阿摩線上測驗
登入
首頁
>
教甄◆生物專業
> 105年 - 105年台南一中教甄生物試卷#52378
105年 - 105年台南一中教甄生物試卷#52378
科目:
教甄◆生物專業 |
年份:
105年 |
選擇題數:
20 |
申論題數:
21
試卷資訊
所屬科目:
教甄◆生物專業
選擇題 (20)
1. 下列有關玉米植株的醣類代謝敘述何者正確? (A) 二氧化碳的濃縮作用主要在葉肉細胞的葉綠體基質進行 (B) 葉肉細胞間的含碳物質之運輸主要屬於共質運輸途徑(symplastic pathway) (C) 4 碳有機酸的運送是由維管束鞘細胞至葉肉細胞 (D) 澱粉主要在葉肉細胞的葉綠體基質中合成 (E) 蔗糖主要在葉肉細胞的細胞質中合成並運輸至積儲器官(sink organ)
2. 以下關於糖解作用(glycolysis)、檸檬酸循環(citric acid cycle) 與卡爾文循環(Calvin cycle, 或簡稱卡氏循環)的敘述何者正確? (A) 三者皆會產生 NADH,並且以檸檬酸循環所產生的數量為最多 (B) 三者都會產生 ATP,其中以卡爾文循環所產生的 ATP 為最多 (C) 在真核細胞中,三者在細胞內進行的位置並不相同;檸檬酸循環主要是在粒線體基質內進行 (D) 丙酮酸為葡萄糖進行糖解作用後的產物,再經細胞質酵素作用後可繼續進入檸檬酸循環進行 代謝 (E) 糖解作用必須在有氧氣的情況下進行,而卡爾文循環則需要二氧化碳的參與
3. 有一種具固氮能力之藍綠菌發展出一特化細胞,固氮反應就在此特化細胞中進行,藍綠菌其他細 胞的光系統I與光系統II均存在,但此特化細胞僅具光系統I。據此發現,推測下列敘述何者正確? (A) 此特化細胞具數層細胞壁以阻隔二氧化碳的進入,利於固氮反應 (B) 此特化細胞的光系統I能合成大量ATP,有利於固氮反應 (C) 此特化細胞的光系統進行固碳反應,無關於固氮反應 (D) 此特化細胞的光系統I產物會誘導固氮共生細菌進行固氮作用 (E) 此特化細胞光系統 I 無氧氣形成,有利於固氮反應
4. 下列有關腎素-血管收縮素-醛固酮系統(renin-angiotensin-aldosterone system)的敘述, 何者正確? (A) 第二型血管收縮素(Angiotensin II)由心臟所製造 (B) 血管收縮素原(Angiotensinogen)由肝臟所製造 (C) 醛固酮(Aldosterone)由腦下垂體所分泌 (D) 醛固酮(Aldosterone)會增加腎臟近曲小管(proximal tube)對鈉離子的再吸收 (E) 當血壓下降時,腎素(Renin)由出球動脈上的近腎小球器(juxtaglomerular apparatus)上的 細胞分泌出來
5. 碎屑食物鏈 (detrital food chain) 是從有機物開始,經由分解者、攝食腐屑的生物到他們的 捕食者。草食食物鏈 (grazing food chain) 是從生產者 (植物) 開始,經由草食動物到肉食動 物階層。下列有關森林生態系中的碎屑食物鏈與草食食物鏈的敘述,何者為正確? (A) 流經碎屑食物鏈的能量等於草食食物鏈的能量 (B) 流經碎屑食物鏈的能量小於草食食物鏈的能量 (C) 流經碎屑食物鏈的能量大於草食食物鏈的能量 2 (D) 碎屑食物鏈的組成份子都以細菌為主 (E) 碎屑食物鏈的分解者在無氧的狀態之下較活躍
6. 周邊的神經纖維可以根據其直徑粗細以及是否有髓鞘包覆進一步加以分類,例如Aα(直徑20 μm, 有髓鞘包覆),Aβ(直徑10 μm,有髓鞘包覆),Aδ(直徑3 μm,有髓鞘包覆),B(直徑3 μm, 無髓鞘包覆),C(直徑1 μm,無髓鞘包覆)等不同的神經纖維,關於下列這些神經傳遞速度的 描述,何者正確? (A) Aα傳遞動作電位速度比Aβ快 (B) B傳遞動作電位速度比Aδ 快 (C) C傳遞動作電位速度比B快 (D) 動作電位的傳遞和神經纖維粗細無關 (E) A 比 C 適合傳遞“癢”的感覺
7. 已知水稻抗稻瘟基因(Pi-z
t
)與晚熟基因(Lm)都是顯性、聯鎖,互換值為2.4%,現用抗病、 晚熟作為其一親本,與感病、早熟另一親本雜交,計畫在F
3
選出抗病、早熟的5個純品系植株。 那麼F
2
群體至少要種植多少株才能完成任務? (A) 24,670 (B) 28,332 (C) 30,123 (D) 34,723
8. 右圖是光敏素兩種類型的吸收光譜,下列相關敘述何 者正確? (A) 甲/乙的比值上升,會促進短夜植物花 (B) 甲/乙的比值上升,會促進陽性植物的節間伸長 (C) 甲、乙型的構造差異是因為pH值不同所造成 (D) 光週期性植物開花與否要看甲/乙的比值是否 超過或低於1。
9. 小連以丙酮萃取菠菜光合色素,點在長條濾紙上共8次,每次點色素液後都 以吹風機吹乾。接著將長條濾紙放入裝有現場配製展開液(石油醚:丙酮 =9:1)的量筒中,並以鋁箔密封量筒口。右圖是他最後所得的濾紙色層 分析結果,色素a、b、c、d的顏色依序是亮黃色、黃褐色、藍綠色、草綠 色。下列相關敘述,何者錯誤? (A) 若將展開液改為酒精,則色素d的位置將會最高 (B) 量筒以鋁箔封口的目的是避免展開液揮發殆盡 (C) 若改用電泳分離光合色素,也會得到類似右圖的結果 (D) 色素a主要位於光系統I。
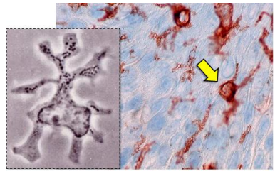
10. 右圖是皮膚組織切片的顯微照片(左小 圖是細胞的特寫照片),下列關於箭號 所指的細胞之相關敘述,何者錯誤? (A) 具有最強大的吞噬能力 (B) 活化後會變成免疫記憶細胞 (C) 可將抗原片段同時呈獻在MHC-I與 MHC-II (D) 可能源自單核球、原始淋巴球或原 始髓細胞。
11. The BLAST suite of programs can be used to? (A) display the reading frames of nucelotide sequence (B) compare a nucleotide or amino acid sequence to databases from a variety of species (C) analyze microarray data (D) find the tissues that a nucleotide sequence might be expressed in
12. In some plants, a yellow pigment is synthesized from a colorless precursor. In a cross between two parental plants, one yellow and the other colorless, an F1 generation was produced that was all yellow. The F2 produced from the F1 had 1075 yellow, 275 pink and 90 colorless plants. What mode of inheritance and phenotypic ratio do these results suggest? (A) Incomplete dominance, 1:2:1 phenotype ratio (B) Codominance, 9:6:1 phenotype ratio (C) Dominant epistasis, 12:3:1 phenotype ratio (D) Recessive epistasis, 9:3:4 phenotype ratio
13. Adaptive radiation is best described as the? (A) existence of groups of closely related species recently evolved from different ancestors through hybridization (B) existence of individuals of closely related species that originated in different areas within diverse habitats, but that have rejoined as a single species (C) existence of groups of closely related species recently evolved from a common ancestor (D) existence of groups of distantly related species recently evolved from a common ancestor 4
14. To apply parsimony to constructing a phylogenetic tree? (A) choose the tree that assumes all evolutionary changes are equally probable (B) choose the tree with the fewest branch points (C) choose the tree that represents the fewest evolutionary changes, either in DNA sequences or morphology (D) choose the tree in which the branch points are based on as many shared derived characters as possible
15. The evolutionary sequence in the development of a complex character can be best analyzed through? (A) synapomorphies (B) plesiomorphies (C) symplesiomorphies (D) phylogenetics
16. Which of the following respiratory systems is not closely associated with a blood supply? (A) the tracheal system of an insect (B) the skin of an earthworm (C) the gills of fishes (D) the skin of an amphibian (E) the lungs of a vertebrate
17. In a living organism, cells die either through apoptosis (programmed cell death) or necrosis (cells swell and burst). Which the following statement is false? (A) apoptosis is induced in immature T-cells that recognize self-antigens (B) intestinal epithelial cells losing contact with the basal lamina undergo apoptosis (C) neural stem cells undergoing apoptosis expose on their surface a signal promoting phagocytosis (D) Necrosis never induces an inflammatory immune response (E) Cytochrome C is involved in intracellular apoptotic cascade
18. The effect of various mutations in a gene x coding for a protein X, essential for the synthesis of leucine, is studied in a haploid yeast. The beginning and the end of the complete sequence of the coding strand of x is given below. Indicate the following statement is true. (A) Cells with a CT mutation at position 13 produce shorter mRNA of x (B) Cells with a AT mutation at position 37 produce shorter version of X (C) Cells with a AT mutation at position 16 are able to grow on a medium lacking leucine. (D) Cells with an additional G between positions 33 and 34 produce functional X.
19. The high osmolarity of the renal medulla is maintained by all the following except (A) active transport of salt from the upper region of the ascending limb (B) the spatial arrangement of juxtamedullary nephrons (C) diffusion of urea from the collecting duct (D) diffusion of salt from the descending limb of the loop of Henle.
20. Mycorrhizae enhance plant nutrition mainly by (A) absorbing water and minerals through the fungal hyphae (B) providing sugar to root cells, which have no chloroplasts (C) converting atmospheric nitrogen to ammonia (D) enabling the roots to parasitize neighboring plants.
申論題 (21)
【已刪除】1. 若依演化證據,可將 A~F 六種物種依據親緣關係的遠近分類,並繪成如附圖的形式,同一框線 內的代表親緣關係較近。請繪出此六物種的樹枝狀種系發生樹。(4 分)
(1) Tripos 為一活化石、請問何謂活化石,在台灣金門沿海也有活化石(此活化石又稱夫妻魚)、 老師認為是什麼生物?(2 分)
(2) 用何種水孵化 Tripos 的卵會比較適合,為什麼?(2 分)
(3) Tripos 生長的水族箱環境需要打氣嗎?換水時可以全部換新水嗎?要如何換水?(2 分)
(4) 你認為 Triops 是動物界哪一門、哪一亞門生物‚此生物用何種構造呼吸、此構造長在哪裡? (2 分)
(5) Triops能成為活化石主要為此種生物的卵非常強,老師認為此種生物的卵有何特殊的生存適 應方式?(2分)
3. 十二年國教生物課綱強調教材與教學都必須適當引介科學史,試問科學史對教學的意義為何?請 舉一例說明教學要如何運用科學史?(5 分)
(1)請標示出操縱組中的1、3及5的名稱。
(2)當蛋白質2與分子4結合後,此複合物會結合到操縱組的位置5,進而調節結構 基因的轉錄。試問,蛋白質2是一種抑制蛋白或誘導蛋白?分子4是反應式中 的哪一種分子?
(3)細菌的基因 b 突變時,無法產生有活性的酵素 b。試問酵素 c 是否有活性?
(4)承上題,將突變株培養在分別只添加一種分子 A、B、C 或 D 的培養基後,觀察 生長情形。試問,突變株可以生長在單獨添加哪幾種分子的培養基中?以大寫 字母表示。
(1)為何聯鎖基因的重組率不會超過 50%?(4 分)
(2)根據下表加卡夫於 1949 年發表加卡夫原則的數據,既然在含量上有『A=T,C=G』的關係, 為何表中有些數據卻顯示 A/G≠T/C,這不是矛盾嗎?(3 分)
【已刪除】(3)下圖是當年摩根(Morgan)團隊所製作的果蠅染色體基因輿圖,果蠅的染色體明明有 8 條染色 體,該圖為何只出現 4 個基因聯鎖群?(2 分)製作該圖的基本假設為何?(2 分)該結果為 何可支持 1902 年洒吞與巴夫來提出的『遺傳學的染色體假說』?(3 分)
(1)難度與鑑別度要如何計算?當試題分析顯示難度過高、鑑別度過低,請寫出你認為的主要原因 為何?(4 分)
(2)請列舉該試題在命題技術上有哪些不恰當之處?(5 分)
(a) is the inheritance pattern X-linked or autosomal? Dominant or recessive?(2 分)
(b) Give the genotype of each individual in the pedigree. If more than one genotypic possibility exists, present all possible alternatives. (4 分)
8. What is the difference between parallel and convergent evolution?(5 分)
9. Please describe the steps of oogenesis when fertilization occurs and when it does not occur. Why are polar bodies are produced? (5 分)
10. What is neuroendocrine? Try to demonstrate an example and how you introduce this concept to students. (5 分)
相關試卷
115年 - 115 教育部受託辦理公立高級中等學校教師甄選試題:生物科#139606
115年 · #139606
115年 - 115 新北市公立高級中等學校_教師聯合甄選試題:生物科#139195
115年 · #139195
115年 - 115-1 臺中市立豐原高級中等學校_教師甄試筆試試題:生物科#139073
115年 · #139073
115年 - 115-1 國立彰化女子高級中學_教師甄選試題:生物科#138756
115年 · #138756
115年 - 115-1 臺中市立文華高級中等學校_教師甄選專業知能試題:生物科#138724
115年 · #138724
115年 - 115-1 國立屏科實驗高級中等學校_專任教師甄選教師初試試試題_國中部:國中生物科#138629
115年 · #138629
115年 - 115-1 國立嘉科實驗高級中學_教師甄選試題_國中部:生物科#138614
115年 · #138614
115年 - 115 國立嘉科實驗高級中學_教師甄選試題_高中部:生物科#138612
115年 · #138612
115年 - 115-1 國立臺灣師範大學附屬高級中學_專任教師甄選試題:生物科#138405
115年 · #138405
115年 - 115-1 國立新竹高級中學_教師甄選初試試題:生物科#138076
115年 · #138076