所屬科目:臨床口腔衛生學
1. 使用貝式刷牙法潔牙時,當刷到牙齒的咬合面,做什麼動作較為合適? (A) 大範圍清潔(Sweeping stroke) (B) 震動繞圈旋轉(Circular) (C) 前後來回刷動(Back and forth) (D) A + B
2. 指導病患口腔清潔時,下列何種情境最為恰當? (A) 病患感到安全且接受度高 (B) 病患積極參與 (C) 病患有信心能夠解決問題 (D) 以上皆是
3. 能有效移除牙齒鄰接面生物膜的方式,下列何者為是? (A) 沖牙機 (B) 牙線 (C) 牙刷清潔 (D) 漱口水
4. 牙菌斑在一次性被完全移除後,需要經過多久時間會再次生成? (A) 6 小時 (B) 12 小時 (C) 24 小時 (D) 36 小時
5. 長期接觸過量氟化物可能會導致: (A)齲齒 (B) 氟斑牙 (C) 牙周病 (D)以上皆是
6. 執行牙冠拋光(Polish)處置,下列何者較為恰當? (A) 在預防處置之前 (B) 在防水裝置橡皮障(rubber dam)裝設之前 (C) 在牙齒出現脫礦區域處 (D) 以上皆是
7. 下列有關牙科全面性預防計劃組成項目,何者為非? (A) 窩溝封填 (B) 牙菌斑控制 (C) 病患衛教 (D) 矯正治療
8. 「過程指示貼條(Process Indicators)放置在器械包內。」「過程指示貼條用於區分已滅菌的 工具與尚未滅菌的工具。」以上陳述是真實還是錯誤的? (A) 兩個陳述都是正確的 (B) 兩個陳述都是錯誤的 (C) 第一個陳述是正確的、第二個陳述是錯誤的 (D) 第一個陳述是錯誤的、第二個陳述是正確的 2
9. 下列哪個人為錯誤操作不會導致滅菌失敗? (A) 時間設定不正確 (B) 消毒設備裝載不當 (C) 儀器清潔不當 (D) 過程指標貼條的放置不當
10. 當牙醫使用高速手機(high-speed hand-piece)時,哪種減少唾液方式是較合適的? (A) 唾液排空軟管(water suction) (B) 高速量吸取器(High-volume evacuator) (C) 要求病患多吞幾次唾液 (D) 偶而休息讓病人漱口
11. 為維持牙周照護治療個案居家照護口腔衛生,口衛師安排回診頻率為重要一環,請問下 列何項不列入規劃個案回診間隔之考量 (A) 輕微牙菌斑或生物膜 (B) 囊袋深度狀況回復到正常 (C) 探測出血狀況 (D) 回診與治療所需費用
12. 以下哪項不是牙科紀錄收集(recode visit)內容項目? (A) 臨床問診 (B) 臨床口腔檢查 (C) 洗牙和預防性處置 (D) 診斷記錄評估
13. 牙醫師要求您協助在#2 上紀錄 BM 有汞合金(銀色填充物)。請問您應該在牙齒紀錄圖 中選擇那個牙齒表面? (A) 牙齒的咀嚼表面 (B) 舌側的牙齒表面 (C) 朝向頰側近心牙齒表面 (D) 朝向頰側遠心牙齒表面
14. 口腔檢查時在#8 舌側溝發現齲齒。根據布萊克齲齒分類(Black's cavity classification),以 下哪一個是該齲齒的正確分類等級? (A) 第 I 級 (B) 第 II 級 (C) 第 III 級 (D) 第 IV 級
15. 牙科醫療人員應具備幾項急救技術的認證,下列何者為非必要急救技術? (A) 哈姆立克法 (B) 氣切 (C) 生命徵象測量 (D) 心肺復甦術(CPR)
16. 下列哪位患者最有可能需要額外的疼痛和焦慮控制? (A) 一名需要進行義齒調整的 90 歲男子 (B) 一名需要拍攝全口 X 射線的 17 歲女孩 (C) 一名需要小兒根管治療的 5 歲女孩 (D) 一名需要定期清潔和牙齒檢查的 30 歲男子
17. 以下哪位患者可以安全地接受 N2O(笑氣)鎮靜麻醉? (A) 一名患有鐮狀細胞性貧血的 7 歲男孩 (B) 一名患有普通感冒的 45 歲女性 (C) 一名患有多發性硬化症 60 歲男性 (D) 一名懷孕第三個月的 18 歲女性 3
18. 窩溝封填已經被實證對於臼齒溝隙具有良好防齲效果,請問正確放置和保留的窩溝封填 材料能有多大的機率保護牙齒免於被酸蝕? (A) 50% (B) 70% (C) 90% (D) 100%
19. 下列哪種口腔外科手術術後指導有助於減輕腫脹發生? (A) 避免劇烈的體力活動。 (B) 12 小時不清潔或吐痰 (C) 服用規定量的布洛芬(ibuprofen)。 (D) 將無菌紗布壓力包放置於患部至少 30 分鐘。
20. 下列哪位患者較適用裝戴局部活動義齒? (A) 一名上顎有三顆缺牙的 45 歲女性 (B) 一名四顆智齒已經拔除的 20 歲女性 (C) 一名下顎僅存一顆牙並且沒有上顎牙齒的 90 歲男性 (D) 一名上顎已兩顆牙齒缺失,並有嚴重牙周病的 35 歲男子
21. 你的病人起初非常合作並且態度友好,但隨著療程的進行,她突然對你展現出恐懼害怕。 根據行為管理階段,你的病人年齡層大概是幾歲? (A) 出生到 2 歲 (B) 3 至 5 歲 (C) 6 至 11 歲 (D) 12 至 20 歲
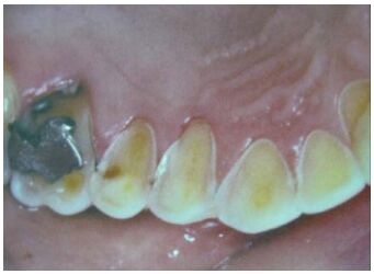
22. 阿美的牙齒一直很敏感,醫師說她可能是牙齒被腐蝕了(如圖),下列何者是阿美最可能 的潛在病因?
(A) 厭食症(bulimia) (B) 糖尿病 (diabetes mellitus) (C) C 型肝炎(Hepatitis C) (D) 乾燥症 (xerostomia)
23. 中風之後多久才可以考慮進行選擇性的牙科處置?? (A) 一個月 (B) 二個月 (C) 四個月 (D) 半年
24. 下列哪種症狀之病患,禁止使用動力式洗牙設備清除牙結石? (A) 人類免疫缺乏病毒感染(HIV) (B) 癲癇 (C) 肺部纖維性囊腫 (D) 高血壓疾病
25. 有關兒童的牙科病史應包括下列哪一項? (A) 生命徵象 (B) 氟化物攝取量 (C) 溝通技巧 (D) 一般健康背景
26. 請問,此患者較可能患有下列何種疾病? (A) 侏儒症 (B) 中度精神障礙 (C) 唐氏症 (D) 精神官能症
27. 承上題(26 題),下列何種因素不是增加該症狀患者死亡率的常見原因? (A) 心臟缺陷 (B) 白血病 (C) 上呼吸道感染 (D) 肝功能異常
28. 承 26 題,下列有關該症患者的敘述,何者錯誤? (A) 病因主要是第 21 號染色體發生問題 (B) 女性患者比男性患者多 (C) 患者體型通常較胖,個性也較和順 (D) 患者舌頭較大,容易伸出口腔外
29. 在為李嘉明實施侵入性口腔照護之前,應考慮以下哪些方面? (A) 不須考慮任何情況,可立即執行 (B) 只要李嘉明同意治療,可立即開始 (C) 在開始侵入性口腔照護之前,需照會李嘉明的內科醫生以確定糖尿病和高血壓情況 與控制情形 (D) 預約口腔照護時間應比正常時間長,以減輕病患的心理壓力
30. 口腔衛生師判讀個案血壓後,根據美國心臟學會高血壓分期,此個案正處於哪一期 (A)血壓正常期 (B) 高血壓前期 (C) 高血壓第一期 (D)高血壓第二期
31. 口腔衛生師判讀個案血壓情形後,應接續下列何種行動最為恰當? (A) 在五分鐘內重新檢查血壓,如果在此範圍內仍然升高,須暫停口腔照護執行,並立 即諮詢醫生 (B) 重新檢查每次看診時的血壓,如果連續三次看診時仍在範圍內,執行口腔照護後再 諮詢醫師 (C) 在五分鐘內重新檢查血壓,如果在此範圍內仍然升高,則只能繼續進行非侵入性口 腔照護,並應在執行侵入性照護前諮詢醫生 (D) 在五分鐘內重新檢查血壓,並繼續進行預定的口腔照護工作 5
32. 李姓個案口腔衛生照護過程中應考慮哪些需求? (A) 避免頭頸部疼痛 (B) 防止產生健康危害的風險 (C) 頭部和頸部的皮膚和粘膜完整性 (D) 保持臉部外觀清潔
33. 下列肌肉無力的疾病中,何者是因神經傳導障礙所致的自體免疫類病變? (A) 肌肉萎縮症(muscular dystrophy) (B) 肌少症 (sarcopenia) (C) 重症肌無力 (myasthenia gravis) (D) 帕金森氏症 (Parkinson disease)
34. 下列何者於進行牙科侵入性治療前,不必給予預防性抗生素? (A) 鎌刀型貧血症(sickle cell anemia) (B) 肝臟移植者(liver transplantation) (C) 尿毒症(uremia, end-stage renal disease) (D) 心律不整(arrythemia)
35. 唐氏症患者接受治療前,常需給予預防性抗生素的原因是由於他們常有下列何種問題: (A) 先天性的心瓣膜缺損 (B) 呼吸道阻塞 (C) 白血球功能不良 (D) 染色體異常
36. 下列何種病患於牙科治療時,仰躺( supine position)是絶對禁忌(contraindication)? (A) 重症肌無力 (myasthenia gravis) (B) 顎裂(cleft palate) (C) 多發性硬化症 (Multiple sclerosis) (D) 孕婦
37. 下列何者不是頭頸部放線治療的併發症(complication)或後遺症(sequela)? (A) 放射線齲齒(radiation caries) (B) 牙周膿瘍(periodontal abscess) (C) 口乾症(xerostomia) (D) 放射線性骨壞死(osteoradionecrosis)
38. 阿明是血液透析(hemodialysis)的病患,為她安排什麼時間來進行牙科治療最恰當? (A) 透析前 6 小時內 (B) 透析後 6 小時內 (C) 透析後隔天 (D) 透析後 2 日
39. 下列病患需要常規塗氟,何者除外? (A) 頭頸癌(head and neck cancer) (B) 多發性硬化症(multiple sclerosis) (C) 修格連氏症候群 (Sjögren syndrome) (D) 貝爾氏麻痺症(Bell’s palsy)
40. 牙周病感染可能會導致的全身性疾病有: 1. 細菌性心內膜炎(Bacterial endocarditis) 2. 細菌性肺炎(Bacterial pneumonia) 3. 孕期不適(pregnancy disorder) 4. 注意力不足過動症(Attention deficit hyperactivity disorder) 6 (A) 1+2 (B) 1+2+3 (C) 1+3 (D) 1+2+3+4
41. 診間特殊需求個案中脊椎損傷個案為其中之一,口衛師先判斷 C6 脊椎損傷個案症狀為 四肢癱瘓,再者判斷癱瘓個案不能使用電動洗牙是裝置。請依以上兩項判斷進行作答 (A) 第一項判斷是對的,第二項判斷是錯的 (B) 第一項判斷是錯的,第二項判斷是對的 (C) 兩項判斷都對 (D) 兩項判斷都錯
42. 下列狀況不適合拔牙,何者除外? (A) 服用雙磷酸鹽類抗骨鬆藥 (B) 空腹血糖值 250 mg/dl (C) 血色素不足 (D) 頭頸部作過放射治療的患者
43. 下列何者與牙周病的惡化無關? (A) 長期使用抗癲癇藥物 (B) 長期使用類固醇 (C) 長期使用止痛藥 (D) 糖尿病未受控制
44. 下列疾病或用藥狀況可能會引起牙齦的異常增生,何者除外? (A) 白血病(leukemia) (B) 唐氏症(Down syndrome) (C) 鈣離子阻斷劑(calcium channel blockers) (D) 抗癲癇藥(Dilantin)
45. 鎌刀型貧血症(sickle cell anemia)是一種
1. 營養缺乏 2.過敏 3. 遺傳病 4.溶血性貧血 (A) 1+2 (B) 3+4 (C) 1+3 (D) 2+4
46. 下列哪一種口腔症狀和 diabetes mellitus 無關? (A) 口乾 (B) 念珠菌症 (C) 紫斑(purpura) (D) 牙周骨喪失
47. 甲狀腺功能過盛(Hyperthyroidism)在兒童,可能會出現 (A) 部份缺牙 (B) 乳牙提早脫落,恆牙提早萌發 (C) 牙釉質發育不全 (D) 牙根肥大 7
48. 甲狀腺功能過低(Hypothyroidism)在兒童,可能會出現 (A) 生長遲緩 (B) 牙齒提早萌發 (C) 嘴唇變薄 (D) 牙根肥大
49. 下列何種病患不可使用阿斯匹靈類的止痛藥? (A) 肺結核 (B) 糖尿病 (C) 血友病 (D) 帕金森氏症
50. 關於頭頸部放射線治療後的併發症,下列敘述何者有誤? (A) 可導致永久性的唾液腺損傷 (B) 顎骨可能因發炎而發生放射線性骨壞死亡(osteoradionecrosis) (C) 每日居家塗氟可預防齲齒 (D) 使用 chlohexidine 漱口水可預防口腔念珠菌症(oral candidiasis)
51. 下列狀況不建議使用含酒精之漱口水,何者除外? (A) 甲基安非他命(methamphetamine)使用者 (B) 末期腎臟病(end-stage renal disease) (C) 酒精性肝炎(alcoholic hepatitis) (D) 化學治療中
52. 具下列哪一種病史者,不適合使用含血管收縮劑的排齦線? (A) 風溼性心臟病(rheumatic heart disease) (B) 心律不整 (cardiac arrhythmia) (C) B 型肝炎 (D) 血友病
53. 當患者進行後上齒槽神經浸潤麻醉後幾秒鐘,患者臉部腫脹,麻藥注射部位亦腫脹,此 種情況懷疑是: (A) 感染 (B) 過敏(Allergy) (C) 血管性水腫(Angioedema) (D) 血腫(Hematoma)
54. 陳老爺爺初戴新配的活動假牙,以下注意事項何者有誤? (A) 配戴初期可能會有疼痛及潰瘍,應即請牙醫師修整 (B) 配戴初期可能說話會不順暢,可藉大聲朗讀練習幫助適應 (C) 配戴初期可能會有異物感而使口水減少,可藉多漱口改善 (D) 活動假牙無法如真牙般穩固有力,應由軟食如豆腐、稀飯等開始練習
55. 牙周病個案完成牙根整平術後,也維持良好牙周狀態,下列何項為最適合此個案第一年 牙科回診頻率 (A) 1-2 個月一次 (B) 3-4 個月一次 (C) 4-6 個月一次 (D) 6 個月一次 8
56. 詢問個案生活習慣等健康史,個案表示對奇異果、酪梨與香蕉等食物過敏,以此推斷個 案處於何種風險下 (A) 急性腎上腺素缺乏 (B) 氣喘 (C) 糖尿病 (D) 乳膠過敏
57. 針對敏感性牙齒專用牙膏,林同學認為是透過阻止神經去極化或透過阻斷牙本質小管破 壞疼痛傳導的作用來達成去敏感效果;李同學則認為是敏感性牙齒專用牙膏含有鉀鹽(可 塞住牙本質小管)與氟化物(影響神經的去極化),達成去敏感效果。 (A) 兩位同學都對 (B) 兩位同學都錯 (C) 林同學對,李同學錯 (D) 林同學錯,李同學對
58. 對糖尿病個案進行口腔清潔照護應注意事項下列何者為非 (A) 心血管狀況 (B) 牙科回診週期 (C) 口腔感染風險 (D) 傷口癒合迅速
59. 個案就診時眼睛時鞏膜呈現黃色,請問此個案可能有以下哪些狀況 (A) 呼吸困難 (B) 藥物濫用 (C) 黃疸 (D) 需要緊急醫療狀態
60. 為了計畫個案全面性口腔衛生照護,以下哪項不包含於評估期所蒐集的資訊 (A) 口內狀態 (B) 個案自我口腔照護執行狀況 (C) 齒列評值 (D) 塗氟漆
61. 下列哪一個選項不是有效口腔衛生教育計畫需要因素 (A) 評估個案口腔疾病風險 (B) 教導有效控制牙菌斑策略 (C) 強調口腔疾病臨床狀態 (D) 個案無意願執行口腔預防疾病行為
62. 口腔照護計畫期中,下列哪項以個案導目標所施行措施 (A) 增加個案關於細菌生物膜的知識 (B) 影響個案對於口腔健康維持信念與態度 (C) 提供細菌生物膜相關資訊 (D) 修正個案刷牙方式
63. 口腔照護計畫期中,若個案拒絕配合口腔照護計畫中項目,下列哪項措施最適當 (A) 建議個案改換另一種口腔照護項目 (B) 再次解釋口腔照護項目之治療成效 (C) 請個案簽署拒絕配合口腔照護單張 (D) 再次澄清個案有拒絕權力 9
64. 下列哪種狀況適合建議使用電動牙刷 (A) 口腔衛生行為執行良好個案 (B) 牙齦炎個案 (C) 配置矯正個案 (D) 牙齒出現磨耗個案
65. 身為口衛師,應建議念珠菌個案牙刷利用何種方式進行消毒 (A) 用水清洗後風乾即可 (B) 含氯液體進行噴霧消毒 (C) 浸泡在 0.12% chlohexidine 溶液中 (D) 以過氧化氫與小蘇打粉調拌濃稠狀,包裹於牙刷刷毛
66. 身為口衛師,遇到高風險齲齒與敏感性牙齒成人個案,下列何最項物質最適合此種個案? (A) 酸性含氟凝膠 (acidulated phosphate fluoride gel) (B) 氟化亞錫(stannous fluoride) (C) 氟化納氟漆 (Sodium Fluoride) (D) 中性氟化鈉泡沫 (neutral sodium fluoride)
67. 下列何種個案須建議使用牙線架(floss holder) (A) 居家口腔自我維護良好個案 (B) 敏感性牙齒個案 (C) 操作功能障礙個案 (D) 氟化物暴露不足個案
68. 口衛師應建議個案使用何種口腔衛生清潔工具,協助此個案移除牙齒鄰接面牙菌斑 (A) 戒菸 (B) 使用電動牙刷 (C) 使用牙線 (D) 使用牙線架(floss holder)
69. 此個案要求進行牙齒美白,進行牙齒美白療程前,應讓此個案意識下列何項 (A) 減少抽菸狀況可使牙齒美白維持狀況更長久 (B) 專業牙齒美白可以移除牙齒舌側面均棕色色斑 (C) 專業牙齒美白會產生牙齒酸蝕 (D) 以上各項皆不用在美白療程前讓個案意識與理解
70. 口腔衛生師將協助此個案戒菸,下列何項不適合進行建議 (A) 建議使用藥物輔助戒菸 (B) 轉介個案參與社區戒菸計畫 (C) 為個案示範如何進行齒間口腔清潔 (D) 對個案進行抽菸後續引發健康危害衛生教育 10
71. 下列何項可協助此個案戒菸時期產生戒斷症候群 (A) 尼古丁貼片 (B) 轉介個案參與社區戒菸計畫 (C) 非尼古丁物質 (如 bupropion hydrochloride 等藥物) (D) 以上皆是
72. 牙周手術為哪一個階段牙科照護重點 (A) 初階 (B) 第二階段 (C) 第三階段 (D) 第四階段
73. 下列哪項不會記錄在口腔照護紀錄中 (A) 牙科治療療程程序 (B) 約診診次與時間 (C) 當次療程價格 (D) 治療預期結果與限制
74. 以下哪個選項為口腔照護中評估階段處理程序 (A) 全面相蒐集與分析與紀錄個案臨床資料 (B) 收集個案主觀資料 (C) 評估資料只需要於個案完成治療後之回診時再更新 (D) 個案資料須保密,不得與個案暨其相關健康照護者討論
75. 以下何者不應於口腔照護中評估階段進行 (A) 生活習慣等健康相關資料 (B) 進行口內攝影 (C) 牙周囊袋探測 (D) 教導個案口腔自我照護
76. 一位 53 歲個案於診間進行牙周治療,下列何項是為此個案進行口腔照護計畫時,應首要 進行改善計劃項目 (A) 使用漱口水導致牙齒染色 (B) 局部輕微牙菌斑 (C) #28 牙齒有痛感 (D) 抽菸習慣
77. 口腔衛生教具中評估個案學習階層(learning ladder)為很重要一環,專業口衛師評估目前 口腔健康行為與促進個案口腔健康,個案正處於 (A) 無意識期 (unawareness) (B) 意識期 (awareness) (C) 行動期 (action) (D) 習慣期 (habit)
78. 口衛師對此個案進行有效口腔衛生教育,不包含下列何項 (A) 向個案說明口腔保健產品如含氟牙膏等,這些用品經專業認證重要與價值,並給予 相關說明之衛教單張或文件。 (B) 向個案說明氟化物對於齲齒防治重要性,並給予相關說明之衛教單張或文件。 (C) 建議個案減少牙齒敏感之方法。 (D) 建議個案牙齒美白方式
79. 為預防此個案齲齒再發生,口衛師應採取建議不包含下列哪一項 (A) 建議個案使用經專業認證含氟牙膏 (B) 臼齒窩溝封填 (C) 使用含木醣醇口香糖或糖果 (D) 每天使用牙間刷
80. 下列何項不是導致此個案牙周狀況不良成因 (A) 一天刷牙兩次 (B) 使用 Parodontax®牙膏 (C) 牙齦牙齒交界處牙結石 (D) 糖尿病控制不佳