所屬科目:醫學二:100題 ( 包括生理學,生化學,藥理學,病理學等科目及其臨床相關知識 )
77 一位 55 歲女性患者因顱內腫瘤住院,該腫瘤的肉眼觀如圖示箭頭所指,則下列有關該腫瘤的敘述中, 何者最正確?
(A)是低度惡性的神經膠質瘤 (B)是成人最惡性的腦瘤 (C)會引發單側聽力喪失 (D)會引發雙側半盲
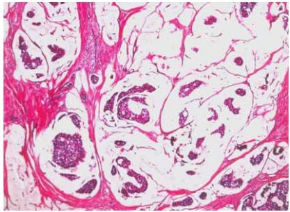
80 一位 65 歲女性於例行健康檢查發現右側乳房有一界線清楚結節,病理檢查如附圖,下列敘述何者正確?
(A)該腫瘤好發於年紀較大的女性,一般來說預後較其他種類的原發性乳房惡性腫瘤差 (B)一般來說都不會有激素接受器(hormone receptor)的表現 (C)該診斷為髓質癌(medullary carcinoma) (D)罹患該腫瘤的病人有 BRCA1 mutation 的機率較罹患其他種類的原發性乳房惡性腫瘤的病人要高