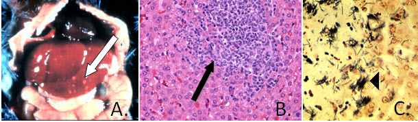
78.檢疫期之實驗小鼠出現下痢、會陰部潮濕等症狀,切片下可見肝臟及腸腺窩病變處細長桿菌部分呈芽孢化,
其病名為何?
(A)Tyzzer's disease
(B)wet tail disease
(C)transmissible murine colonic hyperplasia
(D)pseudomoniasis
答案:登入後查看
統計: A(1362), B(794), C(380), D(155), E(0) #1839586
統計: A(1362), B(794), C(380), D(155), E(0) #1839586
詳解 (共 4 筆)
#6163341
補充一下Wet tail disease是嚙齒類感染Lawsonia intracellularis後,遇到緊迫而發病,即使經過治療也可能在兩到三天死亡,小倉鼠比大倉鼠更容易得這種病。有些小倉鼠在4周大斷奶時就會染病。
主要症狀是倉鼠的尾巴會出現濕漉漉的情況,同時還夾雜著糞便。
5
0
#5885545
Tyzzer 的新(心)歌難聽到肝腸寸斷,但還是劈哩(piliform)啪啦幫忙打call (桿菌芽孢-->打call棒)
4
0
#6037520

https://cvm.missouri.edu/diseases-of-research-animals-dora/hamsters/tyzzers-disease/
2
0