阿摩線上測驗
登入
首頁
>
獸醫傳染病學
> 98年 - 98-1 專技高考_獸醫師:獸醫傳染病學#42460
98年 - 98-1 專技高考_獸醫師:獸醫傳染病學#42460
科目:
獸醫傳染病學 |
年份:
98年 |
選擇題數:
80 |
申論題數:
0
試卷資訊
所屬科目:
獸醫傳染病學
選擇題 (80)
1.下列有關豬水腫病之敘述,何者正確? (A)台灣尚無病例 (B)易發生在發育較差的豬 (C)由梭菌造成 (D)毒素侵害血管內皮細胞而引起水腫
2.下列何者為仔豬感染豬生殖與呼吸綜合症的病變? (A)多發局部性間質性肺炎 (B)散發局部性壞死性肺炎 (C)廣泛瀰漫性間質性支氣管炎 (D)化膿性支氣管肺炎
3.豬瘟病毒的主要免疫原來自下列何種基因的產物? (A)N (B)E1 (C)E2 (D)P7
4.下列有關黃麴毒素之敘述,何者錯誤? (A)有致癌性 (B)在肝臟代謝,造成肝臟病變 (C)會造成動物急性或慢性中毒 (D)毒素中以 G2 的毒性最強
5.下列何者為豬附紅血球體病之病原? (A)披衣體 (B)黴菌 (C)黴漿菌 (D)原蟲
6.下列有關傳染性胃腸炎與血球凝集腦脊髓炎之敘述,何者正確? (A)病原皆為冠狀病毒 (B)皆會引發神經症狀 (C)皆會引發腸絨毛嚴重損害 (D)皆會引發嚴重下痢
7.立百病毒(Nipah virus)最早在下列那一個國家發生? (A)日本 (B)印尼 (C)馬來西亞 (D)澳大利亞
8.下列那一種動物被認為是腦心肌炎病毒的自然保毒者? (A)野鳥 (B)老鼠 (C)牛 (D)山羊
9.仔豬出現神經症狀且剖檢時肝或脾可見小白點之病灶,可能由下列那一種疾病所造成? (A)日本腦炎 (B)豬生殖與呼吸綜合症 (C)假性狂犬病 (D)傳染性胃腸炎
10.下列何者為豬日本腦炎主要的預防方法? (A)母豬空胎時必須施打一劑疫苗 (B)仔豬在 3、6 週齡各施打一劑疫苗 (C)女豬在配種前必須施打疫苗 (D)母豬與仔豬同時施打疫苗
11.下列何者在剖檢時可見盲腸炎、結腸炎、腸黏膜腫脹及出血? (A)豬沙門氏菌症 (B)豬輪狀病毒感染 (C)豬傳染性胃腸炎 (D)豬赤痢
12.下列何者由 Lawsonia intracellularis 所引起? (A)豬赤痢 (B)豬增生性腸炎 (C)豬傳染性胃腸炎 (D)豬水腫病
13.下列何者為豬赤痢的病原? (A)球菌 (B)桿菌 (C)螺旋體 (D)原蟲
14.下列何者為豬滲出性表皮炎的病因? (A)葡萄球菌 (B)鏈球菌 (C)沙門氏菌 (D)放線桿菌
15.下列何者為豬旋毛蟲感染性幼蟲之寄生部位? (A)肌肉 (B)皮下 (C)腎臟 (D)腸道
16.下列何者寄生在盲腸,且其蟲卵呈木桶型? (A)豬糞桿線蟲 (B)豬腎蟲 (C)豬肺蟲 (D)豬鞭蟲
17.可經初乳感染的寄生蟲為下列何者? (A)豬糞桿線蟲 (B)豬腎蟲 (C)豬肺蟲 (D)豬鞭蟲
18. 豬肝上的乳斑(milk spot)通常是下列何種寄生蟲的幼蟲所導致? (A)弓蟲 (B)豬蛔蟲 (C)豬鞭蟲 (D)豬肺蟲
19.下列何者為寄生在豬腹膜之細頸囊蟲(Cysticercus tenuicollis)成蟲? (A)胞狀絛蟲(Taenia hydatigena) (B)貓絛蟲(Taenia taeniaformis) (C)人有鈎絛蟲(Taenia solium) (D)犬猬粒絛蟲(Echinococcus spp.)
20.下列何種動物感染假性狂犬病後會造成潛伏感染? (A)牛 (B)犬 (C)豬 (D)兔
21.感染 Clostridium perfringens type C 死亡之豬隻,最顯著病變為下列何者? (A)空腸出血 (B)心外膜壞死 (C)肺與胸膜黏連 (D)腎臟出血
22.下列何者和溶血型大腸桿菌之毒素有關? (A)滲出性皮炎 (B)水腫病 (C)惡性水腫 (D)增生性腸炎
23.離乳期階段豬隻最不常見下列何種疾病? (A)遲發型大腸桿菌性下痢 (B)離乳後多系統消耗症候群病毒 (C)傳染性胃腸炎 (D)水腫病
24.近年來下列何種疾病造成台灣保育豬常出現 PMWS 及 PDNS 的病徵? (A)黴菌毒素中毒 (B)第二型環狀病毒感染 (C)假性狂犬病 (D)沙門氏菌症
25.豬生殖與呼吸綜合症之病原為下列何者? (A)Coronavirus (B)Adenovirus (C)Circovirus (D)Arterivirus
26.Bordetella bronchiseptica 主要引起豬隻何種疾病? (A)萎縮性鼻炎 (B)腸炎 (C)心肌炎 (D)腦膜炎
27.母豬接種豬丹毒活菌苗的適期為何? (A)配種後 4 週 (B)懷孕期間均可接種 (C)分娩前 2 週 (D)空胎期
28.赭麴毒素(ochratoxin)分為 A、B、C、D 四種,那一種對動物之毒性最強? (A)A (B)B (C)C (D)D
29.豬感染東方馬腦脊髓炎病毒時,下列何者為主要臨床症狀? (A)流產 (B)神經症狀 (C)不顯性感染 (D)下痢及呼吸症狀
30.Mycoplasma hyosynoviae 主要造成下列何種動物的非化膿性關節炎? (A)牛 (B)豬 (C)羊 (D)雞
31.豬瘟病毒對於下列何種細胞具有特異親和性? (A)呼吸道上皮細胞 (B)腸道黏膜上皮細胞 (C)巨噬細胞 (D)網狀內皮細胞
32.下列有關遲發型豬瘟之敘述,何者正確? (A)肥育後期感染 (B)通常受低毒力病毒株感染 (C)感染豬產生良好免疫反應 (D)有嚴重的肺出血
33.下列何者不是豬瘟常見的臨床症狀? (A)眼盲 (B)顫抖 (C)下痢 (D)發燒
34.下列有關豬瘟之敘述,何者正確? (A)豬不是唯一自然宿主 (B)不會經胎盤感染 (C)急性感染造成白血球增加 (D)常造成非化膿性腦炎
35.馬立克病是由下列那一群的疱疹病毒感染所引起? (A)α-疱疹病毒 (B)β-疱疹病毒 (C)γ-疱疹病毒 (D)δ-疱疹病毒
36.雞病毒性關節炎的病因為下列何者? (A)腸病毒 (B)副黏液病毒 (C)疱疹病毒 (D)里奧病毒
37. 下列那一種疾病又稱甘保羅病(Gumboro disease)? (A)傳染性華氏囊病 (B)新城病 (C)傳染性喉頭氣管炎 (D)家禽流行性感冒
38.新城病病毒對下列何種消毒劑的抵抗力較強? (A)界面活性劑 (B)碘劑 (C)石碳酸 (D)甲酚肥皂液
39.下列何種藥物無法用於治療家禽黴漿菌感染症? (A)Tylosin (B)Cephalexin (C)Tiamulin (D)Danofloxacin
40.下列何者為雞黑頭病之病媒? (A)Heterakis gallinarum (B)Culicoides caulleryi (C)Aedes aegypti (D)Culex pipiens
41.下列那一種球蟲卵囊僅含四個孢子體? (A)Eimeria (B)Isospora (C)Cryptosporidium (D)Hammondia
42.下列何種蟲體呈紅色且寄生於氣管? (A)雞絛蟲 (B)雞蛔蟲 (C)雞盲腸蟲 (D)雞開嘴蟲
43.具致癌基因的家禽白血病感染雞的潛伏期,最常見的為多久? (A)1-3日 (B)1-3週 (C)12 週 (D)16周以上
44.下列那一種原蟲其芽胞化卵囊內含有四個 sporocyst? (A)Eimeria (B)Isospora (C)Cryptosporidium (D)Hammondia
45.下列那一種禽病目前尚無商用抗體檢測套組? (A)家禽里奧病毒感染症 (B)傳染性華氏囊病 (C)禽痘 (D)Mycoplasma gallisepticum 感染症
46.病雞肝臟有壞死灶,塗抹片可見兩端濃染桿菌時,可懷疑是下列何種疾病? (A)家禽霍亂 (B)家禽傷寒 (C)雛白痢 (D)家禽結核病
47.下列何種病毒會造成雞胚胎捲縮及發育不良? (A)流行性感冒 (B)新城病 (C)傳染性喉頭氣管炎 (D)傳染性支氣管炎 .
【已刪除】48.下列何者不會介卵傳播? (A)Rubulavirus (B)Herpesvirus (C)Reovirus (D)Enterovirus (E)一律給分
49.下列何者會在火雞造成出血性敗血症,全身肌肉、心臟外圍之脂肪組織、漿膜下層,甚至皮下常可見出血斑或針點狀出血? (A)葡萄球菌症 (B)新城病 (C)丹毒 (D)大腸桿菌病
50.Spirochaeta gallinarum可在家禽的下列那一種器官造成非特異性發炎和乾酪樣壞死性結節? (A)盲腸和直腸 (B)肺臟 (C)淋巴器官 (D)肝臟
51.下列何種病原會引起 brooder pneumonia ? (A)Aspergillus spp. (B)Mycoplasma spp. (C)Trichophyton spp. (D)Escherichia coli
52.Dactylaria gallopava 主要造成家禽那一種系統之肉芽腫病變? (A)呼吸系統 (B)生殖系統 (C)中樞神經系統 (D)消化系統
53.下列何者常用於鑑別牛之無乳鏈球菌乳房炎的病原? (A)Complement fixation test (B)Hemagglutination test (C)ELISA assay (D)CAMP test
54.下列那一種布氏桿菌(Brucella)為地中海熱布氏桿菌症之病原? (A)B abortus (B)B suis (C)B melitensis (D)B canis
55.下列那一種疾病又稱木舌病(wooden tongue)? (A)壞死桿菌病 (B)放線桿菌病 (C)放線菌病 (D)破傷風
56.牛流行熱的病原屬於下列何種病毒? (A)Paramyxovirus (B)Rhabdovirus (C)Herpesvirus (D)Pestivirus
57.下列那一種病毒會引起非洲馬疫(African horse sickness)? (A)Coronavirus (B)Herpesvirus (C)Orbivirus (D)Rotavirus
58.下列何者為牛傳染性胸膜肺炎的病原? (A)Mycoplasma bovis (B)Mycoplasma mycoides (C)Ureaplasma sp. (D)Acholeplasma laidlawii
59. 引起牛真珠病(pearl disease)的病原為下列那一種? (A)沙門氏菌 (B)棒狀桿菌 (C)分枝桿菌 (D)放線桿菌
60.下列那一種動物對馬鼻疽菌之感受性最低? (A)馬 (B)牛 (C)驢 (D)騾
61.下列有關狂犬病之敘述,何者錯誤? (A)可由吸血蝙蝠傳播 (B)溫血動物均有感受性 (C)主要侵犯中樞神經系統 (D)在小腦之 Purkinje’s 細胞可見核內包涵體
62.下列何種牛疾病不會造成貧血? (A)邊蟲病 (B)附紅血球體病 (C)焦蟲病 (D)Q 熱
63.下列何者為牛紅水病(red water disease)之病原? (A)Clostridium hemolyticum (B)Clostridium chauvoei (C)Clostridium septicum (D)Clostridium perfringens
64.下列何者寄生時,最可能從動物的尿液中檢出蟲卵? (A)埃及血吸蟲 (B)曼氏血吸蟲 (C)日本血吸蟲 (D)廣東血吸蟲
65.下列何種腫瘤最常發生在貓? (A)淋巴惡性肉瘤(lymphosarcoma) (B)纖維惡性肉瘤(fibrosarcoma) (C)顆粒球性白血病(granulocytic leukemia) (D)紅血球骨髓細胞增生(erythromyelosis)
66.犬鈎端螺旋體症的主要傳播途徑為下列何者? (A)經消化道 (B)昆蟲媒介 (C)經黏膜 (D)經呼吸道
67.在弓蟲的生活史中,下列何者可從貓的糞便檢出? (A)卵囊 (B)第一期幼蟲 (C)大配子 (D)雷氏幼蟲
68.下列何者對豬布氏桿菌之感受性最高? (A)家兔 (B)小白鼠 (C)天竺鼠 (D)倉鼠
69.Trichuris vulpis 主要感染下列何種動物? (A)豹及羊 (B)犬及狐狸 (C)犬及豬 (D)貓及牛
70.第一型犬腺病毒會引起下列何種疾病? (A)犬瘟熱 (B)犬傳染性氣管炎 (C)犬傳染性支氣管炎 (D)犬傳染性肝炎
71.下列何者為貓白血病病毒的主要傳染媒介? (A)尿 (B)糞 (C)唾液 (D)汗
72.下列那一種寄生蟲有larva leak 現象? (A)Ascaris suum (B)Ancylostoma caninum (C)Toxocara cati (D)Diphyllobothrium latum
73.下列有關魚傳染性胰壞死病毒之敘述,何者錯誤? (A)會形成細胞質內嗜鹼性包涵體 (B)具有封套 (C)會引起鮭、鱒魚類重要疾病 (D)感染幼魚死亡率高
74.下列有關鰓黴病之敘述,何者正確? (A)全年發生 (B)感染海水魚為主 (C)食用魚類治療以孔雀綠為主 (D)僅感染鰓部
75.下列何者最常罹患 Amyloodiniosis? (A)比目魚 (B)鯉魚 (C)鱒魚 (D)香魚
76.本圖為下列何者?
(A)三代蟲 (B)卵圓鞭毛蟲 (C)白點蟲 (D)鐘形蟲
77.在爛尾的淡水魚體表可找到大量、細長,無鞭毛的細菌(如圖示),此菌最可能為下列何者?
(A)Streptococcus spp. (B)Aeromonas spp. (C)Flavobacterium spp. (D)Pseudomonas spp.
78. 下列有關 Photobacteria damsela subsp. pisicida 之敘述,何者正確? (A)是革蘭氏陽性菌 (B)僅感染海水魚 (C)慢性感染魚會出現白色結節 (D)通常造成成魚的急性大量死亡
79.下列敘述何者正確? (A)Oncorhynchus masou virus 的潛伏感染可造成鯰魚的基底上皮細胞腫瘤 (B)Koi herpesvirus 主要發生在錦鯉,造成呼吸困難死亡 (C)Carp pox 通常發生在成年鯉魚的內臟 (D)台灣草蝦的 Yellow head disease 即為 Herpesvirus 感染所造成
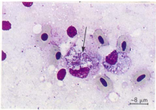
80.台灣養殖吳郭魚在冬季低水溫期常發生一種感染性疾病,內臟出現白色結節,血液抹片可見吞噬大量菌體的巨噬細胞(如圖示),此為下列何者?
(A)Rickettsia-like organism (B)Dermocystidium (C)Chlamydia (D)Epitheliocystis
申論題 (0)
相關試卷
114年 - 114 專技高考_獸醫師:獸醫傳染病學#128953
114年 · #128953
113年 - 113 專技高考_獸醫師:獸醫傳染病學#121640
113年 · #121640
112年 - 112 專技高考_獸醫師:獸醫傳染病學#115891
112年 · #115891
111年 - 111 專技高考_獸醫師:獸醫傳染病學#109864
111年 · #109864
110年 - 110 專技高考_獸醫師:獸醫傳染病學#99942
110年 · #99942
109年 - 109-2 專技高考_獸醫師:獸醫傳染病學#89194
109年 · #89194
109年 - 109-1 專技高考_獸醫師:獸醫傳染病學#82783
109年 · #82783
108年 - 108-2 專技高考_獸醫師:獸醫傳染病學#78190
108年 · #78190
108年 - 108-1 專技高考_獸醫師:獸醫傳染病學#74557
108年 · #74557
107年 - 107-2 專技高考_獸醫師:獸醫傳染病學#70416
107年 · #70416