阿摩線上測驗
登入
首頁
>
牙醫學(四)(包括口腔顎面外科學、牙科放射線學等科目及其相關臨床實例與醫學倫理)
> 97年 - 97-2 專技高考_牙醫師:臨床牙醫學(二)(包括口腔顎面外科學、牙科放射線學)#48656
97年 - 97-2 專技高考_牙醫師:臨床牙醫學(二)(包括口腔顎面外科學、牙科放射線學)#48656
科目:
牙醫學(四)(包括口腔顎面外科學、牙科放射線學等科目及其相關臨床實例與醫學倫理) |
年份:
97年 |
選擇題數:
80 |
申論題數:
0
試卷資訊
所屬科目:
牙醫學(四)(包括口腔顎面外科學、牙科放射線學等科目及其相關臨床實例與醫學倫理)
選擇題 (80)
1. 下列有關傷口止血(hemostasis)的方法,何者最正確? (A) 在出血點(bleeding point)周圍移除液體的情況下,熱凝結(thermal coagulation)的止 血效果比較好 (B) 比較大的血管破裂時,用止血鉗確實夾住約 30 秒即可止血 (C) Thrombin 不能直接用於傷口止血 (D) 含有epinephrine 的局部麻醉藥具有止血效果,所以可在出血點附近局部注射該藥品,等 待數分鐘後即可止血
2. 關於傷口內死腔(dead space)形成的原因與處理的方法,下列敘述何者錯誤? (A) 通常是因為傷口內有部分組織必須切除所形成 (B) 死腔內所聚積的血塊,易導致傷口感染 (C) 手術後傷口不必放置引流管,只要壓迫(pressure dressing)2 小時,可以預防死腔的形 成 (D) 引流管(drains)的正確使用,也能預防死腔的形成
3. 欲拔除右側上顎第三大臼齒埋伏智齒時,下列那一項神經阻斷麻醉(nerve block anesthesia)的組合最正確? (A) R’t middle superior alveolar nerve + R’t palatine nerve (B) R’t posterior superior alveolar nerve + R’t middle superior alveolar nerve (C) R’t posterior superior alveolar nerve + R’t greater palatine nerve (D) R’t infraorbital nerve + nasopalatine nerve 歲男孩接受下顎傳導麻醉拔除右下乳臼齒。翌日,回診發現右下唇潰瘍,其餘正常,
4. 6 亦無全身症狀,下列何者最有可能是其造成唇病變的原因? (A) 咬傷(lip biting) (B) 麻醉藥過敏(allergy) (C) 疱疹性口齦炎(herpetic gingivostomatitis) (D) 拔牙後蜂窩組織炎(cellulitis)
5. 下列有關下齒槽神經阻斷麻醉(inferior alveolar nerve block anesthesia)的敘述,何者錯 誤? (A) 進針深度不足時,可能只有舌神經(lingual nerve)遭到麻醉 (B) 進針太深時,可能使病人注射側的眼瞼無法閉合、嘴角下垂 (C) 成功的右側下齒槽神經阻斷麻醉後,可以於同側下顎大臼齒頰側黏膜部位手術,而不至 於令病人疼痛(D) 成功的右側下齒槽神經阻斷麻醉後,通常同側舌神經不會有麻醉的效果
6. 使用拔牙鉗五個主要動作的先後順序為何?①頰側施力 ②舌側施力 ③牽引(tractional force) ④根尖方向施壓 ⑤旋轉(A) ①②③④⑤(B) ④①②③⑤(C) ④②①⑤③(D) ④①②⑤③
7. 拔牙後的疼痛高峰期在術後約多少小時? (A) 6 小時(B) 12 小時(C) 24 小時(D) 72小時
8. 在進行拔牙手術時,對於軟組織所造成的裂傷,下列敘述何者錯誤? (A) 最常見的是造成軟組織缺氧壞死(B) 為避免軟組織有太大張力,翻瓣的範圍要夠廣(C) 手術時動作須輕柔(D) 避免施予不必要的外力
9. 齒源性感染的患者除有下列何項徵兆之外,餘均立即轉診給專科醫師來治療? (A) 口內瘻管形成時(B) 呼吸困難時(C) 吞嚥困難時(D) 筋膜間隙(fascial space)被侵犯時
10. 如下圖所示,下列那一個診斷比較正確?
(A) Necrotizing fasciitis (B) Abscess (C) Osteomyelitis (D) Ludwig’s angina
11. 下列有關於顎骨骨髓炎(osteomyelitis)的敘述何者錯誤? (A) 骨髓炎的發生是因為細菌造成骨髓腔內的血管循環障礙所引起的 (B) 下顎骨比上顎骨容易發生骨髓炎,是因為下顎骨骨髓腔比較窄 (C) 下顎骨骨折是造成下顎骨骨髓炎的主要原因之一 (D) 壞死性骨髓炎,多半是放射線治療後引起的
12. 下列何者不是 Smith 及 Zarb 於 1989 年所提之骨整合骨內植體 (osseointegrated endosseous implants)成功的標準? (A) 使用第一年後,每年植體周(peri-implant)之垂直骨吸收不得大於 0.5 mm (B) 植體周不能有放射可透性 (radiolucent)之陰影 (C) 臨床上植體不能有動搖性 (D) 五年之成功率要高於 85%
13. 牽引骨生成術(distraction osteogenesis)可用來增加齒槽骨量以利牙科植體之種植,下 列那項是此一技術之缺點? (A) 需由別處取用自體骨(autogenous bone) (B) 無法同時增加軟組織 (C) 牽引裝置維持在口內時會造成病患不方便 (D) 一天要轉動好幾次
14. 如下圖 X 光片所顯示之影像,下列何者診斷較有可能?
(A) Osteosarcoma (B) Ameloblastoma (C) Dentigerous cyst (D) Median mandibular cyst
15. 下列何情況可以考慮進行組織切片(biopsy)? (A) 舌邊緣有約 2x2 公分的紅白斑 (B) 牙齦有發生三天仍未癒合之潰瘍 (C) 口底雙側突起的肉阜(caruncle) (D) 位於頰黏膜,與咬合面齊高的線形白斑
16. 下列關於 aspiration 鑑別診斷的敘述,何者錯誤? (A) straw-colored fluid 可能是囊腫 (B) air 可能為腫塊 (C) 血液則可能為血管瘤 (D) 黃色膿液可能為炎症感染
17. 下列那種囊腫經剜出術(enucleation)治療後之復發率最高? (A) 根尖囊腫(periapical cyst) (B) 含齒囊腫(dentigerous cyst) (C) 齒源性角化囊腫(odontogenic keratocyst) (D) 孤立性骨囊腫(solitary bone cyst)
18. 下列那一種囊腫最常見於顎骨? (A) 含齒囊腫(dentigerous cyst) (B) 根尖囊腫(radicular cyst) (C) 齒源性角化囊腫(odontogenic keratocyst) (D) 鈣化齒源囊腫(calcified odontogenic cyst)
19. 施行矢向劈裂骨切開術(sagittal split osteotomy),經由之軟組織切口一般是在: (A) 顎下區(submandibular region) (B) 耳前區(preauricular region) (C) 口內由下顎枝前緣至後牙齒槽之舌側 (D) 口內由下顎枝前緣至後牙齒槽之頰側
20. 用牽引式骨生成術(distraction osteogenesis)來造成骨生成,其理想的牽引速率為? (A) 一天兩次,每次 0.5 mm (B) 兩天一次,每次 0.5 mm (C) 兩天三次,每次 0.5 mm (D) 三天兩次,每次 0.5 mm
21. 施行矢向劈裂骨切開術(sagittal ,在劈裂下顎枝 split osteotomy) (mandibular ramus)前, 所作之骨切開位置一般是在: (A) 下顎枝之後緣及下緣 (B) 下顎枝之下緣及下顎骨體(mandibular body)後方之內側 (C) 下顎枝外側作一水平切開至前方,再順下顎枝前緣往下前切開,延到下顎骨體臼齒外側 再轉向下緣作一垂直切開 (D) 下顎枝內側作一水平切開至前方,再順下顎枝前緣往下前切開,延到下顎骨體臼齒外側 再轉向下緣作一垂直切開
22. 臨床上最常見之頭痛種類是: (A) 偏頭痛(migraine) (B) 緊張性頭痛(tension-type headache) (C) 叢性頭痛(cluster headache) (D) 血管性頭痛(vascular headache)
23. 診斷位於口底前方之顎下腺結石時,下列那一種 X 光片是最佳之診斷工具? (A) 環口 X 光片 (B) 根尖片 (C) 側顱 X 光片 (D) 咬合片
24. 依下圖,15 歲少年訴稱下唇有腫塊存在一個多月,沒有生長趨勢,無痛。下列何診斷最 合理?
(A) 乳突瘤 (B) 肉芽腫 (C) 脂肪瘤 (D) 黏液囊腫
25. 下列有關顏面軟組織外傷之敘述何者正確? (A) 磨擦傷(abrasion)會造成患者疼痛 共 18 頁,第 5 頁 (B) 磨擦傷是表皮淺層受傷,因此沒有處理的必要 (C) Eschar 是軟組織受傷後壞死的組織 (D) Eschar 是上皮修復後留下之疤痕所形成
26. 撕裂性傷口的處理有四個基本步驟,其先後順序應為何?①傷口的清洗(cleansing) ② 傷口的止血 ③傷口的清創(débridement) ④傷口的縫合 (A) ①②③④ (B) ②①③④ (C) ②③①④ (D) ①③②④
複選題
27. 下列關於唇腭裂病童唇腭裂修補手術之敘述,何者錯誤?(一律給分) (A) 唇裂必須先做修補,而後才修補腭裂 無正確答案,一律給分。 (B) 唇裂修補的時間,當病童全身性狀況允許時,愈早愈好 (C) 腭裂修補的時間,約在出生後 8-18 個月 (D) 軟腭與硬腭的修補不一定要同時完成
28. 臨床上最常見導致腎上腺皮質功能不足(adrenocortical insufficiency)之原因是: (A) 阿迪孫氏病(Addison’s disease) (B) 克興氏症候群(Cushing’s syndrome) (C) 長期糖尿病(diabetes mellitus)引起的缺血性病變導致腎上腺組織壞死 (D) 長期服用皮質類固醇(corticosteroid)引起的繼發性腎上腺皮質功能不足(secondary adrenocortical insufficiency)
29. 有一位懷孕八週的婦女因右側上唇、鼻翼附近及犬齒、門齒區域的前庭軟組織腫脹、疼 痛,為期已經三天,腫脹處還有波動感(fluctuation)。請問下列處置中,那一項最不合 理? (A) 告訴該孕婦:因屬懷孕初期,不可做任何口腔 X 光檢查 (B) 不必告知她的婦產科醫師就給予任何抗生素抑制感染 (C) 檢查及治療時,可讓該孕婦仰臥,但不可太久 (D) 告訴該孕婦此時不可接受任何手術
30. 一位曾有氣喘(asthma)病史的 22 歲年輕女性病人,因右下顎智齒蛀牙太深必須拔除, 則下列注意事項中,何者錯誤? (A) 記得詢問病人是否也會對阿斯匹林(aspirin)過敏 (B) 術後使用非類固醇抗炎藥物(NSAIDs)是相當安全的選擇 (C) 詢問病人是否長期或正在服用類固醇藥物 (D) 診間內的急救藥箱內是否備有『epinephrine』和『theophylline』這些急救藥品
31. 臨床上 MPD 在下列敘述中那一項非患者之抱怨? (A) 患者通常有耳前局部性的疼痛,有時咀嚼肌群也有疼痛 (B) 有夜間磨牙症的患者,其早上起床時疼痛更明顯 (C) 患者會咀嚼時漸漸張口困難 (D) 關節 X 光片檢查會發現關節有退化性的改變
32. 下列有關 pseudodisc adaptation 的敘述,何者正確? (A) 病患顳顎關節的症狀變的更加嚴重 (B) 是一種生理性及解剖性的適應 (C) 會產生關節內沾黏(ankylosis) (D) 會產生關節盤破裂(disc perforation)
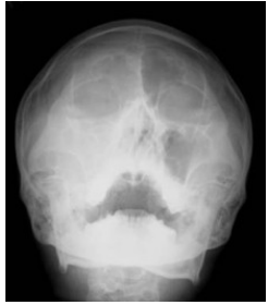
33. 小孩造成顳顎關節內沾黏(ankylosis)最常見的原因為何? (A) 風濕性關節炎 (B) 關節內障礙 (C) 疼痛功能失調症候群 (D) 跌倒撞到下巴
34. 下列有關傷口止血(hemostasis)的方法,何者正確? (A) 含有 epinephrine 的局部麻醉劑具有止血效果,為了降低出血量,注射後可立即下刀 (B) 在出血點(bleeding point)周圍不移除液體的情況下,熱凝結(thermal coagulation)的 止血效果比較好 (C) 含有 epinephrine 的局部麻醉劑具有止血效果,為了降低出血量,至少於下刀前 7 分鐘局 部注射該藥品於預定之切線部位 (D) 在出血點(bleeding point)周圍移除液體的情況下,熱凝結(thermal coagulation)的止 血效果比較差
35. 顎顏面皮膚寄宿的細菌較少,常見的下列菌種中,何種是常由鼻腔移居而來? (A) Staphylococcus epidermidis (B) Corynebacterium diphtheriae (C) Propionibacterium acnes (D) Staphylococcus aureus
36. 下列何種方法是屬於化學滅菌法? (A) 氧化乙烯氣體(ethylene oxide gas)消毒 (B) 乾熱法(heat) (C) 放射線法(irradiation) (D) 超音波震盪法
37. 下列有關 3-0 黑絲縫線(3-0 black silk)的敘述,何者錯誤? (A) 在口腔中黑絲縫線容易辨認 (B) 多股線容易打結,不鬆脫 (C) 不會因吸收口水(wicking)而造成線頭膿腫(stitch abscess) (D) 線頭柔軟不會刺激周圍的軟組織
38. 可使用下列幾號拔牙鉗,拔除上顎所有牙齒? (A) 23 (B) 53 (C) 88 (D) 150
39. 拔牙時所造成的口腔軟組織擦傷(abrasion)至少需多少天可以癒合? (A) 1 (B) 3 (C) 7 (D) 14
40. 以溫特氏挺(Winter’s elevator)拔除牙根的工作機械原理為: (A) 槓桿原理 (B) 楔型原理 (C) 輪軸原理 (D) 齒輪原理
41. 下列有關下顎第一小臼齒根尖膿瘍(abscess)的敘述,何者正確? (A) 因為下顎舌骨肌(mylohyoid muscle)在下顎骨的起源是前低後高,所以膿瘍通常會流至 下顎間隙(submandibular/submaxillary space) (B) 因為下顎舌骨肌(mylohyoid muscle)在下顎骨的起源是前高後低,所以膿瘍通常會流至 下顎間隙(submandibular/submaxillary space) (C) 因為下顎舌骨肌(mylohyoid muscle)在下顎骨的起源是前低後高,所以膿瘍通常會流至 舌下間隙(sublingual space) (D) 因為下顎舌骨肌(mylohyoid muscle)在下顎骨的起源是前高後低,所以膿瘍通常會流至 舌下間隙(sublingual space)
42. 引起齒源性感染之厭氧性革蘭陰性桿菌中,以下列何者最常見? (A) Fusobacterium spp. (B) Actinobacillusspp. (C) Clostridium spp. (D) Prevotella 及 Porphyromonas spp.
43. 在上顎竇提升其底部(sinus lift)使用自體(autogenous)骨移植物,可以獲得最多的一 級骨發生(phase I osteogenesis)的是那一種? (A) 顆粒狀髓質骨移植(particulate marrow and cancellous bone graft) (B) 塊狀骨移值(block graft) (C) 同種間骨移值(allogeneic graft) (D) 綜合骨移值(combination graft)
44. 下列有關上顎無牙嵴嚴重萎縮,而必須做齒槽嵴增高術(alveolar ridge augmentation)的 敘述,何者錯誤? (A) 上顎竇增高術(sinus lift)也可以算是一種上顎齒槽嵴增高術 (B) 當病人的腭穹窿(palatal vault)深度不足、形狀尚可時,通常會選擇「onlay bone grafting」 的術式 (C) 「interpositional bone grafting」的術式,必需配合做「LeFort II」的手術 (D) 統計數據顯示『術後骨吸收量』「interpositional : bone grafting」比「onlay bone grafting」 的來得少
45. 下列囊腔性病灶中,那兩種之放射線影像最易呈多房性(multilocularity)?①齒源性角 化囊腫(odontogenic keratocyst) ②鈣化齒源性囊腫(calcifying odontogenic cyst) ③ 囊性造釉細胞瘤(cystic ameloblastoma) ④側位牙周囊腫(lateral periodontal cyst) (A) ①② (B) ①③ (C) ①④ (D) ②③
46. 口底中間區腫脹,抽吸檢查(aspiration)可得透明淡黃色液,則下列何種診斷最有可能? (A) 根尖囊腫(radicular cyst) (B) 中間下顎囊腫(median mandibular cyst) (C) 蝦蟆腫(ranula) (D) 皮樣囊腫(dermoid cyst)
47. 患有口腔燒灼症候群(burning mouth syndrome)之病患,常伴隨出現那些症狀?①口乾、 味覺異常 ②噁心、嘔吐 ③流眼淚 (A) 只有① (B) ①② (C) 只有② (D) ②③
48. 下列有關唾液腺腫瘤(salivary gland tumor)的敘述,何者錯誤? (A) Warthin’s tumor 幾乎單獨影響腮腺,男性為主 (B) 多發性低度腺癌(adenocarcinoma)為口內第二常見之唾液腺惡性腫瘤,好發於軟硬腭 交接處 (C) 多形性腺瘤(pleomorphic adenoma)之組織病理可見兩種細胞形態:腺管上皮細胞(ductal epithelial cell)及肌上皮細胞(myoepithelial cell) (D) 簡單型蝦蟆腫(ranula)位於舌下間隙,有時病灶會越過下顎舌骨肌(mylohyoid m.)
49. 下列牙齒外傷的描述何者錯誤? (A) 下壓內縮(intrusion)不易造成牙髓壞死 (B) 牙齒突出(extrusion)一般需固定 1~3 週 (C) 水平牙根斷折一般需固定 2~3 個月 (D) 動搖若只是輕微的情況,減少咬合接觸即可
50. 下列那些疾病的患者不宜服用非類固醇抗炎藥(nonsteroidal anti-inflammatory drugs, NSAIDs)?①氣喘(asthma) ②狹心症(angina pectoris) ③腎功能不足(renal insufficiency) (A) 只有①② (B) 只有①③ (C) 只有②③ (D) ①②③
51. 下列那一個因素,不是造成顳顎關節囊外黏連(extracapsular ankylosis)的原因? (A) 下顎冠狀突肥大(coronoid process hyperplasia) (B) 顴骨弓外傷(trauma to the zygomatic arch) (C) 口腔黏膜下纖維化(submucous fibrosis) (D) 感染侵犯到顳肌(infection around the temporalis muscle)
52. 則下列何者是最有可能之診斷? (A) sialolithiasis (B) sialoadenitis (C) sialodochitis (D) tumor of gland
53. 承上題,上述之疾病最有可能發生在下列那一個腺體? (A) 腮腺 (B) 舌下腺 (C) 顎下腺 (D) 艾勃納氏腺(Ebner’s gland)
54. 承上題,下列那一種 X 光攝影術,是較佳之診斷工具? (A) 環口 X 光片 (B) 根尖片 (C) 咬合片 (D) 側顱 X 光片
55. 下圖所示 「1 號」位置的正確名稱為: (A) Piriform rim suspension wiring (B) Frontal bone suspension wiring (C) Infraorbital rim suspension wiring (D) Circumzygomatic suspension wiring
56. 承上題,在「Le Fort II fracture」的情形下,那些位置的『suspension wiring』是最確定 可以採用的? (A) 1 號和 2 號 (B) 3 號和 4 號 (C) 2 號和 3 號 (D) 1 號和 4 號
57. X 光是產生於 X 光機的那一個部位? (A) 濾片(Filter) (B) 錐尖(Tip of the cone) (C) 陰極(Cathode) (D) 陽極(Anode)
58. 如圖所示,照射病人左側下顎臼齒區時,如果 A、B、C、D 四點都距離病人 180 公分, 那一點測得之輻射劑量最低?
(A) A (B) B (C) C (D) D
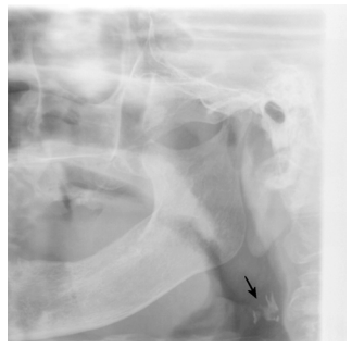
59. 附圖中箭頭所指之鈣化最可能是:
(A) Carotid artery calcification (B) Phlebolith (C) Sialolith (D) Lymph nodes
60. 底片中感光乳劑(emulsion)的主要化學成分為何? (A) AgCl (B) AgBr (C) AgF (D) Ag
61. 牙科放射線攝影時有關感染的防治中,下列敘述何者正確? (A) 照射時不會造成交叉感染 (B) 照射時是利用 X 光底片,醫師並不直接接觸病人,因此直接感染的機會很低 (C) 牙科 X 光機並不直接接觸病人但可經由 X 光機得到交叉感染 (D) 牙科診所中僅有牙科醫師較需要注意感染問題
62. 在上顎正中前牙的根尖片中(periapicalfilm)可見到前鼻棘(anterior nasal spine)約在 齒槽嵴(alveolar crest)的上方多少公分出現? (A) 0.1 (B) 0.5 (C) 2 (D) 4
63. 若要檢查顴骨弓應用以下何種攝影方法? (A) Submentovertex projection (B) Reverse Towne’s projection (C) Waters’ projection (D) Panoramic radiography
64. 要檢查華頓氏管(Wharton’s duct)之遠心端(distal portion) ,是否有涎石(sialolith) , 最好採用下列何種放射線檢查法? (A) 環口放射線攝影術(panoramic radiography) (B) 唾液腺攝影術(sialography) (C) 咬翼放射線攝影術(bite-wing radiography) (D) 咬合放射線攝影術(occlusal radiography)
65. 咬合傷害(occlusal trauma)在 X 光下的特徵為何? (A) 牙周韌帶(periodontal ligament)變寬 (B) 齒槽骨水平高度不變 (C) 骨小樑(trabeculae)數目減少 (D) 齒槽骨板(lamina dura)多在受力區消失
66. 顎骨內之鱗狀細胞癌(squamous cell carcinoma)之放射線影像,最常呈現為下列何者? (A) 界線清楚之放射線透過性病變(radiolucent lesion) (B) 界線不清楚之放射線透過性病變(radiolucent lesion) (C) 混合放射線透過性和不透過性病變(mixed radiolucent and radiopaque lesion) (D) 放射線不透過性病變(radiopaque lesion)
67. 關於血磷酸鹽過少(hypophosphatemia)患者顎骨放射線影像之敍述,下列何者錯誤? (A) 顎骨之骨密度減少 (B) 患者常有牙根尖病變 (C) 患者牙釉質之形成正常 (D) 患者牙本質之形成有缺陷
68. 以下放射線影像都很相似,但何者是例外? (A) Traumatic bone cyst (B) Radicular cyst (C) Eosinophilic granuloma (D) Gorlin cyst
69. 晚期(late ,其放射線影像表現呈現下列何種 stage)顎骨的柏哲德氏病(Paget’s disease) 影像? (A) 洋蔥皮狀影像(onion-skin appearance) (B) 陽光線狀影像(sun-ray appearance) (C) 羊毛棉花狀影像(cotton-wool appearance) (D) 多圓孔狀影像(multiple punched-out appearance)
70. 頰側雙叉囊腫(buccal bifurcation cyst),最常發生於下列何牙處? (A) 下顎第一大臼齒 (B) 下顎第二大臼齒 (C) 下顎第三大臼齒 (D) 上顎第一大臼齒
71. 數位影像的檢出器(detector) ,其對比解析度(contrast resolution)最容易被下列何者所 影響? (A) 影像讀取的時間 (B) 影像讀取的速度 (C) 被照物的密度(density) (D) 被照物的形狀
72. 接受放射線治療後病人容易產生齲齒,有關此類齲齒之敘述何者錯誤? (A) 牙齒受到輻射直接傷害,產生齲齒 (B) 唾液腺受到輻射傷害,唾液減少,產生齲齒 (C) 常見發生於多顆牙齒 (D) 常見發生於齒頸部
73. 急性輻射症狀由輕微至嚴重之排列順序為: (A) Prodromal symptoms、Central nervous system symptoms、Hematopoietic symptoms、 Gastrointestinal symptoms (B) Prodromal symptoms、Hematopoietic symptoms、Gastrointestinal symptoms、Central nervous system symptoms (C) Prodromal symptoms、Hematopoietic symptoms、Central nervous system symptoms、 Gastrointestinal symptoms (D) Prodromal symptoms、Gastrointestinal symptoms、Central nervous system symptoms、 Hematopoietic symptoms
74. 當物質接受低能量放射線的撞擊後,會產生下列何者? (A) 低能光子(low-energy photon)散射(coherent scattering) (B) 質子(proton)釋放 (C) 電子(electron)吸附 (D) 低能光子(low-energy photon)裂解
75. 下列對 X 光性質的敘述,何者錯誤? (A) 是電磁波 (B) 不需介質傳導 (C) 波長比自然光長 (D) 以直線前進
76. 檢視後牙牙根尖片時,通常底片要如何放置? (A) 直放 (B) 橫放 (C) 斜放 (D) 無規定
77. 下列有關牙齒正常解剖結構放射影像之敘述,何者錯誤? (A) 牙釉質在人體結構中有最高的放射線不透性(radiopaque) (B) 鄰接面區牙釉質與牙本質的接合處,容易分別出來 (C) 牙本質因礦物含量較低,約有 50%礦物化,所以其亮度(optical density)看起來比骨頭 高 (D) 因牙骨質很薄,且與牙本質的對比很差,所以牙骨質通常看不見
78. 此種放射線影像檢查的結果,其最可能的診斷為何?
(A) Mandibular fracture (B) Maxillary palatine cyst (C) Maxillary sinusitis (D) Fibrous dysplasia
79. 放射線影像圖中所標示的最可能病灶為何?
(A) Cyst (B) Sequestrum (C) Cloaca (D) Osteoma
80. 放射線性齲齒主要與下列何者無關? (A) 唾液減少 (B) 唾液之 pH 值增加 (C) 唾液之黏性增加 (D) 緩衝作用之降低
申論題 (0)
相關試卷
115年 - 115-1 專技高考_牙醫師(二):牙醫學(四)(包括口腔顎面外科學、牙科放射線學等科目及其相關臨床實例與醫學倫理)#137358
115年 · #137358
114年 - 114-2 專技高考_牙醫師(二):牙醫學(四)(包括口腔顎面外科學、牙科放射線學等科目及其相關臨床實例與醫學倫理)#128945
114年 · #128945
114年 - 114-1 專技高考_牙醫師(二):牙醫學(四)(包括口腔顎面外科學、牙科放射線學等科目及其相關臨床實例與醫學倫理)#125098
114年 · #125098
113年 - 113-2 專技高考_牙醫師(二):牙醫學(四)(包括口腔顎面外科學、牙科放射線學等科目及其相關臨床實例與醫學倫理)#121679
113年 · #121679
113年 - 113-1 專技高考_牙醫師(二):牙醫學(四)(包括口腔顎面外科學、牙科放射線學等科目及其相關臨床實例與醫學倫理)#118730
113年 · #118730
112年 - 112-2 專技高考_牙醫師(二):牙醫學(四)(包括口腔顎面外科學、牙科放射線學等科目及其相關臨床實例與醫學倫理)#115909
112年 · #115909
112年 - 112-1 專技高考_牙醫師(二):牙醫學(四)(包括口腔顎面外科學、牙科放射線學等科目及其相關臨床實例與醫學倫理)#113155
112年 · #113155
111年 - 111-2 專技高考_牙醫師(二):牙醫學(四)(包括口腔顎面外科學、牙科放射線學等科目及其相關臨床實例與醫學倫理)#109860
111年 · #109860
111年 - 111-1 專技高考_牙醫師(二):牙醫學(四)(包括口腔顎面外科學、牙科放射線學等科目及其相關臨床實例與醫學倫理)#106178
111年 · #106178
110年 - 110-2 專技高考_牙醫師(二):牙醫學(四)(包括口腔顎面外科學、牙科放射線學等科目及其相關臨床實例與醫學倫理)#99925
110年 · #99925