下顎臼齒下方有一放射線透性影像,牙根之間呈現扇形(scalloped),病灶下緣周界較不清晰(圖 A),根尖片可見到清晰之齒槽骨板(lamina dura)(圖 B),患處牙齒之牙髓均呈活性反應,口外醫師安排活體切片檢查時發現放射線透性病灶內空無一物,刮取病灶周邊組織鏡檢(圖 C),可見鄰近之骨組織有一薄層含血管之結締組織,並沒有發現任何上皮襯底(epithelial lining)。您認為下列何者較符合上述之診斷? (A) 動脈瘤性骨囊腫(aneurysmal bone cyst) (B) 史塔尼氏囊腫(Stafne bone cyst) (C) 單純性骨囊腫(simple bone cyst) (D) 齒源性角化囊腫(odontogenic keratocyst)
77.一位 22 歲男性患者之顎全景 X 光顯示兩側下顎臼齒下方有周界清晰之放射線透性影像 (圖 A 如箭頭標示),兩側上顎竇亦有放射線不透性影像,手術發現此病變為齒源性角 化囊腫(odontogenic keratocysts);進一步檢查發現中面部有一潰瘍病變(圖 B),腳掌有許多黑色凹點病灶(圖 C),臉部呈現眼距過寬,頭部 X 光可見大腦鐮鈣化(calcification of falx cerebri)(圖 D),胸部 X 光片可見到分歧肋骨(bifid ribs)。根據這些特徵,下列何診斷較可能? (A) Gardner syndrome (B) basal cell nevus syndrome (C) McCune-Albright syndrome (D) Apert syndrome
78.下圖中左下顎骨之放射線不透性病灶,其最可能的診斷為下列何者? (A) 殘根(residual root) (B) 骨肉瘤(osteosarcoma) (C) 內生骨瘤(endosteoma) (D) 骨髓炎(osteomylitis)