阿摩線上測驗
登入
首頁
>
醫學六:80題 ( 包括麻醉科,眼科,耳鼻喉科,婦產科,復健科等科目及其及相關臨床實例與醫學倫理 )
> 105年 - 105-2 專技高考_醫學(二):醫學(六)(包括麻醉科、眼科、耳鼻喉科、婦產科、復健科等科目及其相關臨床實例與醫學倫理)#54819
105年 - 105-2 專技高考_醫學(二):醫學(六)(包括麻醉科、眼科、耳鼻喉科、婦產科、復健科等科目及其相關臨床實例與醫學倫理)#54819
科目:
醫學六:80題 ( 包括麻醉科,眼科,耳鼻喉科,婦產科,復健科等科目及其及相關臨床實例與醫學倫理 ) |
年份:
105年 |
選擇題數:
80 |
申論題數:
0
試卷資訊
所屬科目:
醫學六:80題 ( 包括麻醉科,眼科,耳鼻喉科,婦產科,復健科等科目及其及相關臨床實例與醫學倫理 )
選擇題 (80)
1.氣管內管插管(endotracheal tube intubation)過程往往容易有併發症的發生,學界提出了處置過程中應該遵循的四大原則, 以減少氣管內管插管相關併發症的發生或是降低其嚴重程度。此四大原則,何者的優先性被列為最高? (A)預防外傷原則(prevent trauma)/插管前必須將所有預防外傷的條件最佳化(optimization),避免插管所導致的外傷 (B)充分充氧原則(oxygenation)/插管前必須進行前給氧(preoxygenation),插管之間應以面罩通氣方式給氧 (C)備份計畫原則(backup plans)/開始插管之前就應準備好應變的備份計畫,包括終止插管與取消手術在內 (D)儘速求救原則(call for help)/插管過程若遇到任何處置上的困難,就應該立即尋求所有可能的協助
2.潮氣末二氧化碳分壓(End-tidal CO
2
, P
ETCO2
)測量儀可以偵測病患吐氣末端氣體中二氧化碳分壓來進行呼吸監測。下列何者最不可能是手術麻醉期間突發性潮氣末二氧化碳分壓銳減的病因?(A)呼吸管脫落(circuit disconnection)(B)過度換氣(hyperventilation)(C)心輸出量突減(abrupt decrease in cardiac output)(D)呼吸道阻塞(airway obstruction)
複選題
3.在病人接受全身麻醉施行胸腰脊椎側彎(scoliosis)矯正手術時,下列何方法對脊椎神經功能監測最可靠? (A)motor evoked potentials (B)somato-sensory evoked potentials (C)electromyography (D)wake-up test
4.下列何者無法加速麻醉的攝取(uptake)? (A)使用脂溶性較高的吸入性麻醉劑 (B)增加病患心輸出量 (C)增加肺泡與靜脈的吸入性麻醉劑分壓差 (D)增高病人體溫
5.下列有關使用吸入性麻醉劑時,因血中腎上腺素增加而引起心律不整的敘述,何者錯誤? (A)目前halothane仍然是腎上腺素敏感閾值(threshold)最低的藥物 (B)sevoflurane和desflurane所需引發心律不整的血中最低腎上腺素濃度是差不多的 (C)isoflurane比sevoflurane更容易引發這類的心律不整 (D)主要機制與心肌上的甲乙型腎上腺接受器(α1Aand β adrenoreceptor)無關
6.少子化是國人明顯的趨勢,而國人對生產的要求也愈來愈高,下列有關自然產止痛的敘述,何者錯誤? (A)可靜脈給予類鴉片類止痛藥 (B)可硬脊膜外給予類鴉片類止痛藥與局部麻醉藥 (C)可合併使用硬脊膜與脊椎內止痛術 (D)絕對不會使用到全身麻醉
7.雖然當日手術(ambulatory surgery)不須住院,可以減少許多醫療支出費用;不過麻醉、開刀後一旦發生下列何狀況,應考 慮延遲出院或住院?①嚴重的噁心、嘔吐 ②不穩定的血壓 ③嚴重疼痛尚未獲得控制 ④預期外的手術後遺症 (A)僅②④ (B)僅②③ (C)①②③④ (D)僅③④
8.根據2006年美國麻醉醫師學會操作指引(The American Society of Anesthesiologists Practice Guidelines,2006),建議病人 需要輸血操作條件之敘述,何者錯誤? (A)病人血色素小於6 g/dL的病人,特別是急性貧血情況,幾乎是所有病人都達到需要進行緊急輸血的條件 (B)病人血色素大於10 g/dL時,原則幾乎不必考慮輸血 (C)當病人血色素介於6~10 g/dL之間,應由病人發生缺氧併發症的風險,決定是否輸紅血球 (D)病人在使用異體輸血(allogeneic RBCs)為病人輸血所設定的適應症,應較使用自體輸血(autologous RBCs)時更有寬鬆 且自由,因為前者異體輸血的安全性較高
複選題
9.眼底檢查發現牛眼狀黃斑病變(bull’s eye maculopathy),常與下列何種疾病相關? (A)氯奎寧視網膜病變(chloroquine retinopathy) (B)囊狀黃斑部水腫(cystoid macular edema) (C)中央視網膜動脈阻塞(central retinal artery occlusion) (D)老年性黃斑病變(age-related macular degeneration)
10.下列那一種眼藥可用來鑑別結節狀上鞏膜炎(nodular episcleritis)與結節狀鞏膜炎(nodular scleritis)? (A)副交感神經抑制劑(如tropicamide) (B)乙型交感神經抑制劑(如timolol) (C)副交感神經興奮劑(如pilocarpine) (D)交感神經興奮劑(如phenylephrine)
11.Beta-adrenergic blocking agents眼藥水如0.5% Timolol maleate,可抑制房水的產生,為降低眼壓之藥物,但病人有下列何種 疾病時絕對不能使用(major contraindication)? (A)腦中風(stroke) (B)氣喘(asthma) (C)高血壓(hypertension) (D)糖尿病(diabetes mellitus)
12.下列何者不應該是兒童調視性內斜視(refractive accommodative esotropia)的治療原則? (A)儘早戴上度數完全矯正的遠視眼鏡 (B)看近物時,還可加配雙光(bifocals)眼鏡矯正 (C)若併有斜視性弱視,則最好再加上遮閉療法(occlusion therapy) (D)儘早開刀矯正,一勞永逸,並免得造成弱視
13.下列何種方式對弱視的治療較無效? (A)遮閉(occlusion)療法(遮住好眼) (B)禁制(penalization)療法(好眼點atropine眼藥水) (C)屈光配鏡(optical devices) (D)注射肉毒桿菌素(botulinum toxin)於弱視眼
14.下列有關眼外肌(extraocular muscles)之敘述,何者錯誤? (A)四條直肌(rectus muscles)的起始點(origins)均在眼窩尖(orbital apex)之Zinn氏環(annulus) (B)四條直肌的終止點(insertions)均在眼球赤道部(equator)之前 (C)兩條斜肌(oblique muscles)的終止點均在眼球赤道部之後 (D)上斜肌(superior oblique muscle)使眼球看斜上、下斜肌(inferior oblique muscle)使眼球看斜下
15.下列關於糖尿病視網膜病變(diabetic retinopathy)何者錯誤? (A)漸進性的微小血管變化(microangiopathy) (B)點狀出血、棉絮狀斑點(cotton wool spot)及視網膜新生血管皆為非增殖型糖尿病視網膜病變(Non-proliferative diabetic retinopathy)的眼底變化 (C)合併黃斑部水腫會造成視力喪失 (D)罹患糖尿病時間越久,併發糖尿病視網膜病變的機率越高
16.一位七十歲女性,左側下眼瞼紅腫疼痛三天,最明顯壓痛點在左鼻側及內眥間有一堅硬紅腫突起,下列敘述何者錯誤? (A)最有可能的診斷為急性淚囊炎(acute dacryocystitis) (B)造成此疾病最常見的病原菌為放射菌(Actinomyces israelii) (C)若未及時以抗生素治療,可能會導致眼窩蜂窩性組織炎 (D)此疾病若反覆發作,須考慮於緩解期做淚囊鼻腔吻合術(dacryocystorhinostomy)
17.媽媽抱著1個月的嬰兒前來就診,男嬰的右耳耳廓發育不良比正常小很多,且無外耳道。左耳外觀及耳膜均正常,這時接下來 的處置,何者最適當? (A)耳部高解析度電腦斷層檢查 (B)耳道及外耳整型手術 (C)選配骨導式助聽器 (D)聽性腦幹誘發電位檢查評估聽力
18.一個18歲女孩穿耳環在耳廓上部,引起耳廓化膿性軟骨膜炎(perichondritis of auricle),下列何者為最可能致病的菌種? (A)Streptococcus pneumoniae (B)Haemophilus influenzae (C)Pseudomonas aeruginosa (D)Klebsiella pneumoniae
19.鼻竇炎引起眼球併發症中,下列何者是最常培養出來的菌種? (A)綠膿桿菌(Pseudomonas aeruginosa) (B)白黴菌(mucormycosis) (C)葡萄球菌(Staphylococcus) (D)流行感冒嗜血桿菌(Haemophilus influenzae)
20.一位70歲女性病人,因糖尿病控制不好,住院治療中,她過去10年內曾接受子宮肌瘤切除手術及雙側慢性鼻竇炎之內視鏡手 術,2天前突感右鼻孔腫脹,鼻塞,右眼視力模糊,眼後脹痛及眼球移動會痛,體溫38.5℃,無牙痛及臉頰腫痛。最可能之病 因為何? (A)上頜竇炎 (B)篩竇炎 (C)篩動脈栓塞 (D)篩竇癌
21.急診室接到救護車送來的一名年輕婦女,伴隨人員陳述該婦女因情感因素,一小時前在家中吞食通樂(內含氫氧化鈉、氨水等 強鹼),下列緊急處置何者為宜? (A)口腔黏膜損傷情形如果輕微,就不必安排食道檢查 (B)應立即給予催吐劑或酸性中和劑與洗胃 (C)靜脈輸液及鼻胃管進食 (D)應立即安排內視鏡檢查損傷範圍與程度
22.60歲之男性,抽菸數十年,平均一天一包以上。有一年多聲音沙啞的病史。近1至2週有呼吸困難的症狀。內科醫師證實無心臟 或肺部的疾病,他最有可能患下列那種病? (A)喉腫瘤 (B)聲帶息肉 (C)甲狀腺腫瘤 (D)氣道異物
23.有關Warthin tumor的描述,何者錯誤? (A)是唾腺腫瘤中第二常見之良性腫瘤 (B)多發生於較年長有吸菸習慣之男性 (C)好發位置為腮腺之上端 (D)腮腺淺葉切除術是適當的治療方式
【已刪除】
24.下列有關於舌甲狀腺(lingual thyroid)之敘述,何者錯誤? (A)女性居多 (B)甲狀腺功能大多正常 (C)甲狀腺掃描是治療前的必要檢查項目 (D)有症狀才需手術切除(E)一律給分
25.對於接受抗癲癎藥物治療的癲癎婦女患者,可建議在受孕期前後(periconceptional period)補充下列何種維生素,來降低胎 兒發育異常(如:唇顎裂、神經管缺損、先天性心臟缺損等)的發生機會? (A)維生素B6 (B)維生素C (C)葉酸(folic acid) (D)維生素B1
26.為避免早產兒於出生後發生玻璃腺樣病(hyaline membrane disease),可於產前給予孕婦下列何種藥物? (A)aspirin (B)glucocorticoids (C)magnesium sulfate (D)thyrotropin
27.Atosiban屬於何種機轉的安胎藥物? (A)前列腺素抑制劑(prostaglandin inhibitor) (B)鈣通道阻斷劑(calcium-channel blocker) (C)催產素類似物(oxytocin analog) (D)腎上腺素接受器促效藥(β-adrenergic receptor agonist)
28.胎盤早期剝離(placental abruption)潛在較常見的合併症是下列何者? (A)子宮內翻 (B)凝血障礙 (C)產褥感染 (D)子宮乏力
29.一個青春期少女,月經從初經開始週期即不正常,最近因二個週期月經不來而求診,最優先的處置是: (A)懷孕試驗 (B)給予黃體素(progestin) (C)觀察 (D)給予動情激素(estrogen)
30.有關肩難產的發生,多與母體或胎兒的客觀條件相關。下列何者為與母親相關的肩難產危險因子(maternal risk factor)? (A)nulliparity (B)obesity (C)advanced maternal age (D)chronic hypertension
31.慢性骨盆腔疼痛的鑑別診斷中Mittelschmerz表示: (A)痛經 (B)排卵痛 (C)發炎痛 (D)痔瘡痛
32.40歲已婚性,因子宮內膜息肉接受子宮鏡手術,子宮鏡使用單極電燒(monopolar)。手術時畫面清晰良好但發現電燒無法 作用,經流動護士檢查電燒機功能正常,且電源接觸良好,下列何種子宮腔擴張介質(distention media)為造成無法電燒之 可能原因? (A)蒸餾水(distilled water) (B)葡萄聚糖(dextran 70) (C)生理食鹽水(normal saline) (D)氨基乙酸(glycine)
33.46歲生過四胎之婦女,於第四胎生產時接受輸卵管結紮手術。現因不正常陰道出血而就醫,經陰道診視發現子宮頸表面平滑, 血液自子宮頸口處流出,觸診發現子宮大小正常無觸痛之情形。經陰道超音波掃瞄子宮大小正常無內膜增生之情形,然而於子 宮附屬物區發現有香腸般水囊狀物,最長部位為9.5公分而最寬部位為3.9公分,此水囊狀物最適合之診斷為:
(A)尿道憩室(urethral diverticulum) (B)盲腸炎(appendicitis) (C)輸尿管水腫(hydroureter) (D)輸卵管水腫(hydrosalpinx)
34.子宮輸卵管攝影(hysterosalpingography)是用來評估女性不孕症的一項檢查,下列檢查日期何者最好? (A)月經週期第3天 (B)月經週期第8天 (C)月經週期第14天 (D)月經週期第21天
35.34歲婦女,不孕症5年,經檢查發現雙側輸卵管水腫(hydrosalpinx),卵巢功能正常,先生精液檢查正常,下一步應建議她 做何治療? (A)人工授精 (B)打排卵針增加懷孕機會 (C)吃排卵藥增加懷孕機會 (D)腹腔鏡輸卵管整型、造口或切除手術
36.停經後,婦女體內何種荷爾蒙不再合成及分泌? (A)雌激素(estrogen) (B)雄性素(androgen) (C)黃體素(progesterone) (D)黃體化激素(LH)
37.58歲婦女,停經2年,無婦科開刀病史,無熱潮紅,心悸症狀,但會有陰部乾澀,性交疼痛的困擾,其最適當的治療為: (A)口服大豆異黃酮 (B)口服雌激素與黃體素 (C)口服雌激素 (D)陰部雌激素局部使用
38.25歲女性,3天前胚胎植入,因呼吸不適至急診求診,超音波下可見雙側卵巢皆大於8公分,大量腹水,病患主訴尿量減少。下 列敘述何者最不正確? (A)應趕快給予利尿劑 (B)在輸液選擇方面,saline優於lactated Ringer's solution (C)臥床可降低卵巢扭轉的風險 (D)若病患成功懷孕,症狀可能加重
39.24歲女性,主訴半年無月經,雙側乳房有白色分泌物,病患主訴無性經驗。下列檢查何者最不適當? (A)TSH(thyroid stimulating hormone) (B)prolactin (C)詳細的藥物史 (D)FSH(follicle stimulating hormone)
40. 先天性腎上腺增生症(congenital adrenal hyperplasia, CAH)的遺傳模式為: (A)體染色體顯性遺傳 (B)體染色體隱性遺傳 (C)性聯遺傳 (D)性染色體異常
41.48歲婦女,做抹片檢查,報告為high-grade squamous intraepithelial lesion(HSIL),下一步處置何者最適當? (A)半年抹片追蹤一次 (B)考慮HPV檢查並施打HPV疫苗 (C)建議陰道鏡下切片檢查 (D)安排fractional D&C檢查
42.在已開發國家大多數的子宮內膜癌診斷時,都是第幾期? (A)第一期 (B)第二期 (C)第三期 (D)第四期
43.70歲女性,因停經後陰道出血至門診求診,最常見的原因為何? (A)子宮內膜癌 (B)子宮內膜增生 (C)子宮肌瘤 (D)萎縮性子宮內膜
44.下列何者不適合接受人類乳突病毒疫苗? (A)25歲曾有5個性伴侶上班族 (B)12歲未有性經驗國小女生 (C)46歲子宮頸癌患者 (D)23歲抹片曾有輕度子宮頸上皮內贅瘤(CIN 1)研究生
45.60歲婦女,被診斷為外陰癌,病灶約有1.5公分大,基質侵犯約為1.5 mm,檢查發現單側的鼠蹊部淋巴結轉移,此婦女疾病之 分期為第幾期? (A)第一期(stage I) (B)第二期(stage II) (C)第三期(stage III) (D)第四期(stage IV)
46.關於顆粒細胞腫瘤(granulosa cell tumor)之敘述,下列何者錯誤? (A)會分泌estrogen,且易在停經後不正常出血 (B)多為兩側性發生,大約只有2%的病例為單側性 (C)大多數的病例中,在病理切片下可見granulosa cell排列成團聚狀(cluster)或是玫瑰花環狀(rosette),像primordial follicles (D)大多數病例是在stage I被發現且診斷的
47.其檢查名稱為下列何者? (A)臍動脈血流速度波形 (B)胎兒上行主動脈血流速度波形 (C)胎兒主動脈彎血流速度波形 (D)胎兒降主動脈血流速度波形
48.承上題,S/D ratio為 2.5,檢查結果為何? (A)absent end diastolic velocity (B)reversed end diastolic velocity (C)non-reactive (D)normal
49. 下列四者中最可能的診斷為何? (A)first-degree laceration (B)second-degree laceration (C)third-degree laceration (D)fourth-degree laceration
50.承上題,正在縫合的組織為何? (A)vaginal mucosa (B)vaginal submucosa (C)anal sphincter (D)rectal mucosa
51.則檢查之胎兒部位名稱為何? (A)abdomen (B)chest (C)head (D)neck
52.承上題,下列四者中最可能的診斷為何? (A)cystic adenomatoid malformation of lung (B)choroid plexus cyst (C)cystic hygroma (D)multicystic dysplastic kidney
53.此時下列處置何者 為佳? (A)給予高劑量雌激素(estrogen)以達止血效果 (B)給予高劑量黃體素(progesterone)以達止血效果 (C)建議接受子宮內膜切片 (D)給予GnRH agonist以達止血效果
54.承上題,下列何者是較不可能之診斷? (A)子宮內膜增生(endometrial hyperplasia) (B)子宮內膜異位症(endometriosis) (C)子宮內膜癌(endometrial cancer) (D)子宮黏膜下肌瘤(submucous myoma)或息肉(polyp)
55.捏擠龜頭誘發肛門括約肌收縮的反射是經由下列何神經所傳導? (A)腹下神經(hypogastric nerve) (B)骨盆神經(pelvic nerve) (C)內臟薦神經(sacral splanchnic nerve) (D)會陰神經(pudendal nerve)
56.下列何者與急性頭部外傷(traumatic brain injury)之預後無關? (A)年齡(age) (B)昏迷的時間長短(duration of coma) (C)記憶缺失的時間長短(duration of posttraumatic amnesia) (D)身體質量指數(body mass index, BMI)
57.下列有關冰凍肩(frozen shoulder)之復健治療,何者敘述最為正確? (A)物理治療以熱療和關節活動治療為主 (B)需在麻醉下做關節活動治療 (C)復健治療需靠醫院設備器材才可實施 (D)復健治療可達到百分之百治癒的效果,不會再發
58.下列何種人類的行走輔具(ambulation aids)可提供最大的身體承重(weight bearing)? (A)手杖(cane) (B)腋下柺杖(axillary crutch) (C)上臂柺杖(forearm crutch) (D)助行器(walker)
59.下列何者不是病人長期臥床不動(immobilization)之後的生理機能反應? (A)肌肉萎縮 (B)肌力減退 (C)韌帶鬆弛,延展性增加 (D)動作協調性變差
60.利用支架(orthosis)來協助股四頭肌無力(quadriceps weakness)伴隨膝退化性關節炎(knee OA)之病人站立完全伸展 時,下列何者最不合適? (A)膝裝具(knee orthosis) (B)膝踝足裝具(KAFO) (C)思奇膝踝足裝具(Scott-Craig KAFO) (D)髖膝踝足裝具(HKAFO)
61.脊椎側彎在胸椎第六節以上,需使用下列何種背架矯正? (A)波士頓背架(Boston brace) (B)米華基背架(Milwaukee brace) (C)泰勒背架(Taylor brace) (D)奈特背架(Knight brace)
62.腹式呼吸通常要配合節奏性的呼吸速率(paced breathing),下列何者是最理想的呼吸節奏? (A)吐氣:吸氣=4秒:2秒 (B)吐氣:吸氣=1秒:2秒 (C)吐氣:吸氣=1秒:1秒 (D)吐氣:吸氣=2秒:4秒
63.運動起始瞬間會發生氧缺現象(oxygen deficit),最初10秒肌肉收縮能源主要來自: (A)游離脂肪酸(free fatty acid) (B)磷酸肌酸(phosphocreatine) (C)肝醣(glycogen) (D)乳酸(lactate)
64.有關腰椎脊柱裂併脊髓膨出症(myelomeningocele)之敘述,下列何者最為完整?①是胚胎期神經管的缺陷,隨著年齡增長 會有可能增加嚴重度 ②患者會出現感覺缺損 ③患者會出現運動功能缺損 ④患者會出現大小便功能缺損 (A)僅①② (B)僅①③ (C)僅①②③ (D)①②③④
65.下列有關腦性麻痺的敘述,何者最為正確? (A)多數腦性麻痺兒童臨床上呈現長期低張(hypotonia) (B)徐動型(athetoid)腦性麻痺常是因為高黃疸或缺氧後造成基底核(basal ganglion)的傷害 (C)雙側麻痺(diplegia)指的是運動功能四肢受到相同的影響程度 (D)偏癱型(hemiplegic)腦性麻痺病童大多數無法行走
66.腦中風病人單側咽部無力(pharyngeal weakness)的患者,最常使用下列何種姿勢進行吞嚥? (A)頭轉向患側 (B)頭轉向健側 (C)仰頭進食 (D)低頭進食
67.腦性麻痺患者說話常出現母音扭曲(distorted vowels)、嗓音停頓(voice stoppages),此屬於下列何種構音障礙? (A)運動過強型構音障礙(hyperkinetic dysarthria) (B)弛緩型構音障礙(flaccid dysarthria) (C)運動失調型構音障礙(ataxic dysarthria) (D)痙攣型構音障礙(spastic dysarthria)
68.下列有關認知行為治療(cognitive-behavior therapy)的敘述,何者錯誤? (A)個人的情緒反應常會受到對某事件的認知所影響 (B)認知行為治療常用於急性疼痛(acute pain)的治療 (C)認知行為治療常用於憂鬱症(depressive disorders)的治療 (D)認知行為治療可強化個人的適應(adjustment)
69.下列何者不包括在基本日常生活自理(activity of daily living,ADL)的項目? (A)如廁 (B)煮飯 (C)穿脫衣服 (D)洗澡
70.這位病人的臨床診斷最有可能為何? (A)橈神經病變 (B)尺神經病變 (C)正中神經病變 (D)頸神經根病變
71.承上題,這位病患,下列何項治療最適合? (A)口服消炎止痛劑 (B)頸部牽引治療 (C)腕部副木治療 (D)充氣式壓迫療法(pneumatic compression)
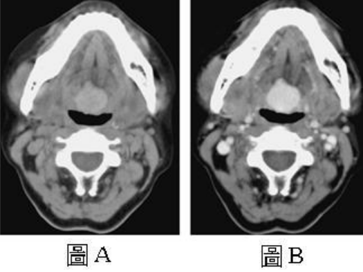
72.30歲女性患者,主訴咽喉有腫脹(fullness)的感覺,接受電腦斷層檢查,圖A為未注射顯影劑的影像,圖B則為注射顯影劑後 的影像,下列何者是最可能的診斷?
(A)舌根癌(tongue base cancer) (B)血管瘤(hemangioma) (C)舌甲狀腺(lingual thyroid) (D)轉移(metastasis)
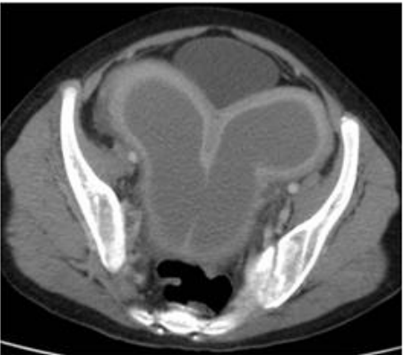
73.13歲女性病患,月經未來且下腹痛,故接受電腦斷層檢查,結果如下圖。其最有可能的診斷為何?
(A)子宮肌瘤(uterine myoma) (B)子宮內膜癌(endometrial cancer) (C)輸卵管卵巢膿瘍(tubo-ovarian abscess) (D)子宮融合異常合併處女膜未穿孔(uterine fusion abnormality with imperforated hymen)
74.關於頭顱的骨纖維發育不良症(fibrous dysplasia),下列何者錯誤? (A)可能是McCune-Albright syndrome的一部分 (B)電腦斷層檢查可看見頭骨上出現ground glass matrix的影像表徵 (C)核醫檢查,如PET,是確定診斷的最佳工具 (D)臨床上多不會有疼痛的症狀
75.60歲的李先生,抽菸數十年,8年前因鼻咽癌而接受放射治療,定期追蹤均無腫瘤復發,最近一年來有頭暈現象,三天前出現 左手及左腳突然無力,持續30分鐘才恢復,下列處置何者為最優先? (A)頸部聽診及杜卜勒超音波檢查 (B)電腦斷層檢查頸椎是否有壓迫 (C)臨床檢查是否有鼻咽腫瘤局部復發 (D)全身核醫檢查及排除是否有其他轉移
複選題
76.關於程序性鎮靜和止痛(procedural sedation and analgesia),下列敘述何者不適當? (A)Midazolam可使用於輕度技術鎮靜和止痛 (B)Ketamine可使用於中度技術鎮靜和止痛 (C)Etomidate可使用於輕度技術鎮靜和止痛 (D)Propofol可使用於中度技術鎮靜和止痛
77.下列有關急性鼻竇炎的敘述,何者錯誤? (A)可使用類固醇鼻內噴劑以減輕症狀 (B)病毒感染或過敏性鼻炎為常見的誘發因素 (C)必須使用抗生素治療 (D)診斷主要是靠病史及理學檢查
78.關於懷孕婦女的膀胱炎或急性腎盂腎炎的敘述,下列何者錯誤? (A)因為尿滯留,使得泌尿道是懷孕婦女最常見的感染位置 (B)發生的單純膀胱炎(simple cystitis),給予單一劑量之抗生素,通常都可治療 (C)泌尿道感染的最常見致病菌與非懷孕期婦女相同,為Escherichia coli (D)發生腎盂腎炎,由於產生合併症的機會大,通常須較非懷孕時予以更積極的治療
79. 不施予及撤除維生治療的措施必須有條件施行,才符合醫學倫理,下列那一項不適當? (A)無效醫療 (B)生命品質過差 (C)無心智能力之病人拒絕治療 (D)治療效果極差且耗用醫療資源極大
80.知情同意(informed consent)的實踐,是在落實那一項醫學倫理原則? (A)行善原則(beneficence) (B)不傷害原則(non-maleficence) (C)正義原則(justice) (D)尊重自主原則(respect for autonomy)
申論題 (0)
相關試卷
115年 - 115-1 專技高考_醫師(二):醫學(六)(包括麻醉科、眼科、耳鼻喉科、婦產科、復健科等科目及其相關臨床實例與醫學倫理)#137334
115年 · #137334
114年 - 114-2 專技高考_醫師(二):醫學(六)(包括麻醉科、眼科、耳鼻喉科、婦產科、復健科等科目及其相關臨床實例與醫學倫理)#127922
114年 · #127922
114年 - 114-1 專技高考_醫師(二):醫學(六)(包括麻醉科、眼科、耳鼻喉科、婦產科、復健科等科目及其相關臨床實例與醫學倫理)#125090
114年 · #125090
113年 - 113-2 專技高考_醫師(二):醫學(六)(包括麻醉科、眼科、耳鼻喉科、婦產科、復健科等科目及其相關臨床實例與醫學倫理)#120656
113年 · #120656
113年 - 113-1 專技高考_醫師(二):醫學(六)(包括麻醉科、眼科、耳鼻喉科、婦產科、復健科等科目及其相關臨床實例與醫學倫理)#118715
113年 · #118715
112年 - 112-2 專技高考_醫師(二):醫學(六)(包括麻醉科、眼科、耳鼻喉科、婦產科、復健科等科目及其相關臨床實例與醫學倫理)#114980
112年 · #114980
112年 - 112-1 專技高考_醫師(二):醫學(六)(包括麻醉科、眼科、耳鼻喉科、婦產科、復健科等科目及其相關臨床實例與醫學倫理)#113157
112年 · #113157
111年 - 111-2 專技高考_醫師(二):醫學(六)(包括麻醉科、眼科、耳鼻喉科、婦產科、復健科等科目及其相關臨床實例與醫學倫理)#108743
111年 · #108743
111年 - 111-1 專技高考_醫師(二):醫學(六)(包括麻醉科、眼科、耳鼻喉科、婦產科、復健科等科目及其相關臨床實例與醫學倫理)#106188
111年 · #106188
110年 - 110-2 專技高考_醫學(二):醫學(六)(包括麻醉科、眼科、耳鼻喉科、婦產科、復健科等科目及其相關臨床實例與醫學倫理)#99915
110年 · #99915