阿摩線上測驗
登入
首頁
>
臨床血液學與血庫學
> 99年 - 99-1 專技高考_醫事檢驗師:臨床血液學與血庫學#24577
99年 - 99-1 專技高考_醫事檢驗師:臨床血液學與血庫學#24577
科目:
臨床血液學與血庫學 |
年份:
99年 |
選擇題數:
80 |
申論題數:
0
試卷資訊
所屬科目:
臨床血液學與血庫學
選擇題 (80)
1 Tartrate-resistant acid phosphatase 染色對下列何種疾病的診斷有幫助? (A) Burkitt’s lymphoma (B) Hairy cell leukemia (C) Acute monocytic leukemia (D) Chronic lymphocytic leukemia
2 最常見之輸血引起的慢性肝炎為: (A) A 型肝炎病毒(HAV) (B) B 型肝炎病毒(HBV) (C) C 型肝炎病毒(HCV) (D) E 型肝炎病毒(HEV)
3 遺傳性 iron overload(hereditary hematochromatosis)的原因中,以何者為最常見? (A) HFE 基因點突變 (B) Hepcidin 基因突變 (C) Transferrin 基因突變 (D) Transferrin receptor 基因突變
4 飲食中的鐵以何種形式吸收? (A)Fe2+ (B)Fe3+ (C)hemosiderin (D)ferritin
5 血紅素之Hb-O2 dissociation curve中P50下降時表示: (A)血紅素之O2分子親和力增高,易釋出氧氣 (B)血紅素之O2分子親和力增高,不易釋出氧氣 (C)血紅素之O2分子親和力降低,易釋出氧氣 (D)血紅素之O2分子親和力降低,不易釋出氧氣
6 關於 RBC 之 hexose monophosphate pathway,下列敘述何者正確? (A)需 G6PD 參與 (B)產生 ATP 供做 RBC 之能源 (C)產生 2,3-DPG 調節血紅素與氧分子之結合力 (D)產生NAD+ 以協助修復紅血球內之氧化傷害
7 關於紅血球內的 2,3-DPG,下列敘述何者正確? (A)是 hexose monophosphate pathway 代謝產物 (B)葡萄糖代謝出 2,3-DPG 的過程中可產生更多的 ATP (C) 2,3-DPG 調節血紅素與氧分子之結合力 (D) 2,3-DPG 可協助修復 RBC 內發生之氧化傷害
8 人類血漿中Vit.B12為下列何者? (A) methylcobalamin (B) deoxyadenosylcobalamin (C) hydroxocobalamin (D) cyanocobalamin 代號:2104 頁次:8-2
9 下列敘述何者與紅血球生成素(Erythropoietin, EPO)促進紅血球生成無關? (A) EPO 會刺激 Late BFU-E and CFU-E 之增生 (B) EPO 會活化 GATA-1 轉錄因子(transcription factor) (C) EPO 會增強凋亡基因(apoptotic genes)的表現 (D) EPO 會增強運鐵蛋白接受器(the transferrin receptor)CD71 的表現
10 Glucose-6-phosphate dehydrogenase(G6PD)缺乏病人紅血球中的 Heinz bodies 是下列何者? (A)鐵沉澱物 (B)氧化血色素 (C)寄生蟲 (D) RNA
11 鐵蛋白(Ferritin)是一種: (A)水溶性蛋白鐵複合物 (B)脂溶性蛋白鐵複合物 (C)由 hemosiderin 部分消化而來的蛋白質 (D)只能儲存 400-500 個鐵原子的蛋白質
12 Methemoglobinemia 之病人血紅素: (A)Fe3+被Fe2+取代 (B)Fe2+被Fe3+取代 (C)與CO結合 (D)與S結合
13 下列何種葉酸是參與 dTMP 合成反應之 coenzyme? (A) methyl THF(tetrahydrofolate) (B) THF (C) 5,10-methylene THF polyglutamate (D) THF polyglutamate
14 血管內溶血(Intravascular hemolysis)的檢驗特徵為: (A) Hemoglobinemia, hemoglobinuria, hemosiderinuria, methemalbuminemia (B) Hemoglobinemia, hemoglobinuria, hemosiderinuria, haptoglobin 增高 (C) hemosiderinuria, methemalbuminemia, hemoglobinuria, haptoglobin 增高 (D) methemalbuminemia, hemosiderinuria, DAT(direct anti-globulin test)positive
15 紅血球生成(Erythropoiesis)之過程中,在骨髓第一個能夠被辨識為紅血球之前期細胞為: (A) BFU-E (B) CFU-E (C) Pronormoblast (D) Basophilic normoblast
16 正常人體內,鐵 65%分布於下列何者? (A)血紅素(Hemoglobin) (B)鐵蛋白和血鐵蛋白(Ferritin & hemosiderin) (C)肌蛋白(Myoglobin) (D)運鐵蛋白(Transferrin)
17 ICSH(International Committee for Standardization in Hematology)與 NCCLS(National Committee for Clinical Laboratory Standards)建議的 Hb 標準定量法為: (A) Acid hematin method (B) chemical method (C) oxygen capacity method (D) cyanmethemoglobin method
18 下列何者不屬於紅血球細胞膜之結構蛋白(structure protein)? (A) spectrin (B) ankyrin (C) Band 3 (D) Band 4.1
19 Acid elution test 的目的在偵測血球中的: (A)HbS (B)HbH (C)HbF (D)HbA1C
20 下列何者為檢測 β-thalassemia minor 之最佳檢驗工具? (A)HbF (%)下降 (B)HbA2 (%)上升 (C) acid elution test (+) (D) BCB test (+)
21 MCV 的表示單位通常用: (A)% (B) pL (C) nL (D) fL
22 A 細胞所含內涵物為: (A) Howell-Jolly’s bodies (B) basophilic stippling (C) siderocytic granules (D) Pappenheimer bodies
23 承上題,B 細胞為: (A) giant platelet (B) target cell (C) polychromatophilic RBC (D) normoblast
24 某位病人有DIC的現象,WBC數目為 4×109 /L,95%的白血球是大型atypical的單核細胞並具有大型藍 紫色顆粒,一部分的白血球有Auer rods,所有的白血球呈現peroxidase (+)。此病人可能為下列何種疾 病? (A) AML M3 型 (B) AML M4 型 (C) AML M5 型 (D) AML M6 型
25 某位病人周邊血WBC為 2.5×109 /L,95%為blast cells;骨髓的細胞染色與細胞標誌分析結果為 peroxidase (-)、TdT (+)、HLA-DR (+)、Cµ (-)、CD3 (-)、CD7 (-)、CD10 (+)、CD19 (+)、CD20 (-)。 此病人可能為下列何種疾病? (A) CLL (B) T-ALL (C) early pre-B ALL (D) B-ALL
26 下列何種 AML 具 CD41 (+)的特性? (A) AML M1 型 (B) AML M3 型 (C) AML M5 型 (D) AML M7 型
27 Philadelphia chromosome 是由何染色體轉位形成? (A) 8 與 21 (B) 15 與 17 (C) 21 與 22 (D) 9 與 22
28 下列何種細胞只有分化能力,但無法進行分裂? (A) myeloblast (B) promyelocyte (C) metamyelocyte (D) myelocyte
29 染色體病變 t(8;21)常見於下列何種病變? (A) B-ALL (B) T-ALL (C) AML-M2 (D) AML-M3
30 下列何種疾病會導致嗜中性球的趨化能力缺失? (A) Hurler’s syndrome (B) Lazy leukocyte syndrome (C) Pelger-Huët anomaly (D) May-Hegglin anomaly
31 下列何者是胎兒在 3-7 月的主要造血器官? (A) Yolk sac (B) Bone marrow (C) Thymus (D) Spleen
32 某新生兒的白血球計數為 40.0×109/L,而其白血球的分類計數結果如下:neutrophil 32.0×109/L, lymphocyte 2.0×109/L,monocyte 6×109/L,nucleated RBCs 20 per 100 WBC。則正確的WBC count應為: (A) 32.0×109/L (B) 36.0×109/L(C)33.3×109 /L (D) 26.7×109/L
33 下列何者是造血幹細胞的主要表面抗原? (A) CD4 (B) CD20 (C) CD34 (D) CD38
34 下列何種酶的突變與 Kostmann’s syndrome 的形成有關? (A) Elastase (B) Myeloperoxidase (C) Acid phosphatase (D) Collagenase
35 骨髓纖維症(Myelofibrosis)其骨髓纖維化的現象,是因為 fibroblast 受何種細胞分泌的物質刺激而 增生? (A) Megakaryocytes 與 Platelets (B) Myeloblasts 與 Monoblasts (C) Plasma cells (D) Fagot cells
36 下列何種疾病通常不會出現骨髓纖維化的現象? (A) Essential thrombocythemia (B) Myelofibrosis (C) Polycythemia vera (D) Refractory anemia
37 當存在物質能正確地被該檢驗方法測出,主要在描述一個檢驗的何種品管特性? (A) Sensitivity (B) Specificity (C) Variation (D) Reliability
38. t(14;18)(q32;q21)的染色體轉位使兩個基因 Bcl-2 及 IgH(immunoglobulin heavy chain)融合一起,此變化最有可能見於下列何種疾病?(A) Follicular cell lymphoma (B) Mantle cell lymphoma (C) Adult T cell leukemia/lymphoma (D) Diffuse large cell lymphoma
39 附圖是一位 chronic myeloid leukemia 患者的周邊血液抹片。則箭頭所指的這些細胞最有可能是下列 何者?
(A) Promyelocytes (B) Basophils (C) Myeloblasts (D) Myelocytes
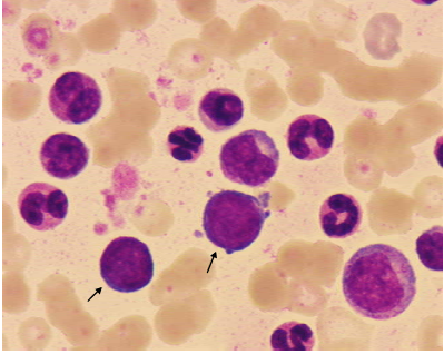
40 其骨髓抹片如附圖所示,則左圖中細箭頭所指的細胞是下列何者? (A) Lymphocytes (B) Monocytes (C) Basophils (D) Normoblasts
41 附圖中左圖及右圖粗箭頭所指的細胞中的細棒狀物體是下列何者? (A) Döhle body (B) Auer rod (C) Hemophagocytosis (D) Barr body
42 附圖中左圖及右圖粗箭頭所指的細胞中的細棒狀物體,是下列何種物質不正常聚集的結果? (A) Acid phosphatase (B) Alkaline phosphatase (C) Myeloperoxidase (D) Nonspecific esterase
43 此病人特有的基因變化最有可能是下列何者? (A) PML-RARα (B) CBFB-MYH11 (C) RUNX1-ETO (D) NPM-ALK
44 下列何者最有可能是治療此病人之第一線用藥? (A) Hydroxyurea (B) Interferon (C) Rituximab (D) All-trans-retinoic acid
45 以凝血酶原時間(prothrombin time)監測口服抗凝固劑之最適合的理由為: (A)藥劑在肝臟代謝 (B)凝血酶原時間不易受干擾 (C)第七凝血因子半衰期最短 (D)凝血酶原時間檢驗時間短
46 下列何者是血液中 plasmin 最主要之抑制蛋白? (A)antithrombin (B)α2-antiplasmin (C) plasminogen activator inhibitor (D) lupus anticoagulant
47 那一種血型的人血清中 von Willebrand factor 含量最低? (A) A 型 (B) B 型 (C) O 型 (D) AB 型
48 血小板表面 glycoprotein IIb/IIIa 可以和那些物質結合?①collagen ②fibrin ③fibrinogen ④vWF ⑤epinephrine (A)①②③ (B)②③④ (C)③④⑤ (D)②④⑤
49 下列何種物質不是由血小板 dense bodies 所釋放? (A) ADP, ATP (B) GDP, GTP (C) PF3 (D) serotonin
50 正常情形下有多少血小板儲存在脾臟? (A) 10% (B) 25% (C) 35% (D) 60%
51 Gray platelet syndrome 主要是缺乏下列何者所致? (A) α-granule (B) Dene granule (C) Lysosome (D) Glycoprotein Ib
52 Thrombospondin 由血小板的何種 organelle 釋放? (A) lysosome (B) α-granule (C) peroxisome (D) Dense bodies
53 血小板第四因子(PF4)主要的作用為: (A) antiheparin (B) antifibrinolysis (C) antiplasmin (D) antithrombin
54 引起 Platelet-type von Willebrand disease 的原因為何? (A) vWF 無法和血小板結合 (B) vWF 在血小板接受器減少 (C)肝臟疾病造成 vWF 減少 (D) vWF 與血小板接受器過度結合
55 何種 von Willebrand disease 完全缺乏 vWF 的聚合分子? (A) Type 1 (B) Type 2A (C) Type 2B (D) Type 2M
56 有下列那些情形的病人,會有 bleeding time(BT)和 APTT 均延長的現象?①von Willebrand 氏病 ②維生素 K 缺乏 ③血友病人使用阿斯匹靈 ④病人患有散播性血管內凝血症 (A)①③ (B)②④ (C)①③④ (D)①②③④
57 特發性血小板減少紫斑症病人,最主要是因具有下列何種抗血小板抗體之故? (A)抗 GPIIbIIIa 抗體 (B)抗 GP140 抗體 (C)抗 PF3 抗體 (D)抗 PF4 抗體
58 下列何種情形不會造成血小板數目減少? (A)脾臟切除 (B)病人化療 (C)再生不良性貧血 (D) Thrombopoietin 減少
59 內皮細胞具有那些功能:①抑制血小板活化 ②活化纖溶系統 ③活化 thrombin 生成 ④提供反應 介面 (A)①③ (B)②③ (C)①③④ (D)①②④
60 下列何者與 fibrin clot 的穩定度有關? (A) Factor XIIa (B) Factor XIIIa (C) Plasmin (D) Thrombin
61 那一型 von Willebrand 症會發生血小板缺乏? (A)第一型 (B)第二 A 型 (C)第二 B 型 (D)第二 M 型
62 血管內皮細胞貯存 von Willebrand 因子的胞器為? (A) Dense 顆粒 (B)高基氏體 (C) Weibel-Palade 體 (D)粒線體
63 肝素治療之安全濃度應調在多少之間? (A) 0.05-0.15 U/mL (B) 0.15-0.30 U/mL (C) 0.35-0.7 U/mL (D) 0.75-0.9 U/mL
64 監測肝素治療最好的方法是? (A) bleeding time (B) prothrombin time (C) thrombin time (D) anti-factor Xa 活性
65 下列何者不是 MYH9 血小板缺乏症候群的周邊血液抹片特徵? (A)巨大血小板 (B)血小板數減少 (C)白血球胞質有內涵物(Döhle-like inclusion body) (D)不成熟白血球
66 下列有關纖維蛋白裂解產物之敘述,何者正確? (A)低分子量產物比較有抗凝固作用 (B)高分子量產物比較會吸附血小板 (C)裂解產物 X 與 Y 是裂解早期產物 (D)裂解產物 E 是最高分子量的產物
67 血小板濃厚液及分離術血小板的保存溫度及保存期限各為何? (A) 1-6℃,5 天 (B) 24-27℃,5 天 (C) 20-24℃,5 天 (D) 20-24℃,7 天
68 多袋血小板濃厚液集合為一袋後,必須多久之內輸用: (A) 2 小時 (B) 4 小時 (C) 6 小時 (D) 8 小時
69 由全血所製血小板濃厚液,至少需含有多少個血小板? (A) 3×10
11
(B) 1.5×10
11
(C) 3×10
10
(D) 1.5×10
10
70 有關嬰兒交換輸血(Exchange transfusion)的敘述,何者錯誤? (A)移除間接膽色素(indirected bilirubin) (B)移除抗體被覆的紅血球 (C)移除血漿中抗體 (D)儘量使用與嬰兒相同型的紅血球抗原
71 某早產嬰兒其膽色素為 20 mg/dL,DAT(4+),血清抗體篩檢為陽性。醫師備血以作交換輸血。若血 庫並無法獲得母親的檢體來作抗體鑑定及交叉試驗之用時,則下列何者為最正確的作法? (A)以嬰兒的血清作抗體鑑定,並作交叉試驗,以交叉試驗陰性的血液作為交換輸血之用 (B)以 O 型 Rh (-)的血液作為交換輸血之用,不必作交叉試驗 (C)堅持取得母親的檢體,否則拒絕供給血液 (D)作嬰兒紅血球的沖出液。以嬰兒血清及沖出液作抗體鑑定及交叉試驗,兩者均合者作為輸血之用
72 某病人由於 Cephalosporin 治療而呈現 DAT 陽性。現病人需要輸血,血庫應使用下列何者來進行交 叉試驗? (A)病人紅血球的沖出液 (B)病人的血清 (C)經病人紅血球吸附過的病人血清 (D)病人的血清,但血袋的紅血球必須以 Cephalosporin 來處理
73 某病人在一星期前曾經在手術中輸過四單位的紅血球濃厚液,現病人的 DAT 轉為陽性(2+), anti-IgG(+)。病人的紅血球沖出液會含有下列那一種抗體? (A)自體抗體 (B)異體抗體 (C)藥物抗體 (D)沒有抗體可偵測出來
74 某服用 Aldomet 的病人,DAT(3+),其血清及紅血球沖出液偵測出具 anti-e,決定此抗體為自體或異 體抗體的方法為: (A)以低蛋白的 anti-e 試劑測試病人紅血球的 e 抗原 (B)將病人的血清使用病人紅血球來吸附 (C)將病人的血清使用R2R2的紅血球來吸附 (D)將病人的血清使用 rr 的紅血球來吸附
75 如果一檢驗單位使用 5 個系統來做親子鑑定,則此系統的總排除能力(Cumulative power of exclusion, CPE)為:(註:PE
1
~PE
5
分別為各系統之排除能力) (A)CPE=(PE
1
)(PE
2
)(PE
3
)(PE
4
)(PE
5
) (B)CPE=(1-PE
1
)(1-PE
2)
(1-PE
3
)(1-PE
4
)(1-PE
5
) (C)CPE=1-(PE
1
)(PE
2
)(PE
3
)(PE
4
)(PE
5
) (D)CPE=1-(1-PE
1
)(1-PE
2
)(1-PE
3
)(1-PE
4
)(1-PE
5
)
76 某病人血漿中含有抗體,對所有血袋、抗體鑑定 Panel cells、抗體篩檢細胞等均有反應。則最有可能 取得相容血液的來源為: (A)祖父母 (B)父母 (C)兄弟姐妹 (D)配偶
77 下列有關 anti-U 的敘述,何者錯誤? (A)為臨床有意義的抗體 (B)只見於非裔黑人 (C)只見於(S-s-)表現型的人 (D)見於 Fy(a-b-)表現型的人
78 某 56 歲病人因尿道感染依醫師處方服用 ceftriaxone。第四天病人因倦怠及深茶色尿再度就醫。病人 血色素 7.5 gm/dL,DAT 為陽性(2+),anti-IgG(2+)及 anti-C3(1+),但抗體篩檢為陰性。下列有關其 溶血機制的敘述,何者錯誤? (A)病人可能為藥物引起紅血球上非特異性的免疫球蛋白吸附 (B)可能的機制為藥物及藥物抗體免疫複合物引起的溶血反應 (C)可能的機制為藥物吸附至紅血球,因藥物抗體引起溶血反應 (D)可能因藥物關係引起自體抗體相關的溶血反應,與藥物抗體無關
79 下列有關 Glycophorin A(GPA)之敘述,何者錯誤? (A)蛋白鏈上具有許多經 O 聯結(O-link)的醣分子,係一種醣蛋白 (B)為紅血球負電荷的主要來源 (C) GPA 上的抗原易受酵素破壞 (D)會被硫還原劑(Thio-reducing agent)破壞
80 下列有關非洲裔人 Fy (a-b-)及 Fy (Fy Blank)基因的敘述,何者正確? (A) Fy 基因的啟動子(Promoter)區域發生突變 (B) FYB 基因的外顯子發生突變造成讀碼移位(Frame shift) (C) FYB 基因內含子(Intron)的剪接位點(Splice site)發生突變 (D) Fy 基因缺失(Deletion)
申論題 (0)
相關試卷
115年 - 115-1 專技高考_醫事檢驗師:臨床血液學與血庫學#137349
115年 · #137349
114年 - 114-2 專技高考_醫事檢驗師:臨床血液學與血庫學#128964
114年 · #128964
114年 - 114-1 專技高考_醫事檢驗師:臨床血液學與血庫學#125109
114年 · #125109
113年 - 113-2 專技高考_醫事檢驗師:臨床血液學與血庫學#121666
113年 · #121666
113年 - 113-1 專技高考_醫事檢驗師:臨床血液學與血庫學#118710
113年 · #118710
112年 - 112-2 專技高考_醫事檢驗師:臨床血液學與血庫學#115897
112年 · #115897
112年 - 112-1 專技高考_醫事檢驗師:臨床血液學與血庫學#113129
112年 · #113129
111年 - 111-2 專技高考_醫事檢驗師:臨床血液學與血庫學#109906
111年 · #109906
111年 - 111-1 專技高考_醫事檢驗師:臨床血液學與血庫學#106183
111年 · #106183
110年 - 110-2 專技高考_醫事檢驗師:臨床血液學與血庫學#99961
110年 · #99961