阿摩線上測驗
登入
首頁
>
放射線診斷原理與技術學
> 100年 - 100-2 專技高考_醫事放射師:放射線診斷原理與技術學#36852
100年 - 100-2 專技高考_醫事放射師:放射線診斷原理與技術學#36852
科目:
放射線診斷原理與技術學 |
年份:
100年 |
選擇題數:
80 |
申論題數:
0
試卷資訊
所屬科目:
放射線診斷原理與技術學
選擇題 (80)
1.下列何種管電壓常用於一般乳房攝影? (A)24kVp (B)40kVp (C)60kVp (D)100kVp
2.有關斜照(oblique view)的腰椎中的"Scotty dog",下列敘述何者錯誤? (A)耳朵-上關節突(superior articular process) (B)鼻子-橫突(transverse process) (C)頸部-關節突間部(pars interarticularis) (D)嘴巴-椎弓根(pedicle)
3.下列有關放射攝影時應用X光管之射束跟效應(heel effect)的敘述,何者正確? (A)胸椎(thoracic spine)攝影時陽極應朝向頭部 (B)小腿(tibia and fibula)攝影時陽極應朝向膝蓋 (C)前臂(forearm)攝影時陽極應朝向手肘 (D)腰椎(lumbar spine)攝影時陽極應朝向腳部
4.下列何項檢查儀器仍然使用片匣型作為影像接收器? (A)電腦放射診斷攝影(CR,computed radiography) (B)數位放射診斷攝影(DR,digital radiography) (C)數位透視攝影(DF,digital fluoroscopy) (D)全照野數位乳房攝影(FFDM,full-field digital mammography)
5.下列有關雙重對比大腸造影的敘述,何者正確? (A)空氣不屬於顯影劑 (B)鋇劑屬於陰性(negative)顯影劑 (C)應先將空氣注入大腸內 (D)病患必須空腹並清腸
6.採用下列何種姿勢進行前臂(forearm)一般放射攝影時,會使得尺骨(ulna)與橈骨(radius) 交叉重疊? (A)ulnar deviation (B)radial deviation (C)AP hand position (D)PA hand position
7.對於瘦小病人進行肩關節負重(weighted)一般放射診斷攝影時,每一腕掛重量應為多少英磅? (A)2-4 (B)8-10 (C)14-18 (D)26-30
8.下列有關正常人體骨骼的相關敘述,何者錯誤? (A)共有14塊顏面骨 (B)共有8塊頸椎 (C)共有12塊胸椎 (D)共有5塊腰椎
9.劍突(xiphoid tip)的水平延長線與下列何者位置相當? (A)第八胸椎 (B)第十胸椎 (C)第十二胸椎 (D)第一腰椎
10.下列何種非侵襲性攝影方式最適合用於診斷心臟冠狀動脈的狹窄狀況? (A)傳統放射攝影 (B)數位放射攝影 (C)電腦斷層攝影 (D)SPECT
11.膝關節腔退化及膝部變形的最適當攝影姿勢為何? (A)weight-bearing projection (B)Camp Coventry method (C)Merchant method (D)Settegast method
12.下列關於Y形肩胛骨側位攝影(scapular Y lateral position)的敘述,何者正確? (A)SID至少為72英吋,以減少影像放大 (B)肩部脫臼患者的影像中,肱骨頭(humeral head)會在Y字交叉處之下 (C)採正側位姿勢,非患側手部應置於頭上 (D)X光中心線垂直射向腋下約5-6公分處
13.下列何種攝影亦可作為觀察兩側顴骨弓(zygomatic arch)骨折之攝影術? (A)Caldwell method (B)SMV (C)Waters method (D)Stenvers method
14.Schatzki's環和下列何者有關? (A)腦血管 (B)鼻咽 (C)食道 (D)大腸
15.照射大拇指(thumb)時,中心射束(central ray)應在何處? (A)第一腕掌關節(1
st
carpometacarpal joint) (B)大多角骨(trapezium) (C)第一掌指關節(1
st
metacarpophalangeal joint) (D)第一掌骨(1
st
metacarpal)
16.KUB攝影時中心射束(central ray)應對準何處? (A)T11-T12中間 (B)L2-L3中間 (C)L4-L5中間 (D)S2-S3中間
17.當X光片呈現密度不足,重照時應如何? (A)增加kVp (B)增加mAs (C)增加FOV (D)提高顯影溫度
18.有二張step wedge影像,甲影像可表現10個灰階,乙影像可表現7個灰階,下列相關敘述何者正 確? (A)甲影像為高對比,乙影像為低對比 (B)甲影像為低對比,乙影像為高對比 (C)空間解析度甲較乙為佳 (D)灰階度不可用來解釋對比度
19.所謂TIPS手術是利用支架建立那兩條血管之間的通路? (A)肝動脈、肝靜脈 (B)門靜脈、肝靜脈 (C)肝動脈、門靜脈 (D)門靜脈、下腔靜脈
20.下列何者不是經皮穿肝膽道攝影(percutaneous transhepatic cholangiography)主要的併發症? (A)肝臟出血 (B)氣胸 (C)急性胰臟炎 (D)膽汁溢流
21.下列何種檢查屬於vascular interventional procedures? (A)PCN(percutaneous nephrostomy) (B)UGI(upper gastrointestinal series) (C)TIPS(transjugular intrahepatic portosystemic shunt) (D)ERCP(endoscopic retrograde cholangiopancreatography)
22.經皮穿腎引流術(PCN)之嚴重併發症不包括下列何者? (A)氣胸 (B)敗血症 (C)腸子受傷 (D)三天內即改善之血尿
23.下列情況中何者並非脊髓攝影(myelography)的禁忌? (A)脊椎發生癌轉移 (B)腦壓升高 (C)患者躁動或不合作 (D)穿刺路徑有局部感染
24.雙重對比(double contrast)上胃腸道攝影時,若病人為LPO姿勢,則下列敘述何者錯誤? (A)可見到空氣將胃幽門及十二指腸球撐開 (B)病人姿勢為躺著,右側身體抬高 (C)曝光重點應放在胃底部之顯影劑貯留處 (D)攝影時,病人應閉氣
25.一般靜脈注射泌尿攝影之AP projection(KUB),其中心射束應對準正中矢狀面的那一個高度? (A)腸骨嵴(iliac crest) (B)劍突(xiphoid)至腸骨嵴之中點 (C)腸骨嵴至恥骨聯合(symphysis pubis)之中點 (D)劍突至肚臍(umbilicus)之中點
26.關於骨質密度之測定,下列敘述何者錯誤? (A)quantitative computed tomography檢查通常選擇脊椎T12至L5之二、三節椎體 (B)quantitative ultrasound一般選擇脊椎L1至L4 (C)quantitative dual-energy X-ray absorptiometry一般選擇脊椎L1至L4 (D)quantitative dual-energy X-ray absorptiometry亦可選擇股骨(femur)近端
27.進行大腸之雙重對比檢查,病人採俯臥姿時,下列何解剖部位比較不會呈現雙重對比影像? (A)橫結腸 (B)升結腸 (C)降結腸 (D)直腸
28.下列何種病人最適合接受血管攝影檢查? (A)對顯影劑過敏 (B)有凝血系統疾病 (C)正在服用抗凝血劑之病人 (D)創傷病人
29.下列關於乳房攝影檢查的敘述,何者錯誤? (A)纖維-腺體型(fibro-glandular)乳房,常發生於較年輕之女性(15-30歲之間) (B)纖維-脂肪型(fibro-fatty)乳房,應比纖維-腺體型之乳房攝影曝攝量高 (C)脂肪型乳房通常發生於年齡較大之女性 (D)纖維-腺體型乳房通常可見於孕婦之乳房
30.下列何種檢查方式最適宜偵測乳房病灶之顯微鈣化(microcalcification)? (A)CT (B)MRI (C)US (D)mammography
31.下腔靜脈濾網(filter)的主要適應症是: (A)防止疝氣 (B)防止癌細胞轉移 (C)防止肺栓塞 (D)防止腦中風
32.下列何者不是非離子性顯影劑的優點? (A)副作用較少 (B)價格較便宜 (C)低滲透度 (D)注射時灼熱感較少
33.為孩童施行血管攝影時,則下列敘述何者正確? (A)通常只需用局部麻醉劑 (B)通常應讓父母於血管攝影室內陪伴小孩 (C)通常需用鎮定劑或全身麻醉 (D)孩童不會發生顯影劑過敏
34.肝癌病人在下列何種情況時,最可能需要緊急施行血管栓塞術? (A)肝癌腫瘤破裂(HCC rupture) (B)多顆肝癌腫瘤(multiple HCCs) (C)門靜脈血栓塞(portal vein thrombosis) (D)病人貧血
35.下列那些部位之關節攝影(arthrography)最常施行? (A)elbow and wrist (B)hip and knee (C)shoulder and knee (D)knee and wrist
36.下列何種設備(electronic devices)並非在digital fluoroscopy和conventional fluoroscopy中都具 備的? (A)X-ray tube (B)image intensifier (C)spot film cassettes (D)television monitor
37.在泌尿道中,下列那一部位最常施行經皮擴張術(percutaneous dilatation)? (A)renal infundibulum (B)ureter (C)urinary bladder (D)urethra
38.腎囊腫之硬化療法(sclerotherapy for renal cyst)最常用的硬化劑為下列何者? (A)鋇劑 (B)等張含碘顯影劑 (C)純酒精 (D)空氣
39.在施行雙重對比上消化道攝影(double contrast UGI)時,通常用下列那一種kVp條件來提供最 佳對比之影像? (A)100—125 kVp (B)80— 90 kVp (C)125—135 kVp (D)60— 70 kVp
40.下列何種導管(catheter)因能運送大量的顯影劑, 因此在abdominal aortogram中最常使用? (A)RC1 catheter (B)H1 catheter (C)RH catheter (D)pigtail catheter
41.FOV為40公分,matrix size為512×512,slice thickness 5 mm,則voxel size約多少mm
3
? (A)1 (B)2 (C)3 (D)4
42.在正常頭部電腦斷層影像中,下列何種構造之CT number最高? (A)脊髓液 (B)大腦灰質 (C)大腦白質 (D)顱骨
43.下列那一種CT的detector故障會產生環狀陰影? (A)first-generation CT (B)second-generation CT (C)third-generation CT (D)fourth-generation CT
44. 一位病人突然頭痛而送進急診室,附圖中brain CT影像白色箭號所指為何?
(A)右側蜘蛛膜下出血(right side SAH) (B)左側蜘蛛膜下出血(left side SAH) (C)右側硬腦膜下出血(right side SDH) (D)左側硬腦膜下出血(left side SDH)
45.成人常規的CTA檢查需靜脈注射多少量的顯影劑? (A)10-15 c.c (B)20-30 c.c (C)40-50 c.c (D)80-120 c.c
46.下列那一項最適合以HRCT做診斷? (A)主動脈剝離 (B)肋膜積水 (C)肺動脈栓塞 (D)支氣管擴張症
47.關於電腦斷層的品質保證,其影像的雜訊值不可超過多少? (A)±5 HU (B)±10 HU (C)±15 HU (D)±20 HU
48.關於電腦斷層的切片厚度之品質保證要求,下列敘述何者正確? (A)大於5 mm的切片厚度,其精準度要求不可超過±1.5 mm (B)大於5 mm的切片厚度,其精準度要求不可超過±1.3 mm (C)小於5 mm的切片厚度,其精準度要求不可超過±0.5 mm (D)小於5 mm的切片厚度,其精準度要求不可超過±0.3 mm
49.電腦斷層的品質保證中,對空氣和水的電腦斷層值之合格範圍分別為下列何者? (A)-997--1003,-3-+3 (B)-990--1010,-5-+5 (C)-995--1005,-5-+5 (D)-970--1005,-7-+7
50.下列那一種疾病之病患最不適宜接受含碘之水溶性顯影劑? (A)腎上腺的pheochromocytoma (B)腎細胞瘤 (C)腎臟的angiomyolipoma (D)腎臟的過渡細胞癌(transitional cell carcinoma)
51.對一顏面骨外傷之病患,如欲以CT檢查得到其3D顱骨外觀之影像,應採下列何技術? (A)maximum intensity projection (B)shaded surface display (C)multiplanar reformation (D)volume rendering
52.下列何者是目前臨床使用MRI主要之訊號來源? (A)Helium (B)Nitrogen (C)Oxygen (D)Hydrogen
53.在MRI反轉回復(inversion recovery)的技術中,欲使水的訊號降至最低,則反轉時間(TI)的 選擇是由下列何者所決定? (A)水的T1值 (B)水的T2值 (C)水的T2*值 (D)水的質子密度值
54.下列有關各組織T2的長短排序,何者正確? (A)灰質<白質<CSF<edema (B)CSF<edema<灰質<白質 (C)白質<灰質<edema<CSF (D)灰質<白質<edema<CSF
55.Spin echo波序中的180度波發射時機在: (A)1/2 TR (B)2倍TE (C)90度波發射後200毫秒 (D)1/2 TE
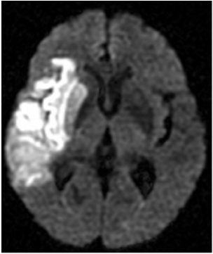
56.附圖是一張DWI的影像,右大腦一片相當亮的區域代表:
(A)急性腦內出血 (B)急性腦梗塞(infarction) (C)亞急性腦內出血 (D)慢性腦梗塞
57. 附圖影像中箭號標示處是下列何者?
(A)頸部軟組織影像 (B)頸部移動假影(motion artifacts) (C)肩胛軟組織影像 (D)頸部組織反摺(aliasing)影像
58.下列何者為組織壓抑(tissue suppression)的MRI技術? (A)STIR(short Tau inversion recovery) (B)GRASS(gradient-recalled acquisitions in steady state ) (C)TOF(time of flight) (D)EPI(echo planar imaging)
59.橫向遲緩又稱為下列何者? (A)spin-lattice relaxation (B)T1 relaxation (C)spin-spin relaxation (D)longitudinal relaxation
60.增加NEX(number of excitation)所造成的影響為下列何者? (A)增加SNR (B)縮短掃描時間 (C)增加CNR (D)減少motion假影
61.T1遲緩與T2遲緩的關係為何? (A)兩者不同時開始,不同時結束 (B)兩者不同時開始,但同時結束 (C)兩者同時開始,不同時結束 (D)兩者同時開始,同時結束
62.腦內的亞急性血塊(出血10-20天),在MRI的T1WI訊號強度為下列何者? (A)低訊號(很暗) (B)與腦相等訊號(灰) (C)高訊號(白) (D)無訊號
63.由週期性脈動(如動脈)所造成的ghost artifact會出現在何方向? (A)切面選擇方向 (B)頻率編碼方向 (C)相位編碼方向 (D)主磁場方向
64.在進行磁振造影檢查,若發現所設定的取像參數所產生的特定吸收比率(specific absorption rate,SAR)已超過上限,此時最適當的做法是: (A)也許機器過熱,先關閉機器的SAR設限,稍待冷卻後,再回來試用相同的掃描參數 (B)修改病人體重資料再掃描 (C)注射含有釓(Gd)的顯影劑後,再回來試用相同的掃描參數 (D)嘗試改變掃描參數後(如flip angle)再檢查
65.下列有關膽囊(GB)的敘述,何者錯誤? (A)正常GB壁之厚度應小於4 mm (B)腹水造成的GB 壁增厚,大多為均勻性的增厚 (C)血清白蛋白降低可能造成GB壁增厚 (D)右心衰竭可能造成肝靜脈擴張,但不至於造成GB壁增厚
66.下列有關腎臟超音波檢查的敘述,何者錯誤? (A)幾乎所有造成阻塞性腎水腫之病源,皆可由超音波偵測 (B)第三期(3rd degree)腎水腫,可能已造成腎實質萎縮且變薄 (C)第一期(1st degree)腎水腫可能由於膀胱過脹造成 (D)後腹腔纖維病可能造成輸尿管阻塞
複選題
67.下列有關盲腸炎超音波掃描之敘述,何者錯誤?(一律給分) (A)可以超音波檢查做診斷 (B)正常盲腸直徑應小於6 mm (C)盲腸壁可能增厚超過3 mm (D)中心為低回音,周圍為高回音性
68.下列有關小孩腸套疊之敘述,何者錯誤? (A)多好發於6到9個月之新生兒 (B)診斷確定後不一定要以外科手術治療 (C)典型之超音波影像為同心圓之靶心(target)徵象 (D)腸套疊常發生於空腸(jejunum)而非迴腸(ileum)
69.在一般正常成人的腹部超音波掃描中,下列那一項回音強度高於其他三者? (A)肝臟 (B)腎臟皮質 (C)胰臟 (D)脾臟
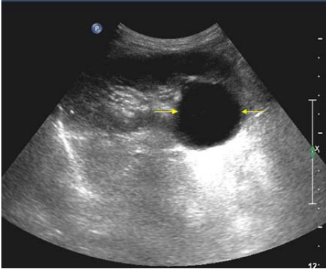
70.附圖為一體檢病人超音波檢查之右腎長軸切面圖,箭號所示最可能為何?
(A)惡性腫瘤 (B)腎囊腫 (C)腎產氣性膿瘍 (D)腎水腫
71.腎門(renal hilum)部位,超音波檢查呈現低回音之可能原因中,不包括下列何者? (A)腎盂擴張 (B)腎盂旁囊腫 (C)腎靜脈擴張 (D)血管平滑肌脂肪瘤(angiomyolipoma)
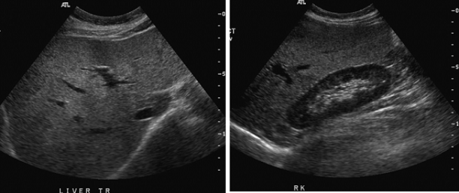
72. 附圖中左圖為腹部中線肝臟橫向掃描,右圖為肝臟右葉之縱向掃描,此肝臟最有可能是:
(A)轉移性腫瘤 (B)脂肪肝 (C)瀰漫性肝癌 (D)淋巴瘤浸潤
73.附圖為上腹部正中線縱向掃描,箭號所指的構造為:
(A)上腸繫膜動脈(superior mesenteric artery) (B)腹腔動脈(celiac trunk) (C)橫膈腳(crus of diaphragm) (D)腹水(ascites)
74. 當影像呈現如圖時,這是影像增強器(image intensifier)中的何種假影?
(A)veiling glare (B)pincushion distortion (C)S distortion (D)U distortion
75.下列何種放射線造影設備的品質保證,不需要用到SMPTE(society of motion picture and television engineers)測試假體? (A)增感屏-軟片X光攝影(screen-film radiography) (B)電腦斷層攝影(computed tomography) (C)超音波(ultrasound) (D)透視攝影(fluoroscopy)
76.乳房攝影X光機的管電壓準確度(accuracy)與再現性(reproducibility)應符合下列何者? (A)準確度<±3%;再現性之變異係數<0.01 (B)準確度<±5%;再現性之變異係數<0.02 (C)準確度<±7%;再現性之變異係數<0.03 (D)準確度<±10%;再現性之變異係數<0.04
77.X光洗片機產生廢水之重金屬污染的主要成分為何? (A)汞 (B)金 (C)銀 (D)銅
78.下列那些項目屬於DICOM service classes?①影像儲存 ②影像查詢 ③影像造影 ④影像列印 (A)①②③ (B)①②④ (C)①③④ (D)②③④
79.在顯示工作站中,下列何者會影響影像顯示的特性,並以cd/m
2
表示? (A)觀看者受視力(human perception) (B)顯示器明亮度(luminance) (C)雜訊(noise) (D)顯示器解像力(resolution)
80.若CT 值可以呈現的範圍是-1024 到3071,則該影像是用多少位元去儲存一個像素的灰階值? (A)10 (B)1024 (C)12 (D)4096
申論題 (0)
相關試卷
115年 - 115-1 專技高考_醫事放射師:放射線診斷原理與技術學#137344
115年 · #137344
114年 - 114-2 專技高考_醫事放射師:放射線診斷原理與技術學#128969
114年 · #128969
114年 - 114-1 專技高考_醫事放射師:放射線診斷原理與技術學#125124
114年 · #125124
113年 - 113-2 專技高考_醫事放射師:放射線診斷原理與技術學#121691
113年 · #121691
113年 - 113-1 專技高考_醫事放射師:放射線診斷原理與技術學#118731
113年 · #118731
112年 - 112-2 專技高考_醫事放射師:放射線診斷原理與技術學#115920
112年 · #115920
112年 - 112-1 專技高考_醫事放射師:放射線診斷原理與技術學#113162
112年 · #113162
111年 - 111-2 專技高考_醫事放射師:放射線診斷原理與技術學#109901
111年 · #109901
111年 - 111-1 專技高考_醫事放射師:放射線診斷原理與技術學#106212
111年 · #106212
110年 - 110-2 專技高考_醫事放射師:放射線診斷原理與技術學#99941
110年 · #99941