所屬科目:B
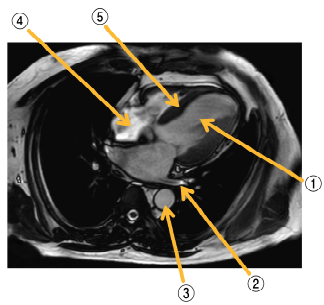
18 正常な成人男性の胸部 MRI別冊No. 1 を別に示す。 図に示す部位と名称の組合せで誤っているのはどれか。 (A)① 左心室 (B) ② 肺動脈 (C) ③ 下行大動脈 (D) ④ 右心房 (E) ⑤ 心室中隔
40 53 歳の男性。視床出血後の左片麻痺のため回復期リハビリテーション病棟に入 院中である。発症してか月が経過している。左上肢は前頭部まで挙上できるが、 随意運動時に振戦を認める。握力はkg である。徒手筋力テストで左股関節屈 曲・伸展と左膝関節屈曲・伸展の筋力はともに、左足関節屈曲・伸展の筋力は 。左足クローヌスを認める。左半身の感覚は脱失している。平行棒内での歩行は 可能だが、左下肢立脚相に膝関節は過伸展し足関節は内反する。患者は屋外歩行を 希望している。歩行補助具の写真別冊No. 2 ①〜⑤ を別に示す。 この患者に用いるのに適切なのはどれか。 (A) ① (B) ② (C) ③ (D) ④ (E) ⑤
43 49 歳の女性。頭重感と眼痛とを主訴に来院した。仕事で長時間パソコンを使用 すると、症状が増悪する。視力は右 1.01.2庵安0.5 D 、左 0.81.2庵安1.0 D 。 眼 圧 は 右 15 mmHg、左 16 mmHg。瞳 孔 は 正 円 同 大 で、対 光 反 応 は 正 常。 Schirmer 試験は右mm、左mm基準 10〜15 。フルオレセイン染色後の細隙 灯顕微鏡写真別冊No. 3 を別に示す。 治療として適切な点眼薬はどれか。 (A) 抗菌薬 (B) 縮瞳薬 (C) β 遮断薬 (D) 人工涙液 (E) 副腎皮質ステロイド
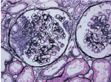
46 70 歳の男性。下の皮疹を主訴に来院した。約週間前に両下に皮疹が出現 し、一過性に両膝関節痛と腹部の疝痛があった。数日前から皮疹が増悪したため受 診 し た。身 長 168 cm、体 重 57 kg。体 温 36.8 °C。脈 拍 84/分、整。血 圧 150/82 mmHg。腹部は平坦、軟で、肝・脾を触知しない。両下に皮疹を認める。両側 の足背に軽度の浮腫を認める。尿所見:蛋白袷、潜血袷、沈渣に赤血球多 数/1 視野、尿蛋白 1.8 g/日。血液所見:赤血球 420 万、Hb 12.2 g/dL、Ht 36 %、 白血球 9,400分葉核好中球 64 %、好酸球%、好塩基球%、単球 %、リンパ 球 25 % 、血 小 板 19 万。血液生化学 所 見:総蛋白 6.8 g/dL、アルブミン 3.8 g/dL、尿素窒素 32 mg/dL、クレアチニン 1.5 mg/dL。免疫血清学所見:抗核抗 体陰性、MPO-ANCA 陰性。尿中 Bence-Jones 蛋白陰性。診断のため腎生検を行 った。下の皮膚所見別冊No. 4A 、腎生検の PAM 染色標本別冊No. 4B 及び 蛍光抗体 IgA 染色標本別冊No. 4C を別に示す。 この患者で正しいのはどれか。 (A) 腎機能の予後が悪い。 (B) 消化管出血は起こらない。 (C) 心電図異常を高率に合併する。 (D) 皮膚生検で真皮深層に IgG が沈着する。 (E) 悪性腫瘍のスクリーニングが必要である。A
B
C
49 55 歳の男性。両側の手掌と足底に半年前から認める皮疹を主訴に来院した。鱗 屑の苛性カリÎKOH×直接鏡検法で真菌を認めない。初診時の右足底の写真別冊 No. 5 を別に示す。 診断に有用なのはどれか。つ選べ。 (A) 喫煙歴 (B) 飲酒歴 (C) 海外渡航歴 (D) 歯科治療歴 (E) ペット飼育歴