所屬科目:醫學三:80題 ( 包括內科,家庭醫學科等科目及其相關臨床實例與醫學倫理 )
5.一位70歲女性患有糖尿病外,無其它病史,半夜突然胸痛、冒汗、想吐,送至急診時血壓137/79 mmHg,脈搏73次/分,呼吸18次/分,心電圖如下所示,緊急心導管檢查發現心肌梗塞,最可能是那一條冠狀動脈血管堵塞? (A)左主幹 (B)左前降支 (C)左迴旋支 (D)右冠狀動脈
37.一位46歲男性,過去無特殊病史,因呼吸急促,腹部腫脹而被送到急診求診。理學檢查呈現結膜蒼白,脾臟 腫大並且有腹水。實驗室數據顯示:白血球8450/μL,分類blast 2.9%,myelocyte 1%,metamyelocyte 3.8%, band 6.7%,segmented neutrophil 37.1%,lymphocyte 31.4%。血紅素9.7 g/dL,血小板55,000/μL,尿酸12.1 mg/dL(參考區間2.6~7.5),lactate dehydrogenase(LDH)2342 U/L(參考區間140~271)。其骨髓細胞顯 示如下圖。染色體有t(2;8)(p12;q24)之變化。以下關於這位病人最可能的疾病之診斷與治療,何者錯誤? (A)此病之機轉包含了c-myc之deregulation (B)此病之病程相當快速,必須儘早治療 (C)此病之治療過程必須包含腦脊髓液之檢查與intrathecal chemotherapy (D)一般而言,此病之治療效果不佳,以目前之治療,長期存活率小於3成
45.70歲的男性,因為咳嗽10個月及體重減輕就醫,其胸部X光檢查如附圖。關於進一步的檢驗,下列何者最不適當? (A)痰液塗片耐酸性染色鏡檢(acid-fast stain) (B)痰液分枝桿菌培養(mycobacterial culture) (C)痰液結核菌核酸增幅檢驗(nucleic acid amplification test) (D)丙型干擾素血液測驗(interferon γ release assay)
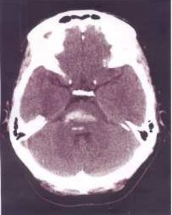
74.44歲女性有酗酒習慣,某日熬夜喝酒之後突然口語不清,吞嚥困難,因此被送到急診求治;患者未注射對比劑的電腦斷層掃描檢查如圖,最可能的診斷為何?(A)小腦梗塞(B)小腦出血(C)腦幹梗塞(D)腦幹出血
75.下圖為肝臟之超音波掃描圖,箭號所指處最不可能的病灶為: (A)肝膿瘍 (B)原發性肝細胞癌 (C)單純性囊腫 (D)轉移癌