試卷資訊
試卷名稱:108年 - 108-1 專技高考_牙醫師(二):牙醫學(四)(包括口腔顎面外科學、牙科放射線學等科目及其相關臨床實例與醫學倫理)#74597
年份:108年
科目:牙醫學(四)(包括口腔顎面外科學、牙科放射線學等科目及其相關臨床實例與醫學倫理)
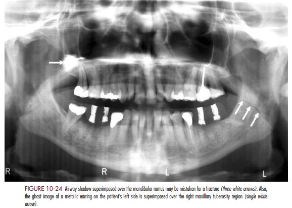
65.圖中箭頭所指之放射線透過性線條(radiolucent line)為下列何者在下顎上升枝的重疊影像?
(A)鼻腔氣道(nasal airway)
(B)鼻咽(nasopharynx)
(C)口腔氣道(oral airway)
(D)咽帆(velopharynx)
詳解 (共 1 筆)
未解鎖
其他landmark 也看一下