阿摩線上測驗
登入
首頁
>
一般醫學
> 102年 - 102 專技高考_法醫師:一般醫學#36638
102年 - 102 專技高考_法醫師:一般醫學#36638
科目:
一般醫學 |
年份:
102年 |
選擇題數:
100 |
申論題數:
0
試卷資訊
所屬科目:
一般醫學
選擇題 (100)
1 人的睡眠分為 REM 及 NREM 期,有關兩者的比較,下列何者正確? (A)持續時間:REM>NREM (B)腦波振幅:REM>NREM (C)啟動順序:REM 先;NREM 後 (D)啟動之傳導物質:REM- acetylcholine;NREM-GABA
2 (A)白袍高血壓症候群 (B)血壓計之 cuff 太窄 (C)夜間血壓下降不足 (D)右上臂動脈阻塞
3 承上題,下列何種方法可用來幫助判斷兩臂血壓的測量結果是否錯誤? (A)測量上臂血壓時,同時觸診同側橈動脈之脈搏(radial pulse) (B)同時以較大的 cuff 來測量兩側下肢血壓 (C)同時測量平躺及站立時的右臂血壓 (D)同時以 Doppler flow meters 來測量兩側頸動脈血流
4 體循環靜脈血中的二氧化碳運送方式,由多至少排列,其順序應為何?①重碳酸根離子(HCO3 -) ②碳醯胺基血紅素(carbamino-hemoglobin) ③溶解態二氧化碳(dissolved carbon dioxide) (A)①②③ (B)①③② (C)②①③ (D)③①②
5 下列何者是膽固醇結石(cholesterol stone)的最常見成因? (A)膽汁偏鹼 (B)膽汁中卵磷脂(lecithin)濃度過高 (C)膽汁中膽固醇濃度過高且卵磷脂(lecithin)及膽鹽濃度偏低 (D)腸肝循環(enterohepatic circulation)過度旺盛
6 大腸的主要吸收功能為主動吸收下列何種離子? (A) 鈉離子(Na
+
) (B) 鉀離子(K
+
) (C) 碳酸氫根離子(HCO
3
-
) (D) 氯離子(Cl
-
)
7 未代償性呼吸性酸中毒(uncompensated respiratory acidosis)患者最常會出現下列何種現象? (A)血中 CO
2
分壓高於 40 mmHg (B)血中 HCO
3
-
濃度低於 24 mEq/L (C)血球與全血比值低於 40% (D)血液的 pH 值高於 7.4
(A)腦下腺前葉 ACTH 腫瘤,合併兩側腎上腺髓質 atrophy (B)腦下腺前葉 ACTH 腫瘤,合併兩側腎上腺皮質 hyperplasia (C)左側腎上腺皮質(adrenal cortex)腺瘤,及右側腎上腺皮質 atrophy (D)右側腎上腺皮質(adrenal cortex)腺瘤,而且左側腎上腺皮質並未發生 atrophy
9 承上題,他進一步的身體診查可以發現下列症狀,其中何者錯誤? (A)moon face (B)acne formation (C)buffalo hump (D)acromegaly
10 排卵後體溫升高主要是因何種激素分泌增加所致? (A)泌乳素(prolactin) (B)黃體促素(LH) (C)雌二醇(estradiol) (D)助孕酮(progesterone)
11 下列有關藥物代謝物之敘述,何者最正確? (A)代謝物的極性比原化合物高 (B)代謝物較易分布於細胞內 (C)代謝物較易由腎小管再吸收 (D)代謝物較易產生中樞作用
12 下列何者被用來局部治療疥瘡和蝨病? (A)mupirocin (B)lindane (C)nitrofurazone (D)polymyxin B
13 下列何種降血糖藥物主要用於降低飯後高血糖? (A)rosiglitazone (B)acarbose (C)metformin (D)glipizide
14 下列藥物中何者最不適合作為慢性心衰竭病人之長期治療藥物? (A)bisoprolol (B)carvedilol (C)metoprolol (D)propranolol
15 下列有關降血糖藥物的描述,何者錯誤? (A)胰島素(insulin)容易受到胃腸道蛋白酶的分解破壞,因此口服無效 (B)lente insulin 內的銅離子會與短效胰島素結合,進而延遲短效胰島素的作用 (C)常規型胰島素(regular insulin)必須於三餐進食前注射給藥,效果較佳 (D)長效型胰島素(glargine insulin)的溶解度較差,不能以靜脈注射的方式給藥
16 下列藥物中,何者與 nitrates 併用在慢性心衰竭病人治療時,可減少病人死亡率? (A)dobutamine (B)hydralazine (C)captopril (D)furosemide
17 Nephrolithiasis 病人使用下列那種利尿劑可以減少腎結石? (A)acetazolamide (B)spironolactone (C)thiazide (D)furosemide
18 下列何種膽鹼酯類藥物較不會被膽鹼酯酶分解,且有類似尼古丁的作用? (A)acetylcholine (B)bethanechol (C)carbachol (D)methacholine
19 下列何種藥物可以治療陽痿? (A)alprostadil (B)misoprostol (C)latanoprost (D)zileuton
20 抗精神病藥物 chlorpromazine 對於相當多的神經傳訊物質受體均可活化,進而產生副作用,下列對於 chlorpromazine 與不同受體結合能力的強弱排列,何者正確? (A)α
1
=5-HT
2A
>D
2
>D
1
(B)D
2
>D
1
>α
1
>5-HT
2A
(C)D
2
=D
1
=α
1
>5-HT
2A
(D)D
1
>α
1
>5-HT
2A
=D
2
21 哺乳類細胞合成嘌呤核苷酸(purine nucleotide),其嘌呤環上氮原子之直接來源為何? (A)ammonia,glutamine 及 aspartate (B)aspartate,glutamine 及 glycine (C)glycine,ammonia 及 glutamate (D)urea 及 ammonia
22 RNA 的選擇性剪接(alternative splicing)會產生下列那些產物? (A)在 mRNA 的 5’端加上 polyAtail (B)在成熟的 mRNA 上,再重組外顯子(exon)的順序,產生不同的基因產物 (C)造成移碼(frameshift),產生不同的基因產物 (D)可使一個基因產生兩個以上的蛋白質
23 丙酮酸激酶(pyruvate kinase)可被下列何者活化? (A)glucose-6-phosphate (B)fructose-1,6-bisphosphate (C)acetyl-CoA (D)ATP
24 下列何者是抑制脂肪酸氧化中肉鹼醯基轉移酶(carnitine acyltransferase)的最重要分子? (A)琥珀醯輔酶 A(succinyl-CoA) (B)丙醯輔酶 A(propionyl-CoA) (C)乙醯乙醯輔酶 A(acetoacetyl-CoA) (D)丙二醯輔酶 A(malonyl-CoA)
25 有關細胞周邊型膜蛋白(peripheral membrane protein)的敘述,下列何者正確? (A)一般都是以非共價鍵方式結合在細胞膜脂質上 (B)通常是以變性的狀態離開細胞膜 (C)必須以介面活性劑處理後才能脫離細胞膜 (D)此類蛋白質具有穿膜區(transmembrane domain)
26 下列那一種胺基酸經過人體代謝後不會產生丙酮酸(pyruvate)? (A)色胺酸(tryptophan) (B)羥丁胺酸(threonine) (C)甘胺酸(glycine) (D)苯丙胺酸(phenylalanine)
27 下列那一個酵素位於粒線體電子傳遞鏈 Complex I? (A)NADH dehydrogenase (B)succinate dehydrogenase (C)ubiquinone-cytochrome c oxidoreductase (D)cytochrome oxidase
28 Antimycin A 會抑制粒線體電子傳遞的那一個步驟? (A)NADH → coenzyme Q (B)cyt b → cyt c1 (C)cyt c1 → cyt c (D)cyt c → cyt (
a
+
a
3
)
29 大腸桿菌進行同源重組(homologous recombination)的過程中,下列何種蛋白質聚集變成細長螺旋 絲狀結構並包覆在 DNA 上? (A)DNA methylase (B)DNA polymerase (C)histone (D)RecA protein
30 乳癌腫瘤組織帶有 ERBB2 基因突變,下列敘述何者正確? (A)ERBB2 是一種抑制腫瘤生長的基因 (B)此基因突變屬於隱性遺傳,要兩個 copies ERBB2 基因同時突變,才會致病 (C)此基因所表現之蛋白質與表皮生長素受器(epidermal growth factor receptor)序列相似 (D)此基因所產生之蛋白質不用與表皮生長素結合,便會持續送出「停止生長」的訊號
31 關於 Yersinia 之敘述,下列何者正確? (A)主要以 erythromycin 及 kanamycin 治療 (B)為革蘭氏陰性之絕對需氧桿菌 (C)Y. enterocolitica 無法於攝氏 4 度冰箱中生存 (D)Y. pestis 主要引起 bubonic plaque 及 pneumonic plaque
32 以下何種病原菌的感染,最常引起腹瀉(diarrhea)? (A)鮑曼氏不動桿菌(Acinetobacter baumannii) (B)假馬鼻疽假單胞菌(Burkholderia pseudomallei) (C)綠膿桿菌(Pseudomonas aeruginosa) (D)金黃葡萄球菌(Staphylococcus aureus)
33 扣子體分隔菌絲(septate hyphae with clamp connection)只出現在下列那一種情況? (A)交配後之子囊菌(Asomycotine)生殖菌絲 (B)未交配之擔子菌(Basidiomycotine)產孢菌絲 (C)交配後之擔子菌營養菌絲 (D)未交配之單性子囊菌營養菌絲
34 下列何種病毒在細胞培養上造成培養細胞之表現與其他三者不同? (A)腺病毒(adenovirus) (B)副流感病毒(parainfluenza virus) (C)腮腺炎病毒(mumps virus) (D)德國麻疹病毒(rubella virus)
35 在人類免疫不全病毒(HIV)中,下列那一個基因的產物是造成抗藥性的主因? (A)pol (B)gag (C)tat (D)nef
36 在胸腺(thymus)中,準備接受正選擇(positive selection)之 T 細胞是下列那一種? (A)TCRα:β CD4
+
CD8
+
(B)TCRα:β CD4
+
(C)TCRα:β CD8
+
(D)TCRγ:δ CD3
+
37 治療 HIV 的雞尾酒療法包括蛋白質酶抑制劑,這是因為蛋白質酶在病毒生活史的那一個過程是不可 或缺的? (A)產生病毒基因與包膜(envelope)的組裝過程 (B)產生病毒與 CD4 接合構造的過程 (C)產生病毒蛋白質的過程 (D)產生病毒與 MHC 接合構造的過程
38 T 教授的實驗室為了進行器官移植的動物實驗製備了 MHC class I 基因剔除的動物。這種動物預期會 出現何種免疫缺損? (A)巨噬細胞嗜血症候群 (B)無 γ 球蛋白血症 (C)CD8 T 細胞缺乏 (D)NKT 細胞缺乏
39 下列那一項疾病的發病機轉與第一型過敏反應最相關? (A)過敏性鼻炎(allergic rhinitis) (B)接觸性皮膚炎(contact dermatitis) (C)類風溼性關節炎(rheumatoid arthritis) (D)血清病(serum sickness)
40 許多引致免疫耐受性(immune tolerance)之機轉能夠避免 autoimmunity 的產生,但不包括下列何者? (A)淋巴細胞的中樞性去除(central deletion of lymphocytes) (B)體基因的高度突變(somatic hypermutation) (C)細胞株不活化(clonal anergy) (D)受器編組(receptor editing)
41 (A)心包膜積水(pericardial effusion) (B)肥厚性心肌症(hypertrophic cardiomyopathy) (C)擴張型心肌症(dilated cardiomyopathy) (D)主動脈剝離(aortic dissection)
42 承上題,上述疾病可能的致病原因不包括下列何者? (A)感染,包括病毒或結核菌 (B)甲狀腺機能低下 (C)惡性腫瘤,包括肺癌或乳癌 (D)肥胖
43 下列有關腸結核症(intestinal tuberculosis)的敘述,何者錯誤? (A)有合併肺結核病變者,不到一半的病例 (B)迴盲區域是最容易被侵犯的部位 (C)病患作 PPD(tuberculin purified protein derivative)皮膚試驗時,都會呈現陽性反應,有助於診斷 (D)大腸鏡檢查可能呈現潰瘍、糜爛、息肉、憩室、腫瘤等各種變化
44 關於急性心肌炎,下列何者錯誤? (A)會造成胸痛 (B)好發於年輕人 (C)心臟酵素可能上升 (D)不會造成慢性心衰竭
45 一位 40 歲男性病患有過敏性鼻炎,清晨有陣咳症狀,其胸部 X 光片正常,肺功能顯示正常。則其最 有可能之診斷為: (A)支氣管性氣喘 (B)肺結核 (C)支氣管擴張症 (D)心臟衰竭
46 下列情況何者較不可能是非傷寒沙門氏桿菌(non-typhoidal Salmonella)血管內感染? (A)健康年輕人發燒合併腸胃症狀,兩套血液培養中一套培養出沙門氏桿菌 (B)老年人發燒,三套血液培養皆培養出沙門氏桿菌 (C)瓣膜性心臟病、粥狀動脈硬化及動脈瘤的病人發生沙門氏桿菌菌血症 (D)老年人有發燒,伴隨背痛、胸痛或腹痛,且有一套血液培養出沙門氏桿菌
47 一位 35 歲婦女最近發生急性心肌梗塞,據報她家族中,有數位長輩因「心臟病」中年早逝。身體診 查發現在她的 Achilles tendon 和指節(knuckle)上,出現許多結節性黃瘤(xanthoma)。該病人的 致病機制最可能和下列那個基因缺陷有關? (A)apolipoprotein B100 (B)LDL receptor (C)lipoprotein lipase (D)apolipoprotein E 代號:1113 頁次:12-6
48 下列那一項徵候最不常見於甲狀腺功能低下的病人? (A)黏液水腫(myxedema) (B)食慾不振體重下降 (C)心包膜積水(pericardial effusion) (D)腕隧道症候群(carpal tunnel syndrome)
49 一位 65 歲有酒癮之男性患者,有胸痛、發燒、黃痰之情形,胸部 X 光片顯示有右上肺大葉性肺炎且 有 minor fissure 往下壓之情形,最有可能之致病菌為何? (A)Mycoplasma pneumoniae (B)Klebsiella pneumoniae (C)Pseudomonas aeruginosa (D)Staphylococcus aureus
50 當懷疑患者罹患 amyloidosis,將所取得的腹部脂肪組織作組織染色時,以何種染劑染色最具診斷價 值? (A)Congo red (B)Evan’s blue (C)methylene green (D)eosin
51 一般認為阿茲海默症(Alzheimer’s disease),主要是下列何種神經傳導物質缺乏所致? (A)多巴胺(dopamine) (B)乙醯膽鹼(acetylcholine) (C)血清素(serotonin) (D)正腎上腺素(norepinephrine)
52 一位右利者(right hander)發生局部腦傷之後,下列何處受傷較常出現視空間半邊忽視(visuospatial hemi-neglect)的病徵? (A)左側島葉(insula) (B)右側頂葉(parietal lobe) (C)左側視丘(thalamus) (D)右側前額葉(prefrontal lobe)
53 32 歲陳先生因工作表現良好,公司派他出國進修半年,出國前夕同事幫他餞行,當晚喝酒有些過量, 回家就在躺椅上睡著,右手靠在椅背處。隔天醒來,發現右手腕下垂,無法做伸展動作(extension), 手背虎口處也覺得麻麻的,因此他到門診求助。你認為這位陳先生,最可能的診斷是什麼? (A)腕隧道症候群 (B)尺神經(ulnar nerve)病變 (C)橈神經(radial nerve)病變 (D)臂神經叢病變
54 下列關於兒童期強迫性精神官能症(obsessive-compulsive disorder)的敘述,何者錯誤? (A)在兒童的盛行率較精神分裂症高 (B)最有效的治療方式為藥物合併認知行為治療 (C)有研究顯示和腦部基底核異常可能有關 (D)多數研究認為其和多巴胺(dopamine)及血清素(serotonin)等神經傳導物質並無相關
55 下列有關合併焦慮憂鬱疾患(mixed anxiety-depressive disorder)之敘述,何者錯誤? (A)此疾病的診斷內容,須包含焦慮與憂鬱的症狀 (B)此疾病的診斷標準,須符合焦慮症與憂鬱症的診斷標準 (C)在歐洲,或是在中國,罹患此疾病之患者常被診斷為神經衰弱症(neurasthenia) (D)在鑑別診斷中,此疾病須小心排除焦慮症、憂鬱症與人格違常
56 下列那個神經作用物質與焦慮性疾患(anxiety disorders)較無關? (A)正腎上腺素(norepinephrine) (B)血清素(serotonin) (C)γ-胺基丁酸(γ-aminobutyric acid, GABA) (D)褪黑激素(melatonin)
57 一位 70 歲女性,從一年前開始,在大腿和小腿內側長出如圖所示的網狀紅色及褐色斑,而她有多年 使用電熱器接觸患部的習慣。最可能的診斷為:
(A)缺脂性濕疹(asteatotic eczema) (B)網狀青斑(livedo reticularis) (C)火逼性紅斑(erythema ab igne) (D)汗斑(tinea versicolor)
58 有關 Borrelia burgdorferi 感染所致之 Lyme disease,下列敘述何者正確? (A)acrodermatitis chronica atrophicans(ACA)是 Lyme disease 早期的皮膚表現 (B)acrodermatitis chronica atrophicans(ACA)患者血清中,Borrelia burgdorferi 的抗體呈現陽性的比 率很低 (C)Lyme disease 所造成的關節炎大部分為對稱性 (D)治療 Lyme disease 第一線用藥為 doxycycline 與 amoxicillin,其中 amoxicillin 較適用於懷孕婦女或 幼兒
59 一位 50 歲男性,檢查發現皮膚鈣化,吞嚥困難,手指皮膚硬化且有 Raynaud’s phenomenon,以及血 管擴張。該病患應優先進行下列何項抽血檢查? (A)serum calcium and phosphate level thyroid function (B) (C)anti-centromere antibody anti (D) -mitochondria antibody
60 交替性步行支架(reciprocal gait orthosis)最常用於下列何種病患? (A)脛骨骨折 (B)腦性麻痺 (C)脊髓病變 (D)腦中風
61 最常用的下肢義肢足部設計為: (A)能量儲存式(energy storing)義足 (B)單軸式(single-axis)義足 (C)多軸式(multi-axis)義足 (D)沙奇(solid ankle cushion heel, SACH)義足
62 下列何者是腦中風病患步行訓練時,使用足踝部輔具(ankle foot orthosis)的最主要作用? (A)促進足踝部功能的恢復 (B)矯正步態 (C)防止踝關節腫脹 (D)促進神經復原
63 關於肛門的敘述,下列何者錯誤? (A)外科醫師指的肛門管(anal canal)是從肛門直腸交界處到肛門緣(anal verge) (B)齒狀線(dentate line)是內胚層(endodermal)和外胚層(ectodermal)相接的位置 (C)肛門的外括約肌是直腸腸壁肌肉的延伸 (D)肛門的外括約肌包括皮下(subcutaneous)、淺層(superficial)及深層(deep)三部分
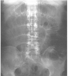
64 李太太今年 56 歲,十年前因為子宮肌瘤接受過子宮切除手術,近幾年來常常肚子悶痛,這兩天吃不 下東西,也吐了兩三次,因此被家屬帶到急診就診,目前體溫 37.8℃,心跳約每分鐘 90 下,血壓量 測為 112/64 mmHg,身體診查發現肚子很脹,目前無明顯 rebounding pain,之後急診醫師幫李太太安 排肚子 X 光和抽血檢查,躺著照的腹部 X 光片如附圖,下列有關李太太的後續治療計劃何者錯誤?
(A)從李太太的病史要高度懷疑 paralytic ileus 的診斷 (B)針對李太太的腹痛和腹脹,放置鼻胃管對症狀解除是有幫助的 (C)要積極給予點滴輸液治療,可以選擇 isotonic saline 或 lactated Ringer solution 以矯正 Na, K, Cl 的不 平衡情形;也要注意病患的尿量狀況,評估輸液治療的反應 (D)另外,要密切注意李太太的肚子疼痛反應,如果腹脹腹痛演變成腹膜炎表現,鼻胃管流出液變得 更像大便顏色,都是需要考慮手術治療的臨床證據
65 下列何項不是對於胰臟外分泌功能的檢查評估? (A)secretin/cholecystokinin test (B)breath test (C)bentiromide test (D)urea test
66 關於傷口癒合(wound healing),下列敘述何者錯誤? (A)多數傷口癒合之生長因子是以內分泌方式來產生作用 (B)黏連蛋白(fibronectin)是首先沉積於新傷口的蛋白質之一 (C)膠原蛋白之合成及分解約在受傷後 14~21 天達到平衡 (D)嗜中性白血球(neutrophils)在受傷後 24~48 小時開始聚積
67 目前最有效預防腹部手術術後發生腸黏連(adhesions)的方法為何? (A)術後使用抗發炎藥物 (B)術中使用抗凝血劑 (C)術中使用蛋白抑制劑(protease) (D)好的手術技巧
68 有關外傷性心包膜填塞(traumatic cardiac tamponade),下列敘述何者正確?①最常見於胸部鈍挫傷, 尤其常見於車禍中方向盤之撞擊 ②典型的症狀是低血壓,減弱的心音,寬的脈搏壓,緩慢的心跳 速率 ③對於穿刺性胸部傷害,血行動力(hemodynamic)穩定之病人,可以不必進行心包膜切開手 術 ④對於血行動力不穩定之病人,心包膜穿刺抽液術可暫時救回生命 (A)僅①②③ (B)僅①③ (C)僅②④ (D)僅④
69 一位 20 歲年輕人因騎機車車禍,經救護車送至急診室。到院時血壓 180/60 mmHg,心跳 55 次/min, 病人雙眼閉合,疼痛刺激時眼睛無法張開,四肢可疼痛定位,且只能發出呻吟聲,身體診查發現右 側頭皮下有血腫,右側有耳漏現象,右側瞳孔 5 mm 無光反應,左側 3 mm 有光反應,頭部 X 光片顯 示右側顳部有線性骨折。則此病人昏迷指數(GCS)為幾分? (A)10 (B)9 (C)8 (D)7
70 呼吸衰竭的病人當需要營養治療時,可採用減少製造 CO2之呼吸衰竭配方(pulmonary-failure formula) 來減輕肺部之負擔。呼吸衰竭的特殊營養配方,有下列何種特色? (A)增加脂肪類成分達每天總熱量之 50%,並同步降低碳水化合物含量 (B)增加蛋白質類成分達每天總熱量之 50%,並同步降低碳水化合物含量 (C)增加支鏈胺基酸(branched-chain amino acids)之成分達每天熱量之 50%,並同步降低碳水化合物 含量 (D)增加鉀、磷、鎂等電解質之成分,以提升胸廓肌肉之效能
71 有一位 52 歲女性糖尿病患,因右腎結石阻塞造成右腎反覆發炎合併腎臟無功能,同時患者又有膽囊 結石曾經造成膽囊發炎。因右腎及膽囊常常發炎,所以醫師建議將右腎及膽囊以腹腔鏡手術摘除。 有關這位病患的腹腔鏡手術,下列何者為最適當之敘述? (A)腎臟位於後腹腔,而膽囊位於腹腔,因此無法以腹腔鏡來施行手術 (B)因病患有糖尿病,所以只有膽囊切除可以用腹腔鏡手術來做,右腎切除應以傳統手術來做 (C)雖然發炎所造成的組織黏連(adhesion)會增加腹腔鏡手術的困難度,應該還是可以腹腔鏡來施行 手術 (D)腹腔鏡手術看得比較不清楚,又無法以雙手直接碰觸組織,所以此手術絕對不可以腹腔鏡來施行
72 腦膜炎所造成硬腦膜下膿瘍(subdural empyema),大多是因為何種細菌造成? (A)大腸桿菌((E) coli) (B)流行性感冒嗜血桿菌(H. influenza) (C)奈瑟氏球菌屬(Neisseria) (D)葡萄球菌屬(Staphylococcus)
73 關於脈動血氧飽和度(SpO
2
)的敘述,下列何者錯誤? (A)脈動血氧監測儀(pulse oximetry)主要針對血紅素在紅光(red light)和紅外光(infrared light)吸 收的程度不同來測出血氧飽和度(SpO
2
) (B)含氧血紅素在紅光譜(波長 660 nm)的吸收較多,相對的,去氧血紅素則是在紅外光譜(波長960 nm)的部分吸收較多 (C)血液中有高鐵血紅素(methemoglobin)存在時,脈動血氧監測儀(pulse oximetry)上所得到的血 氧飽和度(SpO
2
)數值較實際血中真正的血氧飽和度為低 (D)導致脈動血氧監測儀(pulse oximetry)數值不準的原因,包括了周圍光線干擾,低體溫,放置位 置不佳等可能因素
74 下列那一類藥物不是常用止痛藥的輔助藥物(adjuvants)? (A)H2 blockers (B)antidepressants (C)anticonvulsants (D)glucocorticoids
75 關於 patient-controlled analgesia(PCA)的優點,下列敘述何者錯誤? (A)可以維持較穩定的止痛效果 (B)增加病人的滿意度 (C)不須隨病人病情不同而做劑量設定上之調整 (D)可減少止痛藥的總用量
76 在接受腎臟移植術後,下列何種疾病不會在移植腎上復發? (A)甲型球蛋白腎病變(IgA nephropathy) (B)草酸鹽沉積症(oxalosis) (C)腎發育不良(renal dysplasia) (D)溶血性尿毒症候群(hemolytic-uremic syndrome) 代號:1113 頁次:12-10
77 有一位 60 歲婦女在動完腰部脊椎手術後無法正常排尿。經尿路動力學檢查發現逼尿肌(detrusor)無 反射,病人必須使用腹壓排尿,最大尿流速 5 毫升/秒、排尿量 35 毫升、殘餘尿量 450 毫升。下列 何種處置不適合治療她的排尿障礙? (A)甲型-腎上腺素受器拮抗劑(α-adrenoceptor antagonist) (B)抗膽鹼藥物(anti-cholinergic drug) (C)肉毒桿菌素尿道注射(botulinum toxin urethral injection) (D)間歇性清潔導尿(clean intermittent catheterization)
78 男性尿路感染,最常見的致病菌是: (A)淋菌(Neisseria gonorrhoeae) (B)披衣菌(Chlamydia) (C)大腸桿菌 (D)葡萄球菌
79 一位 85 歲女性,走路跌倒致左髖部疼痛,無法行走站立。髖部 X 光檢查發現左股骨轉子間骨折(left femoral intertrochanteric fracture),下列敘述何者錯誤? (A)施行內固定手術,可減少長期臥床之併發症 (B)應給予治療骨質疏鬆藥物以增進骨折處癒合 (C)老年人髖部骨折常併發高死亡率 (D)日後骨質疏鬆相關的骨折風險高於未發生骨折者
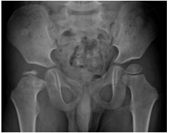
80 一位 5 歲好動男孩,近 3 個月來媽媽感覺他走路有漸漸嚴重的跛行,於診間檢查顯示他的右髖關節 外展(abduction)及內旋(internal rotation)活動有明顯受限,X 光如圖,男孩最可能罹患下列何種 疾病?
(A)過渡性髖滑囊膜炎(transient hip synovitis) (B)非特異性股骨頭缺血性壞死(idiopathic avascular necrosis) (C)感染性髖關節炎(septic arthritis) (D)股骨上端骨骺板滑脫(slipped capital femoral epiphysis)
81 一位 13 歲的男性學生,偶有背痛情形,有時在半夜睡覺時,會痛到醒過來,但白天時跑跳活動,並 沒有受到影響。脊椎電腦斷層檢查顯示在第二腰椎左側椎莖(pedicle)位置,有一個約 1 公分、邊 緣清楚的病巢(nidus)。初步藥物治療發現阿斯匹靈(aspirin)可改善夜間的劇痛。最有可能的診 斷是下列何者? (A)嗜伊紅性肉芽腫(eosinophilic granuloma) (B)骨血管瘤(hemangioma) (C)骨軟骨瘤(osteochondroma) (D)骨樣骨瘤(osteoid osteoma)
82 關於氣管切開(tracheotomy)之敘述下列何者錯誤? (A)上呼吸道阻塞為其適應症 (B)幼兒氣管切開宜使用垂直縱切 (C)通常切口位於環狀軟骨與第一氣管環之間 (D)長期氣切之併發症包括氣管狹窄(tracheal stenosis) 代號:1113 頁次:12-11
83 病人接受甲狀腺手術回病房後發現有術後出血及呼吸困難,應如何緊急處理? (A)立刻準備氣切(tracheotomy) (B)立刻壓迫頸部止血 (C)立刻插 endotracheal tube (D)立刻打開傷口,清除血塊
84 常規的聽力檢查檢測的頻率為: (A)62, 125, 250, 500, 1000, 2000, 4000 Hz (B)125, 250, 500, 1000, 2000, 4000, 8000 Hz (C)250, 500, 1000, 2000, 4000, 8000, 16000 Hz (D)500, 1000, 2000, 4000, 8000, 16000, 32000 Hz
85 一位懷孕 38 週的孕婦突然發燒,並被診斷有疱疹性咽峽炎(herpangina)。下列那一項是目前最佳 的處置建議? (A)馬上加以引產,並對嬰兒注射免疫球蛋白 (B)馬上加以引產,並根據嬰兒產後狀況決定進一步治療方法 (C)除非母親或胎兒有特別狀況,否則不需要引產,也不需要其他治療 (D)除非母親或胎兒有特別狀況,否則不需要引產,但應給母親抗病毒藥物
86 川崎氏症(Kawasaki disease)最常見的心臟長期後遺症是: (A)心肌症(cardiomyopathy) (B)二尖瓣閉鎖不全或狹窄(mitral regurgitation or stenosis) (C)房室傳導障礙(atrioventricular block) (D)冠狀動脈病變(coronary arterial disease)
87 9 個月女嬰因吃得不好、便秘、活動力差而就診,身體診查發現病人皮膚乾燥,眼眶浮腫,有臍疝氣 而且仍不會翻身。下列那一項檢查結果最符合病人的狀態? (A)血清甲狀腺素(T4)濃度低,甲狀腺促素(TSH)濃度高 (B)血清甲狀腺素(T4)濃度低,甲狀腺促素(TSH)濃度低 (C)血清甲狀腺素(T4)濃度正常,甲狀腺促素(TSH)濃度正常 (D)血清甲狀腺素(T4)濃度正常,甲狀腺促素(TSH)濃度低
88 一位 4 週大的女嬰因黃疸就診。病史詢問顯示其出生為足月正常娩出,其母親血型為 A 型 Rh 陽性, 嬰兒血型為 O 型 Rh 陰性,嬰兒以母奶餵食,目前體重較出生時增加 500 g。嬰兒自出生第 2 天即出 現黃疸,且在第 5 天時膽紅素高達 14 mg/dL,母親說嬰兒持續黃疸且糞便顏色越來越白。身體診查 顯示肝脾未腫大。實驗室檢查為 Hb 12.5 g/dL,total bilirubin 9.2 mg/dL,direct bilirubin 5.8 mg/dL, 此嬰兒最可能有下列何種情況? (A)母奶餵食導致黃疸 (B)蠶豆症 (C)延遲性生理性黃疸 (D)肝外膽道閉鎖
89 一位 5 歲男孩,最近發燒服用成藥後,突然臉色蒼白和黃疸來醫院,小便顏色變得非常深,最有可 能的病因是: (A)海洋性貧血(thalassemia) (B)G6PD 缺乏症(G6PD deficiency) (C)缺鐵性貧血(iron deficiency anemia) (D)再生不良性貧血(aplastic anemia)
90 一位 3 歲的小男生,他已會跑,但尚不會主動用口語表達,且有眼神迴避的現象,每天喜歡玩小玩 具車和看旋轉的東西,你覺得他最可能是下列何種問題的孩子? (A)Rett 氏症候群 (B)注意力不足過動障礙症(attention deficit hyperactive disorder) (C)學習障礙(learning disability) (D)自閉症(autistic disorder)
91 一位 8 個月大的男嬰被送至急診,主訴嘔吐及腹瀉 2 日,糞便呈綠水樣狀。雖然嘔吐已停止,但病 人已 8 小時未進食,12 小時未解尿,身體診查顯示前囟門及眼窩稍凹陷,嘴唇乾燥,則下列何項處 置應先執行? (A)抽血做血液培養 (B)測尿液之比重並餵食大量葡萄糖水 (C)測血液電解質及尿素氮,並開始注射含電解質之點滴 (D)測糞便中之膿細胞、還原糖,並做糞便常規檢查 代號:1113 頁次:12-12
92 下列那一種疫苗不需要在 6 個月大時常規接種? (A)B 型肝炎疫苗 (B)麻疹疫苗 (C)百日咳疫苗 (D)小兒麻痺疫苗
93 一位 21 歲女性,主訴月經不規則,身高 160 cm,體重 86 kg,外觀可見青春痘及多毛,血中 LH: 15 mIU/mL,FSH:4.8 mIU/mL,testosterone(total):75 ng/dL,其餘檢查皆正常,若病人尚無生育 之考量,下列何者為最適當之治療? (A)口服排卵藥 (B)口服排卵藥+metformin (C)針劑排卵藥 (D)減輕體重
94 一位剛有個新的性伴侶的 18 歲女性,主訴急性的頻尿、解尿不順、小腹悶痛,門診尿液檢查 leukocyte esterase dipstick 為陽性反應,她最有可能罹患: (A)急性膀胱炎(acute cystitis) (B)急性尿道炎(acute urethritis due to Chlamydia) (C)陰道炎(vaginitis) (D)間質性膀胱炎(interstitial cystitis)
95 一位 12 歲時即有初經的女孩,在她 15 歲時的經期若有下列何種型態即為不正常? (A)周期有 35 天 (B)周期有 25 天 (C)經血來了 3 天 (D)經血來了 8 天
96 一位 30 歲之初產婦,懷孕 32 週時因高血壓住院控制血壓,其血壓為 170/110 mmHg,有明顯蛋白尿 (2.6 g/24 h),超音波預估胎兒體重相當於懷孕 29 週大小,胎心音監視器顯示胎心跳變異性降低, 但心跳速度正常,無子宮收縮,她因此開始接受降血壓藥物治療。下列關於降血壓藥物治療的敘述, 何者正確? (A)降血壓藥物可以改善腎臟功能 (B)降血壓藥物可以改善胎盤功能 (C)降血壓藥物可以改善新生兒死亡率 (D)降血壓藥物可以減少孕婦發生高血壓病變的機會
97 一位 30 歲婦女,第一次懷孕,目前是懷孕第 31 週,預估胎兒體重 2600 公克,100 公克葡萄糖耐 性測驗結果如下:飯前血糖值 98 mg/dL,喝下糖水之後 1 小時血糖值 204 mg/dL,2 小時血糖值 187 mg/dL,3 小時血糖值 136 mg/dL。經飲食控制 2 週後,飯前血糖值 104 mg/dL,飯後 2 小時血糖 值 134 mg/dL,預估胎兒體重 3000 公克。下列何者為最適當的處理方式? (A)開始施打胰島素 (B)引產,因為胎兒體重已經足夠 (C)加強飲食控制 (D)測量 HbAlc
98 關於罹患初期梅毒(primary syphilis)之孕婦,下列處理何者正確? (A)懷孕末期梅毒感染不影響胎兒 (B)肌肉注射 benzathine penicillin G 為治療首選 (C)靜脈注射 aqueous crystalline penicillin G for 10-14 days (D)VDRL 可用於確定診斷及追蹤抗生素治療反應
99 一位 25 歲女性正值排卵期附近,大約 90 小時之前與男朋友有過性行為,要求採用事後避孕方式, 下列何者效果較佳? (A)一般型避孕藥(estrogen plus progestin)2 至 5 顆,一次單一劑量 (B)服用一般型避孕藥 2 至 5 顆,12 小時之後再使用相同劑量 (C)服用 Preven(FDA 核准之事後避孕藥)2 顆,12 小時之後再使用相同劑量 (D)立即裝置含銅之子宮內避孕器
100 一位 40 歲孕婦於懷孕 10 週,血壓為 150/90 mmHg,尿液檢查無蛋白尿,最可能的診斷為: (A)妊娠高血壓(gestational hypertension) (B)慢性高血壓(chronic hypertension) (C)子癇前症(preeclampsia) (D)慢性高血壓合併子癇前症(chronic hypertension superimposed with preeclampsia)
申論題 (0)
相關試卷
114年 - 114 專技高考_法醫師:一般醫學#129090
114年 · #129090
113年 - 113 專技高考_法醫師:一般醫學#121756
113年 · #121756
112年 - 112 專技高考_法醫師:一般醫學#115982
112年 · #115982
111年 - 111 專技高考_法醫師:一般醫學#110002
111年 · #110002
110年 - 110 專技高考_法醫師:一般醫學#100622
110年 · #100622
109年 - 109 專技高考_法醫師:一般醫學#89474
109年 · #89474
108年 - 108 專技高考_法醫師:一般醫學#78359
108年 · #78359
107年 - 107 專技高考_法醫師:一般醫學#71174
107年 · #71174
106年 - 106 專技高考_法醫師:一般醫學#63994
106年 · #63994
105年 - 105 專技高考_法醫師:一般醫學#54565
105年 · #54565