阿摩線上測驗
登入
首頁
>
獸醫實驗診斷學
> 96年 - 96-2 專技高考_獸醫師:獸醫實驗診斷學#42466
96年 - 96-2 專技高考_獸醫師:獸醫實驗診斷學#42466
科目:
獸醫實驗診斷學 |
年份:
96年 |
選擇題數:
80 |
申論題數:
0
試卷資訊
所屬科目:
獸醫實驗診斷學
選擇題 (80)
1.檢測酸鹼平衡及血液氣體之血液樣本,通常採用何種抗凝劑? (A)EDTA (B) heparin (C)citrates (D)oxalates
2.懷疑菌血症之血液樣本行細菌培養時,通常會把血液注入含有何種物質的培養基中增菌? (A)glucose (B)tryptose (C)lactose (D)fructose
3.想要作毒物檢查的檢體應以何種方式保存運送? (A)乾冰保存法 (B)以福馬林液固定 (C)二氧化碳保存法 (D)95%酒精保存
4.下列嗜中性球中毒反應中,通常何者反映之毒血症最輕度? (A)細胞質內出現羅列小體 (B)細胞質呈嗜鹼性青藍色 (C)細胞質有明顯之紫藍色中毒性顆粒 (D)細胞質呈瀰漫性嗜鹼性並有空泡化
5.下列引起嗜中性球減少症之原因中,何者不影響骨髓之增殖池與成熟池? (A)過度利用 (B)製造減少 (C)無效性顆粒球形成作用 (D)嗜中性球被抑留於邊緣池
6.犬罹患血友病 A 型時,下列凝血試驗相關檢驗何者會最先出現異常變化? (A)血小板數目 (B)出血時間(BT) (C)一段式凝血酶原時間(OSPT) (D)活化部分成栓質時間(APTT)
7.下列那一項凝血因子均屬於接觸類因子? (A)I、V、VIII 及 XIII (B)II、VII、IX 及 X (C)XI、XII、HMWK(高分子量激胜原)和前微血管增滲酶(prekallikrein) (D)I、II、IV 及 V
8.下列有關嗜酸性球之敘述何者正確?○1.顆粒之主要成分有過氧化酶○2.顆粒之主要成分有鹼磷酶○3.顆粒之主要成分有鹼性蛋白質○4.可形成免疫複合物及調整免疫反應 (A) ○1.○2○3. (B) ○1.○2○4. (C) ○1.○3.○4. (D) ○2○3.○4.
9.有一貧血犬之骨髓細胞數減少,M/E比正常。下列何者最可能是引起此犬貧血之原因? (A)骨髓腫瘤增殖 (B)慢性腎病 (C)慢性炎症 (D)維生素 B12 缺乏
10.下列有關血液配合試驗之敘述何者正確? (A)主試驗檢查供血者之紅血球是否與受血者血清相容 (B)出現溶血現象代表反應失敗,應小心重新檢查 (C)可篩選出相同血型之供血者,避免輸血反應 (D)自然發生的抗體通常不引起明顯的不配合反應,如B型貓僅含微量抗A抗體
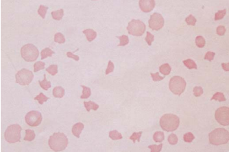
11.下列何者為下圖中紅血球異常最貼切之名稱?
(A)串錢狀連結(rouleaux formation) (B)凝集(agglutination) (C)異形紅血球症(poikilocytosis) (D)球狀紅血球增多症(spherocytosis)
12.下列何者屬於前凝血酶複合體(prothrombin complex)?○1.凝血因子II○2.凝血因子V○3.凝血因子VII○4.蛋白質C及S (A) ○1.○2○3. (B) ○1.○2○4. (C) ○1.○3.○4. (D) ○2○3.○4.
13.鐵或維生素B6 缺乏性貧血時,最易出現何種紅血球? (A)鋸齒狀紅血球 (B)大紅血球 (C)口型紅血球(stomatocyte) (D)小紅血球(microcyte)
14.一隻2歲馬爾濟斯母犬正值發情期,其出血量大且腹部有出血斑出現,血檢發現有明顯之血小板減少症現象,最可能是下列何種荷爾蒙造成? (A)動情素(estrogen) (B)助孕素(progesterone) (C)可體松(cortisol) (D)甲狀腺素(thyroxine)
15.骨髓增殖異常疾病的後期,轉變成骨髓纖維化後,此時病畜會有嚴重的下列何種病症? (A)肥胖細胞性白血病(mast cell leukemia) (B)顆粒球性白血病(granulocytic leukemia) (C)單核球性白血病(monocytic leukemia) (D)泛血球減少症(pancytopenia)
16.那些家畜的淋巴肉瘤(lymphosarcoma)內存有病毒性抗原或抗體? (A)馬及豬 (B)綿羊及山羊 (C)犬及鹿 (D)牛及貓
17.緊迫性白血球增多症是由下列何者引起? (A)腎上腺素 (B)腎上腺皮質酮 (C)生長激素 (D)甲狀腺素
18.骨髓抹片檢查時,何種細胞之細胞質中會出現嗜中性、嗜酸性或嗜鹼性等特異性顆粒,可用以鑑別細胞? (A)骨髓球胚細胞 (B)前顆粒細胞 (C)骨髓球 (D)幹細胞
19.下列何病會出現班-鍾氏蛋白尿(Bence-Jones proteinuria)? (A)漿細胞性骨髓瘤(plasma cell myeloma) (B)惡性淋巴瘤(malignant lymphoma) (C)巨核球性白血病(megakaryocytic leukemia) (D)肥胖細胞性白血病(mast cell leukemia)
20.紅血球之海因滋小體(Heinz bodies)為下列何者之產物? (A)核染質變性 (B)細胞核變性 (C)血紅素變性 (D)胞漿素原變性
21.下列何種腫瘤可見到李-史氏細胞(Reed-Sternberg cells)? (A)淋巴胚細胞性淋巴肉瘤(lymphoblastic lymphosarcoma) (B)淋巴球性淋巴肉瘤(lymphocytic lymphosarcoma) (C)網狀細胞肉瘤(reticulum cell sarcoma) (D)何治金淋巴瘤(Hodgkin’s lymphoma)
22.在室溫中會迅速失去其活性之凝血因子為: (A)VII 及 VIII (B)II 及 III (C)V 及 XIII (D)IX 及 X
23.下列何種健康家畜之紅血球內含有少量賀-邱氏小體(Howell-Jolly body)? (A)牛 (B)鹿 (C)豬 (D)貓
24.下列那種疾病最不會呈現白血球增多症及嗜中性球增多症? (A)子宮蓄膿 (B)免疫性溶血性貧血 (C)慢性顆粒球性白血病 (D)犬艾利希體之慢性期
25.由骨髓球胚細胞分化,至成為後骨髓球約需多少小時? (A)10 (B)30 (C)60 (D)90
26.在顆粒球之形成過程中,下列何種血球細胞質中含有特異性顆粒? (A)後骨髓球 (B)骨髓球胚細胞 (C)前骨髓球 (D)骨髓球
27.下列那種病症通常呈肉瘤樣塊狀出現? (A)肥胖細胞性白血病(mast cell leukemia) (B)巨核細胞性白血病(megakaryocytic leukemia) (C)網狀內皮細胞增殖病(reticuloendotheliosis) (D)淋巴肉瘤(lymphosarcoma)
28.串錢狀連結與紅血球凝集可加入下列何者來鑑別? (A)10% 福馬林液 (B)1% HCl (C)0.9% NaCl (D)2% NaCl
29.下列那種健康家畜之血小板的染色性較差,較不易觀察? (A)犬 (B)馬 (C)牛 (D)貓
30.血清蛋白質電泳可以分為那些不同的球蛋白?
①.α②.β③γ④δ⑤μ (A) ① ② ③ (B) ① ② ④ (C) ① ③ ⑤ (D) ② ③ ④
31.牛不會出現食後性高血糖現象的原因為: (A)因為碳水化合物被細菌利用產生揮發性脂肪酸(volatile fatty acids) (B)因為飯後體內肝臟的 glycogenesis增加 (C)因為吸收的 glucose馬上被利用 (D)因為胰島素馬上分泌
32.極低密度脂蛋白(VLDL)主要合成位置為: (A)肝臟 (B)腸道 (C)肌肉 (D)脂肪組織
33.犬若血漿總蛋白(PP)除以纖維素原(F)之商大於多少時,則表示脫水? (A)5 (B)8 (C)12 (D)15
34.以溴甲酚綠(bromcresol green)結合法測定血清白蛋白時,下列何者之濃度會出現假高值? (A)低蛋白血症時之白蛋白 (B)黃疸時之膽紅素 (C)抗痙攣藥 (D)肌酸酐
35.血糖值超過腎小管重吸收閾值時會出現尿糖症,請問犬之閾值為多少 mg/dL? (A)50 (B)80 (C)100 (D)180
36.低密度脂蛋白(LDL)主要由下列那種成分組成? (A)糖蛋白 (B)脂肪酸 (C)磷脂和糖類 (D)膽固醇和三甘油酸脂
37.關於膽紅素的代謝過程,尿膽素原(urobilinogen)是在那個器官中形成? (A)血管 (B)肝臟 (C)腎臟 (D)小腸
38.下列關於廣大局部性肝病變的敘述,那一項最為合適? (A)原因與糖尿病、高腎上腺皮質功能症、綿羊懷孕毒血病有關 (B)臨床症狀主要為其原發病之症狀,肝臟的病變通常散佈於全肝之大部分 (C)於較急性的病例,檢查結果可見具診斷價值之血清肝源酵素活性上升 (D)在貓滲出性 FIP 的病例常會見到有高膽紅素血症
39.犬血中酵素之半衰期(T
1/2
),下列何者為最短? (A)AST (B)ALT (C)CK (D)GGT
40.當動物膽汁流動阻塞引起膽汁鬱滯時,可使血中何種成分濃度升高? (A)血紅素 (B)膽汁酸 (C)尿膽素原 (D)白蛋白
41.犬進行肝酵素試驗判讀時,常有類固醇誘發之鹼磷酶(ALP)異構酶干擾,臨床上檢測此種異構酶最簡單最有用的方法為: (A)免疫電泳法 (B)levamisole inhibition assay (C)層相儀分析法 (D)van den Bergh test
42.可誘起血清中 ALP 活性上昇的藥物為何? (A)aspirin (B)diazepam (C)phenobarbital (D)ampicillin
43.口服 D-xylose 試驗是用來檢測何種消化系統問題? (A)exocrine pancreatic insufficiency (B)malabsorption (C)maldigestion (D)acute pancreatitis
44.唾液澱粉酶(salivary amylase)通常存在何種家畜? (A)牛 (B)馬 (C)豬 (D)狗
45.下列那一種疾病可使犬血中 amylase 活性值上升 3 倍以上? (A)acute pancreatitis (B)chronic renal failure (C)small intestinal diarrhea (D)hepatic disease
46.正常動物在攝食高脂肪性食物後幾小時會出現食後性高血脂症? (A)1~3 (B)4~6 (C)7~8 (D)10~12
47.絕食12小時後血漿澄清,且給予口服玉米油3小時後,血漿亦為澄清。再給予口服經胰臟消化酶消化過之脂肪食物3小時後,血漿仍為澄清。此動物可能是: (A)正常動物 (B)胰臟外分泌不足 (C)腸管吸收不良症 (D)代償性膽汁分泌過量
48.血清酵素肌氨酸激酶(CK)可用來檢測下列那個器官的疾病? (A)肝臟 (B)腎臟 (C)肌肉 (D)胰臟
49.尿渣檢查時,每一高倍視野(HPF)以有多少個以上之紅血球作為判定血尿之標準? (A)2~3 (B)4~5 (C)6~7 (D)8~9
50.下列疾病,何者是犬隻血紅素尿的可能原因? (A)急性鈎端螺旋體症(acute leptospirosis) (B)攝護腺炎(prostatitis) (C)毒蛇咬傷 (D)多發性腎臟囊腫(polycystic kidney)
51.關於動物尿液的製造,負責重吸收的組織為下列何者? (A)腎絲球體 (B)腎小管 (C)集尿管 (D)腎盂
52.動物腎臟中,主要控制尿量的組織為何? (A)腎絲球體 (B)近端腎小管 (C)亨雷氏蹄係(Henle’s loop) (D)遠端腎小管
53.不給飲水試驗(water deprivation test)可用來確診下列那些疾病?○1.中樞性尿崩症○2.腎性尿崩症○3.心理性多飲○4.慢性腎衰竭 (A) ○1.○2○3. (B) ○1.○2○4. (C) ○1.○3.○4. (D) ○2○3.○4.
54.犬罹患下列何種病症會引起尿量多,但尿比重亦高? (A)真性尿崩症 (B)腎性尿崩症 (C)糖尿病 (D)急性腎病
55.乳白色之混濁尿加入乙醚後如呈溶解透明,代表此為: (A)乳糜尿 (B)蛋白尿 (C)糖尿 (D)酮尿
56.一般動物新鮮尿液應為透明,但下列何種動物之新鮮尿因含碳酸鈣結晶及黏液,所以呈混濁? (A)馬 (B)牛 (C)犬 (D)貓
57.尿渣檢查結果,呈不定型角狀邊緣具小圓形核之大型細胞,診斷為下列何種細胞? (A)扁平上皮細胞 (B)移形上皮細胞 (C)腎上皮細胞 (D)腫瘤細胞
58.若欲鑑別中樞性尿崩症及腎性尿崩症,應採下列何種試驗? (A)不給飲水試驗 (B)增壓素反應試驗(vasopressin response test) (C)生長激素刺激試驗 (D)血清胰島素樣生長因子1濃度檢測
59.最常用之體液無機磷之測定法為下列何者? (A)比色法 (B)免疫測定法 (C)特殊電極檢測法 (D)放射線測定法
60.胰臟何種細胞會分泌昇糖素(glucagon)? (A)α (B)β (C)δ (D)F
61.犬ACTH刺激試驗時,注射ACTH後多少小時採血? (A)1 (B)2 (C)3 (D)4
62.犬罹患原發性高副甲狀腺功能症時,下列何種檢查結果明顯增加? (A)血清中副甲狀腺素(PTH)濃度 (B)尿磷值 (C)尿鎂值 (D)血清球蛋白量
63.下列何種測試不適合用來檢測懷疑罹患低甲狀腺功能症的狗? (A)TSH刺激試驗 (B)血清總 T4濃度 (C)T3 抑制試驗 (D)TRH 刺激試驗
64.下列有關低腎上腺皮質功能症的敘述何者錯誤? (A)低血鉀症 (B)尿比重低於 1.030 (C)血磷上升 (D)BUN上升
65.下列何種狀況下,會選擇對動物進行靜脈注射葡萄糖耐受性試驗?○1.年紀大過重但尚無糖尿病臨床症狀的貓○2.懷疑患有胰島素瘤的狗○3.已確診患有糖尿病的狗○4.評估正在治療糖尿病的狗 (A) ○1.○2○3.○4. (B) ○1.○2 (C) ○1.○3.○4. (D) ○1.○4.
66.調節鈣磷平衡的物質,最主要作用器官為何○1.小腸○2.脾○3.骨頭○4.腎 (A) ○1.○2○4. (B) ○1.○2○3. (C) ○1.○3.○4. (D) ○2○3.○4.
67.下列何者不是腦垂腺前葉所分泌之荷爾蒙? (A)生長素(GH) (B)子宮收縮素(oxytocin) (C)卵泡激素(FSH) (D)ACTH
68.下列何者之異常代謝疾病主要發生於反芻動物? (A)鎂 (B)鈣 (C)磷 (D)鈉
69.呼吸性酸中毒未代償時,下列何者正常? (A)血液 pH (B)PaCO
2
(C)HCO
3
(D)HCO
3
-
/H
2
CO
3
70.下列何者不會導致呼吸性鹼中毒? (A)恐懼 (B)呼吸器官衰竭 (C)中樞神經受傷 (D)肝性腦病
71.下列有關混合型代謝性酸中毒及鹼中毒之描述,何者正確? (A)血漿HCO
3
-
值顯著降低 (B)血清TCO
2
值顯著降低 (C)血清Cl-值正常 (D)陰離子差距大
72.低丁醛酮症之血清 Na+/K+比低於多少時,即有強烈之診斷意義? (A)22:1 (B)23:1 (C)24:1 (D)25:1
73.下列何者不會出現於末期腎病呈現腎衰竭之犬隻? (A)氮血症 (B)等比重尿 (C)低磷血症 (D)再生性貧血
74.下列何者是總二氧化碳量(TCO2)之主要成分? (A)H
2
CO
3
(B)PaO
2
(C)PaCO
2
(D)HCO
3
-
75.下圖為犬之關節囊液抹片(Giemsa stain; X1000),最可能為下列何者?
(A)骨關節炎 (B)關節血腫 (C)退行性關節病 (D)多發性關節炎
76.含少數非退行性嗜中性球、單核球、反應性或變形間皮細胞,無色清晰,比重低於 1.001,蛋白質含量少於2.5g/dL,下列犬隻何種病症不會形成上述滲液之特徵? (A)腹腔Nocardia sp.感染 (B)被動性充血性心臟病 (C)慢性肝病 (D)大量喪失蛋白質
77.氣管沖洗液中檢出扁平上皮細胞及口腔內之常在細菌,其最可能原因為下列何者? (A)肺充血 (B)肺水腫 (C)採取到喉頭部物質 (D)採到嘔吐物
78.組織細胞瘤(histiocytoma)在分類上屬於何種細胞? (A)圓形細胞瘤 (B)上皮細胞性腫瘤 (C)紡錘型細胞瘤 (D)基質細胞瘤
79.一般採集腦脊髓液進行細胞學檢查須於採取後多久內實施? (A)30 分鐘 (B)4 小時 (C)12 小時 (D)24 小時
80.體腔液正常時由何處析出? (A)微血管 (B)內皮細胞 (C)間皮細胞 (D)乳糜管
申論題 (0)
相關試卷
114年 - 114 公務升官等考試_薦任_獸醫:獸醫實驗診斷學#133104
114年 · #133104
114年 - 114 專技高考_獸醫師:獸醫實驗診斷學#128956
114年 · #128956
113年 - 113 專技高考_獸醫師:獸醫實驗診斷學#121658
113年 · #121658
112年 - 112 專技高考_獸醫師:獸醫實驗診斷學#115900
112年 · #115900
111年 - 111 專技高考_獸醫師:獸醫實驗診斷學#109869
111年 · #109869
110年 - 110 公務升官等考試_薦任_獸醫:獸醫實驗診斷學#103460
110年 · #103460
110年 - 110 專技高考_獸醫師:獸醫實驗診斷學#99943
110年 · #99943
109年 - 109-2 專技高考_獸醫師:獸醫實驗診斷學#89192
109年 · #89192
109年 - 109-1 專技高考_獸醫師:獸醫實驗診斷學#82796
109年 · #82796
108年 - 108 公務升官等考試_薦任_獸醫:獸醫實驗診斷學#80365
108年 · #80365