阿摩線上測驗
登入
首頁
>
基礎醫學(包括解剖學、生理學與病理學)
> 99年 - 099年第二次專技高考基礎醫學(包括解剖學、生理學與病理學)#47236
99年 - 099年第二次專技高考基礎醫學(包括解剖學、生理學與病理學)#47236
科目:
基礎醫學(包括解剖學、生理學與病理學) |
年份:
99年 |
選擇題數:
80 |
申論題數:
0
試卷資訊
所屬科目:
基礎醫學(包括解剖學、生理學與病理學)
選擇題 (80)
1.下列何胞器內合成的蛋白質是僅供細胞質內使用,不會運送到細胞外? (A)溶酶體(lysosomes) (B) 游離核糖體(free ribosomes) (C)附著膜上核糖體(membrane-bound ribosomes) (D)過氧化酶體(peroxisomes)
2.下列何者是由前腸(foregut)和中腸(midgut)共同發育形成? (A) 十二指腸 (B)迴腸 (C)盲腸 (D)橫結腸
3.下列何者由眼杯(optic cups)發育形成? (A)晶狀體 (B) 視網膜 (C)玻璃體 (D)角膜
4.原始腸環(primitive intestinal loop)是由下列何者發育形成? (A)前腸(foregut) (B) 中腸(midgut) (C)後腸(hindgut) (D)卵黃管(vitelline duct)
5.下列何者與子宮內膜的底蛻膜(decidua basalis)組成胎盤? (A)羊膜(amnion) (B) 絨毛膜(chorion) (C)尿膜(allantois) (D)卵黃囊(yolk sac)
6.下列有關偽複層柱狀上皮組織(pseudostratified columnar epithelium)的敘述,何者正確? (A)至少兩層細胞組成 (B) 至少由兩種不同形狀的細胞組成 (C)細胞核位於相同高度 (D)各層細胞皆是柱狀
7.下列何者不是肌節(sarcomere)內的構造? (A)H區(H zone) (B)肌絲(myofilament) (C)M線(M line) (D) 肌纖維(muscle fiber)
8.下列何者為全泌式(holocrine secretion) 的有管腺? (A)唾液腺 (B)胰臟 (C)乳腺 (D) 皮脂腺
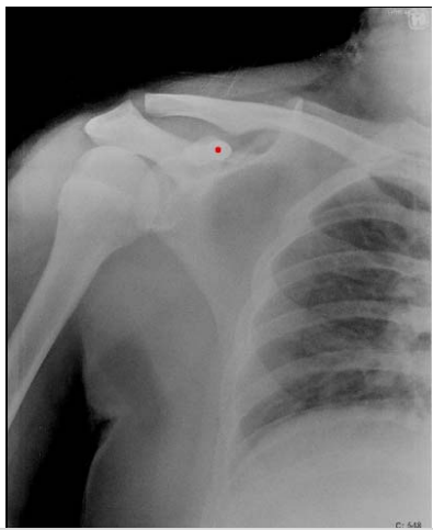
9. 下列何者不附著於附圖X光照片中,紅點所標示的部位?
(A)胸小肌 (B)喙肱肌 (C)肱二頭肌短頭 (D) 大圓肌
10.下列何者屬車軸關節? (A) 寰樞關節 (B)髖關節 (C)腕關節 (D)踝關節
11.下列有關人體解剖學姿勢(anatomical position)的敘述,何者正確? (A)手掌掌心朝右 (B)手掌掌心朝左 (C) 手掌掌心朝前 (D)手掌掌心朝後
12.交感神經的興奮,不會造成: (A)心臟收縮力增加 (B)汗腺分泌 (C) 唾液腺分泌增加 (D)冠狀動脈收縮
13.脊髓的那一部分構造與本體感覺的傳導最有關係? (A) 後柱 (B)前柱 (C)側柱 (D)中央管
14.臉部的感覺是由下列何者所支配? (A)舌咽神經 (B)顏面神經 (C) 三叉神經 (D)動眼神經
15.下視丘直接調控下列何者的功能? (A)運動皮質(motor cortex) (B)黑質(substantia nigra) (C) 腦垂體(pituitary gland) (D)皮質脊髓徑(corticospinal tract)
16.舌頭前半的味覺與下列何者最有關? (A)舌下神經 (B)舌咽神經 (C)三叉神經 (D) 顏面神經
17. 中腦的那一部分負責傳送視覺及聽覺訊息? (A)大腦腳(cerebral peduncle) (B) 頂蓋(tectum) (C)黑質(substantia nigra) (D)動眼神經核(oculomotor nucleus)
18. 下列何者受損最可能造成學習、記憶障礙? (A)大腦腳(cerebral peduncle) (B) 海馬迴(hippocampus) (C)紅核(red nucleus) (D)基底核(basal ganglia)
19.下列有關中耳(middle ear)之敘述,何者正確? (A) 經由耳咽管(auditory tube)和鼻咽(nasopharynx)相通 (B)鎚骨(malleus)附著在卵圓窗(oval window)上 (C)以鼓膜(tympanic membrane)與內耳相接 (D)鎚骨(malleus)與鐙骨(stapes)直接相接
20.下列關於皮質醇(cortisol)之敘述,何者錯誤? (A) 增加血液中淋巴球數目 (B)被做為抗發炎的藥物 (C)屬於醣皮質激素 (D)增加蛋白質與脂肪代謝
21.下列何者屬於神經內分泌器官? (A)胸腺 (B)甲狀腺 (C) 下視丘 (D)腎上腺
22.青光眼(glaucoma)的原因,主要是由於: (A)網膜細胞退化 (B) 房水回流的Schlemm管阻塞 (C)眼壓太低 (D)睫狀肌收縮不正常
23.下列眼球構造,何者不含血管? (A)鞏膜 (B)睫狀體 (C)網膜 (D) 角膜
24.嗅覺上皮中,那一群細胞具有長纖毛? (A)支持(supporting)細胞 (B)基部(basal)細胞 (C)色素(pigment)細胞 (D) 嗅覺受器(olfactory receptor)細胞
25.下列關於副甲狀腺的敘述,何者錯誤? (A)位在甲狀腺後面,左右各兩個 (B)副甲狀腺素增加血鈣 (C) 具有外分泌腺的功能 (D)副甲狀腺素能活化維他命D,刺激腸道鈣離子吸收
26.下列何者其管腔內具有瓣膜的構造,以引導血液流向? (A)肌肉型動脈 (B)小動脈 (C)微血管 (D) 小靜脈
27.胎兒的血液循環中含氧量最高的血管為: (A)臍動脈(umbilical artery) (B) 臍靜脈(umbilical vein) (C)下腔靜脈(inferior vena cava) (D)肺靜脈(pulmonary vein)
28.下列何者之左右兩側靜脈不是匯入同一條靜脈? (A)肝靜脈(hepatic vein) (B)腎靜脈(renal vein) (C)頭臂靜脈(brachiocephalic vein) (D) 睪丸靜脈(testicular vein)
29.供應肺臟組織細胞代謝所需的氧氣,主要來自: (A)肺動脈 (B)肺靜脈 (C) 支氣管動脈 (D)胸內動脈
30.精子的頭部含有下列何者? (A)溶菌酶(lysozyme) (B) 玻尿酸酶(hyaluronidase) (C)溶脂酶(lipase) (D)胰蛋白酶(trypsin)
31.附圖箭號所指的細胞,最主要的功能是:
(A) 收縮細胞,用來調節腎絲球的過濾率 (B)間質細胞,用來再生與修補腎絲球 (C)清理細胞,用來清除腎絲球內阻塞物 (D)免疫細胞,用來吞噬細菌
32.下列何者與血睪障壁(blood-testis barrier)有關? (A)曲精細管的基底膜(basement membrane) (B)曲精細管外圍的緻密結締組織(dense connective tissue) (C)精原細胞(spermatogonia)之間的緊密結合(tight junction) (D) 支持細胞(sertoli cells)之間的緊密結合(tight junction)
33.小腸上皮細胞的刷狀緣(brush border)是什麼結構? (A)絨毛(villi) (B) 微絨毛(microvilli) (C)小腸腺隱窩(intestinal gland crypts) (D)纖毛(cilia)
34.陰莖根部是以陰莖海綿體腳(crura of corpora carvernosa penis)附著在下列何肌? (A)球海綿體肌(bulbospongiosus muscle) (B) 坐骨海綿體肌(ischiocavernosus muscle) (C)會陰淺橫肌(superficial transverse perineal muscle) (D)會陰深橫肌(deep transverse perineal muscle)
35.下列何者供應支氣管肺區(bronchopulmonary segment)的氣體? (A)初級支氣管(primary bronchus) (B)次級支氣管(secondary bronchus) (C) 第三級支氣管(tertiary bronchus) (D)末端支氣管(terminal bronchiole)
36.連接胃小彎及十二指腸到肝臟的腹膜褶襞(peritoneal fold)為: (A)大網膜(greater omentum) (B) 小網膜(lesser omentum) (C)腸繫膜(mesentery) (D)鐮狀韌帶(falciform ligament)
37.依mRNA所攜帶之訊息,經由tRNA與rRNA之共同作用而合成蛋白質,此過程稱為: (A)轉錄(Transcription) (B) 轉譯(Translation) (C)複製(Replication) (D)RNA聚合作用(RNA polymerization)
38.若某人平均動脈壓為90 mmHg,突然上升至180 mmHg,但經感壓反射(Baroreflex)的調整後 降為120 mmHg,則此控制系統的廻饋效益(Gain of negative feedback)為: (A)+2 (B) -2 (C)+3 (D)-3
39.下列何種神經纖維為自主神經系統之節前神經纖維? (A)A-alpha纖維 (B)A-beta纖維 (C) B纖維 (D)C纖維
40.下列結構中,何者屬於基底神經核(Basal ganglia)? (A) 尾核(Caudate nucleus) (B)上視核(Supra-optic nucleus) (C)背側核 (Dorsal lateral nucleus) (D)薄核(Gracile nucleus)
41.下列何種神經纖維傳遞皮膚疼痛感覺? (A)A-alpha纖維 (B) A-delta纖維 (C)B纖維 (D)A-gamma纖維
42.神經動作電位(Action potential)中再極化的部分,主要是因何種離子通道開啟所導致? (A) 電壓(Voltage)控制的鉀離子通道 (B)電壓(Voltage)控制的鈉離子通道 (C)配體(Ligand)控制的鈉離子通道 (D)鈉鉀離子幫浦(Na
+
-K
+
pump)
43. 細肌絲不包括下列何種蛋白質? (A) 肌凝蛋白(Myosin) (B)肌動蛋白(Actin) (C)旋轉素(Troponin) (D)旋轉肌凝素(Tropomyosin)
44.天氣寒冷時會產生下列何種生理反應? (A)血管舒張 (B)甲狀腺分泌減少 (C) 增加食慾 (D)代謝量增加
45.有關決定骨骼肌收縮力量的敘述下列何者錯誤? (A)粗的肌纖維產生的力量較大 (B)較大的運動單元(Motor unit)產生的力量較大 (C)較頻繁的動作電位產生的力量較大 (D) 較長的纖維產生的力量較大
46.下列何種器官中的平滑肌主要是屬於單一單元(Single unit)之平滑肌? (A) 胃 (B)氣管 (C)大動脈 (D)控制毛髮的肌肉
47. 下列有關循環系統之敘述,何者正確? (A) 體循環的血壓高於肺循環 (B)肺動脈含氧量高於主動脈 (C)左右心室之收縮壓力相似 (D)血液經由腔靜脈流回左心房
48. 下列何種情況,可能出現體循環動脈血二氧化碳分壓(Pa
CO
2
)為60 mmHg? (A)腎衰竭導致酸中毒 (B)攀登高山 (C)運動後 (D) 呼吸衰竭
49.食入大量含鉀離子食物,不會引起下列何種生理反應? (A)血中鉀離子濃度上升 (B) 腎上腺皮質分泌留鈉激素(Aldosterone)減少 (C)細胞膜上之鈉-鉀離子幫浦(Na+-K+ pump)活化 (D)集尿管上鉀離子通道活性增加
50.人體血液約6公升,血漿約3公升,正常生理下,腎絲球過濾率(Glomerular filtration rate)為 125 mL/min,則全身血漿每日約被過濾幾次? (A)20 (B)30 (C) 60 (D)80
51.腎小管每分泌一個氫離子至管腔中時,同時排出下列那一種離子至血液中? (A)鉀離子(K
+
) (B)氯離子(Cl
-
) (C)磷酸二氫根離子(H
2
PO
4
-
) (D) 重碳酸氫根離子(HCO
3
-
)
52.Cholera toxin 主要會引起那兩處消化道黏膜大量分泌電解質及液體? (A)胃及空腸 (B)空腸及迴腸 (C) 迴腸及大腸 (D)大腸及食道
53.下列何者是甲狀腺所釋放的激素? (A) 甲狀腺素(Thyroxine)、三碘甲狀腺素(Triiodothyronine)、降鈣素 (Calcitonin) (B)副甲狀腺激素(Parathyroid hormone)、甲狀腺素(Thyroxine)、三碘甲狀腺素 (Triiodothyronine) (C)甲狀腺素(Thyroxine)、副甲狀腺激素(Parathyroid hormone)、降鈣素(Calcitonin) (D)單碘酪胺酸(Monoiodotyrosine)、甲狀腺素(Thyroxine)、副甲狀腺激素(Parathyroid hormone)
54.下列何者是刺激胰島素(Insulin)釋放的最主要因子? (A)腎上腺素(Epinephrine) (B)升糖素(Glucagon) (C) 葡萄糖(Glucose) (D)脂肪酸(Fatty acid)
55.下列何者不會導致皮膚色素過度沉著(Hyperpigmentation)? (A)腦下腺腫瘤(Pituitary tumor) (B)腎上腺分泌不足(Adrenal insufficiency) (C)腎上皮促素(Adrenocorticotropic hormone)過度分泌 (D) 腎上腺素(Epinephrine)分泌不足
56.紅血球具雙凹(Biconcavity)特性的最大優點為何? (A) 可增加細胞總表面積 (B)可增加細胞的可塑性(Flexibility) (C)可防止毒素進入細胞中 (D)可防止細胞破裂
57.下列何種貧血症(Anemia)主要是因為基因的缺陷所引起? (A)低色素性貧血(Hypochromatic anemia) (B) 鎌刀型貧血症(Sickle-cell anemia) (C)真性紅血球增多症(Polycythemia vera) (D)巨球型貧血(Megaloblastic anemia)
58.下列何種細胞不是由骨髓幹細胞(Myeloid stem cell)發展而來的? (A)嗜中性白血球(Neutrophil) (B)嗜鹼性白血球(Basophil) (C) 淋巴球(Lymphocyte) (D)單核球(Monocyte)
59(A)101 (B)96 (C) 91 (D)86
60.承上題,計算全身血管阻力,下列何者最接近正確值(mmHg/L/min)? (A)17 (B) 27 (C)37 (D)47
61.心肌梗塞時,最主要的病理變化是心肌出現: (A)出血 (B)炎症變化 (C) 壞死 (D)脂肪變性
62.下列何者最不會造成器官的萎縮(atrophy)? (A)小兒麻痺的下肢 (B)腫瘤壓迫的骨頭 (C) 荷爾蒙分泌過多 (D)支配神經被切斷
63.下列所述,何者正確? (A)黑色素是黑色 (B)脂色素是紅棕色 (C) 血鐵質是棕色 (D)膽紅素是紅色
64.被下列何種病毒感染後,其包涵體(inclusion bodies)特別明顯? (A)愛滋病毒 (B)EB病毒 (C) 巨細胞病毒 (D)肝炎病毒
65.下列何者與惡性腫瘤的分期(staging)無關? (A)腫瘤大小 (B)淋巴結轉移 (C)器官轉移 (D) 分化
66.皮膚長一良性腫瘤,呈鮮紅色或藍色,最有可能是: (A)動脈瘤(aneurysm) (B)黑色素瘤(melanoma) (C) 血管瘤(hemangioma) (D)痣(nevus)
67.卡波西肉瘤(Kaposi sarcoma)好發於何種病人? (A) 愛滋病(AIDS) (B)結核病(tuberculosis) (C)痲瘋病(leprosy) (D)白血病(leukemia)
68. 男性發生冠狀動脈硬化,發生率最高的平均年齡是: (A)10歲 (B)20歲 (C)40歲 (D) 60歲
69.微血管型血管瘤(capillary hemangioma)最常發生的部位是: (A)肝臟 (B)心臟 (C)肺臟 (D) 皮膚
70.下列何者不會出現在氣喘(asthma)病人痰中? (A)Curschmann spiral (B)Charcot-Leyden crystal (C)eosinophil (D) Aschoff body
71.下列有關胃幽門螺旋桿菌之敘述,何者最不正確? (A)誘發胃黏膜發炎和免疫反應 (B)產生磷脂酶(phospholipase),破壞胃上皮細胞 (C)刺激胃酸分泌 (D) 侵入胃腺體,刺激黏液產生
72.下列何者與胃的黏膜相關淋巴瘤(MALToma)最有關? (A)部分胃切除手術 (B) 幽門螺旋桿菌感染 (C)長期食用醃製食品 (D)長期使用止痛藥物
73.Barrett氏食道是指黏膜上皮的何種變化? (A)異生(dysplasia) (B) 化生(metaplasia) (C)缺陷瘤(hamartoma) (D)癌化(canceration)
74.膽道癌(cholangiocarcinoma)與下列何種放射線檢查物質的使用最具相關性? (A)Barium (B)air (C) Thorotrast (D)131I
75.一位45歲男性因無痛性頸部腫塊就醫,身體檢查發現全身性淋巴腺腫大,血液檢查正常,骨髓檢 查發現骨質旁有不正常淋巴細胞聚集,則下列何者是最可能的診斷? (A) 濾泡性淋巴瘤(follicular lymphoma) (B)柏基特氏淋巴瘤(Burkitt lymphoma) (C)多發性骨髓瘤(multiple myeloma) (D)廣泛性大B細胞淋巴瘤(diffuse large B-cell lymphoma)
76.一位30歲女性因經血過多超過兩年而出現貧血,她的貧血屬於下列何型? (A) 小血球低血色素型 (B)大血球低血色素型 (C)大血球高血色素型 (D)正常血球正常血色素型
77.31歲女性因下腹脹痛和發燒一週而住院,理學檢查發現右側子宮附屬器官腫大,內視鏡下見右側 輸卵管部位腫脹且與周圍組織界限不明顯,最有可能引起此病變之微生物為: (A)人類乳突瘤病毒(human papilloma virus) (B) 淋病雙球菌(Neisseria gonorrhoeae) (C)結核桿菌(Mycobacterium tuberculosis) (D)鳥型結核分枝桿菌(Mycobacterium avium)
78.34歲女性因週期性之腹痛來門診,其腹痛與月經之週期有關聯性;結婚6年來試圖懷孕皆無效, 腹腔鏡在卵巢和子宮之表面有甚多0.3-0.6公分之紫藍色小囊腫,其最可能之診斷為: (A) 子宮內膜異位症(endometriosis) (B)子宮內膜腺癌(endometrial adenocarcinoma) (C)肌層腺體症(adenomyosis) (D)子宮肌瘤(uterine leiomyoma)
79.下列有關副甲狀腺激素的敘述,何者錯誤? (A) 活化蝕骨細胞,將鈣吸收到骨骼中 (B)增加腎小管對鈣之再吸收 (C)在腎臟活化維生素D (D)增加腸胃道鈣之吸收及小便中磷酸鹽排泄
80.庫欣氏症候群(Cushing syndrome)的主因是: (A) 腎上腺皮質荷爾蒙分泌過多 (B)腎上腺髓質荷爾蒙分泌過多 (C)甲狀腺荷爾蒙分泌過多 (D)副甲狀腺荷爾蒙分泌過少
申論題 (0)
相關試卷
115年 - 115-1 專技高考_醫事放射師:基礎醫學(包括解剖學、生理學與病理學)#137332
115年 · #137332
114年 - 114-2 專技高考_醫事放射師:基礎醫學(包含解剖學、生理學與病理學)#128936
114年 · #128936
114年 - 114-1 專技高考_醫事放射師:基礎醫學(包括解剖學、生理學與病理學)#125105
114年 · #125105
113年 - 113-2 專技高考_醫事放射師:基礎醫學(包括解剖學、生理學與病理學)#121646
113年 · #121646
113年 - 113-1 專技高考_醫事放射師:基礎醫學(包括解剖學、生理學與病理學)#118702
113年 · #118702
112年 - 112-2 專技高考_醫事放射師:基礎醫學(包括解剖學、生理學與病理學)#115878
112年 · #115878
112年 - 112-1 專技高考_醫事放射師:基礎醫學(包括解剖學、生理學與病理學)#113165
112年 · #113165
111年 - 111-2 專技高考_醫事放射師:基礎醫學(包括解剖學、生理學與病理學)#109908
111年 · #109908
111年 - 111-1 專技高考_醫事放射師:基礎醫學(包括解剖學、生理學與病理學)#106179
111年 · #106179
110年 - 110 臺灣菸酒股份有限公司_從業職員及從業評價職位人員甄試_從業評價職位人員/護理:基礎醫學概要#111388
110年 · #111388