阿摩線上測驗
登入
首頁
>
放射線診斷原理與技術學
> 104年 - 104-1 專技高考_醫事放射師:放射線診斷原理與技術學#36350
104年 - 104-1 專技高考_醫事放射師:放射線診斷原理與技術學#36350
科目:
放射線診斷原理與技術學 |
年份:
104年 |
選擇題數:
80 |
申論題數:
0
試卷資訊
所屬科目:
放射線診斷原理與技術學
選擇題 (80)
1.對有四肢外傷的病人照射患部X光影像時,應把握那些原則?①中心射線對準患部,需有兩張 呈90度的投照 ②必須翻轉患部,使之與影像接受器垂直 ③整個患部應包含於影像中 (A)僅①② (B)①②③ (C)僅①③ (D)僅②③
2.下列何種攝影姿勢,最適合第一、二頸椎病灶之診斷? (A)AP projection (B)oblique position (C)swimmer's position (D)open mouth projection
3.下列何者並非在傳統(screen-film)與數位(digital)放射診斷品質保證中,都需要進行測試 的項目? (A)射束半值層 (B)影像接收器感光速度的一致性 (C)影像解析度 (D)自動曝光控制功能
4.進行常規鎖骨(clavicle)之前後軸位攝影時,中心射束應對準鎖骨中央,並採取何種角度? (A)向頭5度~10度 (B)向頭15度~30度 (C)向腳10度~20度 (D)向腳25度~30度
5.以Stenvers method進行內耳道、顳骨骨性迷路及乳突氣室投射時,中心射線(CR)應呈何 角度通過貼片端之乳突部位? (A)垂直 (B)向頭12度 (C)向腳15度 (D)向腳37度
6.下列有關膝關節荷重攝影(weight-bearing projections)之描述,何者最正確? (A)中心線朝向臏骨尖端下方約1.25公分 (B)中心線朝向tibial plateau遠端約15~20度 (C)中心線朝向tibial plateau近端約15~20度 (D)手持20磅之重物
7.chest PA與chest AP的X光素片攝影比較時,下列描述何者錯誤? (A)chest PA時心臟較大 (B)chest PA時胸椎較不清楚 (C)chest PA時心臟較靠近影像接收裝置 (D)chest PA時肩膀應向前旋轉,使肩胛骨(scapula)不會與肺野重疊
8.下列何者最常應用空氣間隙法(air-gap)來降低散射輻射及增加影像品質? (A)C-spine lateral (B)L-spine AP (C)T-spine lateral (D)Coccyx AP
9.腰椎斜位攝影所呈現的“Scottie dog”的眼睛對應下列何解剖構造? (A)椎莖(pedicle) (B)橫突(transverse process) (C)下關節突起(inferior articular process) (D)上關節突起(superior articular process)
10.在進行移動攝影時(portable)通常採用鉛柵(grid)增加影像品質,請問在相同鉛柵比、相 同攝影條件下,下列那一選項產生之鉛切(cut off)現象最嚴重? (A)off-center grid (B)off-level grid (C)off-focus grid (D)upside down
11.採用下列何種姿勢進行前臂(forearm)一般放射攝影時,會使得尺骨(ulna)與橈骨 (radius)交叉重疊? (A)ulnar deviation (B)radial deviation (C)AP hand position (D)PA hand position
12.下列那一項最適合用於呈現少量肋膜積水? (A)Trendelenburg position (B)Fowler's position (C)supine AP projection (D)decubitus position
13.為測定兩側下肢長度之差異施行orthoroentgenography,需置一有金屬標記之長尺於下肢 旁,並攝影三個前後位影像,下列何者不包括在內? (A)hip (B)knee (C)ankle (D)foot
14.下列何種介入性檢查最常在電腦斷層導引下施行? (A)經皮穿肝膽道引流術(PTCD) (B)經皮切片術(percutaneous biopsy) (C)血管栓塞術(embolization) (D)血管成形術(angioplasty)
15.1歲以下嬰兒施行上消化道攝影,通常禁食多久最恰當? (A)2小時 (B)4小時 (C)6小時 (D)8小時
16.關於靜脈注射含碘造影劑(contrast medium)的敘述,何者最不正確? (A)一般來說,使用非離子性比離子性來得安全 (B)嚴重不良反應包括:休克、喉頭水腫、肺水腫及急性腎衰竭等 (C)絕對不會導致靜脈發炎 (D)對易過敏者應謹慎使用
17.醫師或放射師施行下列何種檢查時,可能會有較高輻射曝露劑量? (A)IVU(intravenous urography) (B)tomography of internal acoustic canal (C)lymphography (D)angiography
18.正常病患之食道攝影有二個壓痕(indentation),一為主動脈弓壓迫所致,另一則為下列何 者所造成? (A)氣管 (B)左支氣管 (C)橫膈膜 (D)左肺動脈
19.下列何者需由皮膚穿刺穿過肝臟來施行膽道攝影? (A)ERCP (B)MRCP (C)PTC (D)IVC
20.Hysterosalpingography較適宜檢查的時間為月經開始算起幾天? (A)6天以內 (B)7~10天 (C)11~14天 (D)15~21天
21.針對術中膽道攝影,下列何者可避開膽道跟脊椎的重疊? (A)AP (B)RAO (C)LAO (D)RPO
22.供應頭頸部血流的動脈是由下列那個構造分支出來的? (A)主動脈球(根部)(aortic bulb, root) (B)上行主動脈(ascending aorta) (C)主動脈弓(aortic arch) (D)下行主動脈(descending aorta)
23.下列那一項檢查適合用於膀胱輸尿管逆流? (A)順行性泌尿系統造影(antegrade urography) (B)靜脈注射泌尿系統造影(intravenous urography) (C)逆行性尿道造影(retrograde urethrography) (D)排尿膀胱尿道造影(voiding cystourethrography)
24.一位68歲男性,經超音波檢查發現患有右側水腎(hydronephrosis),懷疑同側輸尿管有阻 塞,則下列何種攝影最沒有診斷價值? (A)順行性泌尿系統造影(antegrade urography) (B)逆行性泌尿系統造影(retrograde urography) (C)排尿膀胱尿道造影(voiding cystourethrography) (D)靜脈注射泌尿系統造影(intravenous urography)
25.下列那一項不是脊髓造影(myelography)禁忌症? (A)顱內壓升高 (B)意識不清 (C)脊椎手術置入金屬後,發生腿部疼痛 (D)下背部有廣泛的蜂窩性組織炎
26.血管治療介入工作通常使用股動脈(femoral artery)穿刺後操作,但如使用其他部位穿刺如 腋動脈(Axillary artery),肱動脈(Brachial artery)或橈動脈(radial artery),可能增加 風險為: (A)血栓形成 (B)血管剝離 (C)神經傷害 (D)穿刺處出血
27.下列何種膽道攝影通常是在開刀房進行? (A)T-tube cholangiography (B)endoscopic retrograde cholangiography (C)percutaneous transhepatic cholangiography (D)operative cholangiography
28.下列那一血管通常不是直接源自於主動脈弓(aortic arch)? (A)right subclavian artery (B)left subclavian artery (C)left common carotid artery (D)brachiocephalic artery
29.下列針對嬰兒骨骼電腦斷層檢查之攝影條件中,何者最適當? (A)80 kV,40 mAs (B)100 kV,80 mAs (C)120 kV,120 mAs (D)140 kV,200 mAs
30.進行傳統軸向腦部CT掃描時,該打怎樣的角度? (A)人中耳洞連線(AML)角度約15° (B)眼球耳洞連線(OML)角度約15° (C)眼球耳洞連線(OML)角度約40° (D)人中耳洞連線(AML)角度約40°
31.在電腦斷層中,下列何者是計算CT值的最佳參考組織? (A)脂肪 (B)空氣 (C)肌肉組織 (D)水
32.下圖中箭號所指五角形解剖構造為下列何者?
(A)蝶鞍上腦池(suprasellar cistern) (B)四疊體腦池(quadrigeminal cistern) (C)第三腦室(third ventricle) (D)薛氏裂(Sylvian fissure)
33.Filtered back-projection的filter是為了: (A)消除高頻雜訊 (B)減少星狀假影 (C)消除條狀假影 (D)減少X光輻射
34.未注射對比劑的情況下,下列何種器官或組織的CT值(HU)最大? (A)脾臟 (B)脂肪 (C)膽汁 (D)肺臟
35.增加下列何者可以提升CT的空間解析度? (A)field of view(FOV) (B)矩陣(matrix) (C)像素尺寸(pixel size) (D)切片厚度(slice thickness)
36. 下圖中箭號所指高訊號位置的構造為何?
(A)門靜脈(portal vein) (B)總膽管(common bile duct) (C)下腔靜脈(inferior vena cava) (D)上腸繫膜靜脈(superior mesenteric artery)
37.腹部電腦斷層攝影呈現如下圖,下列有關箭號所指那一項最正確?
(A)脾臟 (B)胰臟 (C)腎臟 (D)肝臟
38.進行電腦斷層攝影時,下列那一項常用以幫助對胃部腫瘤分期的評估? (A)喝較高濃度含碘造影劑 (B)喝水使胃擴張 (C)飯後立即檢查 (D)注射濃度較低的含碘造影劑
39.下列有關胸部電腦斷層攝影之敘述,何者錯誤? (A)注射造影劑有利於分辨大血管與縱膈腔病變 (B)常利用高解析度電腦斷層攝影(HRCT)來評估間質性肺疾病 (C)對於肺動脈栓塞之診斷,必須注射造影劑 (D)不必注射造影劑,亦可診斷所有冠狀動脈狹窄
40.對於影像品質與攝影輻射劑量的關係何者錯誤? (A)雜訊降為一半、劑量需要增為4倍 (B)雜訊不變時、空間解析度增為2倍、劑量需要增為8倍 (C)雜訊不變時、切面厚度降為一半、劑量需要增為2倍 (D)雜訊降低與劑量增加無關
41.在Spiral CT,slice thickness主要與下列何者最有關? (A)Collimation(準直儀) (B)Pitch size(Pitch大小) (C)Table movement(床的移動) (D)Focal spot(焦斑大小)
42.CT scan中pitch=1,rotation time =1秒,假設scan time需要10秒,如果所有條件不變,將 pitch改為0.5,rotation time為0.5秒的 scanner,則需要多少scan time? (A)5秒 (B)10秒 (C)15秒 (D)20秒
43.當CT detector有故障,會出現何種假影? (A)Streaks artifact (B)Shading artifact (C)Rings and bands artifact (D)Metal artifact
44.下圖中CT影像所呈現為下列那一項window的設定?
(A)soft tissue (B)mediastinum (C)bone (D)lung
45.磁振神經束造影(MR tractography)係取自: (A)擴散造影(diffusion weighted imaging) (B)擴散張量造影(diffusion tensor imaging) (C)灌注造影(perfusion imaging) (D)流動造影(flow imaging)
46.下列有關selective RF(radiofrequency)pulse之敘述,何者最正確? (A)用於決定矩陣(matrix)大小 (B)與切面位置有關 (C)用於決定切面上X軸位置 (D)用於決定切面上Y軸位置
47.下列何者最無法減低磁振造影中的移動假影(motion artifacts)? (A)快速掃描(fast scanning) (B)使用鎮靜藥物(sedation) (C)3D造影(3D imaging) (D)流動補償(flow compensation)
48.頭部MRI檢查時發生箭號所指之假影,最可能的原因為何?
(A)截斷假影(truncation artifact) (B)血流假影(flow artifact) (C)反褶假影(aliasing artifact) (D)串擾假影(cross-talk artifact)
49.在臨床上使用含釓(Gd)的磁振造影對比劑,其最主要目的為何? (A)縮短T1弛緩時間 (B)增長T1弛緩時間 (C)縮短T2弛緩時間 (D)增長T2弛緩時間
50.下列何者不是組織壓抑(tissue suppression)的MRI技術? (A)fat-saturation (B)magnetization transfer (C)tilted optimized non-saturating excitation (D)fluid-attenuated inversion recovery
51.下列何者是MRI中發射或接收RF(radiofrequency)之器材? (A)RF繼電器 (B)RF線圈 (C)高壓線 (D)探頭
52.下列何者不是顱內磁振血管造影(MRA)使用的技術? (A)time-of-flight (B)phase contrast (C)contrast-enhanced (D)echo planar
53.下列何種磁振造影脈衝序列最適合鑑別畸胎瘤內之脂肪訊號? (A)T1 weighted image (B)T2 weighted image (C)short tau inversion recovery (D)fluid attenuation inversion recovery
54.在相同的解析度下,下列那一個MRI的脈衝序列擷取一張影像所需的時間最短? (A)gradient recalled echo (B)turbo spin echo (C)turbo fast low angle shot (D)echo planar imaging
55.下列何者無法改善MRI的chemical shift artifact? (A)改善RF shielding (B)使用fat suppression pulse (C)用較長的TE (D)增加取樣的頻寬(bandwidth)
56.有關避免MRI的wrap-around(aliasing)假影,下列何者錯誤? (A)縮小FOV (B)利用surface coil (C)使用no frequency/phase wrap技術 (D)使用presaturation pulses
57.下圖影像屬下列何種加權(weighted)影像?
(A)T1 weighted image (B)T2 weighted image (C)FLAIR image (D)proton density image
58.下列那一項最可能導致MRI共振頻率的改變? (A)回音時間(echo time,TE)的設定 (B)主磁場強度(strength of the main magnetic field) (C)接收器的設定(receiver setting) (D)重複時間(repetition time,TR)的設定
59.下列何者可以增加磁振造影影像的訊雜比(signal-to-noise ratio)? (A)使用較小的FOV (B)使用較薄切片厚度 (C)使用較窄的頻寬(bandwidth) (D)減少激發(excitation)次數
60.對於30歲以下或懷孕之女性,下列何種檢查為診斷乳房疾病最優先的選擇? (A)乳房X光攝影 (B)磁振造影 (C)乳房超音波掃描 (D)電腦斷層攝影
61.當使用7.5~10 MHz的探頭掃描甲狀腺時,音波的掃描深度最正確約為幾公分? (A)1~2 (B)4~5 (C)7~9 (D)10~12
62.欲提高超音波軸向解析力(axial resolution),則下列敘述何者錯誤? (A)提高聲波頻率 (B)縮短空間脈衝長度 (C)縮窄波寬(beam width) (D)拉大頻寬(bandwidth)
63.下列探頭之脈衝重複頻率(pulse repetition frequency)皆可產生 range ambiguity artifact, 惟何者所需之深度最淺? (A)5 kHz (B)0.01 MHz (C)0.03 MHz (D)20 kHz
64.下列有關乳房超音波影像特徵之敘述何者錯誤? (A)主要在分別囊腫和腫瘤 (B)良性腫瘤和惡性腫瘤可能依邊緣和病灶內回音作分辨 (C)不同壓力可能改變病灶形狀 (D)惡性腫瘤之腫瘤後回音多呈現回音增強或雙側邊陰影
65.40歲女性發現乳房腫塊,乳房超音波檢查呈現病灶如下圖,最有可能的診斷為下列何者?
(A)良性腫瘤 (B)囊腫 (C)淋巴結 (D)脂肪瘤
66.45歲女性病人,甲狀腺癌術後回來接受追蹤檢查。下圖為右下側頸部超音波橫切面,黃色箭 號所指為何?
(A)頸動脈 (B)淋巴結腫大 (C)頷下腺 (D)副甲狀腺
67.在正常情況下,下列那一項不屬於左上腹部的構造? (A)胃底部(fundus) (B)脾臟 (C)胰尾 (D)總膽管
68.在超音波掃描中使用的linear array transducer所發出之音波彼此之間相對關係為何? (A)互相平行 (B)互相垂直 (C)全部相交於一點 (D)分布成扇形
69.下列何種頻率之超音波探頭最適合乳房與甲狀腺檢查? (A)2~4 MHz (B)4~6 MHz (C)7~10 MHz (D)20 MHz
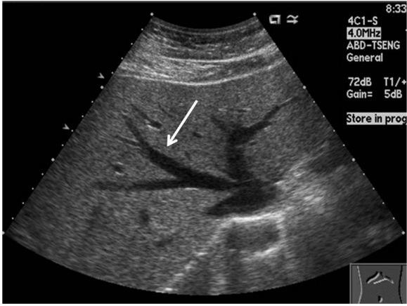
70.下圖為肝臟的超音波影像,圖中箭號所指為下列何者?
(A)肝動脈 (B)門靜脈 (C)肝靜脈 (D)肝內膽管
71.下圖為腹部之超音波影像,可能的變化為下列何者?
(A)膽管擴大 (B)肝囊腫 (C)肝腫瘤 (D)脂肪肝
72.都卜勒效應是一種頻率的改變所致,影響的因素不包括下列何項? (A)sound source (B)receiver (C)reflector (D)mass of tissue
73.下列那一項不是超音波掃描胰臟前禁食6到8小時的目的? (A)減少胃部內容物 (B)減少胃或腸管內空氣 (C)一併檢查膽道系統 (D)使胰臟體積變大
74.下圖為上腹部超音波影像,箭號所指可能結合發生在下列那一項?
(A)胰管 (B)總膽道 (C)肝內膽道 (D)膽囊
75.在輻射防護工作中,下列敘述何者錯誤? (A)1 rad等於10 Gy (B)roentgen為radiation exposure單位 (C)rad為病人所接受的劑量單位 (D)rem通常用於報告工作人員膠片配章的劑量單位
76.根據我國輻射醫療曝露品質保證標準之規定,水假體影像CT值準確度及假影評估(water CT number accuracy and artifact evaluation)應該多久實行一次? (A)每半年 (B)每季 (C)每月 (D)每日
77.下圖是CT品質保證的測試圖樣,請問此圖用於何種測試?
(A)雜訊與均勻度(noise and uniformity) (B)線性度(linearity) (C)對比解析度(contrast resolution) (D)空間解析度(spatial resolution)
78.下圖是主動式矩陣液晶顯示器(active matrix liquid crystal display, AMLCD)的一個像素 (pixel)橫切面圖。請問我們在顯示器前看到這個像素會呈現什麼顏色?
(A)全白 (B)淺灰 (C)深灰 (D)全黑
79.有一組向量為[ 0 0 0 1 0 0 0 0 ],若使用一 kernel為[ 1 2 3 2 8 ]進行full correlation之運算, 其結果應為下列何者?(A)
(B)
(C)
(D)
80.下列有關數位影像的敘述,何者正確? (A)一張MRI的影像檔案大小比DR的影像小 (B)數位影像的bit depth是決定檔案大小唯一的因素 (C)8 bits代表可以儲存0-99,999,999等八位數 (D)"12-bit per pixel"代表每個像素可以有12種程度的灰階
申論題 (0)
相關試卷
115年 - 115-1 專技高考_醫事放射師:放射線診斷原理與技術學#137344
115年 · #137344
114年 - 114-2 專技高考_醫事放射師:放射線診斷原理與技術學#128969
114年 · #128969
114年 - 114-1 專技高考_醫事放射師:放射線診斷原理與技術學#125124
114年 · #125124
113年 - 113-2 專技高考_醫事放射師:放射線診斷原理與技術學#121691
113年 · #121691
113年 - 113-1 專技高考_醫事放射師:放射線診斷原理與技術學#118731
113年 · #118731
112年 - 112-2 專技高考_醫事放射師:放射線診斷原理與技術學#115920
112年 · #115920
112年 - 112-1 專技高考_醫事放射師:放射線診斷原理與技術學#113162
112年 · #113162
111年 - 111-2 專技高考_醫事放射師:放射線診斷原理與技術學#109901
111年 · #109901
111年 - 111-1 專技高考_醫事放射師:放射線診斷原理與技術學#106212
111年 · #106212
110年 - 110-2 專技高考_醫事放射師:放射線診斷原理與技術學#99941
110年 · #99941