阿摩線上測驗
登入
首頁
>
高中(學測,指考)◆自然
>
110年 - 110 國立臺南女子高級中學自然學科實作評量試題學術性向資賦優異_數理類學生鑑定複選第二階段:自然學科實作評量#100466
> 申論題
題組內容
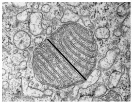
3.右圖為電子顯微鏡下肝細胞中的粒線體圖,此圖放大了44000倍,請回答 下列問題:
(2)粒線體為一雙層膜胞器,在細胞中負責進行有氧呼吸,其產生能量的主 要的作用場所在粒線體的內膜上。由圖中可看出內膜明顯產生往內的皺 褶,試推測皺褶的功能與意義為何?(3分)
相關申論題
(1)根據速度v對時間t之關係圖,繪出加速度a對時間t之關係圖。(2分)
#420395
(2)在10秒內,質點的位移為若干公尺?(2分)
#420396
(1)附圖(一)與附圖(二)中,物體的加速度分別為a1與a2,不計繩重及各阻力,則(2)附圖(一)與附圖(二)中,物體的加速度關係為何?(2分)="ans_img"src="https:>
#420397
(2)以質量為2公斤的甲物體分別作三個實驗,如下圖所示。在不計一切 阻力的情況下,甲物體在三次實驗中的加速度分別為a1、a2與a3,則 a1、a2與a3下三者大小順序為何(由大到小排列)?(重力加速度為 g )(2 分)
#420398
(3)如圖,每個質量均為m的相同木塊六個,置於光滑的水平桌面上。以 F的水平定力作用在第1個木塊上,其方向如圖所示,產生向右的加速 度a,則第3、4木塊間與第5、6木塊間的作用力大小比值為何?(2 分)
#420399
(1)此箱子經過整個輸送帶受摩擦力作用所作的功為正功或負功?(1分)
#420400
(2)所做功的量值為何?(2分)
#420401
(3)箱子通過整個輸送帶需經過幾秒?(4分)
#420402
(1)台灣南部地區的用電主要依賴核三廠,一般核三廠所產生的電會使用 超高壓來輸送,這是為了避免電線的電阻產生電流熱效應,造成部分 電能的損失。有關輸送電線損失的電能部分有位學生提出2種論述如 下: (A)根據P=I2 R 電線的電阻固定所以讓I變小就可減少能量損失。 (B)從來看,當利用變電器升高電壓,所損失的電能應該更大。 請說明這位學生的哪一個論述是 錯誤 的,並 說明 有 哪些地 方不 妥 ? (3 分)
#420403
(2)當台灣夏季用電有時會產生限電危機,據《中國時報》報導,韓國家 用電是220V,台灣是110V,有些人提出認為如果台灣學韓國改成220V, 就可以達到省電的目的。小明看完該報導,覺得非常有道理,他想: 若將電冰箱改成220V供電,先不考慮更換電冰箱的費用,光是在相同 使用時間,就可以省電一半。而從新聞得知,台電近日獲得台科大電 機系教授陳在相提出的技術改壓構想,擬將台灣現有的110V電壓插座 增設線路提供220V電壓,並將三孔或雙孔插座改為四孔插座,以供兩 種電壓使用,台灣是以110V為主流的供電 環 境 , 若 改 成 使 用 220V 電 器 或 電 燈 的 情 況 , 小 明 認 為 220V 比 較 省 電 =省 錢 , 試 問 電 器 使 用 220V 到 底有 沒 有比 較省 錢 ?請 提 出你 的看 法。(在不 考 慮 220V、110V 電器 電 能使 用 效率 的條 件 下 )(3 分 )
#420404
相關試卷
115年 - 115 大學入學考試中心_學科能力測驗:自然#137044
115年 · #137044
114年 - 114 財團法人中心基金會大學入學考試_學科能力測驗:數學A#125142
114年 · #125142
114年 - 114 財團法人中心基金會大學入學考試_學科能力測驗:自然#125076
114年 · #125076
113年 - 113 北北基高級中等學校_學科能力測驗聯合模擬考試:自然#123729
113年 · #123729
113年 - 113 大學入學考試中心_學科能力測驗:自然#118742
113年 · #118742
112年 - 112 財團法人中心基金會大學入學考試_學科能力測驗:自然#113005
112年 · #113005
111年 - 111 大學入學考試中心_學科能力測驗:自然#105937
111年 · #105937
110年 - 110 大學入學考試中心新型學科能力測驗試辦考試:自然#105906
110年 · #105906
110年 - 110 大學入學考試中心_學科能力測驗:自然#100669
110年 · #100669
110年 - 110 國立臺南女子高級中學自然學科實作評量試題學術性向資賦優異_數理類學生鑑定複選第二階段:自然學科實作評量#100466
110年 · #100466