阿摩線上測驗
登入
首頁
>
胸腔科
> 92年 - 92 內科專科醫師考試筆試題:胸腔科#97040
92年 - 92 內科專科醫師考試筆試題:胸腔科#97040
科目:
胸腔科 |
年份:
92年 |
選擇題數:
22 |
申論題數:
0
試卷資訊
所屬科目:
胸腔科
選擇題 (22)
1. 27歲女性,因服用過量鎮靜劑而被送到急診處。第一次的動脈血氣體分析為PaO2=40mmHg,PaCO2=80mmHg(未使用氧氣)。病人隨後被插管轉入加護病房。使用呼吸器一個小時後,動脈血氣體分析為:PaCO2=40 mmHg,PaO2=70 mmHg(使用氧氣濃度為21%)。請問該病人肺部氣體交換機能之演變如何? (A) 持續改進 (B) 惡化 (C) 需增加氧氣供應 (D) 明顯持續有肺泡通氣量不足現象 (E) 應該有瀰漫障礙(diffusion block)
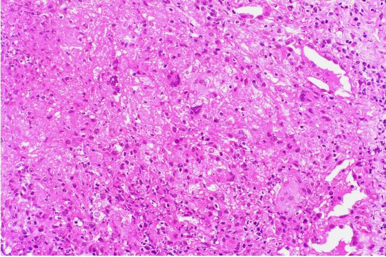
2. 43歲女性,兩側慢性鼻竇炎,近來有角膜潰瘍、鞏膜炎及結膜炎。鼻咽部電腦斷層檢查顯示右側上頷(maxillary)與篩(ethmoid)竇軟骨破壞。胸部X光顯示兩側上肺部有數個空洞結節。血液檢查無嗜酸性白血球過多(eosinophilia),ANA、RA factor、C3、C4正常。肺部活體切片結果如圖。請問可能之診斷為何?
(A) Wegener's granulomatosis (B) Churg-Strauss syndrome (C) Polyarteritis nodosa (D) Mucormycosis (E) Tuberculosis
3. 28歲女性,半年來持續咳嗽,痰量不多,呼吸困難,體重減輕。近兩週痰中有血絲。胸部電腦斷層影像如圖。請問下列敘述何者正確?
(A) 此疾病會有明顯家族史 (B) 亞洲人較高加索人更常罹病 (C) 會伴隨有氣胸及乳糜性肋膜積液 (D) 荷爾蒙治療可根治 (E) 平均存活為20-25年
4. 56歲男性,右肺肺癌,必須做全肺切除。術前之肺功能FEV1=3.0 Liter。請問術後之FEV1之預測值為何? (A) 0.8 Liter (B) 1.2 Liter (C) 1.6 Liter (D) 1.8 Liter (E) 2.0 Liter
5. 64歲男性,因慢性阻塞性肺病急性發作,呼吸衰竭住院,入院前肺功能檢查FEV1=1.2L(<30%預測值)。病人插管使用呼吸器,初始血壓為80/60 mmHg,經給予500mL生理食鹽水後為90/60 mmHg,肺動脈楔壓為20cmH2O。當護士解開病患與呼吸器連接管路予以抽痰時,血壓成為140/80mmHg,肺動脈楔壓13cmH2O。病人呼吸器設定值如下:潮氣容積500mL,呼吸速率20/min,吐氣末正壓值(PEEP)5cmH2O,FiO2 0.5。動脈血氧氣體分析結果為pH 7.38,PaCO2 48mmHg,PaO2 65mmHg。應如何調整呼吸器? (A) 增加FiO2 (B) 增加潮氣容積 (C) 降低呼吸速率 (D) 增加呼吸速率 (E) 使吐氣時間縮短
6. 68歲男性,肺癌患者。接受化學治療後第二天有嘔吐現象,當天晚上,病人出現左胸痛,胸部X光顯示新生左側肋膜積液。胸腔穿刺引流液檢查結果如下:WBC 1500/mm3 (Lymphocyte 8%,Neutrophil 80%),LDH 570 U/L,glucose 40 mg/dL,amylase 380 U/L。請問後續處置何者最適宜? (A) 胸管引流與禁食 (B) 給予抗結核藥物治療 (C) 安排胸部電腦斷層 (D) 給予利尿劑 (E) 安排支氣管鏡檢查
7. 45歲男性,因肺炎併發急性呼吸窘迫症候群,入加護病房接受呼吸器與抗微生物製劑治療。呼吸器設定值如下:潮氣容積650mL(病人體重52kg),呼吸速率20/min,吐氣末正壓值(PEEP)20cmH2O,FiO2 0.5。動脈血氧為75 mmHg。入院兩小時後血壓由140/70變成80/50,尿量每小時20mL。肺動脈楔壓為14cmH2O,心輸出量為2.3L/min。 接下來應如何處理為宜? (A) 做心電圖 (B) 血液、尿液、痰液培養,更換動靜脈導管 (C) 更換抗微生物製劑 (D) 降低PEEP值 (E) 加上升壓劑,如dopamine 20 ug/kg/min
8. 61歲男性。近兩年來每天清晨起床會頭痛,白天常昏昏欲睡,晚上鼾 聲大作。近來更有高血壓與呼吸困難等症狀。體重三年來增加10公斤。睡眠多項生理檢查顯示,病人每小時有15-20次阻塞性呼吸中止,伴隨有血氧飽和度降低,最低值達72%。最適當的處置為何? (A) 減輕體重 (B) 放置口內矯正器(intraoral appliance) (C) 手術治療(懸壅垂軟顎整形手術)有長期療效 (D) 鼻罩式陽壓呼吸器(Nasal CPAP)為目前效果最持久的治療方法 (E) 給予安眠藥
9. 47歲男性,糖尿病患者。主訴一個半月咳嗽有痰,每天傍晚會自覺發熱。胸部X光顯示右下肺浸潤與空洞性病灶。痰液耐酸菌染色為陽性。病人接受一個月的抗結核藥物治療後,咳嗽加劇,呼吸困難,理學檢查在右胸可聽到哮鳴聲,右下肺之呼吸聲強度降低。胸部X光顯示右下肺野仍持續有浸潤與空洞性病灶,但是右側橫隔膜明顯向上位移。進一步處置何者為宜? (A) 給予類固醇藥物 (B) 胸部超音波檢查 (C) 停止抗結核藥物 (D) 支氣管鏡檢查 (E) 重新驗痰
10. 25歲男性,胸悶不適,咳嗽有痰。接受肺功能檢驗結果如下: 測試值 實測值(%預測值)吸入支氣管擴張劑後 FVC(L)5.0 3.3 66 3.6FEV1(L)4.0 1.2 27 1.5 FRC(L)3.0 5.9 190 5.0 TLC(L)6.0 7.5 125 6.5下列敘述何者正確?(1)為阻塞性通氣障礙(2)為侷限性通氣障礙(3)應接受支氣管鏡檢查(4)可給予β2-agonist(5)應考慮使用抗生素 (A) 1+3 (B) 2+5 (C) 1+4 (D) 1+3+4 (E) 2+3+5
11. 32歲女性,產後兩週,午睡時突然發生胸痛、呼吸困難而至急診處。心跳106/min,呼吸25/min,兩下肢輕微水腫,其餘理學檢查並無異常。動脈血氣體分析:pH7.50,PaCO230mmHg,PaO280mmHg。心電圖顯示竇性心搏過速,胸部X光無明顯異常。後續處置為何?(1)立即給予支氣管擴張劑與氧氣(2)給予止痛藥與抗生素(3)安排靜脈超音波(4)安排進一步檢查時,同時給予肝素治療(5)給予利尿劑 (A) 1+2 (B) 3+4 (C) 1+3+4 (D) 1+2+5 (E) 1+2+4+5
12. 最常出現空洞病灶的肺部惡性腫瘤為何? (A) Adenocarcinoma (B) Squamous cell carcinoma (C) Large cell carcinoma (D) Small cell carcinoma (E) Bronchioloalveolar carcinoma
13. 下列何者是肺膿瘍(lung abscess)的好發部位? (A) 上肺葉的後節(posterior segment of the upper lobe) (B) 下肺葉側底節(lateral basal segment of the lower lobe) (C) 上肺葉的前節(anterior segment of the upper lobe) (D) 下肺葉的下節(inferior segment of the lower lobe) (E) 右肺中葉的內側節(medial segment of the right middle lobe)
14. 下列何種原發性肺結核(primary tuberculosis)之肺部X光表徵,何者最常見於成人? (A) 肺門或縱膈淋巴腫 (B) 肺實質化(parenchymal consolidation) (C) 空洞化(cavitation) (D) 粟粒性病灶(miliary disease) (E) 肋膜積水(pleural effusion)
15. 有關放射治療後間質性肺炎(radiation pneumonitis)的敘述,何者不正確? (A) 放射線治療乳癌可引起間質性肺炎 (B) 可分成早期的急性肺炎及晚期的慢性纖維化 (C) 通常在照射劑量約3500rads即可發生 (D) 所有急性肺炎期的病人皆會進展至慢性纖維化,但後者不一定有急性期變化 (E) 發生慢性纖維化病人常合併肋膜積水
16. 下列何種肺氣腫之表現型,其血中α1-antitrypsin的拮抗物(inhibitor)的濃度最低? (A) MM phenotype (B) MZ phenotype (C) ZZ phenotype (D) M phenotype (E) MPI phenotype
17. 下列何者不會產生滲透性肋膜積水(transudative pleural effusion)? (A) 類肉瘤(sarcoidosis) (B) 肺栓塞(pulmonary embolism) (C) 黏液性水腫(myxedema) (D) 肺癌(lung cancer) (E) 病毒性肺炎(viral pneumonia)
18. 下列何者是造成慢性支氣管炎(chronic bronchitis)的主要原因? (A) 吸菸(smoking) (B) 空氣污染(air pollution) (C) 呼吸道感染(respiratiry tract infection) (D) 遺傳因素(genetic factors) (E) 缺乏α1-antitrypsin
19. 治療中度至重度阻塞性睡眠終止症(obstructive sleep apnea)的首選方法為何? (A) 氣管切開術(tracheostomy) (B) 鼻腔陽壓呼吸治療(nasal CPAP) (C) 懸雍垂咽顎整形術(uvulopalatopharyngoplasty;UPPP) (D) 減肥(weight loss) (E) 顎面整形手術(maxillofacial surgery)
20. 下列有關嚴重急性呼吸道症候群(SARS)的敘述,何者錯誤? (A) 發燒、頭疼、全身不舒服、身體疼痛等是SARS常見的症狀 (B) 嚴重急性呼吸道症候群(SARS)是一種非典型肺炎 (C) SARS的主要傳播方式是人與人的近距離接觸 (D) 紅黴素是治療嚴重急性呼吸道症候群(SARS)的首選藥物 (E) SARS較一般非典型肺炎容易併發肺纖維化
21. 下列哪些藥物可用來治療黴菌感染?(1)Streptomycin(2)Amphotericin B(3)Penicillin G(4)Ketoconazole (A) 1+3 (B) 2+4 (C) 1+2+3 (D) 2+3+4 (E) 1+2+3+4
22. 下列有關低血氧症(hypoxemia)的症狀,何者正確?(1)心跳減慢(bradycardia)(2)神智不清(confusion)(3)發紫(cyanosis)(4)手顫抖(tremor)(5)嗜睡(lethargy) (A) 1+2+5 (B) 2+3+4 (C) 1+2+3 (D) 2+4+5 (E) 1+4+5
申論題 (0)
相關試卷
108年 - 108 內科專科醫師甄審試卷:胸腔科#81215
108年 · #81215
107年 - 107 內科專科醫師考試筆試題:胸腔科#75101
107年 · #75101
106年 - 一0六年度內科專科醫師考試筆試題 -- 胸腔科#77072
106年 · #77072
105年 - 105年內科專科醫生-胸腔科#59773
105年 · #59773
104年 - 一○四年度內科專科醫師考試筆試題 -- 胸腔科#76760
104年 · #76760
103年 - 一○三年度內科專科醫師考試筆試題 -- 胸腔科#77291
103年 · #77291
102年 - 一○二年度內科專科醫師考試筆試題 -- 胸腔科#77332
102年 · #77332
101年 - 一百零一年度內科專科醫師考試筆試題 -- 胸腔科#76750
101年 · #76750
100年 - 一百年度內科專科醫師考試筆試題 -- 胸腔科#76744
100年 · #76744
99年 - 99年內科專科醫生-胸腔科#59933
99年 · #59933