所屬科目:牙醫學(四)(包括口腔顎面外科學、牙科放射線學等科目及其相關臨床實例與醫學倫理)
38.這張 panoramic film顯示何處骨折? (A)右側下顎骨枝和右側下顎骨體 (B)左側下顎骨角和下顎骨聯合 (C)右側髁突下區和下顎骨聯合 (D)左側上顎骨和右側下顎骨體
67.附圖根尖片中,左下顎第一小臼齒影像之敘述,下列何者正確? (A)Loss of the lingual alveolar crest with associated interproximal bone loss (B)Loss of the lingual alveolar crest without associated interproximal bone loss (C)Loss of the buccal alveolar crest with associated interproximal bone loss (D)Loss of the buccal alveolar crest without associated interproximal bone loss
68.圖A中可見雙側性的放射線透過性(radiolucent)病灶環繞恆牙第一大臼齒,並使鄰近牙位移,圖B及C可見 雙側之皮質骨膨大,下列病變中何者較符合這些特徵? (A)造釉細胞瘤(ameloblastoma) (B)頰側雙叉囊腫(buccal bifurcation cyst) (C)美童臉(cherubism) (D)纖維性發育不良(fibrous dysplasia)
70.下列何病變不會造成如附圖所示之帶骨性中隔(bony septa)的多房性放射線透過性病灶(multilocular radiolucent lesions)? (A)造釉細胞瘤(ameloblastoma) (B)纖維性發育不良(fibrous dysplasia) (C)中心型巨細胞肉芽腫(central giant cell granuloma) (D)齒源性角化囊腫(odontogenic keratocyst)
71.附圖咬合片(occlusal film)中,箭頭所指之放射線影像,最適切之描述為何? (A)洋蔥皮狀影像(onion-skin appearance) (B)陽光線狀影像(sun-ray appearance) (C)羊毛棉花狀影像(cotton-wool appearance) (D)毛玻璃狀影像(ground-glass appearance)
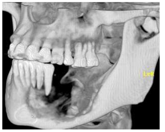
75.附圖CT scan 3D重組所呈現的影像,其臨床診斷最可能為下列何者? (A)造釉細胞瘤(ameloblastoma) (B)腺瘤樣齒源性瘤(adenomatoid odontogenic tumor) (C)鱗狀細胞癌(squamous cell carcinoma) (D)纖維性發育不良(fibrous dysplasia)
76.下列何者為描述正常腮腺造影術之影像(如圖)? (A)tree in winter appearance (B)cherry blossom appearance (C)sausage-link appearance (D)snowstorm appearance
77.附圖影像中箭頭所指病變最可能的診斷為何? (A)纖維性發育不良(fibrous dysplasia) (B)脂肪瘤(lipoma) (C)囊腫(cyst) (D)鱗狀細胞癌(squamous cell carcinoma)