所屬科目:心臟科
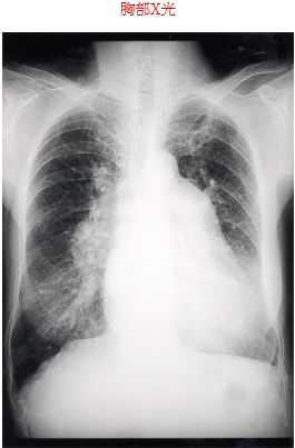
8. 75歲女性病人因有兩週之運動性呼吸困難,於九十年五月二十三日住院, 病人自訴自成年後經常有感冒並因此有運動性心悸, 40歲時因感冒求診,首度有醫師告知心臟病。這個病人近年感覺生活尚屬良佳,但每週幾乎都有感冒及氣喘情形。70歲時有心臟衰竭住院之記錄,近2週的呼吸困難、伴有食慾不振、噁心、嘔吐及腹瀉情事,才住院診療。理學檢查:體型瘦小老女人、外表病弱、血壓130/70mmHg、心跳76次/ 分、呼吸18次/分、體溫37℃、頸動脈微張、肺部無異常,但心臟檢查有fixed splitting of S2及強度P2,在左胸緣第3肋間區有第四度 systolic ejection murmur及右下胸骨緣有變動性第3度diastolic rumblingmurmur之異常,又有輕度腳水腫但無杵指,其他都是正常。其心電圖及胸部X光圖。本病人之正確診斷為: (A) 僧帽瓣狹窄 (B) 僧帽瓣閉鎖不全 (C) 主動脈瓣狹窄 (D) 心室中隔缺損 (E) 心房中隔缺損
13. 心臟結構可輕易經由胸前心臟超音波檢查間接檢視,因此經由超音波檢查了解心臟結構,有助於提昇理學檢查及判讀心電圖、胸部X光檢查等之能力。有關下列心臟構造之相對位置關係(參照超音波圖),何者為非? (A) 三尖瓣位於二尖瓣之前方、右方及上方 (B) 右心房位於左心房之前方、右方及下方 (C) 右心室位於左心室之前方及右方 (D) 肺動脈瓣位於主動脈瓣之前方、左方及上方 (E) 以上皆正確
22. 一位34歲女性患有甲狀腺功能亢進,因心悸至門診求診,血壓130/70 mmHg,脈搏每分鐘約130,脈搏不規則中無一定之規則性 (irregularly irregular),且強弱不一,頸靜脈壓正常,但頸靜脈波無a波,心室速率 (ventricular rate) 每分鐘約160,心臟大小正常, 第一心音無亢進現象,亦無心雜音,心電圖如圖示。有關心電圖所示不整脈之下列敘述,何者為非? (A) 毛地黃digoxin,乙型交感神經阻斷劑,鈣離子阻斷劑之verapamil 或diltiazem 可有效控制快速之心室速率(控速作用rate control) (B) 在此病人控制心室速率之首選藥物為乙型交感神經阻斷劑 propranolol (C) Amiodarone 主要用於治療此不整脈為竇房律 (sinus rhythm) (控律作用rhythm control), 但在此病人目前不適用amiodarone (D) 使用digoxin控制心室速率,應監控血中濃度 (E) Digoxin合用amiodarone、verapamil或aldactone 有可能發生藥物交互作用 (drug interaction),導致digoxin血中濃度增加