阿摩線上測驗
登入
首頁
>
獸醫實驗診斷學
> 98年 - 98-1 專技高考_獸醫師:獸醫實驗診斷學#41434
98年 - 98-1 專技高考_獸醫師:獸醫實驗診斷學#41434
科目:
獸醫實驗診斷學 |
年份:
98年 |
選擇題數:
80 |
申論題數:
0
試卷資訊
所屬科目:
獸醫實驗診斷學
選擇題 (80)
1.血清樣本於-20℃保存時,下列何者之穩定性最差? (A)乳酸脫氫酶(LDH) (B)鹼磷酶(ALP) (C)天門冬酸鹽轉氨酶(AST) (D)氨基丙酸轉氨酶(ALT)
2.眼前房液採取時,應由何處刺入為佳? (A)角膜中央處 (B)鞏膜與角膜連接處 (C)鞏膜後方 (D)結膜後方
3.抗凝劑肝素的抗凝效果大約可維持幾小時? (A)2 (B)4 (C)6 (D)24
4.下列有關生理因子影響鈉檢測結果之敘述,何者正確? (A)顯著脂血症樣本以火焰分光計法測定不受影響 (B)顯著脂血症樣本以特定離子電極法測定不受影響 (C)顯著高球蛋白血症樣本以火焰分光計法測定可示假高值 (D)顯著高球蛋白血症樣本以特定離子電極儀法測定可示假高值
5.下列有關乾冰法保存運送檢體之敘述,何者正確? (A)乾冰不可置於緊閉容器中 (B)為欲作嗜氧性細菌培養檢體之最佳保存法 (C)為防檢體凍結,保存容器應越鬆散越好 (D)欲作細菌培養之檢體,最好直接接觸乾冰保存,以抑制雜菌提高分離成功率
6.下列何者為供應維持紅血球形態之完整性所需能源之主要代謝徑路? (A)衛—梅徑路(Embden-Meyerhof pathway) (B)己糖—一磷酸鹽徑路(hexose-monophosphate pathway) (C)變性血紅素還原酶徑路(methemoglobin reductase pathway) (D)盧—拉徑路(Luebering-Rapoport pathway)
7.腎上腺素誘起之生理性白血球增多症,其有關 MNP(邊緣嗜中性球池)和 CNP(循環嗜中性球池)之敘述,下列何者正確? (A)MNP 增多而 CNP 減少 (B)MNP 及 CNP 均增多 (C)MNP 減少而 CNP 增多 (D)MNP 及 CNP 均減少
8.血中運鐵蛋白(transferrin)通常只有多少之結合處,可與鐵結合? (A)1/2 (B)1/3 (C)1/5 (D)1/10
9.貓隻罹患急性淋巴胚細胞性白血病通常與感染什麼有關? (A)FeLV (B)coronavirus (C)herpesvirus (D)calicivirus
10.反芻獸鈷缺乏時,嗜中性球可能出現下列何種特徵變化? (A)小型而細胞核分葉增加 (B)巨大而細胞核分葉增加 (C)小型而細胞核分葉減少 (D)巨大而細胞核分葉減少
11.mast cell tumor 併發有 mastocytosis 的動物很少,在何種動物比較常見? (A)貓 (B)馬 (C)牛 (D)豬
12.下列何者可直接與血液中之游離血紅素結合而避免血紅素尿? (A)血固素(hemopexin) (B)血紅素結合素(haptoglobin) (C)血球蛋白(globin) (D)膽紅素(bilirubin)
13.有一中等程度、非漸進性貧血犬之骨髓M/E比高,血清鐵及總鐵結合能力(total iron-binding capacity)均降低,骨髓普魯士藍(Prussian blue)染色強陽性。下列何者最可能是引起此犬貧血之原因? (A)缺鐵性貧血末期 (B)失血性貧血之早期 (C)骨髓纖維化 (D)慢性炎症
14.下列有關泛血球減少症(pancytopenia)之敘述,何者不正確? (A)有白血球減少症且常比貧血先出現 (B)有血小板減少症且常比貧血慢出現 (C)血中可能出現後紅血細胞增多 (D)骨髓可能呈脂肪變性
15.下列有關評估骨髓鐵含量之敘述何者正確? (A)可以賴托染色骨髓抹片評估之 (B)需以過氧化酶染色骨髓抹片評估之 (C)慢性病性貧血常見骨髓鐵含量增加 (D)缺鐵性貧血常見骨髓鐵含量增加
16.下列對骨髓球系列細胞之敘述何者正確?○1後骨髓球以前之細胞核均呈卵圓形○2前顆粒細胞以前之細胞核中含有一至數個核仁 ○3由骨髓球胚細胞分裂至後骨髓球約需耗時60小時 ○4細胞核出現明顯伸長及凹痕之外觀,是屬於帶狀核嗜中性球 (A)123 (B)124 (C)134 (D)234
17.健康牛於分娩時或激烈運動後,會有: (A)緊迫性白血球增多症 (B)生理性白血球增多症 (C)炎症性白血球增多症 (D)嗜中性球減少症
18.下列何者是造成紅血球形成作用減退之原因? (A)維生素 B12 缺乏 (B)鐵缺乏 (C)鉛中毒 (D)低甲狀腺功能症
19.下列何種動物之血片中無論正常時或嚴重貧血時均不會有網狀球出現? (A)牛 (B)豬 (C)貓 (D)馬
20.下列何者會引起吞噬性(血管外)溶血? (A)焦蟲 (B)A 型產氣莢膜梭菌 (C)鈎端螺旋體 (D)邊蟲
21.嗜中性球於缺乏下列何種維生素時,會出現巨大過度分葉? (A)維生素 A (B)葉酸 (C)維生素 C (D)維生素 D
22.血管內皮細胞依賴循環中何種物質來維持其完整性? (A)胞漿素原(plasminogen) (B)抗凝血酶 III (C)前列環素(PGI-2) (D)血小板
23.下列何種正常骨髓系細胞之細胞質為嗜鹼性並含有明顯多量偶氮顆粒? (A)骨髓胚細胞 (B)前骨髓球 (C)骨髓球 (D)後骨髓球
24.一隻 13 歲未結紮之母犬,臨床症狀為拱背及厭食。血檢結果 Hb:13g/dL,PCV:36%,
RBC:5.58×106/μL,
WBC:50600/μL,Band:4%,Seg.:89%,Lymphocyte:2%,Monocyte:5%。下列血相之判讀何者正確?
(A)伴有核左轉之白血球增多症 (B)伴有淋巴球和單核球減少症 (C)正球性正色性貧血 (D)白血球增多症及貧血
25.做活化部分成栓質時間(APTT)等凝血因子測試時,應採用何種血液樣本? (A)血清 (B)NaF 抗凝血 (C)citrate 抗凝血 (D)heparin 抗凝血
26.紅血球突出物較短及多且紅血球呈較大者,稱為: (A)棘突球(acanthocyte) (B)口唇球(stomatocyte) (C)靶狀球(target cell) (D)海膽球(echinocyte)
27.嗜中性球之細胞質呈現瀰漫性嗜鹼性,且伴有空泡化,常發生於下述何種情形? (A)緊迫時 (B)動物分娩時 (C)卡他性腸炎 (D)嚴重的毒血症
28.緊迫之白血球相不包括下列那一項? (A)白血球增多症 (B)嗜中性球增多症 (C)嗜酸性球減少症 (D)淋巴球增多症
29.網狀球形成指數計算公式中,貓正常血容比值採用多少%? (A)27 (B)37 (C)47 (D)57
30.血友病 A 型是屬於缺乏何種凝血路徑之凝血因子? (A)內因系統 (B)外因系統 (C)共同系統 (D)纖維素溶解系統
31. 下列何種細胞具有原發性顆粒? (A)骨髓球胚細胞 (B)前顆粒細胞 (C)骨髓球 (D)後骨髓球
32.貓罹患傳染性腹膜炎時,其腹水分析,何種蛋白質明顯增加? (A)前白蛋白 (B)α-球蛋白 (C)β-球蛋白 (D)γ-球蛋白
33.下列各圖為犬血清蛋白電泳圖,橫軸最左側之區間為白蛋白,向右依序為α、β及γ-球蛋白之區間。其最可能是腎病症候群(nephrotic syndrome)者為第幾圖?
(A)圖二 (B)圖三 (C)圖四 (D)圖五
34.絕食後血清仍有脂血症時,可試用下列何者注射消除之? (A)草酸鈉 (B)檸檬酸鈉 (C)肝素鈉 (D)氟化鈉
35.欲鑑別犬低甲狀腺功能症與糖尿病,應作那項檢驗? (A)total T4 以及 fT4 (B)血中及尿中的 glucose (C)ALT、AST 及 bile acid (D)紅白血球相及分類
36.下列那一種內分泌素並不會造成 glycogenolysis,而使得血糖值增加? (A)epinephrine (B)glucocorticoid (C)glucagon (D)growth hormone
37.那一種動物在食後並不會出現明顯的高血糖現象? (A)牛 (B)狗 (C)貓 (D)人
38. 下列關於 BSP(bromosulfophthalein)試驗的敘述,何者為最適當? (A)肝細胞功能減少時,BSP 之廓清率會增加 (B)肝血液灌流減少時,BSP 之殘留量減少 (C)膽汁流量減少時,BSP 之廓清率會減少 (D)高膽紅素血症時,BSP 之排除不受影響
39.在犬、貓肝細胞急性損傷時,何種血清酵素活性值上昇最快且最高? (A)ALT (B)AST (C)ALP (D)LDH
40.下列關於動物膽紅素的敘述,何者為最適當? (A)一般母犬在尿比重超過 1.030 以上者,常有微量膽紅素 (B)貓傳染性腹膜炎出現高膽紅素血症時,血清 ALP 及 GGT 活性不會先上昇 (C)馬之高膽紅素血症常為結合型者佔多半,且升高程度很顯著 (D)山羊與綿羊之高膽紅素血症通常以混合性為主
41.健康雄犬之尿比重在下列何者時,常出現微量膽紅素尿? (A)1.020 以下 (B)1.020-1.025 (C)1.030 (D)1.040 以上
42. 於慢性肝病,肝功能區域減少多少%以上時,才會見到白蛋白合成減少? (A)10 (B)20 (C)40 (D)60
43.下列關於急性大量肝細胞壞死的敘述,那一項最為合適? (A)引發的原因與 halothane、四氯化碳、氯仿等物質有關 (B)臨床上以病畜有縱隔的腫脹病變、嚴重貧血、休克為主 (C)檢查結果通常可見多源性免疫球蛋白增加 (D)通常血清蛋白、凝血因子及血糖值均會呈現異常
44.關於犬隻腹水的檢查,下列何者屬於漏出液(transudate )的檢查結果? (A)比重大於 1.020 (B)總蛋白量為2.0 g/dL (C)總有核細胞數為 3,000/μL (D)腹水顏色為淡黃色
45.病畜呈現黃疸時,在下列血液檢查中何者最易呈現異常? (A)血清膽紅素濃度 (B)血清白蛋白濃度 (C)血清肌酸酐濃度 (D)血清脂肪酶濃度
46.有門脈分流或慢性活動性肝炎之病犬,其血清側枝鏈胺基酸與芳香屬胺基酸之比率為: (A)1 以下 (B)1.1-2 (C)2.1-3 (D)3 以上
複選題
47.下列血清酵素中,那一個是具有肝、腎、胰、腸、心、肺及肌肉等之異構酶? (A)LDH (B)AST (C)CK (D)GGT
48.某犬長期下痢,檢驗其血中之維生素B12以及葉酸鹽皆下降,則應診斷為: (A)exocrine pancreatic insufficiency (B)small intestinal bacterial overgrowth (C)distal small intestinal disease (D)diffuse small intestinal disease
49.胰蛋白酶樣免疫反應活性試驗,若犬之測定值>5μ g/L,表示下列何種情形? (A)胰外分泌功能不足 (B)胰外分泌功能正常 (C)消化不良 (D)肉質漏瀉
50.貓罹患下列何種疾病時,不會呈病理性高血脂症? (A)急性胰炎 (B)肝脂肪變性 (C)腎病症候群 (D)低甲狀腺功能症
51.下列那些現象是大腸性下痢的特性?○1裡急後重(tenesmus)○2.糞量增加○3黑便○4糞有鮮血 ○5體重減輕○6糞有黏液 (A)146 (B)235 (C)145 (D)236
52.下列有關糞便潛血反應檢查之敘述,何者正確? (A)為避免假陽性反應,最好禁止進食肉類 3天以上 (B)小腸出血將呈現陽性反應,而口腔出血則呈現陰性反應 (C)鮮血將呈現強陽性反應,變性血紅素則呈現陰性反應 (D)適用於鑑別造成紅色或黑色糞便之原因,不適用於檢查正常顏色之糞便
53.在BT-PABA 試驗中,尿液中PABA排泄量降低之原因為下列何者? (A)膽汁分泌不足 (B)胰臟外分泌分泌不足 (C)胰臟內分泌分泌不足 (D)肝素分泌不足
54.肌氨酸激酶(creatine kinase)之半衰期在牛約為多少小時? (A)2 (B)4 (C)6 (D)8
55.下列關於重症肌無力症的敘述,那項最為適當? (A)多見於犬,但貓也有發生報告 (B)分為先天性與後天性,兩種都是一種自體免疫性疾病 (C)先天性原因在體內形成抗乙醯膽鹼酯酶的自體抗體 (D)臨床上以無痛性無法控制的骨骼肌長時間收縮為特徵
56.患犬血清中之肌氨酸激酶(CK)、乳酸鹽脫氫酶(LDH)及天門冬酸轉氨酶(AST)之活性均上昇,表示何種意義? (A)肝細胞壞死 (B)肌肉有退行性變化 (C)膽汁鬱滯 (D)慢性胰炎
57. 臨床症狀有寡尿,且尿比重為 1.040 的患犬,最可能是罹患下列那種疾病? (A)腎性急性腎衰竭(renal acute renal failure) (B)腎前性急性腎衰竭(pre-renal acute renal failure) (C)腎後性急性腎衰竭(post-renal acute renal failure) (D)慢性腎衰竭(chronic renal failure)
58. 下列何種病症不會造成血中 BUN 值上升現象? (A)肝硬化 (B)休克 (C)急性腎衰竭 (D)心臟病
59.那種動物腎病所引起之高血鈣症,其機轉係尿中排泄鈣發生障礙所致? (A)貓 (B)牛 (C)犬 (D)馬
60.胰臟蘭氏小島的何種細胞分泌胰臟多胜類(pancreatic polypeptide)? (A)α細胞 (B)β細胞 (C)δ細胞 (D)F細胞
61.甲狀腺激素刺激試驗,肌肉注射法為多少小時後採血測定投藥後之血清總 T4/T3 值? (A)2 (B)4 (C)6 (D)8
62.犬血液循環中,T4 最主要與何種物質結合在一起? (A)甲狀腺素結合球蛋白(TBG) (B)甲狀腺素結合性前白蛋白(TBPA) (C)白蛋白 (D)高密度脂蛋白
63.低蛋白血症之病犬,所測血鈣值可用下式校正:校正之血鈣值=血清總鈣值—血清白蛋白量+下列何值? (A)1.5 (B)2.5 (C)3.5 (D)4.5
64.高甲狀腺功能症之判定為所測值高於正常平均值多少個標準偏差? (A)2 (B)3 (C)4 (D)5
65.一隻 3歲馬爾濟斯母犬,初時因全身發癢,治療幾個月後出現脫毛、多渴、多尿、皮膚變薄等現象,此犬最有可能罹患之疾病為: (A)腦垂腺依賴型高腎上腺皮質功能症 (B)腎上腺依賴型高腎上腺皮質功能症 (C)醫源性庫興氏症候群 (D)艾地遜氏病(Addison’s disease)
66.TRH刺激試驗中若T4後值至少為多少μg/dL 以上,其判定結果為甲狀腺功能正常? (A)0.02 (B)0.2 (C)1.0 (D)2.0
67.有關犬貓甲狀腺功能異常之敘述,何項正確? (A)低甲狀腺功能症者常呈現多食、多飲、多尿 (B)高甲狀腺功能症者常呈現體重增加、脫毛、色素沉著 (C)正甲狀腺疾病症候群(euthyroid sick syndrome)者之 T4 值通常正常 (D)行甲狀腺激素刺激試驗(TSH stimulation test),甲狀腺功能若正常則其 T4之投藥後值會高於投藥前之基礎值 1.5 倍以上
68.動物罹患單純型代謝性鹼中毒時,其陰離子差的變化如何? (A)正常無變化 (B)增大 (C)不一定 (D)降低
69.健康犬貓之陰離子差(anion gap)大約在多少 mEq/L? (A)15 以下 (B)15~25 (C)26~35 (D)35 以上
70.犬貓中度代謝性酸中毒時,血漿 HCO3-值介於多少 mEq/L? (A)6~11 (B)12~17 (C)20~24 (D)25~29
71.牛之白肌病可發現之電解質變化為下列何者? (A)低血鉀症 (B)高血鉀症 (C)低血鈣症 (D)高血鈣症
72.下列何種電解質之積留為總體液量增加之原因? (A)鉀 (B)鈣 (C)鎂 (D)鈉
73.下列何者之測定,通常都用血漿而不用血清? (A)血氨(ammonia) (B)血糖 (C)Na+離子 (D)肌酸酐(Creatinine)
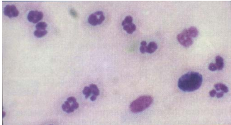
74.下圖為犬之關節囊液抹片(Wright stain; X 1000),最可能是下列何病?
(A)退行性關節病 (B)髖關節形成不全 (C)免疫媒介性多發性關節炎 (D)腫瘤性關節炎
75.下列有關體腔滲液之敘述何者錯誤? (A)低蛋白血症會引起純粹性漏出液 (B)癌會引起膿性滲出液 (C)炎症性體腔滲液是屬於滲出液 (D)滲出液可分為非膿性及膿性滲出液
76.健康家畜腦脊髓液之蛋白質含量約為多少 mg/dL? (A)2~10 (B)12~40 (C)42~60 (D)62~90
77.淋巴腺炎,不可能成為主要細胞者為下列何者? (A)嗜中性球 (B)嗜酸性球 (C)嗜鹼性球 (D)巨噬細胞
78. 請問此犬之紅血球指數屬於下列何種類型(註:犬MCV及MCHC之正常值分別為60~77fL及 32~36g/dL)? (A)正球性正色素性 (B)正球性高色素性 (C)大球性低色素性 (D)小球性低色素性
79. 承上題,下列何者是此犬正確之網狀球形成指數(RPI)? (A)RPI≦1 (B)1<RPI≦2 (C)2<RPI≦3 (D)3<RPI
80.承上題,此犬之貧血最可能是由下列何者所致? (A)外出血 (B)內出血 (C)血管內溶血 (D)血管外溶血
申論題 (0)
相關試卷
114年 - 114 公務升官等考試_薦任_獸醫:獸醫實驗診斷學#133104
114年 · #133104
114年 - 114 專技高考_獸醫師:獸醫實驗診斷學#128956
114年 · #128956
113年 - 113 專技高考_獸醫師:獸醫實驗診斷學#121658
113年 · #121658
112年 - 112 專技高考_獸醫師:獸醫實驗診斷學#115900
112年 · #115900
111年 - 111 專技高考_獸醫師:獸醫實驗診斷學#109869
111年 · #109869
110年 - 110 公務升官等考試_薦任_獸醫:獸醫實驗診斷學#103460
110年 · #103460
110年 - 110 專技高考_獸醫師:獸醫實驗診斷學#99943
110年 · #99943
109年 - 109-2 專技高考_獸醫師:獸醫實驗診斷學#89192
109年 · #89192
109年 - 109-1 專技高考_獸醫師:獸醫實驗診斷學#82796
109年 · #82796
108年 - 108 公務升官等考試_薦任_獸醫:獸醫實驗診斷學#80365
108年 · #80365