阿摩線上測驗
登入
首頁
>
放射線診斷原理與技術學
> 103年 - 103-2 專技高考_醫事放射師:放射線診斷原理與技術學#36567
103年 - 103-2 專技高考_醫事放射師:放射線診斷原理與技術學#36567
科目:
放射線診斷原理與技術學 |
年份:
103年 |
選擇題數:
80 |
申論題數:
0
試卷資訊
所屬科目:
放射線診斷原理與技術學
選擇題 (80)
1.下列何者可拍攝出右側最佳肩胛骨的Y字形結構? (A)RAO (B)lateral projection (C)Neer method (D)Lawrence method
2.胸部X光照相應採站姿的理由為何?①讓橫膈更能向上移動 ②顯示可能存在胸中的空氣和液體 界面 ③避免肺血管的過度充盈(engorgement) (A)僅①③ (B)①②③ (C)僅② (D)僅②③
3.下列身體地標(body landmarks)由下往上排列何者正確? (A)iliac crest→inferior costal margin→xiphoid process→jugular notch (B)greater trochanter→ASIS→iliac crest→ischial tuberosity (C)sternal angle→vertebra prominens→jugular notch→ASIS (D)inferior costal margin→iliac crest→ASIS→symphysis pubis
4.下列何種姿勢拍攝病人頭部時,採行三點貼片法(three-point landing position)? (A)Rhese method (B)Waters method (C)Caldwell method (D)Haas method
5.請選出此影像的照射方法?
(A)SMV(submentovertex)projection (B)Towne method (C)Caldwell method (D)Waters view
6.CR的造影板(IP)須達到多少百分比的曝露量方可正確呈現曝露指標(exposure index)? (A)15% (B)30% (C)60% (D)80%
7.拍攝膝蓋之intercondylar fossa時,採用下列何種方法病人較容易配合? (A)Holmblad method (B)Hughston method (C)Camp Coventry method (D)Settegast method
8.下列何項乳房攝影儀的品質保證測試需要使用鋁片? (A)假體影像分析 (B)洗片機測試 (C)射束半值層 (D)自動曝光控制功能
9.針對下列何種目標進行放射診斷攝影時,所使用的管電壓峰值最低? (A)成人手指 (B)嬰幼兒胸部 (C)乳房 (D)鼻骨
10.Law method進行乳突(mastoid)攝影時,下列敘述何者錯誤? (A)中心射束向頭打15度 (B)中心射束對準外耳道(external acoustic meatus,EAM)後上方1英吋處 (C)需要使用鉛柵(grid或bucky) (D)管電壓峰值約為70~80 kVp
11.骨盆腔前後軸向出口投影(AP axial "outlet" projection)攝影時,主射束照射方向應採用下列何 種角度? (A)直接垂直於影像接收裝置 (B)向頭部傾斜20~45度 (C)向腳部傾斜40~55度 (D)向頭部傾斜5~15度
12.對手腕(wrist)進行一般放射診斷攝影時,射源與影像接收器的距離應設定為多少英吋? (A)40 (B)100 (C)72 (D)180
13.下列何種攝影技術不適用於顏面骨(facial bones)檢查? (A)lateral projection (B)Waters method (C)PA projection (D)Haas method
14.進行頸部血管攝影時,下列何者為術前準備最必要的項目? (A)肌酸酐(creatinine) (B)胸部X光檢查 (C)紅血球數目 (D)頸部X光檢查
15.病患對含碘對比劑有嚴重的過敏,則下列何種元素的化合物可以被替代使用於數位減贅血管攝影 (digital subtraction angiography)? (A)鈣(calcium) (B)釓(gadolinium) (C)鐵(iron) (D)銀(silver)
16.下列何種放射攝影檢查不具診療作用? (A)pelvimetry (B)TIPS (C)PTCA (D)THAE
17.下列關於靜脈注射泌尿道攝影(IVU)之敘述,何者最不正確? (A)檢查前應避免吃含渣食物,前一晚需服用瀉藥清潔腸道 (B)注射對比劑前需先攝影腹部素片,以作為注射後影像之比較 (C)適應症含不明原因之急性腎衰竭 (D)禁忌症含碘過敏者及甲狀腺功能亢進患者
18.下列何者是胰管撕裂傷的最理想影像診斷工具? (A)MRCP (B)MDCT (C)ERCP (D)PTC
19.在雙重對比上消化道攝影(double contrast UGI series)中,所用之陽性(positive)對比劑為 下列何者? (A)鋇劑 (B)含碘對比劑 (C)空氣 (D)二氧化碳
20.進行T-tube膽道檢查的禁忌症為何? (A)膽管狹窄 (B)膽管內殘留的結石 (C)膽管口徑過大 (D)急性膽道感染
21.施行雙對比劑上消化道攝影檢查(UGI series)時, 病人採仰臥左後斜位(LPO),則下列何部 位會呈現雙對比效果? (A)gastric fundus (B)gastric upper body (C)prepyloric antrum and duodenal bulb (D)lower esophagus
22.下列關於結腸鋇劑灌腸攝影(barium enema of colon)的敘述,何者最不正確? (A)適應症含巨腸症(megacolon)以及結腸腫瘤 (B)不適宜檢查急性結腸憩室炎之患者 (C)經肛門灌注稀釋硫酸鋇使大腸充盈,觀察其充盈像,然後使鋇劑排出,觀察其黏膜像 (D)為避免病患接受過多輻射劑量,不需要使用透視觀察,待鋇劑全部灌完後,再開始照相檢查
23.於成人之靜脈注射含碘對比劑時,最常用下列何種大小(gauge)之注射針? (A)14~16 (B)18~20 (C)22~24 (D)26~28
24.在PCN確定扎入renal collecting system後,下列那一種影像工具最常用於監看guide wire和 catheter的操作? (A)CT (B)sonography (C)fluoroscopy (D)MRI
25.下列有關脊髓攝影的敘述,何者錯誤? (A)為一侵襲性檢查 (B)對比劑的使用須先考慮非離子性、水溶性 (C)水溶性對比劑注入脊髓後須充分與脊髓混合,故須等待4~5小時再攝影 (D)常規之頸部脊髓攝影應包括平行射線(cross table)側位攝影
26.下列何者須藉由十二指腸內視鏡來達成? (A)ERCP (B)PTC (C)MRCP (D)operative cholangiography
27.在淋巴攝影(lymphography)時,為顯示淋巴結之影像,約在打對比劑後多少時間照相? (A)1小時 (B)12小時 (C)24小時 (D)48小時
28.Hysterosalpingography(HSG)在不孕症的檢查,主要是在檢視何者之通暢性? (A)子宮腔 (B)子宮頸 (C)輸卵管 (D)陰道
29.下列那一項最適合處置因腎動脈狹窄引起之腎血管性高血壓? (A)經皮穿肝膽道引流術(PTCD) (B)血管成形術(PTA) (C)經頸肝內門脈系統分流術(TIPS) (D)經皮穿腎引流術(PCN)
30.使用內視鏡施行膽道及胰管之攝影檢查,稱為: (A)MRCP (B)PTC (C)PTCD (D)ERCP
31.下列有關上消化道攝影(UGI),病人檢查前預備事項(patient preparation)的敘述,何者正 確? (A)病人完全不需禁食 (B)病人在禁食期間可吸菸 (C)病人在作檢查前,吃口香糖有益於檢查 (D)通常早上施行之檢查,病人需從前一天半夜(midnight)開始禁食
32.針對一個體重低於 15公斤之嬰幼兒,施行胸部電腦斷層檢查,下列攝影條件何者最適宜? (A)80 kV,40 mAs (B)100 kV,120 mAs (C)120 kV,200 mAs (D)140 kV,300 mAs
33.施行電腦斷層檢查時,下列何者並非多排層偵測器電腦斷層(MDCT)的優點? (A)快速取得資料 (B)減少移動假影 (C)改善空間解析度 (D)切片越薄,半影效應之輻射劑量越少
34.下列有關電腦斷層和X光素片比較之敘述,何者最正確? (A)電腦斷層有較佳之空間解析度(spatial resolution) (B)電腦斷層有較佳之對比解析度(contrast resolution) (C)電腦斷層有較低之輻射劑量(radiation dose) (D)電腦斷層有較少之影像張數
35.CT掃描20公分的涵蓋範圍,使用相同的kVp及mAs時,下列何者的輻射劑量最大?(T代表CT的 偵測器之偵測寬度,M代表每轉一圈檢查台移動的距離,單位:公分) (A)T=5,M=5 (B)T=10,M=2.5 (C)T=2.5,M=10 (D)T=2,M=4
36.CT的組像FOV是32 cm時,其影像的極限解析度是多少lp/cm?(影像矩陣為512 × 512) (A)32 (B)16 (C)8 (D)4
37.接受腹部電腦斷層檢查時需口服對比劑,下列敘述何者最正確? (A)口服對比劑為脂溶性對比劑,不需稀釋口服 (B)口服對比劑為水溶性對比劑,需稀釋後口服 (C)口服對比劑為鋇劑(barium) (D)腸阻塞病人不能服用口服對比劑
38.進行腦部CT灌流(perfusion)檢查時,攝影時間通常會依不同機型而不同,在16~64排CT時, 通常建議掃描間期(duration)最好為下列何者? (A)3分鐘 (B)2分鐘 (C)40秒 (D)10秒
39.下列何者最常用於腦部 CT成像掃描定位? (A)眶蝶骨線(orbital-sphenoid line) (B)眶耳道線(orbital-meatal line) (C)眶岩線(orbital-petrous line) (D)眶篩線(orbital-ethmoid line)
40.Helical CT成像的方式是採用: (A)slice by slice scanning (B)volume scanning (C)random scanning (D)tilt scanning
41.下列那一種CT的X光管與病床的移動是同時進行? (A)third-generation CT (B)fourth-generation CT (C)fifth-generation CT (D)spiral CT
42.下列何種血管診斷技術需要使用對比劑? (A)血管內超音波掃描 (B)飛躍時間磁振血管造影(time-of-flight MRA) (C)相位對比磁振血管造影(phase contrast MRA) (D)多切面電腦斷層(MSCT)心臟血管攝影
43.多切面電腦斷層掃描檢查心臟鈣化指數時,像素之CT值須大於多少HU才屬於鈣化區域? (A)50 (B)75 (C)130 (D)185
44.下圖中箭號所指的構造為何?
(A)血管 (B)淋巴管 (C)支氣管 (D)肺泡
45.在磁振造影中,下列何方法可避免 aliasing artifact之發生? (A)過度取樣(oversampling) (B)取樣不足(undersampling) (C)取樣頻率(sampling frequency)至少要與訊號中之最高頻率相同 (D)取樣頻率(sampling frequency)至少要是訊號中之最高頻率一半
46.下列有關腦下垂體磁振造影檢查的敘述,何者最正確? (A)使用薄的切片厚度 (B)大的FOV (C)一律使用單次平均(average),以免掃描時間太長 (D)要增加切片間距離(gap)
47.磁振造影中快速梯度回音(fast gradient-echo)技術係藉一些方法來達成縮短時間,下列何者不 包括在內? (A)接收部分的回音 (B)部分的激發脈衝 (C)部分的激發次數 (D)減少接收頻寬
48.在磁振造影之k-space中,下列何者有最大的訊號(strongest signal)? (A)last line (B)center line (C)first line (D)second line
49.下列何者可以增加肝臟磁振影像中組織之對比雜訊比(contrast-to-noise ratio)? (A)使用對比劑 (B)使用T1加權影像 (C)不使用磁轉移(magnetization transfer)脈序 (D)不使用前置飽和(presaturation)脈序
50.腹部MRI檢查時發生左圖箭號所指之假影,改善後影像如右圖。左圖箭號所指之假影最可能的原因為何?
(A)梯度磁場不均勻(magnetic field inhomogeneity) (B)射頻脈衝不均勻(RF pulse inhomogeneity) (C)表面線圈選用不恰當(improper selection of surface coils) (D)身體或衣服上金屬異物(metallic foreign body)
51.胸椎MRI於T1WI顯示胸椎之T6及T10有病變,最有可能的診斷是:
(A)外傷性脊椎病變 (B)癌症轉移病灶 (C)脊椎體骨髓炎 (D)結核菌感染(TB spine)
52.CT影像呈現右腦腫瘤及周邊腦水腫如圖,下列有關此腦水腫在MRI訊號的敘述何者最不正確?
(A)T1WI低訊號 (B)FLAIR高訊號 (C)DWI高訊號 (D)T2WI高訊號
53.下列那種造影儀器可產生最大磁場? (A)阻抗磁鐵之磁振造影儀(MRI with resistive magnets) (B)永久磁鐵之磁振造影儀(MRI with permanent magnets) (C)超導磁鐵之磁振造影儀(MRI with superconductive magnets) (D)電腦斷層掃描儀(computed tomography)
54.在MRI中使用不對稱矩陣(asymmetrical matrix)(從256×256變成256×128)時,對影像的影 響為: (A)檢查時間增加,空間解析度增加 (B)檢查時間減少,空間解析度增加 (C)檢查時間減少,空間解析度減少 (D)檢查時間增加,空間解析度減少
55.下列關於MRI的相關敘述,何者正確? (A)長TR降低T2效應 (B)短TR長TE可產生質子密度影像(proton density image) (C)長TR增加T1效應 (D)短TE降低T2*效應
56.依據所附影像,下列敘述何者正確?
(A)orbit axial view,FSE-T1WI with fat saturation and contrast enhancement (B)orbit axial view,FSE-T2WI with fat saturation and contrast enhancement (C)orbit coronal view,FSE-T1WI with fat saturation (D)orbit axial view,FSE-T1WI with contrast enhancement
57.下列關於超音波掃描的敘述,何者錯誤? (A)體位影像標誌(body marker)有助於掃描部位與方向的確認 (B)掃描前應以一根手指頭放在探頭一端,可檢測探頭和螢幕上的相關方位 (C)橫切時,病人的左側應出現在螢幕上的右側 (D)縱切時,病人的頭側應出現在螢幕的右側
58.下列有關全腹部超音波掃描(pan-abdominal sonography)的敘述,何者最不適當? (A)檢查前宜避免內視鏡等需灌入空氣的檢查 (B)檢查成人胃部,受檢者可飲用 500~800 mL不含氣體的液體 (C)若要檢查骨盆腔,宜先將膀胱尿液排空 (D)應使用傳導膠(jelly),但需注意其溫度
59.下列有關甲狀腺超音波掃描的敘述,何者最不正確? (A)適應症為甲狀腺疼痛、腫大或摸到結節等 (B)檢查前須請病人禁食6~8小時 (C)病人採用仰臥姿勢,頸部向後伸展 (D)測量甲狀腺長度、寬度和深度,並觀察有無異常回音和結節
60.當超音波穿過生物軟組織,音波強度衰減與頻率的關係(dB/cm/MHz),下列敘述何者最正確? (A)選擇高頻率轉換器,衰減愈少 (B)選擇高頻率轉換器,不影響衰減 (C)選擇低頻率轉換器,衰減愈少 (D)頻率高低與音波衰減無關
61.下列何者最不是超音波診斷門脈高壓(portal hypertension)的徵象? (A)脾臟腫大 (B)脾靜脈內徑大於1.2公分 (C)腹水(ascites) (D)下肢靜脈曲張
62.下列關於腹部超音波掃描的敘述,何者錯誤? (A)掃描胰臟及骨盆腔前,給病人喝水有助於檢查 (B)一般成人選用5 MHz的探頭;兒童選用3.5 MHz的探頭 (C)掃描時,應隨時調整適當的增益(gain),以得到最佳的影像品質 (D)病人可以正常呼吸,但檢查特殊器官時,病人有時需要閉氣
63.超音波掃描總膽管最主要是依靠下列那一條血管作為參考指標? (A)右肝靜脈 (B)門靜脈 (C)右肝動脈 (D)中肝靜脈
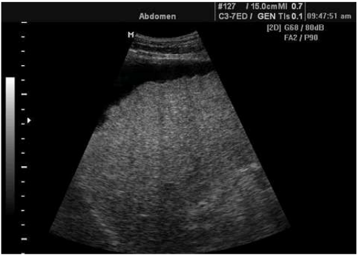
64.
一位50歲男性因為腹脹做腹部超音波檢查呈現如下圖,則下列敘述那一項最正確? (A)右側腎臟結石,合併輕微腎水腫(hydronephrosis) (B)肝臟呈現不均勻回音,合併腹水(ascites) (C)脾臟腫大,合併脾靜脈鼓脹(splenic vein engorgement) (D)胰臟發炎,合併胰管擴張(pancreatic duct dilatation)
65.40歲女性發現乳房腫塊,乳房超音波檢查呈現病灶如下圖,最有可能的診斷為下列何者?
(A)乳房膿瘍 (B)惡性腫瘤 (C)囊腫 (D)良性纖維腺瘤
66.下圖為 IVC 的超音波影像,此受檢者最可能的影像診斷結果為何?
(A)right cardiac insufficiency (B)SVC syndrome (C)normal cardiac function (D)IVC thrombus
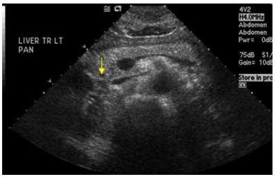
67.57歲女性病人,上腹部橫向超音波掃描如下圖,箭號所指最可能為何?
(A)上腸系(繫)膜動脈 (B)門靜脈 (C)總膽管 (D)下腔靜脈
68.正常的闌尾其最大外徑通常不超過: (A)2 mm (B)4 mm (C)6 mm (D)8 mm
69.下圖中箭號所指的低或無回音區域是?
(A)正常的腎臟包囊(renal capsule) (B)臨界角假影(critical angle artifact) (C)回音增強(acoustic enhancement) (D)腎動脈
70.音波穿透人體內行經下列何器官之速度最快? (A)小腸內之氣體 (B)肝臟 (C)肌肉 (D)脊椎骨
71.下列何種情況下,腎實質之超音波回音不會瀰漫增高? (A)慢性腎絲球腎炎 (B)類澱粉沉澱症(amyloidosis) (C)糖尿病性腎病 (D)局部腎膿瘍
72. 依據臺灣的法規,下圖的影像至少多久應測試一次?
(A)每日 (B)每週 (C)每月 (D)每年
73.測量60 kVp之X光的半值層厚度時,變更下列何者會改變其結果? (A)X光濾片材質 (B)X光管電流的高低 (C)X光曝光時間 (D)軟片種類
74.影像傳輸系統(Picture Archiving and Communication System, PACS)包含那些次系統?①擷 像系統 ②顯示系統 ③網路系統 ④儲存系統 (A)僅①② (B)僅①②③ (C)①②③④ (D)僅③④
75.影像矩陣的儲存中,若像素使用UINT8資料類別,則可儲存數值的範圍為何? (A)0~255 (B)0~4095 (C)-127~128 (D)-32768~32767
76.當數位影像的灰階值為133,將之以二進位表示,則應為多少? (A)10000101 (B)01010110 (C)10100001 (D)10010010
77 (A)左頸總動脈 (B)右頸總動脈 (C)左椎動脈 (D)右椎動脈
78.承上題,血管攝影圖中未呈現下列那一條血管? (A)右椎動脈 (B)左椎動脈 (C)前大腦動脈 (D)基底動脈
79 (A)蜘蛛網膜下腔出血(subarachnoid hemorrhage,SAH) (B)腦內出血(intracerebral hemorrhage,ICH) (C)腦瘤(brain tumor) (D)腦膜炎(meningitis)
80.承上題,這樣的病人下一步應再做何種檢查最適當? (A)數位化血管攝影(DSA) (B)CT-血管攝影(CTA) (C)MR-血管攝影(MRA) (D)不須再做其他檢查,即可做治療
申論題 (0)
相關試卷
115年 - 115-1 專技高考_醫事放射師:放射線診斷原理與技術學#137344
115年 · #137344
114年 - 114-2 專技高考_醫事放射師:放射線診斷原理與技術學#128969
114年 · #128969
114年 - 114-1 專技高考_醫事放射師:放射線診斷原理與技術學#125124
114年 · #125124
113年 - 113-2 專技高考_醫事放射師:放射線診斷原理與技術學#121691
113年 · #121691
113年 - 113-1 專技高考_醫事放射師:放射線診斷原理與技術學#118731
113年 · #118731
112年 - 112-2 專技高考_醫事放射師:放射線診斷原理與技術學#115920
112年 · #115920
112年 - 112-1 專技高考_醫事放射師:放射線診斷原理與技術學#113162
112年 · #113162
111年 - 111-2 專技高考_醫事放射師:放射線診斷原理與技術學#109901
111年 · #109901
111年 - 111-1 專技高考_醫事放射師:放射線診斷原理與技術學#106212
111年 · #106212
110年 - 110-2 專技高考_醫事放射師:放射線診斷原理與技術學#99941
110年 · #99941