阿摩線上測驗
登入
首頁
>
醫學三:80題 ( 包括內科,家庭醫學科等科目及其相關臨床實例與醫學倫理 )
> 100年 - 100-1 專技高考_醫師(二):醫學(三)(包括內科、家庭醫學科等科目及其相關臨床實例與醫學倫理)#36948
100年 - 100-1 專技高考_醫師(二):醫學(三)(包括內科、家庭醫學科等科目及其相關臨床實例與醫學倫理)#36948
科目:
醫學三:80題 ( 包括內科,家庭醫學科等科目及其相關臨床實例與醫學倫理 ) |
年份:
100年 |
選擇題數:
80 |
申論題數:
0
試卷資訊
所屬科目:
醫學三:80題 ( 包括內科,家庭醫學科等科目及其相關臨床實例與醫學倫理 )
選擇題 (80)
1 慢性心臟衰竭的患者不會因為下列何種因素產生急性惡化? (A)心肌梗塞 (B)懷孕 (C)喝酒 (D)抽菸
2 一位 32 歲女性病人懷孕 3 個月,血壓介於 156/96 至 170/105 mmHg 之間,下列何種降血壓藥為絕對 禁忌(absolute contraindication)? (A)Angiotensin converting enzyme inhibitor(ACEI) (B)Hydralazine (C)Methyldopa (D)鈣離子阻斷劑(Calcium antagonist)
3 有關婦女缺血性心臟病之敘述,下列何者錯誤? (A)停經前婦女之發生率較男性低 (B)停經後則發生率逐漸上升,和男性趨近相同 (C)婦女較男性少接受心導管檢查,亦較少接受冠狀動脈再造(coronary revascularization)手術 (D)婦女對 statin 等藥物治療,所得預後改善(benefits of improved outcome)較男性差
4 就急性冠狀動脈症候群之醫療處置而言,下列何者錯誤? (A)低血壓與 24 小時內使用過 sildenafil 為使用 nitrate 類藥物之絕對禁忌 (B)若病人無過高之出血風險,建議合併使用 aspirin 與 thienopyridine 類藥物 (C)Morphine 可用以緩解病人之呼吸低下(respiratory depression)症狀 (D)當懷疑病人為冠狀動脈痙攣性心絞痛,可使用鈣離子阻斷劑
5 有關 Prinzmetal’s Angina,下列敘述何者錯誤? (A)胸痛大多發生於休息時,但亦有三分之一病人之胸痛可於運動中發生 (B)胸痛發生時,常可見心電圖 ST 節段明顯下降 (C)心導管檢查常見無顯著狹窄之冠狀動脈造影 (D)其致病機轉和冠狀動脈痙攣(spasm)有關,且可使用 acetylcholine 誘發之
6 下列何種先天性心臟病在合併嚴重肺動脈高壓時會造成下肢發紺,而上肢不發紺,即差異性發紺 (differential cyanosis)? (A)開放性動脈導管(patent ductus arteriosus) (B)心房中隔缺損(atrial septal defect) (C)心室中隔缺損(ventricular septal defect) (D)肺動脈瓣狹窄(pulmonary stenosis)
7 一位 60 歲病人有糖尿病及高血壓,偶爾發生胸悶及呼吸困難,其休息時心電圖(resting ECG)無明 顯異常。病人自述仍能從事快走運動。當你懷疑此病人可能有缺血性心臟病時,應優先安排何種檢 查? (A)跑步機運動心電圖檢查(Treadmill exercise test) (B)心臟超音波檢查 (C)核子灌注掃描(Nuclear perfusion scan) (D)心臟磁振掃描
8 (A)舌下甘油片可緩解此病人之疼痛 (B)可針對病人之呼吸困難使用 morphine 肌肉注射 (C)以靜脈注射 amiodarone 速效劑量,再以靜脈連續輸注維持劑量 (D)直流電電擊整流術(direct current cardioversion)
9 承上題,病人經以上處置後,血壓回復至 80/60 mmHg,後續之心電圖變化如下圖。下列之處理何者 正確?
(A)替病人抽血並等待生化檢查結果以驗證診斷 (B)將病人轉至加護病房,3 小時後再追蹤心電圖以監測 ST 節段及 T 波之演變 (C)將病人送至心導管室準備進行血管再灌流處置 (D)給予 metoprolol 速效劑量以防止病人再發生心律不整
10 一位 24 歲的男性病人,住院前一個月開始斷斷續續發燒至 38.5℃,住院一週後仍無特定診斷,且在 抗生素治療後體溫仍高達 39℃。下列處置何者最無助其診斷? (A)施行周邊血液的抹片檢查 (B)審視其一週前住院時的胸部 X 光片 (C)安排全身電腦斷層檢查 (D)施行 VDRL、HIV、CMV、EBV、ANA、RF 等血清學檢查
11 一位 68 歲男性病人罹患糖尿病多年,現因發燒及全身倦怠被送至醫院,檢查時血壓 96/60 mmHg,體溫39℃,抽血白血球 13440/mm3 ,其中多核性白血球(PMN)占 95%,Cr 1.3 mg/dL,ALT(GPT) 95 U/L, sugar 200 mg/dL,驗尿中白血球為 0-2/HPF,胸部X光檢查正常。接下來先做下列那一項檢查最恰當? (A)鼻竇 X 光檢查 (B)Gallium scan (C)腹部超音波 (D)肺部高解析度電腦斷層攝影(HRCT)
12 一位 82 歲的骨癌末期併肺部移轉的病人在安寧病房中,並已簽署 DNR,主訴呼吸困難,下列何者 是最不適宜的處置? (A)安排胸部電腦斷層攝影檢查 (B)給予 lorazepam (C)給予氧氣治療 (D)給予 codeine
13 一位病人罹患肺結核,醫師給予抗結核藥物,通常會給予何種維生素以防止 isoniazid 造成的副作用? (A)Thiamine (B)維生素BB6 (C)葉酸(Folate) (D)維生素B12B
14 下列有關腹水的敘述,何者錯誤? (A)serum ascites-to-albumin gradient(SAAG)>1.1 g/dL 表示腹水的原因最可能為門脈高壓 (B)腹水白蛋白濃度低較容易發生自發性細菌性腹膜炎 (C)腹水內多核白血球>250/mm3 時,要考慮感染的可能性 (D)hepatic hydrothorax 多發生在左側
15 下列何者不是胰臟癌(carcinoma of the pancreas)的臨床表現? (A)阻塞性黃疸、灰白色糞便 (B)膽囊萎縮變小 (C)上腹部疼痛、後背痛 (D)體重減輕
16 一位 55 歲男性病人為慢性 B 型肝炎帶原者,最近腹部電腦斷層及血管攝影發現肝右葉有一 2 公分大 小的腫瘤,高度懷疑為肝癌,血清胎兒蛋白為 420 ng/mL,Child-Pugh 分類為 A,其他影像檢查並未 有腫瘤轉移情形,你最不考慮採用下列何種治療? (A)外科手術切除 (B)酒精注射治療 (C)Radiofrequency ablation (D)Systemic chemotherapy
17 一位 80 歲女性因右上腹痛合併發燒,生化檢查顯示:total protein 6.8 g/dL,albumin 3.8 g/dL,ALT 200 U/L,AST 100 U/L,alkaline phosphatase 300 U/L(正常值<100 U/L),γ-glutamyl transpeptidase 350 U/L(正常值<52 U/L),total bilirubin 5 mg/dL,direct bilirubin 3.5 mg/dL。下列何者為最可能的 診斷? (A)酒精性肝病 (B)肝臟囊腫 (C)脂肪肝 (D)總膽管結石
18 一位 49 歲男性病人,最近一個月來感覺全身倦怠及疲勞,生化檢查顯示:total protein 5.9 g/dL,albumin 2.8 g/dL,ALT 105 U/L,AST 350 U/L,alkaline phosphatase 250 U/L(正常值<100 U/L),γ-glutamyl transpeptidase 292 U/L(正常值<60 U/L),total bilirubin 6.8 mg/dL,direct bilirubin 4.1 mg/dL。 下列何者為最可能的診斷? (A)病毒性肝炎 (B)溶血 (C)Gilbert 氏症候群 (D)酒精性肝炎
19 一位 50 歲女性,已知為 B 型及 C 型肝炎帶原者 10 年,肝功能檢查一向正常,最近半年 GOT 值及 GPT 值都維持 100 U/L 左右(兩項正常值均為 0-35 U/L),為了解 B 型及 C 型肝炎是否發作,安排 下列何者定量檢驗是最恰當的?(HBV 指 B 型肝炎病毒,HCV 指 C 型肝炎病毒。) (A)HBV DNA 及 HCV DNA (B)HBV DNA 及 HCV RNA (C)HBV RNA 及 HCV DNA (D)HBV RNA 及 HCV RNA
20 黃先生,70 歲,已知有 C 型肝炎 20 年,但無肝硬化,本次因右上腹疼痛和發燒來院急診,腹部超 音波檢查發現在肝右葉有一顆 2 公分的高迴音(Hyperechoic)腫瘤和膽囊結石,電腦斷層顯示肝腫 瘤呈棉絮狀(Cotton wool)顯影。下列敘述何者錯誤? (A)症狀可能和膽囊結石有關 (B)可能為肝細胞癌,應儘早開刀處置 (C)肝腫瘤可能為血管瘤,與臨床症狀無關,建議密切觀察即可 (D)應加作胎兒蛋白和其他影像學檢查以確立診斷
21 一位 72 歲男性病人因便血 4 天住院,住院後仍解多次紅色血便。住院後第 1 次大腸鏡檢查發現大腸 內多處血塊,而腹部血管攝影沒發現出血部位。住院後第 2 次大腸鏡檢查結果發現乙狀結腸處有一 病變如附圖。該病變經電燒後病人便血症狀消失。下列何者為此病人之最佳臨床診斷?
(A)大腸癌 (B)大腸憩室(diverticula) (C)大腸血管擴張(ectasia) (D)大腸炎
22 一位 65 歲男性因冠狀動脈狹窄,接受心臟血管繞道手術,術後尿量逐漸減少,現在每小時僅有 1 5 mL,懷疑有急性腎衰竭。為了分辨prerenal或intrinsic renal急性腎衰竭,醫師送檢尿液及血液生化 值,結果血中之肌酸酐(Cr)為 3 mg/dL,BUN 35 mg/dL,Na為 130 mEq/L,K為 5 mEq/L,尿中之 Cr為 40 mg/dL,Na為 50 mEq/L,尿比重=1.010,FE
Na
是多少? (A)0.2% (B)2.9% (C)10.3% (D)35%
23 一位 65 歲病人有十年的糖尿病史和七年的高血壓,半年前因為冠狀動脈疾病住院,做了血管攝影和 氣球擴張術。出院時的血壓控制在 130-150/75-85 mmHg,血清肌酸酐是 1.8 mg/dL。近四個月他的血壓 控制不理想,約在 165-180/95-110 mmHg;飯前血糖值為 140 mg/dL,血清肌酸酐上升到 3.5 mg/dL。 有關此病人的進一步診斷處理,下列何者比較正確? (A)可能是腎上腺腫瘤,理學檢查應該特別注意腹部的觸摸 (B)可能是顯影劑引起的腎功能衰退,再觀察三個月看腎功能是否恢復 (C)安排 captopril 腎臟同位素攝影,考慮腎動脈狹窄 (D)這是糖尿病腎病變的惡化過程,應再嚴格控制血糖
24 一位 75 歲女性,因昏迷而被送入院,其血清鈉(sodium)被發現為 105 mEq/L。病史問起來,家中 沒人照顧,昏迷可能有幾天之久了,提高血清鈉時需注意於第一天內(24 小時內)提高血清鈉不可超過多少? (A)12 mEq/L (B)20 mEq/L (C)24 mEq/L (D)30 mEq/L
複選題
25 下列何者不是造成慢性腎臟疾病功能變差的因素?(一律給分) (A)高血壓 (B)高血脂 (C)抽菸 (D)喝酒
26 下列那一個患者的腎絲球病變,與其他三者比較,其血清補體通常是不會下降的? (A)47 歲男性,患有 C 型肝炎十年,近半年開始出現下肢水腫,尿液分析有 300 mg/dL 蛋白,高倍鏡 檢有 20-30 RBC (B)55 歲男性拔牙後引起心內膜炎(infectious endocarditis)。尿液分析有 300 mg/dL 蛋白,高倍鏡檢 有 20-30 RBC (C)25 歲女性,兩年前開始,上呼吸道感染兩天後就會出現肉眼可見血尿。尿液檢查有 100 mg/dL 蛋 白,高倍鏡檢有 15-20 RBC (D)34 歲女性,一年前開始有多發性關節炎,臉頰並有紅疹,抗核抗體為陽性。三個月開始出現水腫, 尿液分析有 500 mg/dL 蛋白,高倍鏡檢有 20-30 RBC, 10-15 WBC
27 關於腎病症候群(nephrotic syndrome)的敘述,下列何者錯誤? (A)腎病症候群的特點為重度蛋白尿,低白蛋白血症,高脂血症和水腫 (B)高蛋白飲食為治療腎病症候群的必要方式之一 (C)膜性腎病變(membranous glomerulonephritis)腎絲球腎炎容易發生腎靜脈血栓 (D)腎病症候群患者其血漿滲透壓降低,可刺激肝臟脂蛋白合成而造成高脂血症,其中以低密度脂蛋 白及膽固醇之增加為最常見
28 有關急性腎衰竭的敘述,下列何者錯誤? (A)腎前性的腎衰竭是最常見的原因,通常尿液的鈉離子濃度<10 mmol/L (B)缺血性腎衰竭引起的腎小管壞死即使在給予矯正腎血流後,腎功能絕對不會恢復 (C)腎毒性藥物,譬如抗生素或是抗癌藥,引起的急性腎衰竭通常是對於近端腎小管的傷害 (D)病人尿量若一天少於 100 mL,應考慮可能是阻塞性的腎衰竭
29 下列全身性紅斑狼瘡病之臨床表現,那一項最需要以高劑量類固醇治療(>1 mg/kg/day)? (A)Class II mesangial glomerulonephritis (B)Thrombocytopenia(45000 cells/mm3 ) (C)Cerebrovascular accident (D)Abdominal mesenteric vasculitis
30 一位 16 歲的男性患者主訴為三天前在兩側大腿以下出現有紅豆狀的紅色丘疹,並有輕度壓痛感(如附 圖)。此外,有關節痛及肚子痛的症狀。抽血檢查發現 ESR 31 mm/h、CRP 2.74 mg/L、IgG 1720 mg/dL、 IgA 534 mg/dL、IgM 129 mg/dL,尿液檢查呈現蛋白質(++)。最可能的診斷為何?
(A)Infectious mononucleosis (B)Henoch-Schönlein purpura (C)Amyloidosis (D)Acute eczema
31 一位 54 歲的男性最近半年來時常發生流鼻血並有倦怠及食慾不振,照胸部 X-ray 發現有多處腫瘤樣 陰影存在(如附圖左側)。經由 VAT 作肺組織切片,其病理組織如附圖右側。血清學檢查發現 cANCA29.4 U/mL。最可能的診斷為何? (A)Non-small cell carcinoma (B)Tuberculoma (C)Wegener’s granulomatosis (D)Mesothelioma
32 一位 24 歲男性的右手腕關節疼痛腫脹有二個月之久。他本人不記得右手有受傷過,經服用消炎片雖 有止痛效果,但是該關節越來越惡化而無法彎曲。X 光檢查如附圖。抽取關節液檢查發現:WBC105000/μL、glucose<20 mg/dL,顯微鏡觀察無結晶物發現。最適切的診斷為何?
(A) Rheumatoid arthritis (B)Calcium pyrophosphate dihydrate deposition disease (C)Infectious arthritis (D)Complex regional pain syndrome
33 一位急性白血病患者的白血病細胞 peroxidase 反應為陰性,並有 CD19, CD10 抗原表現,則此病人為 何種白血病? (A) B-細胞急性淋巴芽細胞白血病 (B)T-細胞急性淋巴芽細胞白血病 (C)急性單核細胞白血病 (D)急性巨核芽細胞白血病
34 病患因經常輸紅血球,導致產生 allo-antibodies,在臺灣最常見的原因是下列何者? (A) a b a Bombay blood group (B)Anti-Rh E and Rh c (C)Anti-Fy
a
or Fy
b
(D)Anti-JK
a
or JK
b
35 下列何種情況血中 D-dimer 濃度不會異常升高? (A)Hemarthrosis (B)Five days after major operation (C)Brain sinus thrombosis (D)Inferior vena cava thrombosis
36 下列何者不是多發性骨髓瘤診斷的必要條件? (A) Hypergammaglobulinemia (B)Clonal plasma cells in bone marrow (C)M-protein in serum or urine (D)Bone destruction
37 下列藥物中,何者對多發性骨髓瘤的治療效果最好? (A)Gifitinib (B)Bevacizumab (C)Trastuzumab (D)Bortezomib
38 第九凝血因子之基因位於下列那一條染色體? (A)X Chromosome (B) Y Chromosome (C) Chromosome 9 (D) Chromosome 18
39 一位 41 歲健康女士,公司提供年度健康檢查發現血中 CA 19-9 數值為 42.6 U/mL,高於正常值(<37 U/mL),因此到醫院求助;其它項目皆無異狀。下列何者是比較合理的做法?(A)解釋並安慰(B)安排大便潛血,胃鏡、大腸鏡(C)安排腹部超音波(D)直接做電腦斷層攝影
40 一位 35 歲女性最近幾天突然出現行動時呼吸困難,且有嚴重貧血、黃疸和茶色尿現象。驗尿檢查發 現:protein (2+),glucose (-),occult blood (4+),bilirubin (± ),urobilinogen (3+),sediment RBC 2-3/HPF, WBC 0-2/HPF,少數 hyaline casts。從尿液檢查結果判斷,與此病患相關的最可能問題為何? (A)Obstructive jaundice (B)Methemoglobinemia (C)Hemoglobinuria (D)Homocystinuria
41 一位 45 歲女士,20 年前即發現有慢性 B 型肝炎,最近體檢發現血紅素 11.5 gm/dL,白血球 3,350/μL, 血小板 95,000/μL。病人無自覺症狀。回顧過去五年來的抽血檢查,血紅素多在 11.5 gm/dL 至 12.5 gm/dL 之間,白血球數目多在 3,500/μL 至 4,000/μL 之間,血小板 100,000/μL 至 120,000/μL 之間。下列何項 是最可能的診斷? (A)再生不良性貧血 (B)自體免疫性疾病造成的血球低下症 (C)藥物造成的血球低下 (D)脾臟功能過旺
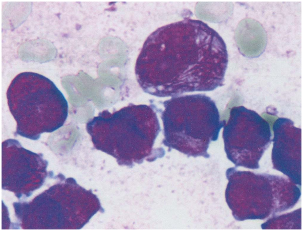
42 一位病人被發現有白血病,他的周邊血液及骨髓抹片中可看到很多不成熟的細胞(如圖所示)。這 位病人的血球細胞內最可能出現那種染色體異常?
(A)t(15;17) (B)t(9;22) (C)t(8;21) (D)t(4;11)
43 Stridor 最常見於下列何種患者? (A)氣喘症 (B)慢性阻塞性肺疾 (C)上呼吸道阻塞 (D)肺結核
44 高解析度胸部電腦斷層掃描檢查(High resolution computed tomography, HRCT)對下列疾病的診斷具 有高度的價值,何者除外? (A)彌漫性肺疾病(diffuse parenchymal disease) (B)支氣管擴張症 (C)肺氣腫 (D)縱膈腔病灶
45 下列有關嚴重敗血症與敗血性休克的敘述,何者錯誤? (A)敗血性休克時周邊血管阻抗明顯下降,周邊血流分布異常 (B)發生率逐年下降,但死亡率卻逐年攀升 (C)是因為病原菌感染引起的全身性發炎反應所致 (D)Activated protein C 為經臨床證實可改善存活的藥物
46 一位 65 歲男性患者,因呼吸困難接受肺功能檢查顯示為阻塞性換氣障礙,其 DLco 之測量值為正常預測值之 56%。下列何者為此患者最可能的診斷? (A)氣喘症 (B)慢性支氣管炎 (C)肺氣腫 (D)心臟衰竭
47 一位 70 歲男性,因為吸入性肺炎引發呼吸衰竭接受呼吸器治療,現因身體狀況改善,考慮脫離呼吸 器。下列那樣結果可預測其呼吸器脫離之失敗率很高? (A)血壓 120/80 mmHg (B)最大吸氣壓(Maximal inspiratory pressure)為-30 cmH2O (C)動脈血 pH 7.35-7.40 (D)RR(Respiratory rate)30/min 且 tidal volume 200 mL
48 一位 46 歲女性 Asthma 病患,平日使用 MDI combination therapy 控制,每個星期仍會有一次至二次 的發作。本次因為壓力型頭痛(tension headache)在開業醫師處就診,醫師給予 Aspirin,病人服用 後發生臉部潮紅、流鼻水及呼吸困難加劇的症狀。下列敘述何者錯誤? (A) Aspirin-sensitive asthma 是可能的診斷 (B)對這類病人而言,COX-2 inhibitors 是危險的藥物,不可用於病人 (C)氣喘仍控制不良時,可考慮加入 anti-leukotrienes (D)有時病患可能需要施行 Aspirin 減敏治療(desensitization)
49 一位 70 歲男性患者,因多年來有運動時呼吸困難現象,前來醫院就診。就診時沒有發燒,身體檢查發現兩手有杵狀指且聽診時可聽到兩側下肺野有細囉音(fine crackles),下列何種疾病最有可能?(A)肺炎(B)彌漫性肺部纖維化(C)肺癌(D)肺結核
50 關於第一型多發性內分泌腫瘤(multiple endocrine neoplasia, type 1)的敘述,下列那一項錯誤? (A)以體染色體顯性遺傳(autosomal dominant trait)為主 (B)最常見的表現為原發性副甲狀腺功能亢進 (C)可能出現不分泌荷爾蒙的腸道胰臟腫瘤(enteropancreatic tumors) (D)約 20-30%病人有腦下垂體腫瘤,其中以生長激素瘤(GH producing tumor)最常見
51 有關胰島素注射技術的敘述,何者錯誤? (A)不宜在固定部位長期連續注射 (B)可在腹部、上臂、大腿或臀部之部位予以皮下注射 (C)Lispro 胰島素可在進餐前 10 分鐘內注射 (D)胰島素一般以肌肉注射為主
52 下列何者不是糖尿病酮酸血症的表現? (A)噁心嘔吐 (B)尿液比重低 (C)血液之 pH 值<7.0 (D)呼吸急促及心跳加快
53 一位 30 歲女性因月經不規則來診,病人主訴初經來後即月經不規則,身體檢查發現下腹部中線有細 毛,腿毛也增多。下列敘述何者不符此症? (A)病人常有胰島素抗性 (B)病人雄性素偏高 (C)病人 FSH/LH 比率比正常高 (D)病人卵巢變大
54 一位 25 歲女性因最近 3 個月無月經來診,病人並無使用任何藥物,身體檢查發現有壓擠溢乳現象外並無其他異常,腦垂腺核磁共振檢查發現一個 0.8 公分腫瘤,下列何者為最好的處置?(A)transsphenoidal resection of tumor(B)Radiotherapy with γ knife(C)Cabergoline therapy(D)Repeat MRI 4 months later
55 一位 50 歲女性病人,主訴 2 個月來體重下降 3 公斤,理學檢查發現甲狀腺結節性腫大,無壓痛。實 驗室檢查結果為 free T4 3.2 ng/dL(參考值 0.6-1.75),TSH<0.001 μU/mL(參考值 0.1-4.5)。甲狀 腺超音波發現左葉有一個 1 公分大小低回音度的結節,懷疑可能有惡性變化。最適當的立即處理方 式為下列那一項? (A)手術切除甲狀腺 (B)給予抗甲狀腺藥物 (C)放射性碘治療 (D)給予化學治療
56 一位 40 歲女性病人,主訴前頸部痛,病人二週前有上呼吸道感染,理學檢查時發現病人之前頸部皮 膚顏色正常,但甲狀腺有局部腫大,硬且有壓痛,病人之血液並無白血球增多的現象,此病人最適 當的治療是: (A)抗生素 (B)手術切除甲狀腺結節 (C)抗甲狀腺藥物 (D)類固醇
57 下列何者為導管相關細菌感染的最主要來源? (A)病人皮膚上的菌叢和醫護人員操作時的污染 (B)原裝導管污染 (C)原裝輸液污染 (D)經由其他感染部位血流移行
58 有關休克的臨床定義,下列何者最適切? (A)血壓過低 (B)組織灌流不良 (C)為一種昏厥現象 (D)體液流失過多
59 有關抗微生物治療原則,下列那一項錯誤? (A)給予足量及適當療程之有效藥物 (B)某些抗生素每次給予劑量越大,則相隔兩劑量的時間可加長 (C)急性上呼吸道感染(感冒),多為病毒感染,大部分不需使用抗生素 (D)為預防清淨手術術後的感染,應該使用三天預防性抗生素
60 目前臺灣結核病之防治措施最重要的是下列那一項? (A)全面痰液篩檢,找出新病人 (B)找出最常見之抗藥菌株 (C)發現新病人,並配合實施都治(DOTS)計畫 (D)增加預算,擴編醫院
61 下列何者不是結核菌之特色? (A)抗酸性染色呈陽性 (B)約 2 小時分裂一次 (C)斷續使用抗結核藥物容易產生抗藥性 (D)可對多種抗結核藥物產生抗藥性
複選題
62 陳先生今年 70 歲,身體仍十分健康,並沒有任何疾病與不適。在今年的健康檢查中,意外發現有關 梅毒(syphilis)感染的血清學檢查結果如下:VDRL(Venereal Disease Research Laboratory)test, non-reactive; TPHA(Treponema pallidum hemagglutination)test, 1:2560。下列處置何者正確?(一律給分) (A)此為 early latent syphilis,應接受治療 (B)此為 secondary syphilis,應接受治療 (C)隔一個月追蹤 TPHA titer,若 titer 未下降即給予治療 (D)不需治療
63 一位 15 歲男性病人,被家裏所養的貓抓了以後,局部淋巴結腫大,診斷為 cat-scratch disease,下列 有關此病之敘述,何者錯誤? (A)此病是 Bartonella quintana 所引起的 (B)此病通常發生在小孩身上 (C)此病淋巴結的病理特徵是 granulomatous inflammation with stellate necrosis (D)此病通常不用抗生素治療也會自行痊癒(self-limited)
64 一位 45 歲男性,有肝硬化之病史,在海邊釣魚時被魚刺傷手指。一天後傷口及附近皮膚出現紅腫及 疼痛,並迅速擴散至前臂。病患因發燒而至急診求診,理學檢查發現傷口附近有出血性水泡。最有 可能的致病菌為何? (A)Vibrio cholerae (B)Aeromonas hydrophila (C)Vibrio vulnificus (D)Staphylococcus aureus
65 一位 65 歲因陳舊性腦中風臥病在床之養護機構女性住民,她長期放置導尿管,過去有幾次無症狀菌 尿症(asymptomatic bacteriuria)病史,例行性尿液檢查發現有白血球及細菌,此時她未有發燒及泌 尿道感染症狀,最合適之處理為下列何者? (A)馬上給予口服抗生素治療 (B)馬上送至醫院急診室做進一步診治 (C)尿液送細菌培養,如果陽性給予靜脈抗生素治療 (D)先行觀察,若有發燒或泌尿道感染症狀再處理
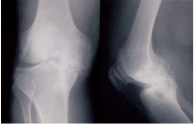
66 李先生,60 歲,因右膝疼痛影響行動,尤其是上下樓梯或斜坡時特別嚴重,右膝 X 光檢查如下圖, 李先生最可能的診斷病症是:
(A)類風濕性關節炎 (B)骨關節炎 (C)骨折 (D)膝關節脫位(dislocation)
67 小芬預定兩週後去緬甸賑災,她上行政院衛生署疾病管制局網站,網站建議需使用瘧疾預防性用藥, 網站上說明 Chloroquine 及 Mefloquine 當地皆有抗藥性,則最好的處置是下列何者? (A)不需給予藥物 (B)只需衛教即可 (C)依病人情況給予 Doxycycline 或 Malarone(Atovaquone/proguanil) (D)依病人情況給予 Chloroquine 或 Mefloquine
68 以下為一份成人預防保健檢查報告:基本資料:男性,45 歲;疾病史:慢性肝炎;長期用藥:無; 健康行為:吸菸(1 包/天)、經常喝酒、不嚼檳榔、偶爾運動;健檢資料:身高 162 公分、體重 78 公斤、血壓 114/65 mmHg、脈搏 61 次/分、腰圍 95 公分、BMI 29.72;理學檢查無明顯異常;尿液檢 查無異常;血液檢查無異常;生化檢查:Alb 3.9 g/dL, Globulin 3.1 g/dL, AST 48 U/L, ALT 67 U/L, Sugar AC 98 mg/dL, T-CHO 200 mg/dL, TG 140 mg/dL, BUN 14 mg/dL, Cre 1.1 mg/dL, Uric acid 8.0 mg/dL, 此病人檢查結果的判讀何者錯誤? (A)病史有慢性肝炎加上異常肝功能,需進一步檢查病因 (B)病人依行政院衛生署的標準可診斷為肥胖症 (C)病人依行政院衛生署的標準可診斷為代謝症候群 (D)需建議病人以治療式生活型態來降低心血管疾病的危險因子
69 李先生抽菸近二十年,預計在一個月內採取行動來戒菸,李先生的行為是在跨越理論模式中的那個 階段? (A)沉思階段 (B)準備階段 (C)行動階段 (D)維持階段
70 下列社區健康診斷的方法中,何者之成本高但可深入了解社區?(A)質性調查,訪問社區的重要領袖(B)檢視社區的二手資料,如社區的流行病資料(C)以訪員作田野或家戶調查(D)運用焦點團體方式,以了解社區居民的想法
71 老人疾病的特徵不包括下列何者? (A)合併多重性疾病 (B)典型表現 (C)潛隱性疾病 (D)易有醫源性問題
72 依據世界衛生組織對安寧緩和醫療所作的闡釋,下列何者符合安寧緩和醫療的特質與精神? (A)安寧緩和醫療實施的對象為病人,而非家屬 (B)安寧緩和醫療為延緩死亡,而非加速死亡 (C)安寧緩和醫療應從診斷時就能介入,而非等到臨終前數週才介入 (D)安寧緩和醫療實施的疾病種類為癌症末期,而非其他慢性疾病的末期
73 72 歲男性,因咳嗽、胸悶及倦怠持續半年,胸部 X 光及 CT 如圖,則最正確的診斷應為:
(A)肺癌(Lung cancer) (B)慢性左肺動脈栓塞(Chronic Lt. pulmonary artery embolism) (C)左肺上葉膨脹不全(Lt. upper lobe atelectasis) (D)縱膈腔腫瘤(Mediastinal tumor)
74 曾先生有 35 年喝酒病史,過去三年內有兩次急性胰臟炎發作,最近三星期,因持續解黑便,胃十二 指腸動脈攝影如圖 A 和 B,最合理的診斷為 anterior superior pancreaticoduodenal artery 的: (A)阻塞(occlusion) (B)假性動脈瘤(pseudoaneurysm) (C)動靜脈瘻(arterio-venous fistula) (D)動靜脈畸型(arterio-venous malformation)
75 關於攝食性中毒的急救,下列何者錯誤? (A)所有病患都建議放胃管洗胃(gastric lavage) (B)不是所有病人都建議給予活性碳(activated charcoal) (C)穩定生命現象是急救的第一要務 (D)運送途中建議以左側躺(Left decubitus)姿勢運送
複選題
76 民眾給成人做 CPR 時,吹氣的速率是每分鐘幾次? (A)6-8 (B)8-10 (C)10-12 (D)12-14
77 一位 50 歲、70 公斤病人,有心絞痛、高血壓病史,主訴胸痛、冒冷汗、心悸,心電圖顯示 ventricular tachycardia(VT),血壓 90/70 mmHg、呼吸 26/min、心率 150/min,肺部聽診有囉音,你的優先處 置為何? (A) Lidocaine 100 mg 靜脈推注(push) (B)Amiodarone 150 mg 靜脈滴注(drip) (C)立刻以 150 焦耳去顫電擊 (D)鎮靜病人後,以 100 焦耳同步電擊
78 一位 30 歲原本健康的男性,暑假和朋友一起到臺東附近的海岸山脈旅遊,回家兩週後來急診,主訴 發燒、頭痛已 5 天,身體檢查發現病患腹部有如下圖不痛的病灶,該男最可能得到下列何種感染?
(A)沙門氏菌(Salmonella) (B)恙蟲(Tsutsugamushi, scrub typhus) (C)水蛭(leech) (D)鼠疫(plague)
79 某日你發現放射部的技師因為弄錯病人而錯照了一張胸部 X 光片。病人並不清楚這件事,也沒有在 這過程中受到傷害,此時你應該向上報告這個錯誤嗎?為什麼? (A)不需通報,因為這是個無傷大雅的錯誤,而且沒有造成任何傷害 (B)不需通報,因為這是無法避免的錯誤,也不能帶來什麼制度性的改變 (C)應該通報,因為弄錯病人是很嚴重的錯誤,技師應該得到應有的懲罰 (D)應該通報,因為表面上單一事件的錯誤,也可能隱藏著系統性的錯誤,不論錯誤的大小輕重,唯 有一律通報,才能進行錯誤管理
複選題
80 70 歲的王先生罹患第四期大腸癌,因肺炎發燒呼吸急促被送至急診處,醫師發現病歷中有王先生已 經簽署好的 DNR(放棄急救治療)意願書,最好的處置為何?(一律給分) (A)仍然給予氣管插管,並照 X-ray、抽血與抗生素治療 (B)已經簽署好 DNR 意願書,不給予氣管插管 (C)給予氣管插管,但是不照 X-ray、抽血與抗生素治療 (D)只給氧氣,不給予氣管插管
申論題 (0)
相關試卷
115年 - 115 專技高考_醫師(二):醫學(三)(包括內科、家庭醫學科等科目及其相關臨床實例與醫學倫理)#137317
115年 · #137317
114年 - 114-2 專技高考_醫師(二):醫學(三)(包括內科、家庭醫學科等科目及其相關臨床實例與醫學倫理)#127920
114年 · #127920
114年 - 114-1 專技高考_醫師(二):醫學(三)(包括內科、家庭醫學科等科目及其相關臨床實例與醫學倫理)#125089
114年 · #125089
113年 - 113-2 專技高考_醫師(二):醫學(三)(包括內科、家庭醫學科等科目及其相關臨床實例與醫學倫理)#120658
113年 · #120658
113年 - 113-1 專技高考_醫師(二):醫學(三)(包括內科、家庭醫學科等科目及其相關臨床實例與醫學倫理)#118724
113年 · #118724
112年 - 112-2 專技高考_醫師(二):醫學(三)(包括內科、家庭醫學科等科目及其相關臨床實例與醫學倫理)#114972
112年 · #114972
112年 - 112-1 專技高考_醫師(二):醫學(三)(包括內科、家庭醫學科等科目及其相關臨床實例與醫學倫理)#113147
112年 · #113147
111年 - 111-2 專技高考_醫師(二):醫學(三)(包括內科、家庭醫學科等科目及其相關臨床實例與醫學倫理)#108729
111年 · #108729
111年 - 111-1 專技高考_醫師(二):醫學(三)(包括內科、家庭醫學科等科目及其相關臨床實例與醫學倫理)#106186
111年 · #106186
110年 - 110-2 專技高考_醫師(二):醫學(三)(包括內科、家庭醫學科等科目及其相關臨床實例與醫學倫理)#99914
110年 · #99914