所屬科目:消化科
16. 一位患者在接受完某項檢查回家後呈現腹脹、腹痛、發燒而至急診,X光片檢查如圖,請問下列何者為非? (A) 病人理學檢查腸音明顯 (B) 腹部呈現rigidily和tenderness (C) 心跳變快 (D) 血壓變低 (E) 血液呈酸血症(acidosis)
17. 一位中年女性從泰國旅遊回來一個月後出現下腹痛、腹瀉,和體重減輕現象,糞便檢查結果如圖,何者是最適當的藥物治療? (A) ciprofloxacin (B) metronidazole (C) tetracycline (D) co-trimoxazole(sulfamethoxazole and trimethoprim) (E) ceftriaxone (Rocephin)
19. 58歲男性患者因為解黑便和吐鮮血,被送至急診,其內視鏡檢查結果如圖,經治療後住院。住院中出現發燒,腹水中白血球超過1000顆,且嗜中性白血球佔50%以上,患者還出現低血壓、意識不清、和血氨上昇的現象,請問下列何項處置對目前患者的病情幫助最小? (A) cefotaxime (B) somatostatin (C) propranolol (D) lactulose (E) neomycin
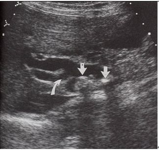
20. 55歲男性因為上腹痛合併發燒畏寒至急診,初步檢驗顯示WBC:13600 cells/mm3,seg:89%,Bilirubin(total):6.0 mg/dL,腹部超音波檢查如圖 所示,請問下列敘述何者為非? (A) 理學檢查摸不到脹大的膽囊,此為Courvoisier's law的基礎之一 (B) 患者血中AST/ALT可上昇,但絕不會超過5倍 (C) 血液培養常有葛蘭氏陰性菌 (D) 內視鏡治療為首選 (E) 治療成功後Bilirubin下降恢復的速度較Alkaline phosphatase來得快