阿摩線上測驗
登入
首頁
>
放射線診斷原理與技術學
> 101年 - 101-2 專技高考_醫事放射師:放射線診斷原理與技術學#36835
101年 - 101-2 專技高考_醫事放射師:放射線診斷原理與技術學#36835
科目:
放射線診斷原理與技術學 |
年份:
101年 |
選擇題數:
80 |
申論題數:
0
試卷資訊
所屬科目:
放射線診斷原理與技術學
選擇題 (80)
1.下列關於膝關節Rosenberg攝影技術的敘述,何者正確? (A)為拍攝patella最適當的方法 (B)X光管需向頭打10度 (C)SID為180公分 (D)站姿,雙腳併攏,膝關節向前彎曲45度
2.乳房攝影優於乳房超音波之處有那些?①分辨囊腫(cyst) ②區分微鈣化(microcalcification) ③分辨 實體病變(solid lesion) ④適合進行大規模篩檢 (A)①② (B)①④ (C)②③ (D)②④
3.小兒腹部X光照相時,應視小兒的身體結構而調整攝影參數。請問其理由有那些?①小兒的體厚較薄 ②小 兒的骨骼較不緻密 ③小兒的脂肪較多 ④小兒軟組織的界線較不明確 (A)①②③ (B)①②④ (C)①③④ (D)②③④
4.對於可自由行動病人之胸部攝影,下列何者之SID最短? (A)肺尖的lordotic 攝影 (B)心臟的RPO攝影 (C)上呼吸道的lateral攝影 (D)上呼吸道的AP投射攝影
5.下列對於不同位置受傷的肋骨拍攝,何者最正確? (A)橫膈上的右後肋骨受傷採LPO姿勢 (B)橫膈上的左前肋骨受傷採LAO姿勢 (C)橫膈下的右後肋骨受傷採RAO姿勢 (D)橫膈下的左後肋骨受傷採LPO姿勢
6.成人腹部疼痛時,除了腹部X光AP照相外,有時也會參考胸部立姿PA的影像,其最主要的目的為何? (A)為了呈現橫膈底下的游離空氣 (B)為了呈現腹水 (C)為了清楚呈現腸阻塞 (D)為了清楚呈現腹部腫塊
7.以superoinferior tangential(axial)projection評估鼻骨(nasal bone)是否斷裂,常需將X光中心線與下列 何者連線平行? (A)GAL (B)OML (C)IOML (D)AML
8.照C-spine AP projection時,中心射束(central ray)之角度為: (A)朝頭5度~10度 (B)朝腳5度~10度 (C)朝頭15度~20度 (D)朝腳15度~20度
9.拍攝左側SI joint時,以下列何姿勢最佳? (A)LAO 25°~30° (B)RAO 25°~30° (C)LPO 25°~30° (D)RPO 25°~30°
10.關於血管攝影檢查所使用的Seldinger technique,下列敘述何者最正確? (A)在透視攝影(fluoroscopy)下注射對比劑來尋找血管位置 (B)將導線送入血管內以便藉導線來引導導管(catheter)到正確位置 (C)送入導管或 sheath前不一定要移除套管(trocar) (D)只用於動脈攝影
11.在正常的前後位投射(AP projection)下肢動脈血管攝影中,經過脛骨(tibia)內側的動脈為: (A)後脛骨動脈(posterior tibial artery) (B)前脛骨動脈(anterior tibial artery) (C)腓動脈(peroneal artery) (D)膕動脈(popliteal artery)
12.胃十二指腸動脈通常源自於下列那一條血管? (A)右腎動脈 (B)肝總動脈 (C)下腸系(繫)膜動脈 (D)脾動脈
13.下列有關常規上消化道攝影檢查的敘述,何者最不正確? (A)一般成年人需NPO八小時以上 (B)檢查耗時且需要受檢者配合轉換各種檢查姿勢 (C)老年受檢者(大於65歲)的檢查前注意事項和一般成年人受檢者沒有不同 (D)老年受檢者(大於65歲)行動較緩慢,所以檢查更耗時
14.下列何種姿勢對於直腸乙狀結腸的大腸鋇劑攝影的表現最佳? (A)LPO (B)左正側臥位 (C)右正側臥位 (D)PA
15.下消化道雙重對比攝影術(double contrast LGI serises)所用之鋇劑密度通常為: (A)15~25% weight to volume(W/V) (B)25~35% weight to volume(W/V) (C)75~95% weight to volume(W/V) (D)> 100% weight to volume(W/V)
16.在完成傳統脊髓攝影後,下列何者是最必須注意的事項? (A)小心預防抽搐的發生 (B)病人必須平躺2小時 (C)8小時內不可進食 (D)如發生頭痛,應立即做腦部血管攝影
17.子宮動脈栓塞術(uterine artery embolization),通常用於治療: (A)有症狀之子宮肌瘤 (B)有症狀之子宮頸癌 (C)有症狀之子宮內膜癌 (D)有症狀之子宮內膜異位症
18.乳房攝影中,其放大攝影的焦斑(focal spot)應為多少mm? (A)0.1 (B)0.3 (C)0.6 (D)1.0
19.下列何種介入性檢查較不須在X光透視下操作? (A)椎體成形術(vertebroplasty) (B)血管成形術(angioplasty) (C)肝膿瘍引流 (D)下腔靜脈過濾器之置放
20.小兒之鋇劑灌腸復整術(barium enema reduction),一般是針對下列何種疾病之診療? (A)巨結腸症(megacolon 或hirschsprung disease) (B)闌尾炎(appendicitis) (C)無肛症(imperforate anus) (D)腸套疊(intussusception)
21.有一小孩常患腎盂腎炎(pyelonephritis),若懷疑是否有膀胱輸尿管逆流時,應施行何種檢查? (A)intravenous urography (B)retrograde urography (C)antegrade urography (D)voiding cystourethrography
22.施行靜脈注射泌尿道攝影(IVU)時,疑似左側腎盂(left renal pelvis)病灶,宜採用何種姿勢攝影? (A)LPO (B)RPO (C)AP,X光管向腳5~10度 (D)standing
23.介入性放射線診療TIPS主要是欲聯結下列何二者間之血流? (A)門靜脈,主動脈 (B)門靜脈,肝靜脈 (C)肝動脈,肝靜脈 (D)肝動脈,門靜脈
24.有關子宮輸卵管攝影的敘述,下列何者錯誤? (A)適宜偵測所有子宮肌瘤 (B)輸卵管連繫卵巢和子宮 (C)應在月經開始後7至10天間做檢查 (D)主要是用於評估婦女不孕症的原因
25.下列何種不適宜開刀之腫瘤,最常使用chemoembolization? (A)胃癌 (B)卵巢癌 (C)胰臟癌 (D)肝癌
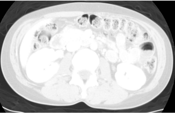
26.此電腦斷層影像中,箭號所示條紋屬於下列何種假影?
(A)motion artifacts (B)metal artifacts (C)beam-hardening artifacts (D)partial volume artifacts
27.在其他條件不變下,電腦斷層掃描切片厚度(slice thickness)越薄,則下列敘述何者正確? (A)雜訊越低,空間解析度增加 (B)雜訊越高,空間解析度降低 (C)雜訊越低,空間解析度降低 (D)雜訊越高,空間解析度增加
28.下列何者不是電腦斷層攝影之虛擬內視鏡的優點? (A)非侵襲性 (B)可顯示黏膜表面之腫瘤病灶 (C)可呈現黏膜表面病灶之真實顏色 (D)原始影像(source images)可呈現管腔外之變化
29.作顳骨CT檢查時,下列何者最不是顳骨骨折的徵象? (A)空氣在顳頷關節(temporomandibular joint) (B)空氣在迷路(labyrinth)內 (C)空氣在顱內 (D)空氣在中耳內
30.腎功能正常的肝癌病人,手術前最適合接受下列何種檢查 ? (A)超音波 (B)ERCP (C)PTC (D)動態顯影電腦斷層攝影
31.CT之virtual colonoscopy是以下列何者形成? (A)maximum intensity projection(MIP) (B)minimum intensity projection(mIP) (C)shaded surface display(SSD) (D)volume rendering display(VR)
32.假設一腹部電腦斷層攝影的灰階值包括範圍為+180~-120,則其窗寬(window width,WW)和窗高 (window level,WL)為何? (A)WW=240,WL=+60 (B)WW=240,WL=+30 (C)WW=300,WL=+60 (D)WW=300,WL=+30
33.下列何者的CT值(Hounsfield unit,HU)最低? (A)脂肪 (B)腦脊髓液 (C)血管 (D)脾臟
34.下列何者並非近年電腦斷層掃描儀偵檢器所常用的物質? (A)cesium iodide(CsI) (B)special ceramics特殊陶瓷 (C)xenon gas氙氣 (D)titanium
35.1972年第一位病人接受CT檢查的部位為: (A)手 (B)頭部 (C)腹部 (D)胸部
36.下圖中CT影像所呈現為下列那一項window的設定?
(A)abdomen (B)mediastinum (C)bone (D)lung
37. 下圖中箭號所指的構造為何?
(A)medulla oblongata (B)pons (C)cerebral peduncle (D)cerebellar peduncle
38.下列磁振造影技術最不易受感磁(magnetic susceptibility)效應之影響? (A)傳統自旋回音(conventional spin echo) (B)快速自旋回音(fast spin echo) (C)梯度回音(gradient echo) (D)回音平面造影(echo planar imaging)
39.磁振造影之擴散造影(diffusion imaging)通常是採用何種技術? (A)傳統自旋回音(conventional spin echo) (B)快速自旋回音(fast spin echo) (C)梯度回音(gradient echo) (D)回音平面造影(echo planar imaging)
40.下列有關胸椎磁振造影檢查的敘述,何者最正確? (A)訊雜比和使用的線圈無關 (B)可以使用長方形(rectangular)的FOV來縮短掃描時間 (C)使用 over sampling或增加FOV無法改善在相位方向的反褶假影(aliasing artifact) (D)使用 fast spin echo T2加權影像比使用 STIR更適合檢查骨髓病變
41.下列何者無法消除磁振造影中的反褶假影(aliasing artifacts)? (A)使用表面線圈(surface coil) (B)使用飽和脈衝(saturation pulses) (C)降低FOV(field of view) (D)超量取樣(over-sampling)
42.下列何者無法修正磁振造影中的化學位移假影(chemical shift artifacts)? (A)使用脂肪壓抑技術(fat-suppression techniques) (B)使用較長的TE(echo time) (C)使用較小的頻寬(bandwidth) (D)調換相位(phase)及頻率(frequency)之方向
43.在1.5T的MRI磁場中,氫原子在脂肪與水中的拉莫頻率之差異為何? (A)5.25 ppm (B)64 MHz (C)42.6 MHz (D)220 Hz
44.下列有關各種組織T2值之比較,何者最正確? (A)肌肉>水>空氣 (B)水>韌帶>脂肪 (C)脂肪>水>韌帶 (D)水>肌肉>空氣
45.在MRI中欲取得質子密度加權影像 ( PDWI ) 時,其TR與TE的設定應分別為何? (A)長、長 (B)短、短 (C)長、短 (D)短、長
46.下列何者可以增加磁振造影影像訊雜比(signal-to-noise ratio)? (A)使用較小的FOV (B)使用較薄切片厚度 (C)使用較窄的頻寬(bandwidth) (D)減少激發(excitation)次數
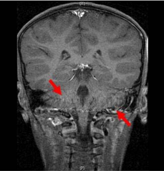
47.頭部MRI檢查時發生箭號所指之假影,最可能的原因為何?
(A)截斷假影(truncation artifact) (B)串擾假影(cross-talk artifact) (C)反褶假影(aliasing artifact) (D)血流假影(flow artifact)
48.腦部MRI檢查時,顱底血管出現箭號所指之高訊號,最可能的原因為 何?
(A)截斷假影(truncation artifact) (B)反褶假影(aliasing artifact) (C)串擾假影(cross-talk artifact) (D)流動相關增強作用(flow related enhancement)
49. 下圖箭號所指為何種假影(artifact)?
(A)重疊假影(wraparound artifact) (B)平行造影假影(parallel imaging artifact) (C)呼吸假影(respiratory artifact) (D)磁化率假影(susceptibility artifact)
50.表面線圈(flat surface coil)的功能通常是: (A)同時發射脈衝和接受訊號 (B)發射脈衝 (C)接受訊號 (D)製造梯度
51.下列有關磁振造影學中的T1值之相關敘述,何者正確? (A)與原子(atom)種類有關,所以只要是氫(hydrogen)原子核的T1值皆相同 (B)與晶格(lattice)構造無關 (C)與磁場強度(magnetic field strength)有關 (D)與原子(atom)種類有關,所以在水分子越少的人體組織中,其T1值越大
52.磁共振檢查時使用128×128的矩陣,檢查範圍(FOV)為40公分,其畫素(pixel)大小為: (A)2.43 mm
2
(B)0.61 mm
2
(C)9.77 mm
2
(D)0.15 mm
2
53.下圖腹部MRI影像,造成左右影像訊號不均(箭號所指)最常見的原因為:
(A)梯度磁場不線性 (B)RF系統不穩定 (C)主磁場B
0
不均勻 (D)shimming不佳
54. 下圖為腹部MRI影像,箭號所指假影是由於何種因素造成?
(A)心跳 (B)呼吸 (C)咳嗽 (D)化學位移假影
55.下列關於超音波傳導膠(coupling agent)的敘述,何者錯誤? (A)液態傳導膠有助於音波的傳遞 (B)礦泉水無助於音波的傳遞 (C)植物油有助於音波的傳遞,但可能會造成儀器的橡膠腐蝕 (D)傳導膠有利於排除探頭與皮膚之間的小氣泡
56.膽結石的超音波影像,結石後方的陰影(shadowing)主要是由什麼原理造成? (A)折射(refraction) (B)迴盪(reverberation) (C)衰減(attenuation) (D)切面厚度(section thickness)
57.下列有關 IVC 超音波掃描的敘述,何者錯誤? (A)外型比腹主動脈較易變形 (B)可用能量杜卜勒(power Doppler)超音波掃描偵測血流方向 (C)可用杜卜勒超音波掃描偵測血栓 (D)可用灰階超音波掃描偵測血栓
58.下列有關肝硬化導致門靜脈高壓超音波掃描之敘述,最不正確? (A)脾靜脈直徑一般超過12 mm (B)主門靜脈直徑一般超過15 mm (C)可能伴隨脾腫大 (D)不會呈現腹水
59.乳房超音波掃描所描述回音性之高或低(hyperechoic or hypoechoic),是以下列何種組織之回音為準? (A)乳腺組織 (B)皮下脂肪組織 (C)肌肉組織 (D)庫伯氏韌帶
60.下列關於成人泌尿系統超音波掃描的敘述,何者錯誤? (A)正常腎臟的長度約為 9~12公分 (B)正常腎臟之腎竇會呈現低回音 (C)正常的輸尿管在超音波下不易呈現 (D)正常腎皮質回音較肝臟低但是比腎錐體的回音高
61.下列有關嚴重急性胰臟炎超音波徵象的敘述,何者最不正確? (A)胰臟呈現瀰漫性低回音 (B)胰臟周圍可能會積液 (C)胰臟萎縮並呈現鈣化 (D)胰臟腫脹
62.乳房超音波掃描可呈現乳房之下列組織由外層至內層之結構依序為何?①肋骨(rib) ②皮下脂肪 (subcutaneous fat) ③乳房後脂肪(retromammary fat) ④胸肌(pectoralis muscles) ⑤皮膚 (skin) ⑥乳房組織(breast parenchyma) (A)⑤①③②④⑥ (B)⑤②⑥③④① (C)⑤②⑥④③① (D)⑤②⑥③①④
63.下圖為肝臟超音波影像,編號8號所指為何?
(A)pancreas (B)kidney (C)falciform ligament的脂肪增加 (D)gall bladder
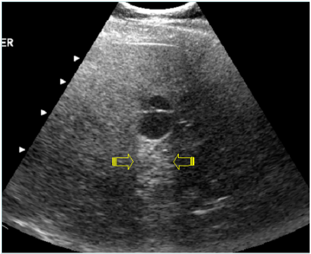
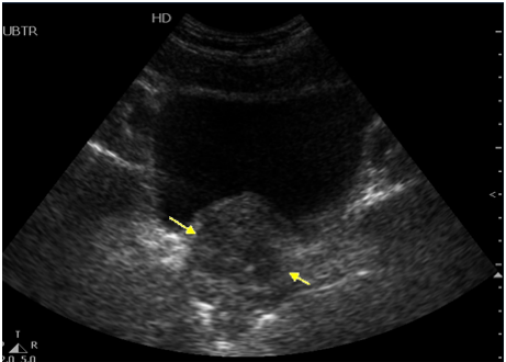
64.骨盆腔超音波掃描如下圖,箭號所指為何?
(A)膀胱 (B)攝護腺 (C)儲精囊 (D)直腸
65.下圖為肝臟內造影之囊腫,箭號所指為:
(A)局部脂肪肝 (B)distal acoustic enhancement假影 (C)肝癌 (D)轉移癌
66. 病人因上腹部不適,接受超音波檢查,下圖中箭號所示,最可能為何種病灶?
(A)血管瘤 (B)囊腫 (C)圓韌帶 (D)結石
67.下列有關腎囊腫超音波檢查之敘述,何者錯誤? (A)若位於腎竇內,須與腎水腫作鑑別 (B)一般為均勻無回音性 (C)腎囊腫內若含結節或粗的間隔(septum),必定為良性,與一般囊腫無異 (D)腎囊腫後面常有回音加強現象(distal acoustic enhancement)
68.下列有關移植腎臟之超音波檢查的敘述,何者錯誤? (A)一般移植腎臟的大小比原來的大 (B)移植腎之皮質會比病人本身腎臟之皮質寬、厚 (C)須同時評估其周圍是否有積液 (D)一般而言,正常之移植腎,其腎實質部分與集尿系統並無清晰之界限
69.下列各組織回音強度比較的選項中,何者正確? (A)腎皮質>腎髓質>胰臟>脾臟 (B)腎皮質>肝臟>胰臟>脾臟 (C)腎竇部>胰臟>脾臟>腎實質 (D)胰臟>腎髓質>肝臟>脾臟
70.下圖是CT影像品質的測試假體的影像。請問這張影像可以測得那些影像品質?①空間解析度 ②對比解析 度 ③切面厚度 ④CT值的線性度
(A)①② (B)①④ (C)②③ (D)③④
71.下圖是一種影像測試假體。請問此假體與下列那些項目有關?①對比解析度 ②空間解析度 ③雜訊 ④CT ⑤Radiography
(A)①④ (B)②⑤ (C)③④ (D)①⑤
72.下列何者之空間解析度最高? (A)每公分10線對(lp/cm) (B)每英吋20線對(lp/inch) (C)每像素代表0.1公分 (D)每像素代表0.05英吋
73.有一物體的實際尺寸是5公分,在磁振造影影像中的長度是4.5公分,則影像扭曲失真(distortion)的百分 比為何? (A)5% (B)6% (C)10% (D)11%
74.下列那種規格的顯示器,符合數位乳房攝影的最低需求?(以像素表示)①1280×800 ②1200×1800 ③ 1500 ×2000 ④2000 ×2500 (A)①②③④ (B)僅②③④ (C)僅③④ (D)僅④
75.下列何種數位影像的matrix size最大? (A)CR (B)MR (C)CT (D)FFDDM
76.下列何者為平面影像(2D)最著名之方塊壓縮技術之代表? (A)小波壓縮法(wavelet compression) (B)碎形壓縮法(fractal compression) (C)靜態影像壓縮標準法(JPEG standard) (D)變動長度編碼法(run length encoding)
77.最正確的診斷為下列何者? (A)腦瘤(brain tumor) (B)腦內出血(intracerebral hemorrhage) (C)腦梗塞(brain infarction) (D)腦炎(encephalitis)
78.承上題,這個病人下一步該做何種檢查才能正確診斷及適當治療? (A)數位贅減血管攝影(digital subtraction angiography,DSA) (B)CT-血管攝影(CT-angiography,CTA) (C)MR-血管攝影(MR-angiography,MRA) (D)不須再做其他檢查,即可做治療
79.請問 此檢查的靈敏度(sensitivity)是多少? (A)75.0% (B)76.2% (C)95.7% (D)97.9%
80.承上題,請問此檢查的特異性(specificity)是多少? (A)95.7% (B)76.2% (C)97.9% (D)75.0%
申論題 (0)
相關試卷
115年 - 115-1 專技高考_醫事放射師:放射線診斷原理與技術學#137344
115年 · #137344
114年 - 114-2 專技高考_醫事放射師:放射線診斷原理與技術學#128969
114年 · #128969
114年 - 114-1 專技高考_醫事放射師:放射線診斷原理與技術學#125124
114年 · #125124
113年 - 113-2 專技高考_醫事放射師:放射線診斷原理與技術學#121691
113年 · #121691
113年 - 113-1 專技高考_醫事放射師:放射線診斷原理與技術學#118731
113年 · #118731
112年 - 112-2 專技高考_醫事放射師:放射線診斷原理與技術學#115920
112年 · #115920
112年 - 112-1 專技高考_醫事放射師:放射線診斷原理與技術學#113162
112年 · #113162
111年 - 111-2 專技高考_醫事放射師:放射線診斷原理與技術學#109901
111年 · #109901
111年 - 111-1 專技高考_醫事放射師:放射線診斷原理與技術學#106212
111年 · #106212
110年 - 110-2 專技高考_醫事放射師:放射線診斷原理與技術學#99941
110年 · #99941