所屬科目:呼吸器原理及應用
14.針對此迴路圖,下列敘述何者正確? (A)為開迴路系統,沒有接收回饋訊號來判斷系統輸出是否已達目標值 (B)為開迴路系統,有接收回饋訊號判斷系統輸出是否已達目標值 (C)為閉迴路系統,有接收回饋訊號判斷系統輸出是否已達目標值 (D)為閉迴路系統,沒有接收回饋訊號判斷系統輸出是否已達目標值
39.依據下圖,最接近的驅動壓力(driving pressure)為多少cm H2O?(Paw:airway pressure,Pes: esophageal pressure)
(A)26 (B)20 (C)14 (D)9
50.一位75歲肺氣腫病人因呼吸衰竭,接受氣管內管插管使用侵襲性正壓呼吸器,呼吸器設定ACMV,VT 500 mL,FiO2 0.45,呼吸次數16 breaths/min,PEEP 3cm H2O。病人生理監測顯示血壓126/88 mm Hg,脈搏110 beats/min,SpO2 94%,當你/妳檢視呼吸器設定時,面板呼吸道壓力與流量波型如下,此時你/妳應當做 的檢查或處置,何者錯誤?(A)為病人進行身體檢查,觸診病人的胸腹部,確認病人真正的呼吸深度及次數 (B)為病人進行身體檢查,聽診病人兩側胸部,確認病人是否出現氣道痙攣,呼吸道阻力上升 (C)檢測呼吸器的sensitivity設定是否適當 (D)調高呼吸器VT設定到600 mL,並嘗試提高每分鐘換氣量
53.下列有關呼吸器通氣模式圖形的敘述,何者正確? ①A是volume control ventilation ②B是pressure control ventilation ③C是pressure support ventilation(A)①②③ (B)僅②③ (C)僅①② (D)僅①③
54.有關下圖的敘述,何者錯誤? (A)此為間歇強制型通氣模式 (B)箭頭所指之處代表病人還沒有呼氣結束,呼吸器就提供強制通氣 (C)箭頭所指之處代表病人吸氣需求很強,重複吸了兩口氣 (D)使用同步間歇強制型通氣模式可改善箭頭處之病人與機械通氣對抗的問題
55.下圖為成人機械通氣呼吸的流量容積環,下列敘述何者正確? (A)負壓呼吸 (B)正壓呼吸 (C)A箭頭所指之處代表漏氣 (D)A箭頭所指之處代表呼氣受阻
58.病患使用的呼吸器一直發出警報,呼吸器面板壓力容積迴路圖呈現如A圖,經評估與處置後,呈現如B圖。依圖形變化,下列敘述何者正確?①氣管內管折到扭曲 ②痰液太乾塞住氣管內管 ③必要時更換氣管內管 ④呼吸器管路破損漏氣(A)①②④ (B)①③④ (C)①②③ (D)②③④
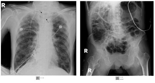
63.70歲COPD男病人,因呼吸衰竭長期倚賴呼吸器已半年,3天前因呼吸急促轉入加護病房,胸部及腹部X光如圖一和圖二,身體理學檢查發現腹脹,胃部聽診有氣流流動聲且和呼吸器吸氣期同步,病人最可能發生下列何者診斷?(A)食道插管 (B)氣囊漏氣 (C)氣管食道瘻管 (D)單肺插管