所屬科目:放射線診斷原理與技術學
1.下列何種X光片,最常在臨床上用於排除鎖骨後的肺部鈣化和腫塊?(A)chest AP lordotic projection (B)chest lateral decubitus position (C)chest anterior oblique position (D)chest posterior oblique position
2.下列何種攝影方法適合用於診斷zygomatic arches骨折?(A)submentovertex(SMV) (B)modified Law method (C)Caldwell method (D)Rhese method
3.關於評估尾骨(coccyx)時放射攝影方法的敘述,下列何者正確?(A)angle CR(central ray)10° caudad. direct CR 2 inches(5 cm)superior to symphysis pubis. (B)angle CR(central ray)15° caudad. direct CR to symphysis pubis. (C)angle CR(central ray)10° cephalad. direct CR 2 inches(5 cm)superior to symphysis pubis. (D)angle CR(central ray)15° cephalad. direct CR to symphysis pubis.
4.關於臨床上磁振造影顯影劑(gadolinium, Gd)依照體重所施打的劑量,下列何者正確?(A)2 mmol/kg (B)0.2 mmol/kg (C)0.1 mmol/kg (D)1 mmol/kg
5.關於一般切線投射膝蓋攝影(Hughston method)的敘述,下列何者錯誤?(A)病人可以俯臥(prone)的方式攝影 (B)攝影時中心線與小腿長軸呈15~20度(C)膝蓋需有50~60度的彎曲(D)Hughston的中心線是往腳部方向投影40~45度
6.關於後前位投影骨盆攝影(Teufel method)的敘述,下列何者錯誤? (A)是一種斜位法的攝影方式 (B)病患的擺位需要呈俯臥 (C)病人患側的髖關節需抬高50~55度角 (D)主要為評估髖臼的相關病變
7.關於X光影像對比的敘述,下列何者最不適當?(A)管電壓增加,對比度下降 (B)柵比增加,對比度增加 (C)管電流增加,對比度增加 (D)射束限制增加,對比度增加
8.一張影像大小20 cm×20 cm,為1024×1024的矩陣(image matrix),每一個像素(pixel)的動態範圍(dynamic range)為8 bits,則其空間解析度為多少 lp/mm ? (A)0.128 (B)2.56 (C)1.024 (D)12.8
9.一張胸部X光數位影像的矩陣大小為512×512,灰階為256 階,儲存10張影像至少需要多少位元組 (bytes)的記憶體容量? (A)1.3 MB (B)2.6 MB (C)5 MB (D)12.8 MB
10.增感屏的厚度增厚時,下列敘述何者正確?(A)mAs要提高 (B)空間解析度變差 (C)MTF值增加 (D)增強因子(intensification factor)降低
11.有關食道、氣管、降主動脈、升主動脈四者,由前至後的排列順序為何?(A)升主動脈→食道→氣管→降主動脈 (B)升主動脈→氣管→食道→降主動脈 (C)氣管→升主動脈→降主動脈→食道 (D)氣管→降主動脈→升主動脈→食道
12.在相同的電壓之下,何種攝影條件得到的影像光密度最小?(A)20 mAs, SID100 cm (B)10 mAs, SID100 cm (C)20 mAs, SID180 cm (D)10 mAs, SID180 cm
13.關於BMD的敘述,下列何者正確?(A)T-score為同年齡層同性別的比較結果 (B)DXA測量BMD的值為g/cm2 (C)根據WHO對osteoporosis的定義為T-score>-1 SD (D)準確度(accuracy)的評估必須由同一個病人進行重複量測
14.乳房攝影基本篩檢影像為下列那二個views?(A)AX、CC (B)CC、LM (C)C C、MLO (D)ML、XCCL
15.下列何者較適合雙頭血管攝影機?(A)腦部血管攝影 (B)肝臟血管攝影 (C)骨盆腔血管攝影 (D)下肢血管攝影
16.執行血管攝影時,常使用含內外針的薛丁格針(Seldinger needle)穿刺的薛丁格技術 (Seldinger technique),以薛丁格針經皮膚穿刺進入動脈之後,其正確步驟先後順序應包括下 列那三項? ①從外針開口放入導線(wire)後移除外針 ②從內針開口放入導管(catheter)後移除內針 ③將導管套入導線並沿導線深入目標動脈 ④將導線放入導管後深入目標動脈 ⑤回抽並移除內針 ⑥回抽並移除外針 (A)⑤①③ (B)⑥②④ (C)⑤①④ (D)⑥②③
17.下列何者不是導致腹部數位減贅血管攝影(digital subtraction angiography, DSA)檢查影像品質變差的原因? (A)使用非離子性對比劑 (B)對比劑注射速率和注射總量不足 (C)檢查時病人躁動 (D)檢查時病人無法憋氣
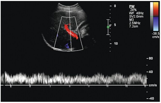
18.進行頭頸部血管攝影時,將導管置於內頸動脈(internal carotid artery)內注射對比劑所取得的影像,在正常的情況下可看到下列那條動脈? (A)眼動脈 (B)顏面動脈 (C)上頜動脈 (D)枕動脈
19.超音波發現乳房內側疑似有小腫塊,但是實施乳房CC view後無法證實,醫師有可能要求追加何種攝影法? (A)cleavage view (B)XCCL view (C)Eklund view (D)axillary tail view
20.關於乳房攝影的電腦輔助偵測(computer-aided detection, CAD)技術,下列敘述何者錯誤?(A)CAD可以作為乳房篩檢的主要評估者(primary evaluator) (B)於乳房篩檢時,使用CAD可以提升5%至15%的乳癌偵測率 (C)CAD可有效協助辨識微小叢聚鈣化點,並提升偵測率 (D)CAD可以標示出警示區域,再經由放射線專科醫師實施最後處理建議
21.TIPS是在那二條血管間做一通道?(A)門靜脈、肝動脈 (B)門靜脈、肝靜脈 (C)門靜脈、脾動脈 (D)肝靜脈、肝動脈
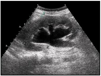
22.患者接受大腸鋇劑灌腸(barium enema)攝影的結果如下圖,最可能是下列何種疾病?(A)腸套疊 (B)惡性腫瘤 (C)腸扭轉 (D)腸炎
23.總膽管及胰管注入十二指腸的部分是屬於下列何者?(A)first portion (B)second portion (C)third portion (D)fourth portion
24.實施hysterosalpingography時,如病患輸卵管沒有阻塞,則可看到顯影劑溢出至下列何部位?(A)膀胱 (B)子宮 (C)後腹膜腔 (D)腹膜腔
25.懷疑升結腸出血而接受血管攝影檢查,如發現出血點,最可能的血管供應來自下列何者?(A)腹腔動脈幹(celiac trunk) (B)上腸繫膜動脈(superior mesenteric artery) (C)下腸繫膜動脈(inferior mesenteric artery) (D)內髂動脈(internal iliac artery)
26.對於攝護腺切片(prostate biopsy),目前最常使用之定位影像工具為:(A)CT (B)MRI (C)transrectal ultrasound (D)fluoroscopy
27.比較傳統放射攝影與電腦斷層攝影,下列何者錯誤?(A)傳統放射攝影可分辨1%以下組織密度差異 (B)電腦斷層攝影可分辨固體腫塊及囊腫 (C)影像均以灰階呈現 (D)傳統放射攝影輻射劑量較低
28.關於電腦斷層大腸攝影,下列何者錯誤?(A)又可稱為虛擬大腸鏡 (B)患者必須躺側位進行檢查 (C)可檢查大腸息肉 (D)不需口服對比劑
29.臨床上使用最多的是那一代CT掃描儀?(A)第二代 (B)第三代 (C)第四代 (D)第五代
30.下列何者顯示設置的CT數值最低?(A)肺部 (B)縱膈腔 (C)肝臟 (D)腦部
31.下列何者最能描述CT掃描儀的輻射輸出?(A)mAs (B)kV (C)volume CT dose index (D)kernel
32.下列何者是自發性蜘蛛網膜下出血(spontaneous subarachnoid hemorrhage)最常見的原因?(A)顱內動脈瘤 (B)動靜脈畸形 (C)腫瘤出血 (D)動靜脈瘻管
33.臨床醫師安排三天前缺血性腦中風的病人做腦部斷層掃描追蹤,其目的最不可能是下列何者?(A)考慮取栓術的治療 (B)中風範圍是否變大 (C)是否有出血 (D)是否有明顯的腫塊效應
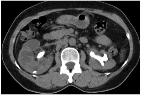
34.關於下圖之電腦斷層檢查,下列敘述何者最適當?(A)此圖為施打顯影劑後之電腦斷層影像,顯影劑已進入腎臟集尿系統 (B)此圖為施打顯影劑後之電腦斷層影像,顯影劑已進入腎臟實質 (C)此圖為未施打顯影劑之電腦斷層影像 (D)此圖為施打顯影劑後之電腦斷層影像,顯影劑已進入腎動脈
35.關於腦部電腦斷層檢查適應症,下列何者最不適當?(A)中風 (B)外傷性腦出血 (C)腦內腫瘤 (D)阿茲海默症
36.腦組織電腦斷層影像CT的HU(Hounsfield unit),由高至低的順序下列何者正確?①白質 ②灰質 ③血塊 ④骨頭 (A)①②③④ (B)④③②① (C)④③①② (D)④①③②
37.下列何種方式可以減少電腦斷層影像之部分體積假影(partial volume artifact)?(A)使用最大密度投影(maximum intensity projection, MIP)重建影像 (B)增加螺距(pitch) (C)增加切片厚度 (D)減少體素(voxel)大小
38.在其他參數不變下,關於電腦斷層螺距(pitch)的敘述,下列何者正確?(A)與病人劑量成正比 (B)與掃描時間成反比 (C)與檢查台移動速度成反比 (D)與z軸空間解析度成正比
39.關於電腦斷層CT值公式的敘述,下列何者正確?(A)CT值的定義為各種組織相對於空氣的衰減係數比 (B)組織衰減係數越小時,CT值越大 (C)當常數k值為1000時,CT值被定義為Hounsfield unit(HU) (D)血液的CT number為 -200 Hounsfield unit(HU)
40.CT影像的對比度(contrast)是由下列何者所控制?(A)kVp (B)WW(window width) (C)WL(window level) (D)mAs
41.肝臟的電腦斷層動態掃描中,動脈相(arterial phase)通常於開始注射(2~4 ml /秒)造影劑後幾秒進行掃描? (A)0~8 (B)17~25 (C)65~80 (D)102~115
42.有關cardiac CT,partial scan reconstruction的敘述,下列何者錯誤?(A)X-ray tube旋轉需要大於180度 (B)detector的範圍至少需要涵蓋弧度30度以上 (C)不可用在prospective ECG gating (D)可用在retrospective ECG gating
43.Diffusion weighted imaging(DWI)成像中的擴散量增加時,DWI影像和擴散係數(ADC)的值分別如何變化? (A)較亮、增加 (B)較亮、減少 (C)較暗、增加 (D)較暗、減少
44.將磁場從1.5 T增加到3 T,磁核的拉莫爾頻率變為多少?(A)二倍 (B)二分之一 (C)四分之一 (D)四倍
45.自旋-自旋相互作用(spin-spin interactions)增加時,對T2弛緩時間的影響如何?(A)減少 (B)增加 (C)不變 (D)增加二倍
46. FDA允許MRI的全身平均比吸收率(SAR)最大值是多少?(A)4 W/kg (B)40 W/kg (C)0.4 W/kg (D)400 W/kg
47.下列何者不需要施打顯影劑即可評估腦部灌流?(A)single photon emission tomography(SPECT) (B)perfusion CT (C)dynamic susceptibility contrast(DSC)perfusion (D)arterial spin labeling(ASL)
48.在磁振造影的SPGR(spoiled GRASS) / FLASH造影技術中,下列何者無法達成消除或毀損穩定態的橫向磁量(transverse magnetization)? (A)使用RF毀損(RF spoiling) (B)使用不同的梯度毀損者(gradient spoilers) (C)增加TI(inversion time) (D)增加TR(repetition time)
49.下列何者最可能在MRI的T1-weighted image上呈現最低訊號(low signal intensity)?(A)fat (B)methemoglobin (C)slow-flowing blood (D)simple cyst
50.下列何種病人發生 nephrogenic systemic fibrosis 占最大比例?(A)正常腎功能 (B)急性腎衰竭病人 (C)洗腎病人 (D)慢性腎病第四級(chronic kidney disease, stage 4)
51.關於水和脂肪的敘述,下列何者正確?(A)脂肪的T1比較短,所以脂肪在T1 weighted image上看起來對比較暗 (B)水較不容易將能量釋放給外在晶格(lattice),所以水的T1較脂肪的T1還要來的長 (C)水的旋轉頻率(tumbling frequency)跟 Larmor frequency 較接近,所以水的T1較脂肪的T1還要 來的長 (D)脂肪分子之間距離比較遠,不容易相互作用,故脂肪的T2較水的T2短
52.某組織T1值為1.5秒,給予90度翻轉角度(flip angle)後,經過3秒,磁化矩(magnetization) 回復到平衡時的多少%? (A)37 (B)50 (C)69 (D)86
53.下列何者無法縮短掃描時間?(A)增加快速自旋回聲(fast spin echo)中的回音序列長度(echo train length)數目 (B)增加phased array coil的線圈數目 (C)減少相位編碼數目(phase encoding steps) (D)增加parallel imaging的線圈數目
54.下列那一張假體(phantom)影像可進行MRI的幾何正確性(geometry accuracy)分析?(A) (B)(C)(D)