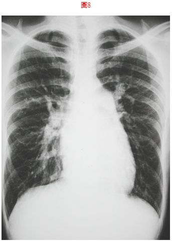
8. 病人26歲男性宜蘭頭城工人,主訴偶有胸悶歷經一個月。他自小開始就不適運動,胸口時有鐘擺劇動,最近常有運動相關的胸悶,伴有心悸眩暈,有時強度運動會有發紺。既往病史未有特別,理學檢查; 身高155cm, 體重45.5 kg, 血壓108/70 mmHg, 心跳80/min, 頸靜脈正常PMI 左5th ICS的LMCL, RV heave, 在左上胸椽有Gr III/VI systolic ejection murmur with fixed splitting S2, 未有心雜音傳移, P2加重。其他理學未有不正常,胸部X光如圖8及心電圖 如圖示,本病人最正確的心臟診斷是

(A) Pulmonary stenosis (B) Idiopathic pulmonary hypertension (C) Atrial septal defect (D) Aortic stenosis (E) Mitral stenosis