19.有關顏面顎骨區放射線性骨壞死(osteoradionecrosis)的敘述,下列何者錯誤?
(A)如果是單獨使用放射線來治療口腔癌,因為使用的放射線劑量較大,所以較手術後輔助放射線治療容易造 成
(B)在X光片檢查時,放射線骨壞死區域都呈現骨頭被蠶食(moth-eaten bone)的外觀
(C)臨床上放射線骨壞死的區域暴露後通常都會疼痛
(D)根據學者Marx之報告,癌症病人在放射線治療後,為了防止放射線性骨壞死的發生,在拔牙前後可以接受 高壓氧治療
答案:登入後查看
統計: A(231), B(576), C(311), D(108), E(0) #2625134
統計: A(231), B(576), C(311), D(108), E(0) #2625134
詳解 (共 5 筆)
#6128196
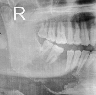
moth-eaten影像: SqCC,osteosarcoma,osteomylitis
一點一點吃掉的感覺

ㅤㅤ
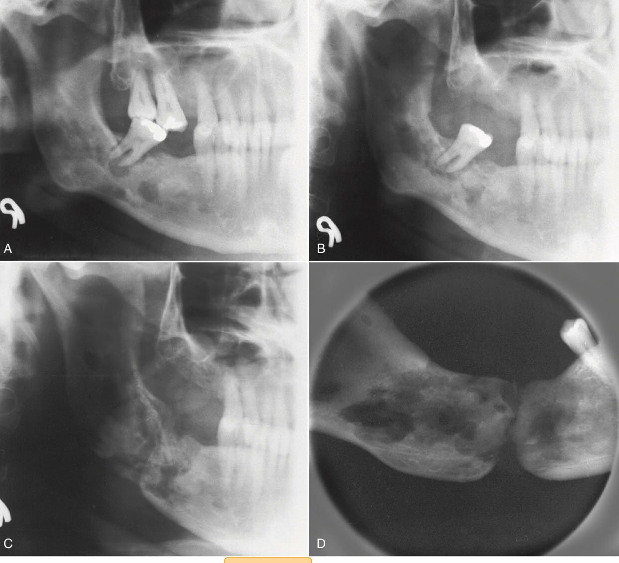
orn影像:
課本沒有特別的形容詞,個人覺得比較適合的敘述是看得出原本的型態但聚集在一起的multiple RL

22
1
#7363038
參考來源
Contemporary Oral and Maxillofacial Surgery 7th Edition CH17 P335
ㅤㅤ
ㅤㅤ
0
1