阿摩線上測驗
登入
首頁
>
放射線診斷原理與技術學
> 102年 - 102-2 專技高考_醫事放射師:放射線診斷原理與技術學#36654
102年 - 102-2 專技高考_醫事放射師:放射線診斷原理與技術學#36654
科目:
放射線診斷原理與技術學 |
年份:
102年 |
選擇題數:
80 |
申論題數:
0
試卷資訊
所屬科目:
放射線診斷原理與技術學
選擇題 (80)
1.進行嬰兒上消化道後前位攝影(PA)時,欲將胃體與胃幽門部分開重疊部位,則可如何做? (A)中心線改在第三腰椎 (B)X光管向頭打20~25度 (C)增加1/4鋇劑的濃度 (D)不使用發泡劑
2.最優良的胸部X光影像應該具備那些條件?①肩胛骨與肺臟重疊 ②C7在影像的正中心 ③肺尖 至肋膈角應包括在影像內 ④適當的灰階呈現 (A)①② (B)①④ (C)②③ (D)③④
3.“Scottie dog”的鼻子位置可對應何處解剖名稱? (A)橫突(transverse process) (B)椎莖(pedicle) (C)下關節突起(inferior articular process) (D)上關節突起(superior articular process)
4.下列何者不屬於急性腹部疼痛三張影像序列片(three-way)的攝影項目? (A)胸部側位影像 (B)腹部AP仰姿(AP supine) (C)腹部側位側躺姿(lateral decubitus) (D)胸部後前位(PA chest)
5.下列何種攝影會造成被照體最大之影像放大(magnification)? (A)Grashey method (B)Arcelin method (C)SMV projection (D)Rhese method
6.下列何者與膽道結石之攝影最無相關? (A)IVU (B)cholangiography (C)ERCP (D)MRCP
7.下列有關乳房放射攝影時X光管之靶與濾片的組合中何者錯誤? (A)鉬靶與銠濾片 (B)銠靶與鉬濾片 (C)鎢靶與銠濾片 (D)銠靶與銠濾片
複選題
8.下列有關C7~T1側面攝影之敘述何者錯誤? (A)可採用swimmer's position (B)直接採用lateral horizontal projection (C)可採用立姿側面攝影,雙手掛重物,並且自然下垂 (D)中心線宜設為60~72英吋
9.對於肩部外傷病人進行肩關節AP一般攝影時,肱骨大粗隆(greater tubercle)在影像中的位置應 為何? (A)靠身體內側 (B)位肱骨頭(humeral head)內側 (C)靠身體外側 (D)肱骨頭頂端
10.進行肩胛骨LPO或RPO拍攝其側位影像時,下列相關敘述何者正確? (A)身體應傾斜,與影像接收器之平面成75度 (B)射源至影像接收器的距離應為72英吋 (C)X光中心線應對準胸骨中央 (D)不建議使用自動曝露控制(automatic exposure control,AEC)
11.Internal acoustic canal在下列何種攝影中最易表現出? (A)Stenvers method (B)Law method (C)Towne method (D)Haas method
12.攝影時病患平躺,口張開,上排牙齒到乳突垂直檢查台,X光中線對準口部中央作投影。此乃檢 查下列何者? (A)上顎 (B)下顎 (C)第一、二頸椎 (D)顴骨
13.下列敘述何者正確? (A)腰椎椎骨關節突關節(zygapophyseal joint)與其正中矢狀面(MSP)之夾角介於70度~90度 (B)一般人之股骨頸與股骨幹之夾角約為150度 (C)當下肢完全伸直時,股骨下端與膝關節約存在1~2吋之間隙 (D)視神經孔(optic foramen)與正中矢狀面(MSP)之夾角為37度時,會與OML之夾角呈30度
14.下列何種攝影技術,較不適用於zygomatic arches攝影? (A)Stenvers method (B)submentovertex projection (C)tangential projection (D)modified Towne method
15.下列何者為傳統血管介入性診療術? (A)栓塞術(embolization) (B)經皮穿腎引流術(percutaneous nephrostomy) (C)腸道支架置放術(enteric stenting) (D)經皮脊椎成形術(percutaneous vertebroplasty)
16.病患進行腦部傳統血管攝影後,下列何者是最需要注意的事項? (A)絕對臥床休息4~6小時 (B)保持穿刺部位彎曲6小時 (C)24小時內只能進食液體食物 (D)6小時內進行腦部CT檢查
17.下列何者為數位透視攝影(digital radiography-fluoroscopy)優於傳統透視攝影(conventional film-screen fluoroscopy)之處? (A)需要使用片匣(cassettes) (B)只有一種成像格式(frame format) (C)病人之輻射曝露量較低 (D)不能用連續放映模式(cine-mode)
18.下列關於小腸鋇劑攝影(small bowel series)的描述,何者最不正確? (A)適應症包括小腸阻塞、不名原因腹痛及懷疑有小腸腫瘤者 (B)腸穿孔是小腸攝影的禁忌症 (C)先口服40%鋇劑600 mL後,每隔30分鐘觀察一次,直至鋇劑到達橫結腸 (D)需觀察小腸的輪廓、黏膜及其移動性
19.下列那一種小腸攝影(small intestine series)可以得到最好的雙重對比效果? (A)small bowel series only (B)upper GI-small bowel combination (C)enteroclysis (D)small bowel series with water-soluble contrast medium
20.在骨質密度(bone densitometry)檢查,病人的骨質密度與健康年輕人之平均值比較,稱為: (A)Z-score (B)T-score (C)N-score (D)P-score
21.關於細針抽吸(aspiration)活體檢查術之敘述,下列何者最不正確? (A)主要用以判定病變組織的良、惡性及其細胞學型態 (B)依病灶位置,可利用X光透視、超音波或電腦斷層影像導引下進行 (C)應抽吸大腫塊中心壞死部分 (D)抽吸空針應保持負壓,將穿刺針小幅度推拉數次,以利檢體抽吸
22.Synovial joints and related soft tissue structures的對比劑檢查是指: (A)血管攝影(angiography) (B)關節攝影(arthrography) (C)脊髓攝影(myelography) (D)腦池攝影(cisternography)
23.輸尿管有三處生理性狹窄,下列何者不包括在內? (A)輸尿管和腎盂交接處 (B)輸尿管和腎動靜脈交接處 (C)輸尿管和髂骨動靜脈交接處 (D)輸尿管和膀胱交接處
24.下列有關介入性血管成形術(angioplasty)的敘述,何者錯誤? (A)應注意預防血管破裂、穿孔、阻塞等可能之併發症 (B)需注意以氣球擴張血管腔時間的長短 (C)當血管成形術完成後,應即刻拔出導管,不應注射對比劑追蹤,以減少傷害 (D)血管成形術可應用於冠狀動脈、腎動脈或下肢動脈
25.IVU使用下列何種對比劑? (A)鋇劑 (B)含碘對比劑 (C)空氣 (D)二氧化碳
26.關於上消化道攝影病人之準備事項,下列何者錯誤? (A)成人通常需空腹至少8小時 (B)檢查前不可嚼口香糖 (C)檢查前不可以喝開水 (D)病人如果到室外吸菸解悶則不在禁止之列
27.上腸胃道攝影時,下列有關對比劑之敘述,何者錯誤? (A)大部分使用鋇劑 (B)鋇劑加水可變成濃稠之懸浮液 (C)鋇劑易溶於水 (D)疑似腸胃道穿孔病人,不應使用鋇劑
28.下列關於體位與臟器的敘述何者正確? (A)肥胖者大腸較下垂 (B)瘦小者橫膈膜較高 (C)肥胖者胃較高 (D)瘦小者膽囊偏高
29.下列何種管電壓(kVp)能量最適合用來進行2歲兒童之電腦斷層掃描檢查? (A)80 (B)100 (C)120 (D)140
30.下列何者最能正確診斷間質性肺病? (A)磁振造影 (B)超音波 (C)高解析度電腦斷層掃描 (D)血管攝影
31. 下圖電腦斷層影像中,箭號所示條紋狀較暗區域為何種假影?
(A)ring artifacts (B)metal artifacts (C)motion artifacts (D)beam-hardening artifacts
32.大動脈、大靜脈等流動中的血液在未注射對比劑CT呈現什麼density? (A)hyperdense to muscle (B)isodense to water (C)hypodense to fat (D)isodense to fat
33.下列有關CT的低對比解析度(low-contrast resolution)敘述,何者最正確? (A)主要是比較兩種不同密度物體之間的對比 (B)顯示低密度物體和背景間的分辨能力 (C)與物體的大小無關 (D)和傳統素片攝影的高對比解析度是相同的
34.進行CT檢查時,在其他參數不變下,mAs值增加,則下列敘述何者正確? (A)雜訊增加,空間解析度降低 (B)雜訊降低,空間解析度不變 (C)雜訊增加,空間解析度不變 (D)雜訊降低,空間解析度降低
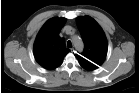
35.下圖中箭號所指示的位置為下列何者? (A)trachea (B)brachiocephalic vein (C)subclavian artery (D)esophagus
36.做腦部CT,注射對比劑後,下列顱內構造何者不會被顯影增強為高密度? (A)腦內動脈(intracerebral arteries) (B)小腦天幕(cerebellar tentoria) (C)腦室脈洛叢(chroid plexuses of ventricles) (D)腦室內脊髓液(CSF of ventricle)
37.下列何者最不適合使用非離子性含碘對比劑? (A)血清肌酸酐( creatinine)值為 0.9 mg/dL (B)年齡小於 5 歲 (C)多發性骨髓瘤 (D)年齡大於70歲
38.對懷疑有支氣管擴張之病患,最適合做下列那一項檢查? (A)血管攝影 (B)磁振造影 (C)電腦斷層攝影 (D)支氣管攝影
39.如果希望藉由CT angiography來評估血管狹窄程度及血管壁鈣化情形,以做為施行血管擴張術或 置放支架(stent)的參考,則下列何者較不適宜? (A)maximum intensity projection(MIP) (B)multiplanar reformation(MPR) (C)shaded surface display(SSD) (D)volume rendering(VR)
40.CT中若偵檢器的間距減少時,下列敘述何者正確? (A)偵檢器反應時間減少 (B)幾何效率減少 (C)病人接收劑量增加 (D)總偵測效率增加
41.CT(computed tomography)也可稱為: (A)computerized axial tomography (B)computerized slice tomography (C)computed section tomography (D)computer animation
42.通常未經後處理(post-processing)的CT影像切面為: (A)oblique image (B)transverse image (C)sagittal image (D)coronal image
43.在磁振造影中,欲降低切面厚度時,應降低以下何種參數值最正確? (A)pixel size (B)slice-select gradient strength (C)transmit RF bandwidth (D)phase-encoding gradient strength
44.下列有關脊椎磁振造影檢查的敘述,何者最正確? (A)對退化性椎間盤疾病,常需使用對比劑 (B)T2加權影像已完全可以診斷脊髓腫瘤,不需要使用對比劑 (C)使用對比劑作顯影增強時,經常使用抑制脂肪訊號技術之T1加權影像 (D)外傷病人使用對比劑增強可更呈現血腫(hematoma)
45.使用TR/TE=2000/30(單位:毫秒),matrix size=256 × 192(頻率編碼數 × 相位編碼數), NEX=2,ETL(echo train length)=6 之 MRI 造影參數所需的掃描時間為何? (A)192秒 (B)128秒 (C)256秒 (D)170.7秒
46.在 MRI 中使用反轉回復技術消除脂肪的訊號時,反轉時間(TI)應設定為下列何者? (A)TI=0.63×T1
fat
(B)TI=0.693×T1
fat
(C)TI=0.37×T2
fat
(D)TI=0.63×T2
fa
47.下圖為磁振影像,上方白色箭號所示為何種假影(artifact)?
(A)部份體積(partial volume) (B)反褶(aliasing) (C)週期性運動(periodic motion) (D)串擾(cross-talk)
48.下列何物質為ferromagnetic物質? (A)釓 (B)鎳 (C)水 (D)空氣
49.一影像之照野範圍(field of view)為256 mm,並使用矩陣(X軸×Y軸)為128 × 256,則下列敘 述何者正確? (A)在X軸方向之像素大小(pixel size)為1 mm (B)在Y軸方向之像素大小(pixel size)為1 mm (C)在Y軸方向之像素大小(pixel size)為0.5 mm (D)在X軸方向之像素大小(pixel size)為0.5 mm
50.下圖為MRI中磁矩M(magnetization)隨時間變化之關係圖。若以此TR及TE進行掃描,則下列有關影像中WM及 CSF訊號強度的敘述,何者正確?
(A)WM較大 (B)CSF較大 (C)兩者一樣大 (D)兩者均無訊號
51.在磁振造影中,下列何種物質在T1加權影像中會呈現高訊號? (A)變性血紅素(methemoglobin) (B)水腫(edema) (C)CSF (D)關節液(joint fluid)
52.下肢MRI檢查時發生箭號所指之假影,最可能的原因為何?
(A)截斷假影(truncation artifact) (B)脂肪訊號抑制(fat suppression)不均勻 (C)化學位移假影(chemical shift artifact) (D)磁矩轉換(magnetization transfer)假影
53.下圖為腰椎MRI影像,箭號所指最可能為何?
(A)骨刺(bony spur) (B)面關節(facet joint)退化性病變 (C)椎間盤突出(herniation of intervertebral disc) (D)脊椎腫瘤(spinal tumor)
54.一般成人注射約10~14 mL之磁振造影對比劑後,氫原子的何種特性最不會受到影響? (A)T1、T2與T2* (B)T1與T2 (C)僅T2* (D)僅T2
55.減少receiving bandwidth,會使MRI影像產生何種變化? (A)增加影像對比度 (B)增加化學位移假影 (C)減少影像訊號強度 (D)降低影像解析度
56.根據採樣定律(sampling theorem),採樣率需多少才能確保訊號不失真? (A)需高於1/2的訊號最高頻率 (B)需低於1/2的訊號最低頻率 (C)需低於兩倍的訊號最低頻率 (D)需高於兩倍的訊號最高頻率
57.下列關於超音波探頭的選擇,何者錯誤? (A)成人肝臟可用3.5 MHz的凸型或扇形探頭掃描 (B)兒童一般可用5.0 MHz的凸型或扇形探頭掃描 (C)產科超音波掃描,3.5 MHz探頭適用於懷孕早期;而5 MHz適用於懷孕晚期 (D)對新生兒的腦部掃描以7.5 MHz的扇形探頭較適合
58.一般正常下肢動脈之頻譜應為何? (A)高阻力之triphasic or biphasic波形 (B)低阻力之monophasic波形 (C)連續波形 (D)隨呼吸而變之低阻力波形
59.下列關於超音波的敘述,何者錯誤? (A)超音波是每秒超過10 kHz的一種高頻音波 (B)超音波所產生的音波是人耳聽不到的 (C)診斷用超音波為縱波 (D)超音波會以不同速度穿過人體的不同組織
60.超音波在人體軟組織的傳導速度約為多少m/sec? (A)520 (B)1030 (C)1540 (D)2050
61.70歲女性病人,因腹痛就診。超音波檢查時發現腹主動脈(矢狀切面)有異常如下圖,箭號所指最可能的 假影為何?
(A)側葉假影(side lobe artifact) (B)鏡像假影(mirror image artifact) (C)反褶效應假影(aliasing artifact) (D)回音增強現象(acoustic enhancement)
62.下列有關肝內血管瘤(hepatic hemangioma)的敘述,何者最正確? (A)超音波影像中,血管瘤的回音不會比肝實質高 (B)較常呈現平滑的外圈 (C)肝靜脈會嚴重擴張 (D)週邊會有脂肪堆積
63.超音波胰臟掃描時,下列那一條血管是最常作為參考之指標? (A)肝動脈 (B)門靜脈 (C)肝靜脈 (D)脾靜脈
64.下列關於腎臟移植超音波檢查的敘述,何者錯誤? (A)移植腎通常置於髂骨窩 (B)移植腎之血管通常連接到髂骨血管(iliac vessels) (C)與原始病人之腎臟比較,移植腎之皮質較薄 (D)移植腎較不易被腸氣阻擋
65.下列何者不是膽囊結石在超音波掃描時的特性? (A)結石可能會隨著姿勢的改變而移動 (B)結石後方無回音 (C)結石呈現高回音性 (D)常會伴隨膽囊壁之增厚
66.為了測試超音波的幾何精準度,在測試假體中的那兩個項目必須詳細載明?①反射體 (reflector)的位置 ②音波在假體中的速度 ③假體材料對音波的衰減性質 ④假體材料對反 射聲波的特性(echogenicity) (A)①③ (B)②④ (C)①② (D)③④
67.下列有關病人因肚臍膨出而接受超音波檢查之敘述,何者錯誤? (A)疝氣而造成肚臍膨出,常因前腹筋膜張力鬆弛或缺陷造成 (B)前腹筋膜之缺陷造成前腹壁疝氣,其缺陷愈大,愈容易造成血管壓迫,而形成腸缺血 (C)肚臍疝氣(umbilical hernia)之內容物可能為腸子或腸系(繫)膜 (D)前腹壁疝氣,可肇因於腹部手術
68.下列有關膽道超音波檢查之敘述,何者錯誤? (A)正常總膽管直徑應小於6 mm (B)膽囊切除的病人,其總膽管直徑可能擴張至1公分左右,亦為正常 (C)膽管通常與門靜脈倂行 (D)總肝管(common hepatic duct)通常位於門靜脈的後方
69.進行超音波檢查時,選擇較高頻率的探頭可以達成下列何種結果? (A)增加穿透的深度 (B)增加影像解析度 (C)減少顯像的頻率(frame rate) (D)增加音束的波長
70.腎臟超音波檢查時,下列關於腎臟回音性的敘述,何者錯誤? (A)正常腎皮質之回音比胰臟實質回音低 (B)腎臟實質部分之厚度正常應大於1.3公分 (C)正常腎髓質錐體(medullary pyramid)之回音較皮質高 (D)正常腎臟回音,以腎竇(renal sinus)最高
71.乳房攝影的可見光照野和X光照野必須對齊,在胸壁側其容忍的誤差必須在多少百分比SID (source-to-imager distance)以內? (A) 2 (B) 3 (C) 4 (D) 5
72.下列何者與一般放射診斷攝影之影像解析度無關? (A)攝影儀器的調制轉換函數(modulation transfer function,MTF) (B)單位距離內之可辨識線對數(如:lp/mm) (C)X光射束之半值層(如:mm-Al) (D)單一像素代表之空間距離(如:mm/pixel)
73.2002年後,美國放射學院(ACR)要求乳房攝影X光機使用自動曝露控制(automatic exposure control,AEC)時,照射2至6公分厚度的假體,所造成影像上的光密度(OD)之再現性 (reproducibility)測試結果不可超過多少? (A)± 0.30 (B) ±0.20 (C)± 0.15 (D)± 0.10
74.下列那個機構致力於醫療資訊標準的整合與應用? (A)ACR/NEMA (B)HIPPA (C)IHE (D)HIMSS
75.下列有關影像壓縮的敘述何者錯誤? (A)可以減少儲存空間 (B)可以提高影像鑑別率 (C)可以減少傳輸時間 (D)壓縮方法可分為失真(lossy)和非失真(lossless)二類
76.關於遠距放射診斷(teleradiology),下列敘述何者錯誤? (A)遠端的放射醫師藉由網路系統看到醫療影像以診斷病情,屬於簡易型遠距放射診斷 (B)近端的檢驗所(醫院)可根據遠端放射醫師的意見開立處方 (C)遠距放射診斷可支援沒有足夠醫師的醫院 (D)涉及影像存取但無須知道病患病歷的遠距放射診斷,是複雜度最高的
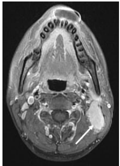
77 (A)聽神經瘤(acoustic neurinoma) (B)顏面神經瘤(facial neurinoma) (C)中耳膽脂瘤(cholesteatoma) (D)鼻咽癌(nasopharyngeal carcinoma)
78. 承上題之病人,下圖白色箭號所指的最可能為何?
(A)聽神經瘤(acoustic neurinoma) (B)顏面神經瘤(facial neurinoma) (C)中耳膽脂瘤(cholesteatoma) (D)淋巴結轉移(metastatic lymphadenopathy)
79 (A)apparent diffusion coefficient(ADC) (B)suspceptibility weighted imaging(SWI) (C)diffusion-weighted imaging(DWI) (D)gradient echo(GRE)sequence
80.承上題,箭號所指的解剖位置是由下列何者供應血液? (A)大腦中動脈(middle cerebral artery) (B)大腦後動脈(posterior cerebral artery) (C)小腦後下動脈(posterior inferior cerebellar artery) (D)大腦前動脈(anterior cerebral artery)
申論題 (0)
相關試卷
115年 - 115-1 專技高考_醫事放射師:放射線診斷原理與技術學#137344
115年 · #137344
114年 - 114-2 專技高考_醫事放射師:放射線診斷原理與技術學#128969
114年 · #128969
114年 - 114-1 專技高考_醫事放射師:放射線診斷原理與技術學#125124
114年 · #125124
113年 - 113-2 專技高考_醫事放射師:放射線診斷原理與技術學#121691
113年 · #121691
113年 - 113-1 專技高考_醫事放射師:放射線診斷原理與技術學#118731
113年 · #118731
112年 - 112-2 專技高考_醫事放射師:放射線診斷原理與技術學#115920
112年 · #115920
112年 - 112-1 專技高考_醫事放射師:放射線診斷原理與技術學#113162
112年 · #113162
111年 - 111-2 專技高考_醫事放射師:放射線診斷原理與技術學#109901
111年 · #109901
111年 - 111-1 專技高考_醫事放射師:放射線診斷原理與技術學#106212
111年 · #106212
110年 - 110-2 專技高考_醫事放射師:放射線診斷原理與技術學#99941
110年 · #99941