所屬科目:放射線診斷原理與技術學
1.針對男性腰椎攝影AP axial L5-S1 projection,其中心射束(central ray, CR)之角度對位何者正確? (A)cephalad 30°、CR to the level of the ASIS(anterior superior iliac spine)at the midline of the body (B)cephalad 15°、CR to the level of the iliac crest at the midline of the body (C)caudad 30°、CR to the level of the ASIS(anterior superior iliac spine) at the midline of the body (D)caudad 15°、CR to the level of the iliac crest at the midline of the body
2.在一速度為500之影像接受器上,如要得到光密度(optical density, OD)值為1.0之影像,最少需要多少曝露? (A)2 mR (B)4 mR (C)5 mR (D)8 mR
3.拍攝腰椎X光側面像時,若SID為100公分,影像上錐體的寬為5.4公分,則距離影像接受器25公分之實際錐體大小為多少公分? (A)1.35 (B)4.06 (C)5.40 (D)7.20
4.濾片(filter)厚度增加時,對X光發射頻譜的量(quantity)與品質(quality)的影響為何? (A)quantity增加、quality下降 (B)quantity增加、quality上升 (C)quantity增加、quality不變 (D)quantity減少、quality上升
5.X光影像系統的電器迴路中,可以見到預讀電壓表(pre-reading kVp meter)位於下列那一個區段內? (A)控制區域 (B)低壓區域 (C)高壓區域 (D)管球區域
6.用 一般X光素片(如站立的腹部素片、胸部X光素片)來診斷腸道破裂產生的游離空氣(free air),下列敘述何者最不恰當? (A)空氣與軟組織的X光吸收密度不同 (B)游 離空氣會隨身體姿勢不同,移向身體的較高部位 (C)在 站立胸部以及腹部X光素片上,游離空氣會移動至橫膈下方 (D)後 腹腔因為與游離空氣的組織密度差別大,是最容易看到游離空氣處
7.有關腹部素片(plain abdomen)的敘述,下列何者最不適當? (A)在腹部素片可以呈現肝臟的輪廓 (B)腹部素片採取站立姿勢,因此小腸會因為有無空氣以及液體而改變位置,空氣多的部分會往上移動 (C)大部分正常情況下,左腎位置比起右腎來的低 (D)升結腸以及降結腸部分屬於後腹腔,通常較不會因為空氣多寡改變位置
8.有關焦斑外輻射(off-focus radiation),下列敘述何者正確? (A)當電子束打到焦斑外的地方,產生的X光稱作焦 斑外輻射 (B)會造成影像對比增加 (C)可以減少輻射劑量 (D)會提高影像解析度
9.散射線(scattering radiation)會對影像品質造成何種影響? (A)減少失真度(distortion) (B)減少光密度(density) (C)減少對比度(contrast) (D)增加解析度(resolution)
10.採用inferosuperior axial projection進行肩關節的攝影(Lawrence method),下列有關中心射束的敘述何者正確? (A)平行身體長軸,並向內側偏轉25度 (B)平行身體長軸,並向外側偏轉25度 (C)垂直身體長軸,並向內側偏轉25度 (D)垂直身體長軸,並向外側偏轉25度
11.下列何者與一般常規X光攝影之影像失真(distortion)無關? (A)source image receptor distance(SID) (B)object image receptor distance(OID) (C)object image receptor alignment (D)upside-down focused grid
12.下列有關骨質密度測定的描述,何者錯誤? (A)quantitative computed tomography通常選擇脊椎T12至L5中2-3節椎體 (B)quantitative ultrasound一般選擇脊椎L1至L4 (C)quantitative dual-energy X-ray absorptiometry一般選擇脊椎L1至L4 (D)quantitative dual-energy X-ray absorptiometry可選擇股骨(femur)近端
13.下列何者不是腹腔動脈幹(celiac trunk)供應的主要器官? (A)胃 (B)小腸 (C)肝臟 (D)脾臟
14.下列何者無法減少血管造影期間患者的劑量? (A)精確的使用collimation (B)影像增強器(image intensifier)和患者之間的距離最小化 (C)X射線源與患者之間的距離最小化 (D)使用圖像保留(last image hold)之類的功能
15.施行肝臟血管攝影檢查時發覺透視影像太黑,下列敘述何者正確? (A)調整table使目標置於影像中央位置 (B)調整collimator以放大FOV (C)調整frame rate (D)調整檢查室燈光
16.下列何者是血管攝影使用含碘對比劑中相對較佳的選擇? (A)非離子性高滲透壓 (B)非離子性低滲透壓 (C)離子性高滲透壓 (D)離子性低滲透壓
17.肝門脈系統(hepatic portal system)包括下列那幾條血管?①肝門靜脈(hepatic portal vein) ②右腎靜脈(right renal vein) ③脾靜脈(splenic vein) ④肝總動脈(common hepatic artery) ⑤腸繫膜靜脈(mesenteric vein) (A)①②④ (B)①③④ (C)①③⑤ (D)②③⑤
18.下列何種腦血管疾病在做血管攝影檢查時,較需要提高每秒顯示幀數(frames per second, FPS)? (A)動脈瘤 (B)靜脈竇栓塞 (C)缺血性中風 (D)動靜脈畸形
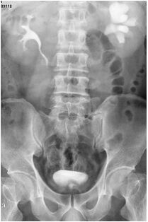
19.於IVU攝影時,在注射後15分鐘發現如下圖影像,下列那一種處理方式可能性最低? (A)先依標準時間完成攝影,再請醫師決定 (B)先追加造影劑10 mL,再依時間攝影 (C)等候30 分鐘後,再繼續攝影 (D)立即請醫師決定下一張所需延後攝影時間
20.實施大腸硫酸鋇攝影檢查時,如呈現錐形狹窄的"beak sign"時,患者可能有下列那一種疾病? (A)ulcerative colitis (B)polyps (C)diverticula (D)volvulus
21.靜脈注射泌尿道攝影(IVU)中,不同時間點攝影之目的,下列何者錯誤? (A)注射造影劑前:評估泌尿道結石 (B)注射後5分鐘:評估腎盂顯影狀況 (C)注射後10分鐘:評估腎盂及輸尿管顯影狀況 (D)注射後30分鐘:評估尿道排尿狀況
22.檢查頭顱之"three-vessel angiography"不包括下列那一條血管? (A)right common carotid artery (B)left common carotid artery (C)vertebral artery (D)axillary artery
23.有關雙能X光吸收測量儀(dual-energy X-ray absorptiometry)測量骨質密度的敘述,下列何者正確? (A)測量股骨的骨質密度時,應使受檢者的脊椎與下肢伸直成一直線 (B)測量股骨的骨質密度時,應使受檢者的下肢伸直並向內轉約15至20度 (C)測量腰椎的骨質密度時,應使受檢者的下肢伸直並向外轉約15至20度 (D)測量股骨的骨質密度時,應使受檢者的膝蓋抬高並彎曲約60至90度
24.有關膝關節攝影(knee arthrography)的敘述,下列何者錯誤? (A)膝關節之姿勢會因不同的檢查方法而異 (B)中心線宜對準半月板,每20度攝影一張 (C)兩側半月板極易辨識,無需用鉛字註明 (D)半月板應置於照野中心區
25.下列何種膽道攝影無需使用造影劑即可呈現膽道? (A)CT cholangiography (B)ERCP (C)PTC (D)MRCP
26.下列何者為肝癌血管栓塞術最主要的禁忌? (A)肝癌腫瘤破裂 (B)多發性肝癌腫瘤 (C)門靜脈主幹栓塞 (D)病人貧血
27.若其他掃描參數不改變時,跟pitch=1進行比較,當pitch=2時,病人劑量會降低多少%? (A)20 (B)30 (C)50 (D)pitch與病人輻射劑量無關
28.下列何種CT假體可以用於檢測CTDI? (A)imaging performance phantom (B)geometric phantom (C)instrumentation phantom (D)dosimetry phantom
29.當前的商用CT掃描儀,最有可能使用下列何種類型的X射線探測器? (A)閃爍體(scintillators) (B)光電導體(photoconductors) (C)光敏螢光粉(photostimulable phosphors) (D)氣體電離室(gas ionization chambers)
30.一物質之CT number為-100 HU,此物質最可能為下列何者? (A)water (B)fat (C)gray matter (D)white matter
31.CT window level設為-600 HU, window width設為1700 HU時,用於下列何部位的評估最為適當? (A)lung (B)mediastinum (C)liver (D)bone
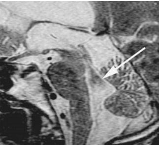
32.中年男性創傷,矢狀面重組的(sagittal reformatted)電腦斷層影像如下圖,箭號所指異常處最適當的敘述為何? (A)脊髓橫斷(spinal transection) (B)椎間盤疝脫(herniated intervertebral disc) (C)移動假影(motion artifact) (D)金屬假影(metal artifact)
33.某人頭部創傷,到院前心跳停止(out-of-hospital cardiac arrest, OHCA),經心肺復甦術及氣管內管(endotracheal tube)插管治療後,接受電腦斷層檢查,下圖箭號處最適當的敘述為何? (A)食道插管(esophageal intubation) (B)氣管狹窄(tracheal stenosis) (C)食道破裂(esophageal perforation) (D)正常插管後現象(normal postintubation phenomenon)
34.下列CT值(CT number)等相關敘述,何者正確?(A)CT值的單位是Gy (B)CT值與組織衰減係數成正比 (C)組織衰減係數與組織密度成反比 (D)CT值與組織密度成反比
35.在電腦斷層檢查時,若設定影像照野field of view(FOV)長寬各為256 mm,影像矩陣為 512 × 512,切片厚度為 1 mm,則體素(voxel)大小為多少mm3? (A)5×5×0.5 (B)1×1×1 (C)0.5×0.5×0.5 (D)0.5×0.5×1
36.假設CT的灰階值包含範圍為+180~ -80,則其window width(WW)和window level(WL)為何?(A)WW = 260,WL = +40 (B)WW = 260,WL = +50 (C)WW = 100,WL = +60 (D)WW = 100,WL = +50
37.關於orbital CT在眼眶外傷之應用的敘述,下列何者錯誤? (A)所有異物的CT值皆比眼眶脂肪低 (B)玻璃異物的CT值比眼眶脂肪高 (C)眼球破裂時,其形狀會改變 (D)用bone window比較容易評估眼眶骨折
38.有關CT的flying focal spot的敘述,下列何者正確? (A)可以讓球管轉速更快 (B)是螺旋(spiral)CT發展的重要技術 (C)可降低球管的熱容量(MHU) (D)可以提高空間解析度(spatial resolution)
39.電腦斷層攝影所使用的bowtie filter之主要目的為何? (A)減少掃描時間 (B)使射束更加均勻 (C)減少射束半值層 (D)減少病人劑量
40.下列那一項是PET/CT中,低劑量CT最主要的功能? (A)判斷良性或惡性 (B)診斷病灶 (C)衰減校正 (D)標示病灶的惡性度
41.當電腦斷層攝影最小可解析的物體大小為0.5 mm時,CT影像系統中的解析度為多少lp/cm? (A)20 (B)15 (C)10 (D)5
42.相較於SDCT(single detector computed tomography),MDCT(multidetector computed tomography)的特點何者錯誤? (A)較佳的空間與時間解析度 (B)有較高的散射 (C)使用pre-patient collimator控制切片厚度 (D)部分體積效應較小
43.Gadolinium顯影劑增強MR血管攝影,臨床上最常使用下列那種方法顯示? (A)maximum intensity projection(MIP) (B)minimal intensity projection(MinIP) (C)surface rendering (D)fiber trajectory
44.在肌肉骨骼MR影像中,為了得到較高訊雜比(SNR),較常使用何種線圈? (A)body coil (B)head coil (C)surface coil (D)volume coil
45.90度的RF脈衝經過幾次T1時間後,縱向磁化強度才能接近完全恢復? (A)4 (B)3 (C)2 (D)1
46.在傳統MRI造影時,若發生化學位移假影(chemical shift artifact)時,會沿什麼方向產生? (A)frequency encode (B)phase encode (C)slice selection (D)oblique direction
47.使用下列何項參數最可能呈現MRI之T2 weighted image? (A)short TR, long TE (B)short TR, short TE (C)long TR, long TE (D)long TR, short TE
48.按照磁性分類,下列何者可被歸類為順磁性(paramagnetic)? (A)人體組織 (B)含氧血紅素 (C)去氧血紅素 (D)二氧化鐵
49.下列何種造影參數下,腦脊髓液在影像上較白質為亮? (A)TR=2000 ms,TE=8 ms (B)TR=2000 ms,TE=80 ms (C)TR=200 ms,TE=80 ms (D)TR=200 ms,TE=8 ms
50.在1.5 T的MRI中使用反轉回復技術進行抑制腦脊髓液的訊號時,下列何者最接近反轉時間應設定的 數值? (A)50毫秒 (B)200毫秒 (C)2000毫秒 (D)5000毫秒
51.關於開放式磁振造影儀(open MRI scanner)的敘述,下列何者正確? (A)使用永久磁鐵,所以磁場強度無法達到3T (B)使用永久磁鐵,所以不需要梯度線圈(gradient) (C)使用電磁鐵,所以無法進行腦部造影 (D)使用電磁鐵,所以不會產生化學位移假影(chemical shift artifact)
52.下列何者可做為超導磁鐵的超導材料? (A)鈷(cobalt)、鎳(nickel) (B)鐵(iron)、鉑(platinum) (C)鋯(zirconium)、錸(rhenium) (D)鈮(niobium)、鈦(titanium)
53.銅(copper)常做為RF屏蔽(RF shielding)中的材質,下列何者為其原因? (A)良好的導電率(conductivity) (B)良好的延展性(ductility) (C)有較高的密度(density) (D)良好的耐腐蝕性(corrosion resistance)
54.下列何者可發射射頻(RF),也能接收射頻? (A)shimming coil (B)endorectal coil (C)birdcage coil (D)breast coil
55.根據Larmor equation,在3T磁場環境下,氫質子旋進的頻率為多少MHz? (A)42.6 (B)127.8 (C)21.3 (D)63.9
56.有關磁振造影中平面回波成像(echo planar imaging)的特性敘述,下列何者錯誤? (A)由於快速成像的特性,廣泛用於結構性與功能性造影 (B)可利用單次激發,連續採樣,達成快速成像 (C)其k-space掃描軌跡必須為螺旋式 (D)其化學位移(chemical shift)假影,只會在相位編碼方向
57.下列何種磁振造影技術對偵測腦部微小出血之敏感度最高? (A)gradient echo sequence (B)T2-weighted imaging (C)diffusion weighted imaging (D)susceptibility weighted imaging
58.附圖中箭號所指示的暗灰色區域是下列何種現象產生的假影? (A)motion artifact (B)chemical shift artifact (C)turbulent flow artifact (D)truncation artifact
59.下列何者為特定組織訊號抑制(tissue suppression)的MRI技術? (A)STIR(short tau inversion recovery) (B)GRASS(gradient-recalled acquisitions in steady state ) (C)TOF(time of flight) (D)EPI(echo planar imaging)
60.注射磁振造影的造影劑後最主要會發生下列何種現象? (A)組織內的擴散常數(diffusion coefficient)增加 (B)組織的縱向回復時間縮短 (C)化學位移的頻率變化加大 (D)組織的橫向回復時間變長
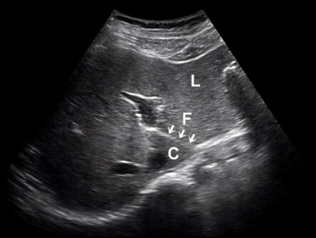
61.肝臟超音波橫向掃描時,在外側節段(lateral segment, L)與尾葉(caudate lobe, C)之間有 一高回音裂隙(fissure, F),如下圖箭號處。此高回音裂隙與下列何者最有關係? (A)靜脈韌帶(ligamentum venosum) (B)動脈韌帶(ligamentum arteriosum) (C)圓韌帶(ligamentum teres) (D)鎌狀韌帶(falciform ligament)
62.肝臟超音波橫向掃描時,發現一個高回音性病灶,介於右肝靜脈(right hepatic vein, RHV)與中肝靜脈(middle hepatic vein, MHV)之間(如下圖)。根據Couinaud classification的分 類,此病灶應在肝臟的那一個節段(segment)? (A)8(VIII) (B)7(VII) (C)4(IV) (D)3(III)
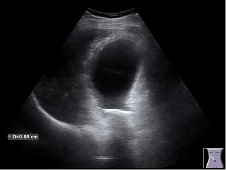
63.右上腹部超音波掃描時,發現一囊狀構造橫徑超過4公分,壁厚超過3公釐,內有高回音結構且具有 後側音影(acoustic shadowing),以及陽性超音波墨菲氏徵象(positive sonographic Murphy's sign),下圖最有可能的診斷為何? (A)急性結石性膽囊炎(acute calculous cholecystitis) (B)急性無結石性膽囊炎(acute acalculous cholecystitis) (C)急性氣腫性膽囊炎(acute emphysematous cholecystitis) (D)膽結石性腸阻塞(gallstone ileus)
64.關於膀胱超音波的敘述,下列何者正確? (A)正常的膀胱為均勻的中度回音 (B)膀胱體積測量為橫徑、前後徑、上下徑的乘積,再乘以0.52 (C)慢性膀胱炎會呈現較薄的膀胱壁 (D)膀胱結石會造成後方回音增強
65.超音波掃描單純性肝臟囊腫(simple hepatic cyst),一般不會出現下列何種情形? (A)內部無回音 (B)界限清晰,呈圓形或橢圓形 (C)囊腫兩側呈現鏡像影像 (D)囊腫後方呈現回音增強
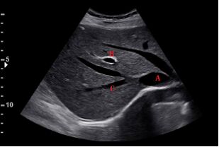
66.下圖為肋骨弓下緣之超音波掃描影像,其編號A、B、C的解剖位置,依序應為下列何者? (A)腹主動脈、門靜脈、左肝靜脈(B)腹主動脈、肝動脈、右肝靜脈(C)下腔靜脈、門靜脈、右肝靜脈(D)下腔靜脈、門靜脈、左肝靜脈
67.關於消化系統超音波掃描的敘述,下列何者錯誤? (A)正常的膽囊壁厚度應小於6 mm(B)正常的總膽管直徑通常小於7 mm(C)若膽囊已切除的病人,總膽管直徑達 9 mm,仍可算正常(D)正常的胰管直徑大小應小於3 mm
68.附圖中箭號所指高回音的部位最可能為何? (A)腎髓質(medulla)(B)腎竇部(renal sinus)(C)腎盂(pelvis)(D)腎皮質(cortex)
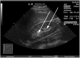
69.附圖為上腹部超音波影像,箭號所指的低回音構造為下列何者? (A)腹腔動脈幹(celiac trunk)(B)上腸繫膜動脈(superior mesenteric artery)(C)右肝靜脈(right hepatic vein)(D)右腎動脈(right renal artery)
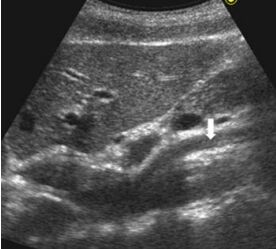
70.附圖為右上腹部超音波斜縱向掃描,箭號所指的構造最可能為下列何者? (A)膽囊(gallbladder)(B)總膽管(common bile duct)(C)下腔靜脈(inferior vena cava)(D)門靜脈(portal vein)
71.脾臟超音波掃描如附圖影像,箭號所指最可能為何?(A)pancreatic tail (B)accessory spleen (C)splenic vein (D)renal cyst
72.在超音波影像上,一般成人正常的腎臟長徑約為多少cm? (A)16~18 (B)10~12 (C)6~8 (D)2~4
73.關於SMPTE(society of motion picture and television engineers)測試模板的敘述,下列何 者錯誤? (A)可以提供螢幕解析度及其他特性檢測使用 (B)由 0%至100% 提供11個不同程度百分比的基本灰階區塊供檢測 (C)在額外增設的0%灰階區塊內,可以見到一個比較小面積的5%灰色階區塊 (D)在額外增設的100%灰階區塊內,可以見到一個比較小面積的95%灰色階區塊
74.關於傳統型乳房攝影重照率(repeat rate)的敘述,下列何者錯誤? (A)每一分項的重照率都必須小於2% (B)全體項目的重照率總和必須小於2% (C)重照率=需重照患者數/總患者數 (D)重照率計算須包含所有原因的重照,不能只計算放射科醫師的退片數量
75.下圖影像是執行那一種CT品管步驟的結果? (A)對比解析度 (B)空間解析度 (C)均勻度 (D)切面準確度
76.X光管套之漏射線(leakage radiation)在1公尺處應低於多少mR/hr? (A)1 (B)10 (C)100 (D)5
77.影像對位(image registration)的技術中,下列何者不是剛體變換(rigid transformation)所 需的要件? (A)參考影像(reference image) (B)平移(translation) (C)旋轉(rotation) (D)變形(warp)
78.圖中所示,影像經由傅立葉轉換(Fourier Transform)至頻譜空間(frequency domain),並於 頻譜空間上進行濾波(filtering),此濾波後之頻譜資訊經由反傅立葉轉換(Inverse Fourier Transform)後,其結果為下列何者?(A)(B)(C)(D)
79.下列何者最適合用於影像中「點」(isolated points)的偵測? (A)(B)(C)(D)
80.HL7(Health 7)醫療資訊的交換標準,相當於網路七層架構(open system interconnection,OSI)中那一層級協定(protocol layer)? (A)資料連結層(data link layer) (B)網路層(network layer) (C)應用層(application layer) (D)實體層(physical layer)