所屬科目:放射線器材學(包括磁振學與超音波學)
1.X光管中用於集中電子射束之聚焦杯(focusing cup)之電性為何?(A)直流負電壓 (B)直流正電壓 (C)中性 (D)交流電
2.X光機使用之整流器設計中,下列何者具有最好的X光產生效率?(A)三相六波整流 (B)半波整流 (C)全波整流 (D)高頻整流
3.下列何者為最常用於電腦放射攝影(computed radiography, CR)片匣中之增感屏磷光體材料?(A)氟溴化鋇:銪(BaFBr:Eu) (B)溴化銀(AgBr) (C)鎢酸鈣(CaWO4)(D)釓(gadolinium)
4.使用楔形濾器(wedge filter)進行足部X光照射時,下列何者正確? (A)足跟部分比較厚可置放於楔形濾器薄的部分之下 (B)楔形濾器薄的部分吸收較多的光子可用於腳尖部位 (C)足跟部分比較厚可置放於楔形濾器厚的部分之下 (D)楔形濾器厚的部分吸收較少的光子可用於腳尖部位
5.乳房攝影合適的source-to-image receptor distance(SID)距離是多少?(A)50~80 cm (B)100~120 cm (C)180~200 cm(D)10~20 cm
6.比較不同時間的影像變化,以兩個相連時段的影像相減,所得影像是對比劑在體內隨時間的變化,此種技術為DSA血管影像中之何種模式?(A)time-interval difference(TID)mode(B)k-edge subtraction mode(C)energy subtraction mode(D)mask subtraction mode
7.下列何者最不常用於X光血管攝影?(A)gadolinium(B)guidewires(C)balloon(D)stent
8.在乳房攝影上,下列何種靶材/濾片不建議使用?(A)Mo / Mo(B)Rh / Mo(C)W / Ag(D)Rh / Rh
9.關於乳房攝影的輻射劑量,下列敘述何者錯誤?(A)DgN為轉換因子,可將平均乳腺曝露轉換成表面皮膚劑量(B)DgN與輻射品質(kVp、HVL)、乳房厚度有關係(C)在相同乳腺密度下,維持一樣底片光密度(optical density)結果時,當kVp設定越高其輻射劑量越低(D)使用柵板(grid)會使得輻射劑量增加
10.目前臨床上CT常用管電流自動調控方法以降低病患輻射劑量,如圖為某一病患掃描情況,其中橫軸為z軸(頭到腳的方向)相對距離,縱軸為有效mAs輸出,此結果是利用那一種管電流自動調控方法? (A)axis tube current modulation (B)angular tube current modulation (C)longitudinal tube current modulation (D)angular-longitudinal tube current modulation
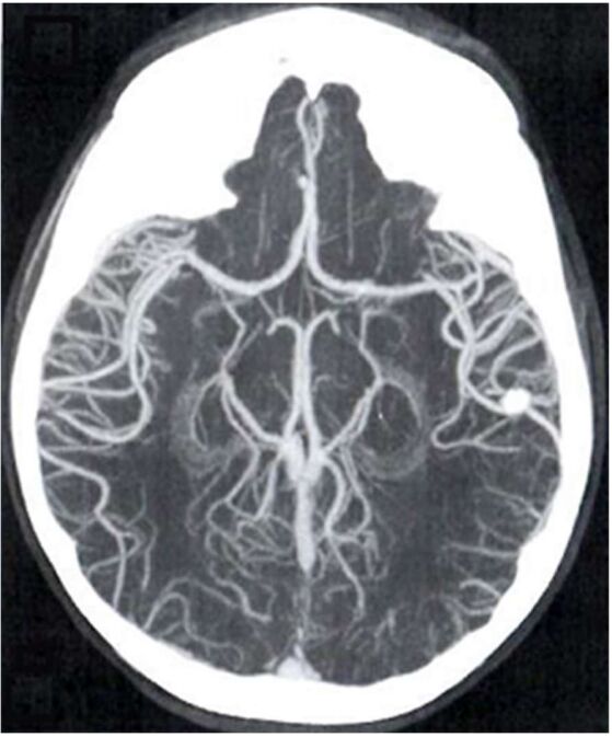
11.如圖是利用下列何者3D影像重建技術?(A)multi-planar reformation(MPR) (B)maximum intensity projection(MIP) (C)shaded surface display(SSD) (D)volume rendering(VR)
12.使用multiple-slice helical CT的helical mode掃描一位病人,設定beam width 10 mm,掃描時間20秒,掃描速度每秒一圈,pitch是2.0:1。此病人大約有多少身體組織的長度被掃描到? (A)100 mm (B)200 mm (C)400 mm (D)800 mm
13.假設下列選項是一個圈選3×3畫素ROI的水假體CT影像,下列何者之影像雜訊最大?(A)(B)(C)(D)
14.關於量測computed tomography dose index(CTDI)進行品保的敘述,下列何者最不適當?(A)需要利用假體計算輻射劑量的物理量 (B)可以直接計算病人輻射劑量的物理量 (C)需要量測假體的中心位置 (D)需要量測假體的周圍位置
15.有關螺旋電腦斷層掃描(helical CT),下列敘述何者最不適當?(A)z-direction(axial-direction)的影像解析度有效提升 (B)影像品質不受病人身體移動影響 (C)病人影像資料量變多 (D)可以快速完成病人掃描
16.下列何者不是診斷用X光機以準直儀(collimator)限制照野的優點?(A)減少病人劑量 (B)減少射束硬化 (C)減少散射輻射 (D)增加影像對比度
17.如圖所示為診斷用X光機的成像配置,其中目標物a、b與c具相同尺寸,下列敘述何者正確?(A)目標物a在影像接收器上有最大成像 (B)目標物b在影像接收器上有最大成像 (C)目標物c在影像接收器上有最大成像 (D)目標物a、b與c在影像接收器上有相同成像
18.常規診斷用X光機的雙能量影像(dual-energy imaging),是將兩組不同kVp的掃描處理成兩張具不同物理特性的影像,並藉由調整影像合併權重以生成特定組織的高對比度影像,權重合併前的兩張影像各主要代表何種物理特性? (A)photoelectric effect與Compton effect (B)primary radiation與scattered radiation (C)photon transmission與photon attenuation (D)collision interaction與radiative interaction
19.關於電腦放射攝影(CR)系統,用來激發光激發磷光體(PSP)之雷射光,下列敘述何者正確?(A)為單能光 (B)為多能光譜 (C)波長較發射光短 (D)強度較發射光弱
20.下列何種組合屬於直接式數位放射攝影(DR)系統?(A)NaI–光電二極體 (B)CsI–光電二極體 (C)CsI–CCD (D)a-Se–薄膜電晶體
21.數位影像可透過影像壓縮以減少資料儲存的容量,常規有損失壓縮(lossy compression)是指高於何種比例的壓縮程度? (A)1:1 (B)3:1 (C)5:1 (D)10:1
22.關於電腦放射攝影(CR)系統讀取影像板(imaging plate)的敘述,下列何者正確?(A)使用強磁場對影像板進行消磁作用,以清除影像板之訊號使其重複使用 (B)利用強光照射,使影像板之電子由激發態回到穩態以釋放可見光子 (C)當motor drive功能異常時,會產生帶狀假影(banding artifact) (D)影像板內之潛像(latent image)是由X光瞬間產生之可見光構成
23.下列那一種影像接收器所得到的空間解析度最佳?(A)CsI + CCD (B)CsI + a-Si + TFT (C)image-intensifier tube + TV camera + ADC (D)amorphous selenium + TFT
24.乳房攝影系統中,若靶材與過濾器使用相同元素,其目的不包括下列何者?(A)留下K層特性X光 (B)抑制高能量制動X光 (C)抑制低能量制動X光 (D)減少散射
25.關於超音波彩色都卜勒影像的敘述,下列何者最不適當?(A)自相關(autocorrelation)是計算都卜勒頻率偏移的常用數學分析方法 (B)彩色都卜勒影像可以用來辨別血流方向 (C)彩色都卜勒影像會受到都卜勒角度影響 (D)相同掃描條件下,彩色都卜勒影像的顯像率(frame rate)較B模式灰階影像高
26.超音波功率都卜勒影像的亮度,主要是依據下列那種資訊量來決定?(A)都卜勒頻率偏移 (B)都卜勒訊號之頻譜能量 (C)都卜勒訊號之訊雜比 (D)超音波接收訊號之強度
27.根據美國食品衛生藥物管理局(FDA)規範,診斷用超音波影像的強度上限(空間峰值時間平均,簡稱SPTA)是多少mW/cm2? (A)120 (B)320 (C)520 (D)720
28.關於超音波影像的機械指標(mechanical index),下列敘述何者錯誤?(A)機械指標與超音波入射波聲壓成正比 (B)機械指標與超音波頻率的0.5次方成正比 (C)機械指標越大,表示非熱效應風險越高 (D)機械指標與聲輻射力(acoustic radiation force)有關
29.超音波入射至組織中會產生熱效應,下列何者與組織溫度變化無關?(A)組織特性 (B)超音波頻率 (C)脈衝重複頻率 (D)訊號放大器
30.2 MHz的連續波超音波在一秒內有多少循環(cycles)?(A)200 (B)2,000 (C)200,000 (D)2,000,000
31.超音波換能器操作的原理為何?(A)光電效應 (B)都卜勒效應 (C)康普吞效應 (D)壓電效應
32.在固定壓差下,若血管血流流動阻力加倍,體積流動率(volumetric flow rate)會有何變化?(A)減半 (B)加倍 (C)不變 (D)變為1/4
33.擴散加權(diffusion weighted)磁振造影的參數b值,其大小和下列何者最相關?(A)射頻線圈(RF coil)的大小 (B)重複時間(repetition time)的長短 (C)含氧血紅素(oxyhemoglobin)的濃度 (D)磁旋比(gyromagnetic ratio)的大小
34.下列那一個方法可以降低磁振造影所產生的熱效應?(A)將turbo spin echo sequence改成gradient echo sequence (B)搭配使用spatial saturation pulse (C)增加照野面積(field of view)以增加散熱面積 (D)減少液態氮的濃度
35.在磁振造影儀器中,下列何者之功能與磁梯度線圈無關?(A)切面選擇 (B)偏折角度 (C)相位編碼 (D)頻率編碼
36.在磁振造影中所使用體線圈(body coil),下列敘述何者錯誤?(A)可用來發射射頻,也可用來接收射頻 (B)可產生較均勻的射頻磁場 (C)與相同大小的表面線圈相比,體線圈一般可以得到較均勻的訊號 (D)與相同大小的表面線圈相比,體線圈一般可以得到較高的訊雜比
37.為了讓表面線圈得到最好的訊雜比,其線圈軸向最好與主磁場成多少角度?(A)0° (B)45° (C)90° (D)180°
38.關於磁振造影中切面的厚度,若固定其它參數,下列敘述何者正確?(A)梯度磁場越小,切面則越薄 (B)射頻頻寬越大,切面則越薄 (C)射頻頻寬越小,切面則越薄 (D)切面厚度與射頻頻寬無關
39.對於身體有金屬植入物如心臟節律器或電子器件之病患,其磁場安全的範圍是:(A)小於5高斯線區域 (B)小於10高斯線區域 (C)小於20高斯線區域 (D)小於50高斯線區域
40.在1.5T磁場下針對體內氫原子進行共振,若射頻線圈內含有電感為4 ×10-8 亨利(Henry),則線圈內要加入約多少法拉(Farad)的電容? (A)6.34 ×10-6 (B)2.64 ×10-8 (C)1.55 ×10-10 (D)1.22 ×10-12
41.關於MRI超導線圈的敘述,下列何者錯誤?(A)當超導線圈的冷凝劑含量過低時,可能會產生淬熄(quench)現象 (B)淬熄(quench)造成冷凝劑滲漏於掃描室內,因氣體較冷會集中靠近地板處 (C)臨床常使用的超導線圈,材質屬於低溫超導體 (D)淬熄(quench)後超導線圈無法立刻再重新使用
42.關於Maxwell gradient-coil pair的敘述,下列何者最不適當?(A)該線圈常用於產生Z軸方向的梯度磁場 (B)在MRI中兩個線圈的中心連線,會垂直於Y軸 (C)MRI掃描時可使用該線圈來產生相位編碼磁場 (D)該線圈產生的磁場方向與Golay coil產生的方向垂直
43.在MRI影像中的化學位移假影,可透過下列那種方式改善?(A)增加射頻激發強度 (B)降低梯度磁場爬升速度(slew rate) (C)降低射頻激發頻寬 (D)降低主磁場強度
44.下列為梯度磁場隨時間的變化圖(由左至右),何者在梯度磁場結束後(箭號處),產生的渦電流強度最小? (A)(B)(C)(D)
45.單一個表面線圈與8個此表面線圈所組成的相位陣列(phased array)線圈相較,在最佳情況之下,下列敘述何者最不適當? (A)相位陣列線圈產生的SNR約為單一表面線圈的倍 (B)相位陣列線圈產生的SAR約為單一表面線圈的8倍 (C)相位陣列線圈的照野(FOV)約為單一表面線圈的8倍 (D)相位陣列線圈與單一表面線圈在臨床造影應用上皆設計為接收線圈
46.在磁振造影中,下列何者為射頻屏蔽(RF shielding)所使用的主要材料?(A)鉛 (B)銅 (C)水泥 (D)硼
47.在磁振造影系統中,下列何者無法經由電腦控制台設定或更改?(A)主磁場(main magnetic field) (B)梯度放大器(gradient amplifiers) (C)射頻傳輸系統(RF transmitters) (D)造影參數(acquisition parameters)
48.使用游離腔量測游離輻射時,下列敘述何者錯誤?(A)無論是密封式(sealed)或開放式(open)游離腔,腔體內的空氣均會受外界的溫度及壓力影響,因此皆需做溫壓的修正(B)為修正離子再結合而造成的訊號損失,可使用全電壓及半電壓分別量測後,再查表得知修正因子(C)為修正游離腔的極性效應(polarity effect),應分別使用正電壓及負電壓量測,再將讀值分別取絕對值後相加除二(D)游離腔使用前應送國家實驗室進行校正
49.若一游離輻射在空氣中可產生10個離子對,則同樣的游離輻射在半導體劑量計內約可產生多少電子 -電洞對? (A)1 (B)10 (C)100 (D)1000
50.如圖所示為235 MeV質子射束的SOBP百分深度劑量圖,圖中關於射程甲、乙、丙、丁的描述,下列何者正確? (A) 甲:residual range(Rres),乙:practical range(Rp),丙:distal R 90(B)乙:practical range(Rp),丙:distal R90,丁:residual range(Rres)(C)甲:residual range(R res),乙:distal R90;丙:practical range(Rp)(D)乙:residual range(Rres),丙:distal R90,丁:practical range(Rp)
51.對大多數的物質而言,在下列那一種光與物質的交互作用下,其質量衰減係數會非常相似?(A)光電效應(B)康普吞效應(C)成對發生(D)光核蛻變
52.如果以SSD的技術執行放射治療,下列何者會影響幾何半影?①射源大小 ②治療深度 ③照野大小 ④射源至表面的距離(A)僅①④(B)僅②③(C)僅①②④(D)①②③④
53.關於模擬攝影機的敘述,下列何者錯誤?(A)模擬攝影機的檢查床與治療室的檢查床相似(B)可由模擬攝影機取得設計病人所要使用的補償器(compensator)或填充物(bolus)的相關量測資 料(C)模擬攝影機控制室不可能執行放射治療計畫(D)模擬攝影機必須有定位雷射的搭配
54.關於攝護腺插種治療,在手術完成後,下列敘述何者錯誤?(A)放射性種子有可能掉落在膀胱或尿道內(B)放射性種子有可能遺落在垃圾桶內,因此手術室垃圾桶也須以偵檢器檢查(C)病患回家後,體內放射性種子不可能再排出體外(D)允許病患離開醫院前,需考慮病患終生可能對其他個體造成的總劑量
55.子宮頸癌病人接受HDR治療,連管放置好之後拍攝的X光片如圖所示,如果醫師裝置與固定的非常恰當,病人也沒亂動,則圖中箭號所指示之白色盤狀物對應到的生理組織為:(A)陰道側穹窿(lateral vaginal fornix)(B)外子宮頸口(external cervical os)(C)內子宮頸口(internal cervical os)(D)子宮體(uterus corpus)
56.下列那些為醫用直線加速器治療機頭的組件?①監測游離腔 ②散射薄片 ③電子槍 ④高密度的屏蔽物質(A)①②③(B)①②④(C)僅②③(D)僅①④
57.60Co適用於體外放射治療,其在選擇上優於鐳及銫的原因,包含下列那些?①較高的比活度 ②每居禮中有較大的輻射輸出 ③較高的平均光子能量 ④較高的Γ值(A)①②③④(B)僅①③④(C)僅②③④(D)僅①②
58.依據輻射醫療曝露品質保證標準,醫用直線加速器光子射束中心軸於治療深度之劑量參數,每月量測值與基準值差異容許值為多少百分比以下?(A)1%(B)2%(C)3%(D)5%
59.關於X光模擬定位儀的敘述,下列何者錯誤?(A)X光模擬定位儀的檢查床與治療室的檢查床相似(B)可測得身體的厚度(C)可測得身體的電子密度(D)可得相對應填充物的設計
60.依據輻射醫療曝露品質保證標準,電腦斷層模擬定位掃描儀,每日校驗項目水假體影像CT值準確度及假影評估中,其水的CT值應介於多少HU之間?(A)-3~3(B)-5~5(C)-7~7(D)-10~10
61.電腦斷層模擬定位掃描儀,每日校驗的檢查,包含下列那些?①目視定位(機架)雷射燈功能正常②目視所有指示燈及操作電腦功能正常 ③測試指示病人的揚聲器功能正常 ④測試安全連鎖裝置功能正常(A)①②③④(B)僅①②③(C)僅②④(D)僅①③④
62.依據輻射醫療曝露品質保證標準,電腦斷層模擬定位掃描儀,每月校驗項目之水假體影像均勻度及雜訊評估,雜訊值與其基準值差異容許值為多少百分比以下?(A)3%(B)5%(C)10%(D)20%
63.依據輻射醫療曝露品質保證標準,X光模擬定位儀,每年校驗項目之旋轉臂機械旋轉中心及治療床機械旋轉中心,其誤差容許值分別為何?(A)直徑2 mm圓形範圍以下,直徑3 mm圓形範圍以下(B)直徑3 mm圓形範圍以下,直徑2 mm圓形範圍以下(C)直徑2 mm扇形範圍以下,直徑2 mm圓形範圍以下(D)直徑3 mm圓形範圍以下,直徑3 mm扇形範圍以下
64.有關直線加速器的接收測試,包含下列那些項目?①輻射防護偵測 ②準直儀對稱性 ③輻射等中心點 ④臨床劑量校驗(A)①②③④(B)僅①②④(C)僅①②③ (D)僅③④
65.在核醫造影時,為了減少散射(scatter)而將能窗變窄,則計數率與取像所需時間有何改變?(A)計數率下降,取像所需時間增加 (B)計數率下降,取像所需時間縮短 (C)計數率上升,取像所需時間增加 (D)沒有影響
66.常規核醫造影使用波高分析器(pulse height analyzer),可增加下列那項特性?(A)偵測效率(detector efficiency) (B)接收散射光子數目(scattered photons) (C)對比雜訊比(contrast-to-noise ratio) (D)計數率(count rate)
67.下列何種造影條件,其取像矩陣之像素何者最小?(A)FOV 50 cm,128×128 (B)FOV 25 cm,128×128 (C)FOV 30 cm,256×256 (D)FOV 40 cm,256×256
68.關於碲鋅鎘偵檢器(CZT detector)心臟掃描專用SPECT與傳統NaI (Tl) SPECT的比較,下列何者錯誤? (A)前者在造影時,不用旋轉gantry (B)前者的造價較高(若尺寸相同) (C)前者的造影時間較短 (D)前者的能量解析度較差
69.關於MLEM和OSEM的敘述,下列何者最不適當?(A)兩者皆可以合併物理參數(衰減、均勻度等)進行疊代修正 (B)兩者皆利用統計中將相似度的期望值最大化的方法疊代求解 (C)在達成相同的影像品質條件下,OSEM所需之計算時間會短於MLEM (D)若沒有時間限制,疊代越多次,影像品質越好
70.進行頭部99mTc-TRODAT-1 SPECT掃描時,下列敘述何者錯誤?(A)通常需旋轉360°,取樣角度為3°~ 6° (B)利用fan beam collimator時,常使用non-circular orbit得到較佳之解析度 (C)可以由預覽linogram知道患者在長時間的掃描下,是否有移動 (D)要以SPECT/CT掃描進行衰減校正時,常使用low energy high resolution collimator
71.當掃描條件改變時(沒說明的參數維持不變),對於SPECT影像訊雜比(SNR)的影響,下列敘述何者正確? (A)每個角度的掃描時間由20秒改成30秒,SNR會上升 (B)將能窗由±10%改成±20%,SNR會上升 (C)將截止頻率(cycle/pixel)由0.5改成0.3時,SNR會下降 (D)將matrix size由128×128改成256×256,SNR會上升
72.以SPECT/CT進行骨骼斷層掃描,融合的影像如圖所示,其假影最可能的成因為何?(A)misregistration(misalignment) (B)metal artifact (C)uniformity artifact (D)truncated artifact
73.正子核種中,下列何者的正子射程(positron range)最短?(A)18F (B)82Rb (C)13N (D)68Ga
74.當互毀輻射光子發生在外圍周邊晶體位置時,光子與偵檢器作用會穿透不同晶體,故使靠周邊的解析度變差,此為下列何種效應? (A)scatter coincident event (B)parallax error (C)pile-up effect (D)crystal error
75.假設早上8點合成10 mL的18F-FDG 500 mCi,若下午一點半需要10 mCi的FDG,則當時需要抽多少mL?( 18F半衰期110分鐘) (A)0.5 (B)0.63 (C)1.6 (D)6.25
76.下列何者最差? (A)pinhole collimator (B)converging collimator (C)high resolution parallel hole collimator (D)general purpose parallel hole collimator
77.承上題,若射源距離collimator 5 cm,其sensitivity的比較,下列何者最高?(A)pinhole collimator (B)converging collimator (C)high resolution parallel hole collimator (D)general purpose parallel hole collimator
78.在核醫影像中,若使用照野(UFOV)為55 cm×41 cm,則其中心照野(CFOV)約為多少cm 2?(A)52×39(B)41×31(C)73×55(D)45×36
79.相較於標準條件(全功能準直儀),改變SPECT掃描參數時,會得到相對的利益和缺點,下列敘述何者最不適當?(A)使用高解析度準直儀,解析度提升,靈敏度下降(B)使用扇型準直儀,靈敏度提升,照野變小(C)每角度造影更長的時間,訊雜比(SNR)提升,患者移動可能性增加(D)使用較小的影像矩陣,靈敏度提升,解析度變差
80.正子電腦斷層掃描中,由非同一個互毀事件所產生的光子,但同時被兩個偵測器偵測到的事件指的是下列何者?(A)random event(B)scatter event(C)true event(D)prompts event