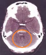
74.44歲女性有酗酒習慣,某日熬夜喝酒之後突然口語不清,吞嚥困難,因此被送到急診求治;患者未注射對比劑的電腦斷層掃描檢查如圖,最可能的診斷為何?
(A)小腦梗塞
(B)小腦出血
(C)腦幹梗塞
(D)腦幹出血
答案:登入後查看
統計: A(13), B(28), C(48), D(308), E(0) #2196934
統計: A(13), B(28), C(48), D(308), E(0) #2196934
詳解 (共 1 筆)
#6220864
Hyperdense出血性
Hypodense缺血性
可以看到腦幹的部分是hyperdense

0
1