所屬科目:牙醫學(四)(包括口腔顎面外科學、牙科放射線學等科目及其相關臨床實例與醫學倫理)
14.依下圖,患者是下列何種異常?(A) 單側唇裂 (B) 單側原腭(primary palate)裂 (C) 繼生腭(secondary palate)裂 (D) 軟腭(soft palate)裂
35.你為一位病患拔除下顎左側之阻生第三大臼齒,其環口 X 光片如下圖所示,當你以拔牙挺用力挖動牙齒時,該阻生齒突然失去蹤影,此時該齒最可能是位於何處?(A) 下顎骨髓內,下齒槽神經之上方 (B) 頦下間隙(submental space) (C) 顎下隙(submandibular space) (D) 頰間隙(buccal space)
64.下列所附根尖周放射線影像(periapical film)中,其齒槽骨之放射線影像異於正常,最適切之描述為何?(A) 洋蔥皮狀影像(onion-skin appearance) (B) 陽光線狀影像(sun-ray appearance) (C) 羊毛棉花狀影像(cotton-wool appearance) (D) 毛玻璃狀影像(ground-glass appearance)
73.慢性骨髓炎患者之 X 光影像可見到如圖 A 及圖 B 之骨膜反應,這種影像特徵稱為下列何者?(A) orange peel appearance (B) onion-skin appearance (C) sunburst appearance (D) Codman’s triangle appearance
74.一位 25 歲男性患者下顎出現疼痛之快速腫大,活體組織切片檢查為惡性腫瘤,因而接受顎骨切除術,術後檢體 X 光影像如圖 A 及圖 B 所示,下列何者為其病灶周邊骨膜反應之放射線特徵? (A) onion-skin appearance (B) Codman’s triangle appearance (C) sunray appearance (D) cortical bone destruction without periosteal reaction
75.下圖 X 光片所呈現的影像,其臨床診斷最可能是下列何者?(A) 纖維性發育不良(fibrous dysplasia) (B) 囊腫(cyst) (C) 髁突骨折(condylar head fracture) (D) 造釉細胞瘤(ameloblastoma)
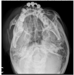
76.患者為 18 歲男性,從 3D CT scan 影像(如下圖)所呈現,其臨床診斷最可能為下列何者?(A) 囊腫(cyst) (B) 齒槽骨裂(alveolar cleft) (C) 纖維瘤(fibroma) (D) 造釉細胞瘤(ameloblastoma)
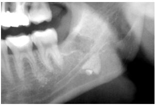
77.下圖 X 光片所呈現的放射線透性(radiolucent)影像,其臨床診斷最可能為下列何者?(A) 鱗狀細胞癌(squamous cell carcinoma) (B) 囊腫(cyst) (C) 肉芽腫(granuloma) (D) 骨瘤(osteoma)
78.下圖 X 光片所呈現的影像,其臨床診斷最可能是下列何者?(A) 鱗狀細胞癌(squamous cell carcinoma) (B) 囊腫(cyst) (C) 骨折(fracture) (D) 骨髓炎(osteomylitis)