60.有關心臟磁振造影檢查的敘述,下列何者錯誤?
(A)通常需要配合使用心電圖監控和呼吸控制
(B)一次檢查中可同時獲得功能性及結構性的影像資訊
(C)使用顯影劑的注射可評估心肌的血流灌注和區別心肌纖維化的程度
(D)可利用延遲造影技術評估心臟的功能性影像資訊
答案:登入後查看
統計: A(32), B(345), C(251), D(395), E(0) #3381091
統計: A(32), B(345), C(251), D(395), E(0) #3381091
詳解 (共 3 筆)
#6463534
ㅤㅤ
Cardiac MRI Full 包含四個區塊 Structure(Morphology), Viability ,Function ,Perfusion
Protocol 內有
(Structure)用B-TFE 影大FOV Ax , Cor Sag
Protocol 內有
(Structure)用B-TFE 影大FOV Ax , Cor Sag
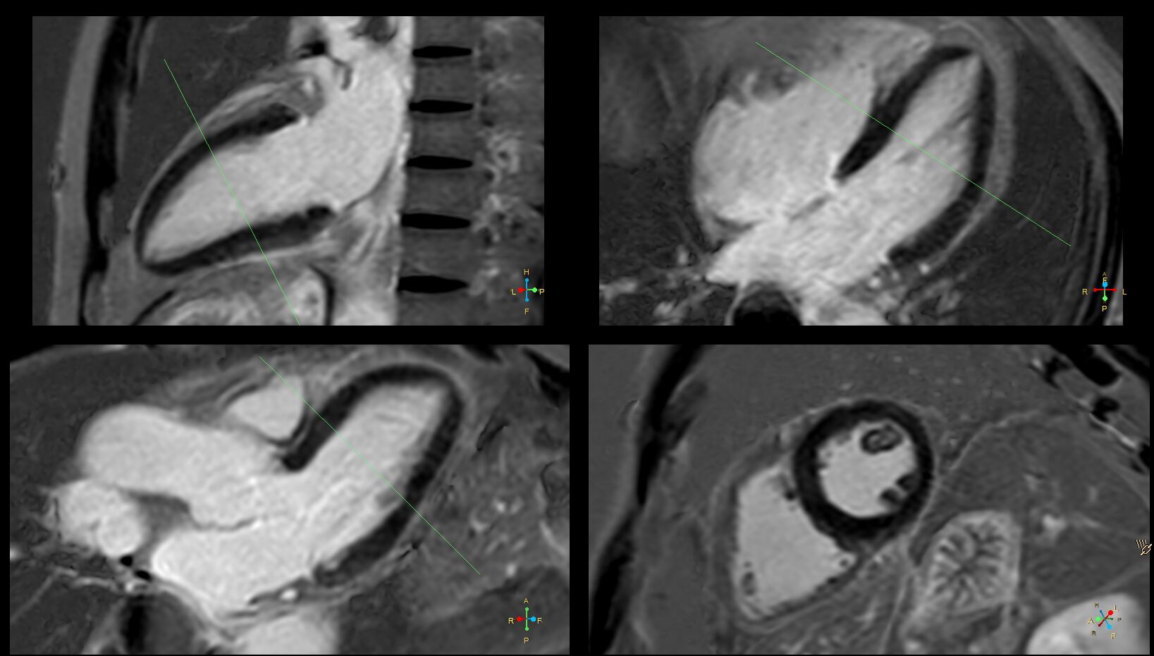
(Structure , Function)Cine , 動態影片,可以切出你想看結構,主要有4CH ,2CH ,SA, 2Ch , LVOT , RVOT ,Aortic valve ,R-2ch
(Function)Q_FLOW ,造影切面parallel 你想量的血管,如下圖中間的Aorta.
(Function)Q_FLOW ,造影切面parallel 你想量的血管,如下圖中間的Aorta.
( Viability ) T2_FS_SA or T2_mapping (看Edema)
(Perfusion)注射顯影劑時影的Dynamic Perfusion(Stress&Rest)
(Structure , Viability) 注射完顯影劑後的Early Gad(看有沒thrombus) 和 Late Gad 額外還有Tagging .
(Structure , Viability) 注射完顯影劑後的Early Gad(看有沒thrombus) 和 Late Gad 額外還有Tagging .
(A) 通常需要配合使用心電圖監控和呼吸控制
- 大部份影像都是必需ECG(或PPU) 去捉Diastole ,Systole . Cine 有些序列可以不用ECG .
- 大部份影像需要呼吸控制 ,主要用 Breath hold ,其次Respiration trigger .
做Perfusion可以不用控制呼吸,Q_FLOW也可以(但造影時間從十多秒變成數分鐘)
(B) 一次檢查中可同時獲得功能性及結構性的影像資訊
Function 可利用工作站軟件從Cine 和Q_Flow 取得。
Function 可利用工作站軟件從Cine 和Q_Flow 取得。
結構性從B-TFE , Cine 及其他 也可以得到


(C) 使用顯影劑的注射可評估心肌的血流灌注和區別心肌纖維化的程度
利用顯影劑可作Perfusion 如下圖(左邊Stress ,右邊Rest Perfusion) , Perfusion 自由呼吸, 但要有ECG.

也可以在注射完顯影劑後在有限時間內作Late Gad的造影。
(用Time Locer 找TI . 要有ECG , 要忍氣或用Respiration trigger.)

(用Time Locer 找TI . 要有ECG , 要忍氣或用Respiration trigger.)

ㅤㅤ
(D) 可利用延遲造影技術評估心臟的功能性影像資訊
Late Gad 提供Viability 資訊, 不是Functional.
Late Gad 提供Viability 資訊, 不是Functional.
功能性可由Cine , Q_flow 提供。
3
0