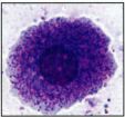
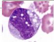
25.箭頭所指爲何種血球?
(A)帶狀嗜中性球
(B)嗜酸性球
(C)淋巴球
(D)單核球
答案:登入後查看
統計: A(688), B(31), C(88), D(1191), E(0) #2970289
統計: A(688), B(31), C(88), D(1191), E(0) #2970289
詳解 (共 4 筆)
#6482989

mast cell

monocyte 單核,有顆粒

lymphocyte 核質比大

eosinophil 核分葉,顆粒嗜酸
3
0