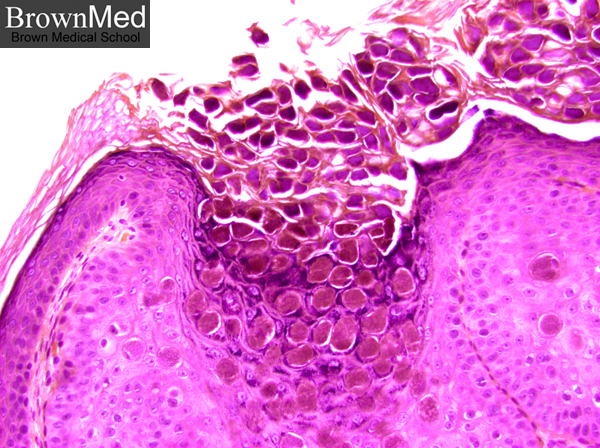
10.下列有關軟疣體(molluscum bodies)的鏡檢特徵,何者錯誤?
(A)開始形成時呈紅色,成熟後呈藍色
(B)為病毒包涵體(viral inclusion)
(C)為黑色素細胞(melanocyte)
(D)位於基底層以上
答案:登入後查看
統計: A(110), B(120), C(1475), D(202), E(0) #1845500
統計: A(110), B(120), C(1475), D(202), E(0) #1845500
詳解 (共 5 筆)
#4962638
100-1-17.下列關於軟疣體(molluscum bodies)之敘述何者錯誤?
(A)呈紅紫色
(B)為病毒包涵體(viral inclusion)
(C)在角質細胞(keratinocyte)內
(D)大部分位於基底層
答案:D
30
0
#6012252

1
0