所屬科目:放射線診斷原理與技術學
1.下列何項 X 光檢查,其中心線投射需採用 cephalad? (A)sacrum lateral (B)mandible PA axial (C)coccyx AP (D)schuller method
2.關於 X 光的數位攝影敘述,下列何者正確? (A)四肢常規攝影需取單張影像原則,減少輻射曝露的風險 (B)影像內有病人資訊、日期及其解剖左右邊標示 (C)解釋攝影流程與病情結果為醫事放射師的專業服務 (D)ACE 是指自動曝露控制系統
3.下列何種計算式可測得影像的放大率? (A)SID/OID (B)(SOD+OID)/SOD (C)OID/(SOD+OID) (D)SOD/(SID-SOD)
4.下列有關頭顱的敘述,何者正確? (A)眼窩底板因物體直接撞擊眼睛而導致的傷害,稱為 Le Fort 骨折 (B)一般疑似竇室炎(sinusitis)患者,宜採立姿拍攝 (C)乳突憩室炎(mastoiditis)患者拍乳突時,其上界應低於 C3 (D)頭顱基準線中與耳洞連結的最下方一條稱為 LML
5.有關頭顱攝影的敘述,下列何者正確? (A)拍攝 rhese 時,病人的 MSP 需與桌面形成 37 度 (B)SMV 也可用來拍攝 zygomatic arches、sinuses (C)拍攝 TMJ 時,X 光中心線向頭打 25~30 度,可避免雙側 TMJ 重疊 (D)以 Waters method 拍攝 sinuses 時,MML 需與影像接收板(IR)垂直,可使 OML 與影像接收板(IR)形成 53 度
6.下列何者不適合用來評估靜態數位 X 光影像的品質? (A)brightness (B)contrast (C)spatial resolution (D)temporal resolution
7.關於足跟效應(heel effect),下列敘述何者正確? (A)靠近陰極端輸出 X 光強度較弱 (B)減少射源與影像接收器距離(SID)會減少足跟效應 (C)使用柵板(grid)可減少足跟效應 (D)縮小照野範圍可以減少足跟效應
8.下列何種 X 光攝影方式,最能呈現出枕骨大孔(foramen magnum)? (A)schuller method (B)submentovertical projection (C)Lawrence method (D)sunrise projection
9.腰椎斜位 X 光攝影時看到的蘇格蘭狗(Scottie dog)的各個部位代表結構,下列何者錯誤? (A)耳朵:superior articular process (B)鼻子:transverse process (C)眼睛:pedicle (D)尾巴:inferior articular process
10.下列何者為傳統陰極射線管(cathode ray tube, CRT)顯示器之特性? (A)平面顯示器 (B)方形像素 (C)像素交互干擾失真 (D)磷光不均勻
11.關於 X 光攝影柵板(grid)的敘述,下列何者正確? (A)柵板可降低 X 光繞射 (B)光柵比為柵板間隔厚度與柵板總長的比值 (C)光柵比越高,越能減少 X 光散射量 (D)光柵比越高,病患照射劑量越低
12.20 keV 的 X 光與骨骼和脂肪產生光電效應之相對機率為何?(已知骨骼之有效原子序為 13.8,脂肪之有效原 子序為 6.8) (A)0.49 (B)2.03 (C)4.12 (D)8.36 3
13.假設乳房攝影時 X 光與物質作用皆為光電效應,則微鈣化點(Z=20, ρ=1550 kg/m )對 X 光的吸收是脂肪組 3 織(Z=6.3, ρ=910 kg/m )的幾倍? (A)1.7 (B)5.4 (C)32 (D)54.4
14.病人從股動脈穿刺的血管攝影沒有辦法成功,從肱動脈穿刺的主動脈血管攝影如下圖,診斷應為下列何者?
(A)遠端主動脈阻塞 (B)腎臟的動靜脈畸型 (C)腹腔動脈阻塞 (D)上腸繫膜動脈阻塞
15.下列選項何者較不可能為血管攝影(catheter angiography)的併發症? (A)穿刺處血腫 (B)肝臟衰竭 (C)對比劑過敏 (D)導管或是導線的穿刺傷害
16.數位透視攝影中,flat panel image receptors 相較於 charge-coupled device image intensifiers 的優 勢,下列何者錯誤? (A)無失真影像 (B)整個影像範圍內保持穩定的影像品質 (C)整個影像範圍內具有更佳的對比解析度 (D)兩者均具有較低的 detective quantum efficiency(DQE)
17.關於關節腔攝影檢查(Arthrography)的敘述,下列何者錯誤? (A)通常需搭配靜脈注射含碘對比劑 (B)可搭配空氣進行雙重對比(double contrast) (C)如需搭配 MRI 檢查,對比劑需混合含 Gd 對比劑同時進行施打 (D)除透視攝影檢查外,通常也會進行傳統素片 X 光攝影
18.實施大腸鋇劑造影(barium enema)檢查前,病人須採取下列那一個姿勢,可讓醫護人員放置 rectal tip? (A)semiprone position (B)decubitus position (C)reverse Trendelenburg position (D)prone position
19.食道鋇劑攝影時會發現有兩個壓痕(indentation),分別來自: (A)主動脈弓、左肺動脈 (B)主動脈弓、左支氣管 (C)橫膈膜、左肺動脈 (D)左支氣管、左肺動脈
20.有關腸套疊(intussusception)的敘述,下列何者錯誤? (A)當懷疑腸穿孔時,應立即使用鋇劑灌腸檢查 (B)可以使用鋇劑灌腸幫助復位 (C)灌腸桶與檢查台距離約為 3 英呎(約 90 公分) (D)好發於幼兒患者
21.在選擇適合的導線(guidewires)時,下列何者是導線在血管攝影程序中最常被採用的項目? (A)穿刺血管壁,以建立通路 (B)支撐導管進入狹窄或彎曲的血管 (C)取代導管來輸送顯影劑 (D)直接進行血管栓塞治療
22.在 DSA 影像處理中,hybrid subtraction(混合減影)技術的主要目的為何? (A)減少影像儲存空間 (B)增強血管顯影,並降低運動偽影 (C)減少 X 光劑量 (D)提高影像對比度,但會增加偽影
23.總頸動脈(common carotid artery)通常在那個解剖水平分為內外頸動脈(internal & external carotid arteries)? (A)C1-C2 椎體 (B)C3-C4 椎體 (C)C5-C6 椎體 (D)T1-T2 椎體
24.相較於類比放射攝影,下列何者為數位放射攝影系統最主要之優點? (A)降低病人輻射劑量 (B)增加對比解析度 (C)方便骨骼相關位置定位 (D)減少躁動假影
25.在直接擷取式數位 X 光攝影(DR)系統中,下列何者最常用來將離體輻射(remnant radiation)轉換為電訊 號? (A)PSP 晶體 (B)碘化銫(cesium iodide) (C)非晶矽(amorphous silicon) (D)非晶硒(amorphous selenium)
26.在懷孕期間如不小心接受下列何種檢查,會使胎兒接收到最高的輻射曝露劑量? (A)乳房攝影 (B)胸部 X 光攝影 (C)頭部 X 光攝影 (D)胸椎 X 光攝影
27.下圖為何種檢查、那一側的集尿系統有問題?
(A)intravenous urography(IVU)、left (B)intravenous urography(IVU)、right (C)voiding cystourethrography(VCUG)、left (D)voiding cystourethrography(VCUG)、right
28.進行電腦斷層檢查時,影像接受曝射劑量(image receptor exposure)與 kVp 之關係,下列何者正確? (A)曝射劑量與 kVp 無關 (B)曝射劑量正比於 kVp2 (C)曝射劑量正比於 kVp3 (D)曝射劑量正比於 kVp
29.關於電腦斷層影像中的條紋(streaks)、陰影(shading)及環狀(rings)假影 ,下列敘述何者正確? (A)條紋假影主要由偵測器損壞或校正不良造成 (B)陰影假影常由射束硬化(beam hardening)效應、部分體積(partial volume)效應或散射輻射(scatter radiation)造成 (C)環狀假影通常由病人運動引起,並多出現在影像邊緣 (D)條紋假影的成因僅限於金屬植入物引起的輻射阻擋現象
30.有關 CT 劑量評估的程序,下列敘述何者正確? (A)使用直徑 32 公分的 PMMA 假體代表成人腹部 (B)使用直徑 8 公分的 PMMA 假體代表小兒腹部 (C)法定量測的劑量計為熱發光劑量計(TLD) (D)需要搭配蓋革計數器(GM counter)才能偵測微小輻射
31.關於心臟 CT 鈣化指數(calcium score)的技術與掃描參數設定,下列何者正確? (A)calcium score 掃描通常使用對比劑,以提高冠狀動脈鈣化的顯影效果 (B)為了提高影像解析度,calcium score 掃描應使用較高 kVp(>160 kVp)以獲取最佳結果 (C)calcium score 掃描時,ECG 門控技術是必要的,因為心臟運動可能影響冠狀動脈的影像品質,通常會在舒 張末期(end-diastole)進行影像擷取 (D)在 calcium score 計算中,任何密度高於 80 Hounsfield units(HU)的組織皆會被視為鈣化區域
32.關於 CT 血管攝影(CT angiography, CTA)的技術與應用,下列何者正確? (A)CTA 掃描無需使用對比劑,因為血管可以在標準 CT 影像中清楚顯示 (B)CTA 常用於診斷動脈瘤、肺栓塞與主動脈剝離,能夠提供血管結構與病變的影像 (C)由於血管具有較高的 X 射線吸收率,CTA 掃描不需要特殊的後處理技術來增強影像 (D)CTA 只能用於頭頸部血管成像,不適用於腹部或冠狀動脈的評估
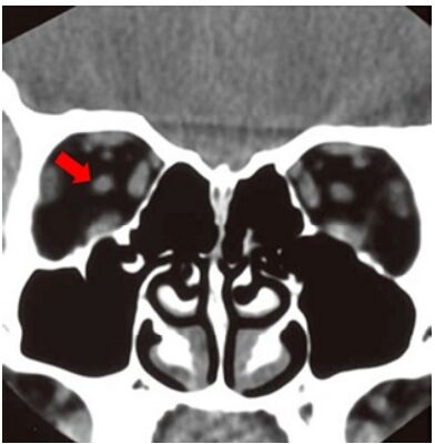
33.電腦斷層掃描時其數值(CT number)出現下列何種檢測結果,須對電腦斷層掃描儀進一步進行檢測? (A)水的數值為-10 (B)壓克力假體數值為 110 (C)骨頭假體數值為 900 (D)空氣的數值為-1000
34.CT 主要是計算 X 光的線性衰減係數(linear attenuation coefficient),其單位為何? (A)mm (B)cm (C) (D)mm2
35.下圖箭頭處所指為下列何者?
(A)medial rectus muscle (B)superior ophthalmic vein (C)optic nerve (D)lateral rectus muscle
36.下圖影像的 window width(WW)及 window level(WL),最可能為下列那一選項?
(A)WW:80、WL:40 (B)WW:2000、WL:600 (C)WW:500、WL:40 (D)WW:1500、WL:-600
37.CT numbers 的敘述,下列何者錯誤? (A)CT numbers 由線性衰減係數(linear attenuation coefficient)而來 (B)亦稱為 Hounsfield units,為紀念他發明第一部頭部電腦斷層而得名 (C)以脂肪作為 0 並與其他物質比較 (D)空氣有最低的 CT numbers
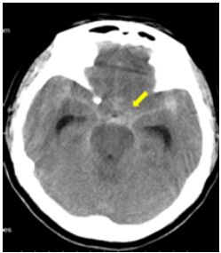
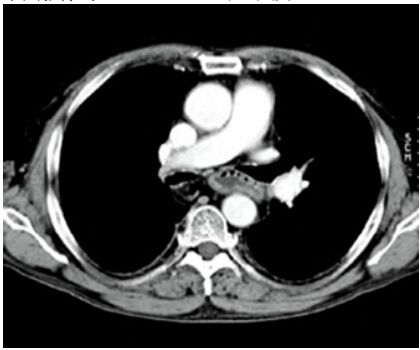
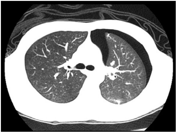
38.男性患者突然左胸痛,未施打顯影劑的胸腔電腦斷層在左肺旁發現異常(如下圖所示),最適當的診斷為 何?
(A)氣胸(pneumothorax) (B)血胸(hemothorax) (C)乳糜胸(chylothorax) (D)連枷胸(flail chest)
39.創傷中檢測腦部點狀慢性出血產物中,那一種 MRI 序列最敏感? (A)T1 加權影像(T1-weighted imaging, T1WI) (B)回訊平面成像(echo planar imaging, EPI) (C)液體衰減反轉恢復影像(fluid attenuated inversion recovery, FLAIR) (D)磁化率加權(susceptibility weighted imaging, SWI)
40.下圖是下肢磁振造影影像,其中之圓形影像為下列何者所造成?
(A)ghost artifact (B)truncation artifact (C)cross- talk artifact (D)magic angle artifact
41.有關能量都卜勒(power Doppler)的敘述,下列何者錯誤? (A)可偵測較細小的血管 (B)可獲得血流方向的資訊 (C)對偵測流速慢之血流,有較佳的靈敏度 (D)無角度依存性
42.外傷病人的電腦斷層腹部影像如附圖,箭號所指最可能為下列何者?
(A)氣胸(pneumothorax) (B)氣腹(pneumoperitoneum) (C)皮下氣腫(subcutaneous emphysema) (D)後腹腔積氣(pneumoretroperitoneum)
43.電腦斷層檢查腦內出血血塊的 CT number,下列何者較高? (A)出血中之血塊 (B)出血 1 天之血塊 (C)出血 1 週之血塊 (D)出血 1 月之血塊
44.當頭部外傷的病人懷疑顱骨骨折時,其頭部電腦斷層影像的窗寬(window width, WW)與窗位(window level, WL)的調整,下列何者較適當? (A)WW:80、WL:40 (B)WW:2000、WL:600 (C)WW:700、WL:-600 (D)WW:150、WL:30
45.下圖箭號所指出血位置為何?
(A)硬膜下腔出血 (B)硬膜外腔出血 (C)蛛網膜下腔出血 (D)腦室出血
46.承上題,下列何者非適當的進一步檢查? (A)CT angiography (B)MR angiography (C)catheter angiography (D)RBC scan for bleeding point
47.由腦部擴散加權影像計算的 apparent diffusion coefficient(ADC)數值,下列何者最高? (A)腦脊髓液 (B)腦皮質 (C)腦白質 (D)基底核
48.關於核磁共振現象(nuclear magnetic resonance phenomenon)的敘述,下列何者錯誤? (A)具有奇數質子的原子核才具有核磁共振現象 (B)旋磁比(gyromagnetic ratio)會隨著磁場大小增加而增加 (C)拉摩頻率(Larmor frequency)與旋進(precession)的快慢有關 (D)原子核的能階數取決於於自身的自旋量子數(spin quantum number)的大小 1 23
49.氫原子( H)的旋磁比(gyromagnetic ratio)為 42.6 MHz/T,鈉原子( Na)的旋磁比為 11.3 MHz/T,下 列何者錯誤? (A)3 T 磁場下,氫原子的旋進頻率為 127.8 MHz (B)1.5 T 磁場下,鈉原子的旋進頻率為 16.95 MHz (C)3 T 磁場下,鈉原子的旋進頻率為 22.6 MHz (D)1.5 T 磁場下,氫原子的旋進頻率為 63.9 MHz
50.關於磁振造影成像序列參數調整與影像訊雜比(signal-to-noise ratio, SNR)間之關係,下列敘述何者錯 誤? (A)加大影像視野(field-of-view)能提升 SNR (B)增加 TR 能提升 SNR (C)縮短 TE 會降低 SNR (D)降低影像之取樣頻寬(bandwidth)能提升 SNR
51.關於磁振造影梯度線圈之相關參數與特性,下列敘述何者錯誤? (A)迴轉率(slew rate)之定義為梯度線圈磁場之最大強度(Gmax)除以磁場強度升到最大強度之所需時間 tR, 即 slew rate=Gmax/tR (B)臨床磁振造影系統上的梯度線圈運作時會產生噪音(acoustic noise),但並不會發熱 (C)採用強度更強的梯度磁場可提升影像空間解析度 (D)梯度線圈包含 X、Y 及 Z 三個軸向,可以產生任意三維方向的梯度磁場
52.有關磁振造影 k-space 的敘述,下列何者正確? (A)臨床上常利用拉普拉斯轉換(Laplace transform)形成看到的灰階影像 (B)k-space 描述的為頻域(frequency domain)的訊號 (C)所採集到的原始訊號上下對稱,但左右不對稱 (D)k-space 邊緣訊號決定影像對比度
53.磁振造影系統中,主磁場線圈的兩端會安裝消抵線圈(bucking coil),目的為下列何者? (A)減少磁化率假影 (B)避免外在射頻波干擾 (C)減少雜散磁場(fringe field) (D)減少病人熱效應
54.功能性磁振造影(functional MRI, fMRI)主要根據那一種生理現象產生影像對比? (A)水分子擴散變化 (B)血氧濃度變化 (C)葡萄糖濃度變化 (D)神經束髓鞘電位變化
55.在腹部 MRI 掃描中,下列何者最常用於抑制脂肪訊號,以提高病灶對比? (A)T1-weighted image(T1WI) (B)out-of-phase image (C)short tau inversion recovery(STIR) (D)fluid-attenuated inversion recovery(FLAIR)
56.磁振造影可提供許多種血管攝影(angiography)的波序技術,下列何者不是磁振造影的血管攝影技術? (A)靜脈注射非離子含碘對比劑之血管攝影 (B)time-of-flight(TOF)angiography (C)phase-contrast angiography(PCA) (D)arterial spin labeling(ASL)angiography
57.臨床上經由靜脈注射釓(gadolinium)MRI 對比劑的劑量,下列何者是標準建議劑量? (A)20 mL/kg(10 mmoles/kg) (B)2 mL/kg(1 mmoles/kg) (C)0.02 mL/kg(0.01 mmoles/kg) (D)0.2 mL/kg(0.1 mmoles/kg)
58.60 歲男性,臨床表現為言語困難和步態不穩。下圖 CTA 影像中箭頭所指為何種狀況?
(A)大腦前動脈栓塞(occlusion of the anterior cerebral artery) (B)頸腦動脈栓塞(occlusion of the carotid cerebral artery) (C)大腦中動脈栓塞(occlusion of the middle cerebral artery) (D)基底動脈栓塞(occlusion of the basilar artery)
59.9 歲男性。下圖為其 T2 加權影像。箭頭所指其最適當的診斷為何?
(A)腦脊髓液流動假影(CSF flow artifact) (B)脊髓動靜脈畸形(spinal arteriovenous malformation) (C)脊髓內出血(spinal intramedullary hemorrhage) (D)化膿性膿腫(pyogenic abscess)
60.MRI 的脈衝波序簡圖如下圖,此為下列何種造影波序?
(A)phase contrast(PC) (B)fluid-attenuated inversion recovery(FLAIR) (C)spin echo sequence (D)gradient echo sequence
61.下列何種掃描波序,最適合使用在 magnetic resonance angiography? (A)MR spectroscopy (B)blood oxygenation level dependent (C)gradient echo (D)turbo spin echo
62.腦部的磁振影像如下圖,出現了後腦勺干擾腦部的影像,若要消除此一干擾,應如何修改掃描參數?
(A)增加 field of view (B)使用 spin echo sequence (C)使用 interleaved acquisition (D)去除病人頭部的金屬物質
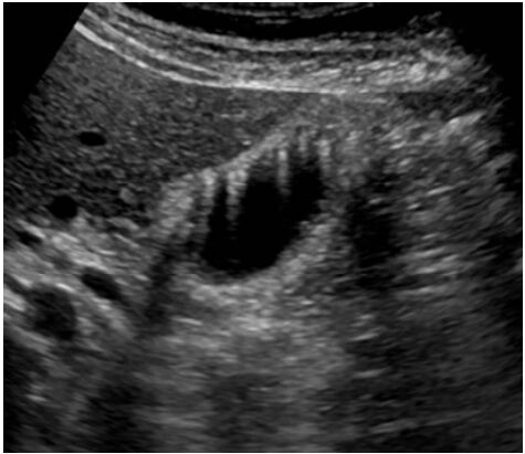
63.下圖為右上腹部超音波影像,其最可能的診斷為下列何者?
(A)膽結石 (B)膽囊壁水腫 (C)膽囊腫瘤 (D)正常腎臟
64.有關連續都卜勒超音波的敘述,下列何者錯誤? (A)能測量高速血流 (B)適用於心臟檢查 (C)有較佳的深度解析度 (D)取樣體積較大,為發射與接收音束重疊的區域
65.超音波影像技術中,下列何種方法能測量組織的軟硬度? (A)空間複合影像 (B)諧波影像 (C)彈性影像 (D)對比劑影像
66.下列何者非為超音波診斷門靜脈高壓(portal hypertension)的徵象? (A)常見於肝硬化病患 (B)脾臟縮小 (C)可能會出現食道靜脈擴大 (D)嚴重者可能有腹水
67.超音波掃描膽道時,出現如下圖雙管獵槍的特徵(double barrel shotgun sign),其最有可能的診斷為下列何者?
(A)總膽管擴張 (B)總膽管結石 (C)總膽管腫瘤 (D)門靜脈高壓
68.進行肝臟都卜勒超音波檢查並測量流速時,下列敘述何者正確?(A)Doppler angle 儘量接近 90 度最佳 (B)選擇可見到 target vessel 的最大頻移(frequency shift)探頭最佳 (C)肝臟都卜勒超音波檢查必須使用對比劑 (D)都卜勒超音波頻譜無法區別肝動脈及門靜脈
69.下圖膽囊超音波檢查,在膽囊呈現多條線狀高回音,為下列何種假影(artifact)?
(A)comet tail (reverberation) artifact (B)mirror image artifact (C)shadowing (D)grating lobe artifact
70.經直腸前列腺超音波呈現低回音病兆在左後 peripheral zone,下圖 color map 及定量測量(以 kPa 為單位)是何種檢查?
(A)都卜勒超音波(Doppler Ultrasound) (B)超音波彈性造影(ultrasound elastography) (C)對比劑超音波造影(contrast-enhanced ultrasound) (D)M-mode 超音波
71.下圖為腹部中線超音波的縱向影像,編號 C 應為下列何者?
(A)aorta (B)celiac trunk (C)inferior vena cava(IVC) (D)superior mesenteric artery(SMA)
72.依據 ALARA 原則,下列那一種作法最能有效減少病人輻射曝露劑量?(A)使用高 kVp 與低 mAs 的技術參數 (B)使用高 mAs 與低 kVp 的技術參數 (C)重複拍攝以確保影像清晰度 (D)儘量放大照野以確保影像覆蓋所有區域
73.美國放射學院(ACR)所使用的 X 光乳房攝影品質管制測試假體,為模擬幾公分厚的標準乳房?(A)2.2 公分 (B)3.2 公分 (C)4.2 公分 (D)5.2 公分
74.下列可發生游離輻射之設備中,何者不須擬訂輻射醫療曝露品質保證計畫?(A)乳房 X 光攝影儀 (B)心導管或血管攝影用 X 光機 (C)一般 X 光機 (D)X 光模擬定位儀
75.關於 X 光球管有效焦斑尺寸(effective focal-spot size)之測量,下列何者非其測量方法?(A)狹縫攝影法 (B)針孔攝影法 (C)變焦攝影法 (D)星狀攝影法
76.有關影像品質中調制轉換函數(modulation transfer function, MTF)之敘述,下列何者錯誤?
(A)電腦斷層中常用此參數描述其空間解析度 (B)MTF 和影像中之點擴散函數(point spread function, PSF)互為傅立葉轉換關係 (C)頻率響應(frequency response)會隨著頻率越高而降低 (D)由圖可知系統 B 的空間解析度優於系統 A
77.下列何者為醫學影像診斷工作站中最普遍使用的顯示器?(A)陰極射線管顯示器(cathode ray tube monitor) (B)液晶顯示器(liquid crystal display monitor) (C)電漿顯示器(plasma display panel monitor) (D)發光二極體顯示器(light emitting diode monitor)
78.關於遠距放射線學(teleradiology)最主要的應用為下列何者?(A)遠端訓練放射師操作儀器 (B)人工智慧協助 X 光機參數調整 (C)在遠端位置進行影像判讀 (D)使用機械手臂進行血管攝影穿刺
79.在數位化放射影像中,灰階層次(grayscale levels)的選擇會影響影像品質。下列敘述何者正確? (A)灰階層次通常取 2 的整數次方,層次越高,影像的細節呈現越佳,人眼可分辨 灰階層次 (B)使用 16 階以下的灰階層數,可能導致影像出現假輪廓(false contouring)現象 (C)影像灰階層次愈多,資料量一定增加,因此為節省儲存空間,使用 25 灰階層次便已足夠 (D)只要影像像素(pixel)夠高,灰階層次不會影響診斷影像的品質
80.DICOM 模型中的階層架構(如下圖所示),下列組合何者正確?(A)1→Image、2→Series、3→Study、4→Patient(B)1→Patient、2→Study、3→Series、4→Image(C)1→Series、2→Image、3→Study、4→Patient(D)1→Patient、2→Series、3→Study、4→Image