阿摩線上測驗
登入
首頁
>
牙醫學(四)(包括口腔顎面外科學、牙科放射線學等科目及其相關臨床實例與醫學倫理)
> 105年 - 105-1 專技高考_牙醫師(二):牙醫學(四)(包括口腔顎面外科學、牙科放射線學等科目及其相關臨床實例與醫學倫理)#41240
105年 - 105-1 專技高考_牙醫師(二):牙醫學(四)(包括口腔顎面外科學、牙科放射線學等科目及其相關臨床實例與醫學倫理)#41240
科目:
牙醫學(四)(包括口腔顎面外科學、牙科放射線學等科目及其相關臨床實例與醫學倫理) |
年份:
105年 |
選擇題數:
80 |
申論題數:
0
試卷資訊
所屬科目:
牙醫學(四)(包括口腔顎面外科學、牙科放射線學等科目及其相關臨床實例與醫學倫理)
選擇題 (80)
1.下列有關死腔(dead space)的敘述,何者錯誤? (A)主要是因為有組織的喪失或是切除所留下的空間 (B)適當的縫合可以減少死腔的形成 (C)置放加壓敷料(pressure dressing)12到18小時,有助於fibrin之形成,以減少死腔 (D)對於減少死腔的效果,非吸引式引流管(non-suction drain)較吸引式引流管(suction drain)佳
2.下列何者無法在傷口處理時,減少死腔(dead space)的產生,下列何者不宜? (A)縫合tissue planes (B)pressure dressing (C)硬組織的空腔可以紗布加壓,止血後取出 (D)宜以尼龍線縫合肌肉層
3.下列何種病人不適合使用笑氣? (A)氣喘病人 (B)懷孕第一期婦女 (C)有心絞痛病史的病人 (D)慢性阻塞性肺臟疾病
4.下列有關神經解剖之敘述,何者錯誤? (A)三叉神經之眼分枝由上眶裂穿出 (B)三叉神經之上顎分枝,穿出圓孔,走出顱底,為純粹的感覺神經 (C)三叉神經之下顎分枝,穿出卵圓孔,走出顱底,為三叉神經中最大之分枝,為純粹的感覺 神經 (D)下齒槽神經,其最終分枝為門齒神經(incisive)及頦神經(mental nerve)
5.良好的視野(visibility),是口腔外科手術基本的要件,下列那一項並非構成良好視野的條 件? (A)無菌操作技術 (B)適當的途徑 (C)適當的燈光 (D)無過多的血液或液體積聚於手術區
6.口內注射 lidocaine 在 160 mg 以內時,血中的麻醉劑濃度約為多少 µg/mL? (A)0.5~2 (B)3.5~5 (C)6~7.5 (D)8.5~9
7.麻醉劑分子的何部分,會結合神經膜感受部位(receptor site)而阻礙去極化 (depolarization) ? (A)鈣離子(calcium ion) (B)游離鹽基(free base) (C)陰離子(anion) (D)陽離子(cation)
8.一位病人在接受下顎第三大臼齒阻生牙拔除手術,3天後回到診所抱怨半邊舌頭知覺麻木,可 能為第幾對腦神經受損? (A)第 4 對 (B)第 5 對 (C)第 6 對 (D)第 7 對
9.有關麻醉劑中的血管收縮劑 norepinephrine 之敘述,下列何者正確? (A)主要作用在 β2 接受器上 (B)會增加心跳速度 (C)提高血壓的效果比 epinephrine 明顯 (D)有明顯氣管擴張的效果
10.一般言之,關於小孩(3~9歲)的Inferior alveolar nerve阻斷麻醉方法,下列敘述何者正 確? (A)與大人注射劑量一樣 (B)小孩mandibular foramen的位置與咬合面關係,相對於成人是比較低位 (C)小孩的麻醉成功率比成人低 (D)麻醉使用2% Lidocaine without epinephrine,小孩的最高劑量為300 mg
11.有關拔除上顎後牙之根尖三分之一之殘根,下列敘述何者錯誤? (A)使用 closed technique 拔除殘根是指不須以翻瓣手術及移除骨頭方式去拔除殘根 (B)欲拔除殘根時,必須在有充足的燈光及吸唾設備下進行,及適當的沖洗血塊,方便辨認根 尖牙周韌帶位置 (C)應施以較大的力量,以便讓牙根較易頂鬆脫出 (D)在殘根小於 4 到 5 mm 且沒有根尖病灶的情形下,因臨近重要解剖器官有造成傷害的疑 慮,可考慮留置不取出
12.手術拔除下顎第三大臼齒,牙齒拔出後傷口出血。下列何者為最優先使用止血方法? (A)重新縫合 (B)壓迫傷口 (C)電燒止血 (D)結紮出血點
13.手術拔除下顎第三大臼齒阻生齒,術後的張口受限症狀若是因為注射麻藥後肌肉穿刺受傷導 致,則最常發生在那一塊肌肉? (A)顳肌 (B)外翼肌 (C)咬肌 (D)內翼肌
14.下列有關拔牙挺(elevator)的使用,何者錯誤? (A)常先用拔牙挺弄鬆牙齒,再用拔牙鉗拔出牙齒 (B)窄刃而直的拔牙挺如no. 301適合用來先弄鬆牙齒 (C)寬刃而直的拔牙挺如no. 34S可用於牙間距較寬時 (D)彎曲的拔牙挺適用於下顎前牙
15.下列那一個型號的刀片比較適合在上顎骨tuberosity處施行牙齦切開手術? (A)No. 11 (B)No. 12 (C)No. 15 (D)No. 10
16.病人罹患下列那一種疾病,在接受牙科侵入性治療前可以不需要先服用抗生素? (A)Severe atherosclerotic vascular disease (B)Prosthetic heart valves (C)Cyanotic congenital heart defects (D)Heart transplantation
17.有關影響宿主免疫力導致齒源性感染的敘述,下列何者正確? (A)癌症的病人免疫力較低,主要是癌細胞抑制淋巴球的功能 (B)類固醇能影響免疫細胞的細胞膜功能,導致降低免疫反應 (C)有HIV感染的病人因為T細胞功能被抑制,導致容易引起齒源性感染 (D)糖尿病病人因為血糖較高,導致造血能力不足,白血球的數目比正常人低
18.牙科治療時,有關抗生素預防感染的敘述,下列何者正確? (A)如果糖尿病患者飯前血糖值高過300 mg/dL,若抗生素給到兩倍劑量,即可隨時手術 (B)術後必須再給抗生素1週 (C)為了不影響口腔內菌叢的平衡,手術前如果需要服用抗生素,最好是給予制菌類 (bacteriostatic type)抗生素 (D)手術前如果需要口服抗生素,最好時間是手術前1小時
19.下顎牙齒中,何者之感染最易侵犯顎下間隙(submandibular space)? (A)第一大臼齒 (B)第二大臼齒 (C)第三大臼齒 (D)第二小臼齒
20.下列那一種微生物(microorganism)比較不常引起齒源性感染(odontogenic infection)? (A)Aerobic gram-positive cocci (B)Aerobic gram-positive rods (C)Anaerobic gram-positive cocci (D)Anaerobic gram-negative rods
21.下列有關前庭成形術(vestibuloplasty)的敘述,何者錯誤? (A)將裸露的骨膜表面以游離軟組織移植覆蓋,可減少前庭再次變淺 (B)若使用自體移植,會增加病人術後疼痛及腫脹的程度 (C)腭黏膜移植術後收縮比皮膚移植來得明顯 (D)皮膚移植可取得較大量的軟組織
22.下列關於植牙的敘述何者正確? (A)上顎前牙區植體應儘量種在顏面正中線以達到美觀 (B)若其他條件相同,植體達到骨整合的時間以下顎前牙區最慢 (C)植牙前欲以活動臨時假牙贗復缺牙區,ovate design 優於 ridge lap design (D)術前抗生素的給予是必要的
23.當一個病人要做上顎complete denture時,下列何種狀況最不需要做贋復前手術? (A)inflammatory papillary hyperplasia of the palate (B)palatine tori (C)epulis fissuratum (D)lateral palatal exostosis
24.一般建議要符合下列何要件,才可於拔牙後立即進行牙科植體之種植?①牙齒並無嚴重感染 ②齒槽內壁與植體表面縫隙要小於5 mm ③植體植入後要能維持穩定 (A)只有① (B)只有② (C)①③ (D)只有③
25.有關口腔惡性腫瘤的化學治療敘述,下列何者錯誤? (A)對於腫瘤或正常細胞的傷害,不具有完全的選擇性 (B)大部分經由靜脈方式給與 (C)也可以由動脈方式給藥 (D)有效的單一藥物效果比有效的多種藥物合用的效果更好
26.有關顎骨惡性腫瘤手術後的骨缺損重建敘述,下列何者錯誤? (A)顎骨骨頭重建好後,才能進行牙齒咬合重建 (B)感染機會高,應採延遲重建 (C)術後需做放射線治療時,宜採立即重建 (D)腫瘤復發機會高者,應採延遲重建
27.關於冷凍切片(frozen-section)病理檢查的敘述,下列何者錯誤? (A)通常於手術過程中,用來確認切除邊緣是否仍有殘留病變組織 (B)通常於手術過程中,用來確認切除組織的最終病理診斷 (C)切片前,可利用液態氮(liquid nitrogen)將送檢的組織急速冷凍 (D)切片前,可利用液態二氧化碳(liquid carbon dioxide)將送檢的組織急速冷凍
28.關於口腔癌患者接受放射線治療後發生口乾症(xerostomia)的敘述,下列何者錯誤? (A)吞嚥困難(dysphagia)與發音困難(dysphonia)與口乾症無關 (B)治療口乾症可以用人工唾液,但人工唾液的成分仍無法與天然唾液的成分完全一致 (C)用副交感神經促進劑(parasympathomimetic agent)可以刺激唾液分泌,改善口乾症 (D)原有之牙周病會因口乾症而加劇病情
29.有關齒源性角化囊腫的病理特徵,下列何者錯誤? (A)囊腫外壁薄 (B)上皮有6~8 層 (C)上皮為不全角化(parakeratinization)者比正角化(orthokeratinization)者多 (D)基底層的細胞核屬於嗜酸性
30.基底細胞痣症候群(basal cell nevus syndrome)不會有下列那一個症狀? (A)肋骨分叉 (B)基底細胞癌 (C)眼距過短 (D)齒源性角化囊腫(odotogenic keratocyst)
31.對於口腔內的囊腫病灶(cystic lesion),下列那一項治療是不適當的? (A)造袋術(marsupialization) (B)減壓術(decompression) (C)剜出術(enucleation) (D)截骨術(block resection)
32.Maxillary osteotomy 後採用V-Y closure 的目的,下列何者正確? (A)可以使上唇變薄一些,以露出牙齒 (B)對於唇紅緣(vermilion)的高低變化沒有幫助 (C)使上顎前移時,軟組織的移動量接近骨的移動量 (D)可以減少鼻翼變寬
33.施行矢向劈裂骨切開術(sagittal split osteotomy)後,下齒槽神經應位在下列何種狀況? (A)骨切開後之近心端骨片 (B)骨切開後之遠心端骨片 (C)下齒槽神經應與近心及遠心端骨片連結一起 (D)下齒槽神經應與所有骨骼分離
34.有關上顎發育不足或是下顎發育過度病患的敘述,下列何者正確? (A)上下門牙常向外傾 (B)上下門牙常向舌側倒 (C)上門牙常向外傾,下門牙常向舌側倒 (D)上門牙常向舌側倒,下門牙常向外傾
35.施行下列何種手術較易造成下唇麻木?①BSSO ②Mandibular anterior osteotomy ③Genioplasty ④Maxillary anterior osteotomy ⑤LeFort I osteotomy (A)①④ (B)③④ (C)④⑤ (D)①②③
36.下列何種頭痛最常見? (A)壓力型頭痛(tension-type headache) (B)偏頭痛(migraine) (C)叢發型頭痛(cluster headache) (D)顳部動脈炎(temporal arteritis)
37.有關非典型顏面痛(atypical facial pain)的敘述,下列何者錯誤? (A)好發率:女性>男性 (B)深、鈍之持續性疼痛 (C)X光影像無異常發現 (D)有引發區(trigger zone)
38.神經纖維如依直徑分類,下列何者傳導痛覺速度較快? (A)Aα神經纖維(nerve fiber) (B)Aβ神經纖維(nerve fiber) (C)Aδ神經纖維(nerve fiber) (D)C神經纖維(nerve fiber)
39.當上呼吸道阻塞發生時,下列何種方式可以最快建立通道進入氣管? (A)oral airway tube (B)cricothyrotomy (C)tracheostomy (D)nasal airway tube
40.Towne's view用來檢查何處骨折? (A)mandibular condyle (B)maxillary sinus (C)zygomatic complex (D)zygomatic arch
41.撕裂性傷口的處理有四個基本步驟,其先後順序應為何?①傷口的清洗(cleansing) ②傷 口的止血 ③傷口的清創(débridement) ④傷口的縫合 (A)①②③④ (B)②①③④ (C)②③①④ (D)①③②④
42.下列有關治療下顎髁突骨折(fracture of mandibular condyle)的敘述,下列何者錯誤? (A)必須手術將斷裂骨骼復位至原先的解剖位置 (B)開放式復位手術可選擇由口內或口外途徑進入關節區域 (C)施行上下顎間鋼絲固定術(intermaxillary fixation)於成人,最多固定2至3週 (D)施行上下顎間鋼絲固定術(intermaxillary fixation)於孩童,最多固定10至14天
43.裂腭處的多生牙何時拔除最佳? (A)進行唇裂修補手術時 (B)進行腭裂修補手術時 (C)進行腭裂修補手術前2~3個月 (D)進行齒槽裂補骨手術前2~3個月
44.處理唇腭裂病人鼻部畸形的最早時機,常與下列何者手術合併實施? (A)施行唇裂手術時 (B)施行腭裂手術時 (C)施行齒槽骨缺損的補骨手術時 (D)施行正顎手術時
45.有關移植骨的骨生成(osteogenesis)的兩相(two phases)敘述,下列何者正確? (A)第一相是植入骨之骨細胞所產生的新生骨 (B)第一相的營養供應來自植入骨的組織液浸潤 (C)第二相的骨生成,大約在植入後第六週才開始 (D)第二相的骨生成,以新生骨的形成為主,與骨重塑無關
46.患有冠狀動脈狹窄做過冠狀動脈繞道手術之病患,有每天服用 aspirin,若是該病患要拔牙, 則術前最好須停藥幾天? (A)5 (B)4 (C)3 (D)2
47.以牙科所使用的局部麻醉藥物 2% lidocaine with 1:100,000 epinephrine,做口腔局部浸潤 (infiltration)麻醉,對於上顎牙齒約略可麻醉幾小時? (A)1 (B)2 (C)3 (D)4
48.下列那些患者不適宜使用morphine作手術後止痛?①慢性阻塞性肺疾(chronic obstructive pulmonary disease)病患 ②有心肌梗塞(myocardiac infarction)病史之病患 ③孕婦 (A)只有①② (B)只有②③ (C)只有①③ (D)①②③
49.一位遭受車禍嚴重受創之病人,已被醫師宣告腦死,家人同意捐出眼角膜,此病人屬於ASA 的那個分類? (A)ASA III (B)ASA IV (C)ASA V (D)ASA VI
50.有關顳顎關節之敘述,下列何者錯誤? (A)gliding 或 translatory movement 主要發生於上關節腔 (B)關節盤之四周均與關節囊連接 (C)關節盤中心主要由纖維組織構成,缺乏神經血管 (D)兩側髁軸(condyle axis)交會處約位於枕骨大孔
51.臨床上myofascial pain and dysfunction(MPD)在下列敘述中那一項非患者之抱怨? (A)患者通常有耳前局部性的疼痛,有時咀嚼肌群也有疼痛 (B)有夜間磨牙症的患者,其早上起床時疼痛更明顯 (C)患者會咀嚼時漸漸張口困難 (D)關節X光片檢查會發現關節有退化性的改變
52.有關顳顎關節疾病之敘述,下列何者錯誤? (A)可復位性關節盤前移(anterior disc displacement with reduction)通常會在下顎運動時有 關節彈響 (B)不可復位性關節盤前移(anterior disc displacement without reduction)表示關節頭在進行 translation movement 時,關節盤的位置並不隨之改變,又稱之為 closed lock (C)骨性軟骨病變(osteochondromatosis)發生在關節髁頭表面 (D)關節半脫臼(subluxation)所產生之關節彈響乃發自於髁頭經過關節隆凸所導致,與關節 內紛亂所產生之關節彈響不同
53.對於將手術取得的切片組織不當地應用在研究上,有關醫院倫理委員會的任務之敘述,下列 何者錯誤? (A)這是有關人體試驗的課題 (B)應視為倫理教育任務的課題 (C)應做為重擬醫療作業準則任務的參考 (D)這是屬於協助醫師輔導病人就醫的任務
54.患者因右側顎下區(submaxillary region)腫大,尤其在飯後特別腫脹,理學檢查發現右顎 下區摸到一軟性壓痛腫塊,口腔內檢查發現口底唾液腺開口有紅腫,開口處有一黃白色硬 塊。(請依此回答下列3題) 1.下列X光影像何者較能診斷出問題?①skull film(P-A view) ②panoramic film ③occlusal film ④sialogram (A)①②③ (B)②③④ (C)①③④ (D)只有①④
55.2.依下圖口內彩色照片,及X光咬合片影像,下列何種診斷正確?
(A)口底腫瘤 (B)唾液結石堵塞於Stensen’s duct (C)唾液結石堵塞於Wharton’s duct (D)此問題是由舌下腺引起的
56.3.該患者應如何處置?①將口底紅腫塊切除 ②將堵塞之黃白硬塊,以牙科檢查用之forceps 反夾後,在其表面黏膜切開擠出硬塊即可 ③給予抗生素 ④鼓勵術後多喝水 (A)①③④ (B)只有②③ (C)只有③④ (D)②③④
57.下列敘述,何者錯誤? (A)Bremsstrahlung屬於characteristic spectrum (B)Bremsstrahlung又稱braking radiation (C)Filtration係指移除低能量的光子 (D)X光束是由許多帶有不同能量的光子所組成的
58.依照國際放射防護委員會(International Commission on Radiological Protection)規定, non-classified workers每年輻射曝露量最高可為classified workers劑量的: (A)1/10 (B)3/10 (C)6/10 (D)8/10
59.牙科X光機在70 kVp以上,鋁濾片厚度為多少mm? (A)0.1 (B)0.5 (C)1 (D)2.5
60.下列那些是根尖片凸點的作用?①照射時凸點朝向放射源 ②照射時凸點背對放射源 ③照 射時凸點朝向咬合面 ④照射時凸點遠離咬合面 (A)①③ (B)①④ (C)②③ (D)②④
61.有關評估正顎手術前後,下顎骨對稱與否之X光攝影法,下列何者最適當? (A)Water's projection (B)PA cephalometric projection (C)Reverse Towne projection (D)Lateral cephalometric projection
62.有關垂直咬翼片照射(vertical bitewing radiography)時機之敘述,下列何者正確? (A)當患者有中等程度到嚴重的齒槽骨喪失 (B)常配合分角線法照射 (C)乳牙根管治療時常喜歡使用 (D)以5°~8°向上的垂直角?照射
63.下列何者可降低影像放大(image magnification)之效應? (A)使用長錐(long cone) (B)使用短錐(short cone) (C)減少焦點與皮膚之距離(focal spot to skin distance) (D)增加感應器與被照物之距離(receptor to object distance)
64.下列何種放射線影像能最清晰的顯示genial tubercle之解剖影像? (A)periapical film (B)panoramic film (C)mandibular occlusal film (D)bitewing film
65.於根尖放射線影像(periapical radiograph)上,上顎顴骨突(zygomatic process of the maxilla)之影像,最常出現於下列何處? (A)上顎粗隆(maxillary tuberosity) (B)上顎第一及第二大臼齒處 (C)上顎第一及第二小臼齒處 (D)上顎犬齒處
66. 下圖咬翼片中,白色箭頭所指之放射線不透過性帶(radiopaque band)最可能為下列何 者?
(A)Resin filling material (B)Artifact image (C)Calculus (D)Cervical abrasion
67.下圖X光影像中,左上正中門齒最可能的診斷為何?
(A)Caries (B)Periodontal disease (C)Dens evaginatus (D)Extrusion
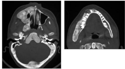
68.一位12歲女孩,顏面無痛腫脹已有3年,其電腦斷層影像如圖,她的皮膚上還有咖啡牛奶 斑。其最可能的診斷是:
(A)Florid-osseous dysplasia (B)McCune-Albright's syndrome (C)Paget's disease (D)von Recklinghausen disease of skin
69.下列何種疾病,較常會大量破壞齒槽骨,造成被侵犯區域牙齒之X光表現,呈現牙齒浮於空 中之影像(teeth floating in air)? (A)牙骨質-骨質發育不良(cemento-osseous dysplasia) (B)骨之柏哲德氏病(Paget's disease of bone) (C)纖維性發育不良(fibrous dysplasia) (D)蘭格罕氏細胞疾病(Langerhans cell disease)
70.一位18歲男性患者主訴右下顎後牙痛及下顎骨慢慢膨大,下圖X光片顯示右下顎第一大臼齒 根尖處有一混合放射阻性及放射透性之病灶、外圍一明顯的放射透性帶,並有根部吸收情 形,根據上述資料其臨床診斷最不可能為下列何者?
(A)Osteoblastoma (B)Cementoblastoma (C)Osteoid osteoma (D)Chondroma
71.下列何種疾病,其頭顱(skull)X光影像較常呈現多發性孔狀病變(multiple punched-out lesions),且較好犯於年老男性患者? (A)牙骨質-骨質發育不良(cemento-osseous dysplasia) (B)多發性骨髓瘤(multiple myeloma) (C)痣樣基底細胞癌症候群(nevoid basal cell carcinoma syndrome) (D)蘭格罕氏細胞疾病(Langerhans cell disease)
72. 下圖X光片中,右下第三大臼齒處和下顎上升枝所呈現之骨破壞,下列何種診斷最有可能?
(A)Ameloblastoma (B)Paget's disease (C)Fibrous dysplasia (D)Squamous cell carcinoma
73.對下列顎骨腫瘤切除後標本之放射線影像,最適切之描述為何?
(A)洋蔥皮狀影像(onion-skin appearance) (B)毛玻璃狀影像(ground-glass appearance) (C)羊毛棉花狀影像(cotton-wool appearance) (D)陽光線狀影像(sun-ray appearance)
74.下列那一種囊腫之X光影像,最常呈現心臟型放射線透過性(radiolucent)病變? (A)鼻腭管囊腫(nasopalatine duct cyst) (B)鼻唇囊腫(nasolabial cyst) (C)鼻齒槽囊腫(nasoalveolar cyst) (D)球突上顎囊腫(globulomaxillary cyst)
75.下列全身性疾病中,何者可於放射線影像上呈現牙骨質增生? (A)腦下垂體功能亢進(hyperpituitarism) (B)甲狀腺功能過低(hypothyroidism) (C)腦下垂體功能過低(hypopituitarism) (D)副甲狀腺功能過高(hyperparathyroidism)
76. 此種放射線影像檢查的結果,其最可能的診斷為何?
(A)Mandibular fracture (B)Maxillary palatine cyst (C)Maxillary sinusitis (D)Fibrous dysplasia
77.有關直接位放射線影像(direct digital radiography),下列敘述何者錯誤? (A)感應片(receptor)較易折損 (B)CMOS system屬之 (C)CCD system屬之 (D)一樣大的感應片,照出來的影像範圍比實際的PSP感應片小
78.放射線曝露的急性效應屬下列何者? (A)確定效應(deterministic effects) (B)機率效應(stochastic effects) (C)遺傳效應(hereditary effects) (D)非確定效應(uncertain effects)
79. 黑色箭頭所指為何? (A)骨膜反應(periosteal bone reaction) (B)腐骨(sequestra) (C)腫瘤團塊(tumor mass) (D)軟組織鈣化(soft tissue calcification)
80.承上題,白色箭頭所指為何? (A)人為影像重疊(double image artefact) (B)骨膜反應(periosteal bone reaction) (C)鈣化血管(calcified vessel) (D)腐骨(sequestra)
申論題 (0)
相關試卷
115年 - 115-1 專技高考_牙醫師(二):牙醫學(四)(包括口腔顎面外科學、牙科放射線學等科目及其相關臨床實例與醫學倫理)#137358
115年 · #137358
114年 - 114-2 專技高考_牙醫師(二):牙醫學(四)(包括口腔顎面外科學、牙科放射線學等科目及其相關臨床實例與醫學倫理)#128945
114年 · #128945
114年 - 114-1 專技高考_牙醫師(二):牙醫學(四)(包括口腔顎面外科學、牙科放射線學等科目及其相關臨床實例與醫學倫理)#125098
114年 · #125098
113年 - 113-2 專技高考_牙醫師(二):牙醫學(四)(包括口腔顎面外科學、牙科放射線學等科目及其相關臨床實例與醫學倫理)#121679
113年 · #121679
113年 - 113-1 專技高考_牙醫師(二):牙醫學(四)(包括口腔顎面外科學、牙科放射線學等科目及其相關臨床實例與醫學倫理)#118730
113年 · #118730
112年 - 112-2 專技高考_牙醫師(二):牙醫學(四)(包括口腔顎面外科學、牙科放射線學等科目及其相關臨床實例與醫學倫理)#115909
112年 · #115909
112年 - 112-1 專技高考_牙醫師(二):牙醫學(四)(包括口腔顎面外科學、牙科放射線學等科目及其相關臨床實例與醫學倫理)#113155
112年 · #113155
111年 - 111-2 專技高考_牙醫師(二):牙醫學(四)(包括口腔顎面外科學、牙科放射線學等科目及其相關臨床實例與醫學倫理)#109860
111年 · #109860
111年 - 111-1 專技高考_牙醫師(二):牙醫學(四)(包括口腔顎面外科學、牙科放射線學等科目及其相關臨床實例與醫學倫理)#106178
111年 · #106178
110年 - 110-2 專技高考_牙醫師(二):牙醫學(四)(包括口腔顎面外科學、牙科放射線學等科目及其相關臨床實例與醫學倫理)#99925
110年 · #99925