47.下列何者與hepatocellular steatosis/lipidosis較無關?
(A)牛隻大量泌乳
(B)長期飢餓
(C)長期過度使用類固醇
(D)肥胖貓處於緊迫環境下
答案:登入後查看
統計: A(420), B(77), C(415), D(117), E(0) #3282127
統計: A(420), B(77), C(415), D(117), E(0) #3282127
詳解 (共 4 筆)
#6516075
(C) 長期過度使用類固醇
肝細胞內糖原沉積(Glycogen accumulation)
特徵:肝細胞腫大,肝細胞看起來淡染或泡沫狀(vacuolar change),又稱:steroid hepatopathy
組織病理學:肝細胞胞質中大量糖原空泡,核仍維持在中央(與脂肪變性不同,脂肪變性常使核被擠到邊緣),肝小葉結構一般仍完整
(A) 牛隻大量泌乳
-
特別是在產後初期,稱為 fatty liver syndrome
-
產後泌乳需求大 → 能量缺口
-
體脂動員大量釋放遊離脂肪酸(NEFA, non-esterified fatty acids)
-
肝臟將 NEFA 合成成 triglyceride
-
若合成出的極低密度脂蛋白(VLDL)輸出不足 → 脂肪堆積在肝細胞內
-
(B) 長期飢餓
-
飢餓 → 動員脂肪組織 → 血中 NEFA ↑
-
肝臟將 NEFA 再合成 triglyceride
-
若缺乏足夠能量/蛋白質以合成 VLDL → 脂肪無法正常運出肝臟
-
結果 → 脂肪堆積 → fatty liver
ㅤㅤ
(D) 肥胖貓處於緊迫環境下
-
肥胖貓原本脂肪儲存很多
-
緊迫、厭食 → 突然停止進食
-
體內大量動員脂肪 → 肝臟負擔增加
-
同樣因 VLDL 合成或分泌能力不足 → 脂肪堆積在肝細胞
-
臨床上的 feline hepatic lipidosis
12
0
#6533693
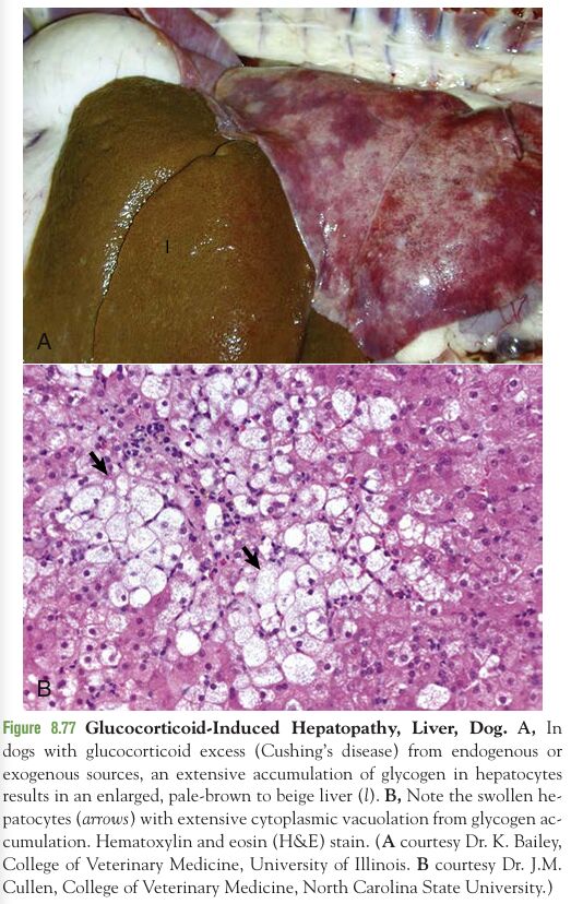
補個書中的肉眼跟鏡下的圖增加印象~


參考來源:Pathologic Basis of Veterinary Disease
3
0
#6536607
想問一下C選項,使用類固醇會造成肝醣堆積,但不會造成脂肪肝嗎?
ㅤㅤ
107-1
61.下列何項不是造成貓脂肪肝的危險因子?
(A) 肥胖
(B) 糖尿病
(C) 類固醇的使用
(D) 罹患皮膚病
2
0