所屬科目:醫學六:80題 ( 包括麻醉科,眼科,耳鼻喉科,婦產科,復健科等科目及其及相關臨床實例與醫學倫理 )
1.執行快速插管(rapid sequence intubation)使用的藥物或步驟,下列何者最不適合? (A)使用光纖內視鏡輔助插管 (B)預先給氧 (C)快速作用的非去極化神經肌肉阻斷劑 (D)快速作用的去極化神經肌肉阻斷劑
2.關於應用四連刺激監測(train-of-four, TOF)於神經肌肉阻斷的恢復(recovery from neuromuscular block),下列敘述何者錯誤?﹝TOF ratio:第四個twitch的幅度除以第一個 twitch的幅度﹞ (A)當第四個肌肉抽動(twitch)反應再次出現時,就進入神經肌肉阻斷恢復的階段 (B)當TOF ratio小於0.4時,病人通常無法抬頭或舉起手臂 (C)當TOF ratio為0.7~0.75時,病人通常可以正常咳嗽及抬頭至少5秒 (D)當TOF ratio達到0.8時,表示病人已完全恢復神經肌肉的功能
3.關於潮氣末二氧化碳(end-tidal CO2)的監測,下列敘述何者最不適當? (A)可以快速發現是否將氣管內管誤放入食道 (B)可以快速發現是否將氣管內管置放過深 (C)可以用來監測復甦品質,確認組織灌流改善 (D)全身麻醉中潮氣末二氧化碳快速增加可能是malignant hyperthermia的early sign
4.50歲女性,有重症肌無力(myasthenia gravis)病史,目前規則服用類固醇及乙醯膽素分解酶抑制 劑pyridostigmine,安排常規腹腔鏡膽囊切除術及全身麻醉插管。有關麻醉注意事項,下列何者最不適當? (A)此病人肌肉無力與自體免疫引起乙醯膽鹼受體(Ach receptor)的破壞有關,導致受體數量減少 (B)術前需評估乙醯膽素分解酶抑制劑使用劑量 (C)該病人有術後呼吸衰竭的風險,圍術期可使用周邊神經刺激器(peripheral nerve stimulator) train-of-four監測 (D)使用短效性的去極化肌肉鬆弛劑(depolarizing muscle relaxants)時,應減少劑量
5.下列關於succinylcholine之敘述,何者最不適當? (A)兒童在使用succinylcholine後,較容易出現嚴重的心搏過緩 (B)可先施打低劑量的非去極化肌肉鬆弛劑(nondepolarizing muscle relaxant),來避免 succinylcholine引起的肌束顫動(fasciculation) (C)在燒傷病人使用會引發低血鉀(hypokalemia),應避免使用succinylcholine (D)可能引發惡性高熱症(malignant hyperthermia)
6.75歲男性,預計經尿道攝護腺切除術,病人的術前心臟超音波報告剛出來,下列數據何者最可能需 要暫緩手術? (A)主動脈瓣平均跨瓣壓力梯度30 mmHg (B)主動脈瓣最大流速2 m/s (C)主動脈瓣瓣口面積(AVA)0.9 平方公分 (D)二尖瓣平均跨瓣壓力梯度6 mmHg
7.正常懷孕婦女在足月時期產生的生理變化與未懷孕時期相比,下列敘述何者最不適當? (A)心輸出量(cardiac output)增加,心搏量(stroke volume)與心跳速率(heart rate)也會增 加,而周邊血管阻力(systemic vascular resistance)下降 (B)每分鐘換氣量(minute ventilation)增加,但功能性肺餘容量(functional residual capacity)降低 (C)懷孕婦女的血紅素血氧飽和曲線會左移,增加氧氣在胎盤的釋放 (D)食道下括約肌張力下降,生產時胃排空時間會延長
8.下列何種介入性疼痛治療,最適用於處理上腹部惡性腫瘤造成的臟器性疼痛? (A)celiac plexus block (B)superior hypogastric plexus block (C)stellate ganglion block (D)Bier block(intravenous regional block)
9.下列何者最不可能導致病人手術後出現高血糖的病生理變化? (A)交感神經亢奮 (B)活化免疫系統 (C)加重感染情況 (D)增加分解代謝率(catabolic rate)
10.下列何者不是濕性年齡相關黃斑部退化(wet-type age-related macular degeneration)常見的 症狀? (A)視力模糊 (B)周邊視野缺損 (C)中央出現盲點(central scotoma) (D)視物變形(metamorphopsia)
11.一旦發現病人已經有增殖性糖尿病視網膜病變(proliferative diabetic retinopathy),下列何 種治療對病人會有幫助? (A)光動力治療(photodynamic therapy) (B)氣體視網膜固定術(pneumatic retinopexy) (C)全視網膜雷射光凝固術(panretinal photocoagulation) (D)鞏膜扣壓術(scleral buckling)
12.有關翼狀贅片(pterygium)的敘述,下列何者錯誤? (A)結膜下組織向角膜面侵襲的退化性疾病,好發於顳側 (B)成因不明,可能和紫外線暴露、結膜慢性發炎有關 (C)臨床表現為三角形的血管纖維膜,眼睛易充血發紅 (D)可考慮切除,但復發率高,如加上mitomycin C可降低術後復發
13.下列那個疾病和圓錐角膜(keratoconus)相關? (A)異位性皮膚炎(atopic dermatitis) (B)謝格連氏症候群(Sjögren syndrome) (C)葛瑞夫茲病(Graves' disease) (D)全身性紅斑狼瘡(systemic lupus erythematosus)
14.下列何種藥物不建議使用在心臟病或氣喘的病人身上? (A)α作用劑(α agonists) (B)β拮抗劑(β blockers) (C)碳酸酐酶抑制劑(carbonic anhydrase inhibitor) (D)類前列腺素製劑(prostaglandin analogue)
15.關於新生血管性青光眼(Neovascular glaucoma)的形成原因,下列何者最不常見? (A)缺血性中央視網膜靜脈阻塞 (B)糖尿病 (C)中央視網膜動脈阻塞 (D)過熟的白內障
16.瞳孔不等大且合併眼皮下垂的原因中,下列何者有致命危險? (A)腦幹出血(uncal herniation)(B)小血管性因素(microvasculopathy)(C)顎動性眨眼症候群(Marcus Gunn jaw-winking syndrome)(D)重症肌無力
17.下列何者較不可能是「假性內斜視」的原因? (A)兩眼瞳孔間距太短(B)內眥上皮皺褶(epicanthic folds)顯著(C)高度近視有negative kappa angle(D)早產兒網膜症造成黃斑部異位(ectopic macula)
18.有關單側先天性眼瞼下垂之敘述,下列何者錯誤? (A)患眼容易產生弱視(B)可以適當遮蔽另一眼來治療弱視(C)提眼瞼肌(levator muscle)功能很差的病人,在手術矯正後,必須注意病人睡覺無法闔眼(D)手術矯正方式同一般雙眼皮手術
19.有關慢性中耳炎之致病細菌,下列何者最不常見? (A)Streptococcus pneumoniae(B)Escherichia coli(C)Staphylococcus aureus(D)Pseudomonas aeruginosa
20.下列藥物何者最不常造成耳毒性? (A)acetaminophen(B)aspirin(C)furosemide(D)cisplatin
21.關於突發性耳聾之敘述,下列何者最不適當? (A)在聽力圖上可以看到連續三個頻率聽力下降30分貝以上(B)主要用口服或靜脈注射類固醇治療(C)一般認為耳內注射類固醇無效(D)高壓氧治療可能有效
22.關於篩竇解剖,下列敘述何者錯誤? (A)篩竇最前面的一個結構是鼻丘(agger nasi cell) (B)前後篩竇、上頜竇及額竇的黏液經由篩竇漏斗(ethmoid infundibulum)引流到鼻腔 (C)前篩竇最大的一個結構是篩球(ethmoid bulla) (D)前篩竇與後篩竇由基底板(basal lamella)分隔
23.有關青少年鼻咽血管纖維瘤(juvenile nasopharyngeal angiofibroma),下列敘述何者錯誤? (A)常見症狀為鼻塞及流鼻血 (B)大部分發生在10~20歲年輕女性 (C)手術切除及術後若有殘留腫瘤,則以放射線治療為準則 (D)手術前內上頜動脈(internal maxillary artery)栓塞是常規處理方式
24.有關先天性的氣管食道瘻管(tracheoesophageal fistula),下列敘述何者正確? (A)最常見的解剖類型是H-型的氣管食道瘻管 (B)以鋇劑吞嚥做食道攝影檢查一定可以診斷出來 (C)一旦產前診斷出此異常,在胎兒出生時,就必須安排ex utero intrapartum treatment(EXIT)以 建立呼吸道來挽救胎兒 (D)經開胸手術治療後若瘻管復發,可以考慮用內視鏡手術方式治療
25.關於胃食道逆流(gastroesophageal reflux disease, GERD)與喉咽逆流(laryngopharyngeal reflux, LPR)之比較及敘述,下列何者正確? (A)胃灼熱感(heartburn)較常見於LPR (B)GERD之症狀好發於夜間平躺時 (C)咽喉內視鏡為二者診斷之黃金準則 (D)進行24小時pH值監測時,探頭(probe)應放置於食道中段與胃賁門處
26.關於下咽癌(hypopharyngeal cancer),下列敘述何者錯誤? (A)最常發生於後咽壁(posterior pharyngeal wall) (B)女性病人可能和Plummer-Vinson syndrome有關 (C)癌細胞較容易出現黏膜下擴散(submucosal spread) (D)容易經由thyrohyoid membrane轉移至第二至四區(level II~IV)側頸部淋巴結
27.關於胸大肌皮瓣(pectoralis major myocutaneous flap)的血管供應來自下列何者? (A)superior thoracic artery (B)thoracoacromial artery (C)lateral thoracic artery (D)subscapular artery
28.子宮由多條韌帶(ligaments)連接,下列何者除外? (A)Cooper's ligament (B)broad ligament (C)round ligament (D)cardinal ligament
29.關於懷孕期間胃腸系統的變化,下列敘述何者正確? (A)闌尾(appendix)因子宮的壓迫位置會下移至比正常解剖位置低 (B)食道蠕動(esophageal peristalsis)的速度及幅度增加 (C)胃排空時間(gastric emptying time)不變 (D)血清白蛋白(serum albumin)濃度不變
30.急診送來一名下腹痛合併陰道出血的36歲女性,G2P1,上一胎是在三年前懷孕38週經陰道自然生 產,目前這一次懷孕的週數依最後一次月經開始日計算約為懷孕8週。病患到急診時臉色蒼白、不 論站或坐均感到頭昏眼花,體溫37°C、脈搏每分鐘110下、呼吸每分鐘18次、血壓86/50 mmHg,腹 部理學檢查發現:腹部明顯壓痛合併反彈痛,骨盆腔理學檢查發現:少量陰道出血、右側子宮附屬 器明顯脹痛,尿液懷孕測試呈陽性反應,骨盆腔超音波檢查發現:右側子宮附屬器子宮外孕、且骨 盆腔中已有大量積液,抽血發現血比容(hematocrit)27%,依此病患的狀況,下列何者為在急診 最適當的下一步處置? (A)等病患空腹時間滿8~10小時後安排手術 (B)轉入加護病房觀察 (C)使用methotrexate肌肉注射治療 (D)安排緊急手術切除子宮外孕處及止血
31.懷孕時胎兒腎上腺製造很多類固醇(steroid)以供母體荷爾蒙產生,這些類固醇(steroid)主要 之前驅物(precursor)為何? (A)低密度脂蛋白膽固醇(low-density lipoprotein cholesterol) (B)高密度脂蛋白膽固醇(high-density lipoprotein cholesterol) (C)三酸甘油脂(triglyceride) (D)雌三醇(estriol)
32.造成孕婦母血中α-胎兒蛋白(AFP)上升的原因,下列敘述何者錯誤? (A)低估懷孕週數 (B)胎兒神經管缺損 (C)胎兒薦尾畸胎瘤 (D)胎兒唐氏症
33.有關胎兒無壓力測試(nonstress test)的敘述,下列何者正確? (A)20分鐘內觀察到一次胎動合併胎兒心率上升每分鐘15下以上,即為正常 (B)胎兒心跳變異性小於5 bpm代表胎兒已成熟 (C)若測試結果為無反應性(nonreactive),可以增加觀察時間到40分鐘 (D)若胎心音有早期減速之現象,須在24小時內生產
34.與唐氏症相關之第二孕期胎兒超音波軟指標(soft signs)不包含下列何者? (A)小腸回音增加(echogenic bowel) (B)腹壁裂(gastroschisis) (C)頸部皺褶增厚(nuchal fold thickening) (D)輕度腎盂擴張(mild renal pelvis dilation)
35.一位34歲第二胎產婦到院產房胎心音宮縮監測器顯示不規則陣痛,骨盆腔內診後發現,子宮頸質地 柔軟子宮頸開口1~2公分並開口朝前,子宮頸變薄50%,station -2,此時Bishop score為何? (A)3分 (B)5分 (C)7分 (D)9分
36.關於催生(induction and augmentation of labor)的注意事項,下列敘述何者最不適當? (A)人工破水可以加速產程約1~1.5小時 (B)misoprostol(prostaglandin E 1)用來催生有子宮破裂風險 (C)當靜脈注射oxytocin用來刺激子宮收縮時,其半衰期3~5分鐘停藥很快可緩解 (D)子宮收縮達到150個Montevideo units為有效的催生,多數產婦進入active phase
37.妊娠糖尿病常合併羊水過多(hydramnios),下列何者為較有可能之原因? (A)因母體高血糖致內皮細胞滲漏 (B)胎兒腎絲球對葡萄糖的再吸收 (C)羊水中的高葡萄糖濃度 (D)因胎兒高血糖導致胎兒腸胃道狹窄或阻塞
38.對妊娠糖尿病孕婦的飲食建議,下列敘述何者錯誤? (A)平均每天卡路里應攝取30~35 kcal/公斤 (B)根據美國婦產科醫學會(ACOG)建議,每天攝取的卡路里當中,蛋白質應占約20% (C)根據美國婦產科醫學會(ACOG)建議,每天的飲食中碳水化合物的比例要越低越好,以維持適當的 血糖值 (D)根據美國婦產科醫學會(ACOG)建議,每天攝取的卡路里當中,脂肪應占約40%
39.過期妊娠(postterm pregnancy)導致不良妊娠結局(adverse pregnant outcome)不包括下列那 一情況? (A)羊水過多(polyhydramnios) (B)子癇前症(preeclampsia) (C)肩難產(shoulder dystocia) (D)產後出血(postpartum hemorrhage)
40.下列何者不是婦產科腹腔鏡手術常見的併發症? (A)liver injury (B)bladder injury (C)great vessel injury (D)thermal injury
41.對於機器人手術(robotic surgery)的手術適應症,下列敘述何者最不適當? (A)子宮肌瘤手術 (B)輸卵管重建手術 (C)骨盆重建手術 (D)第二期子宮頸癌
42.子宮鏡可提供治療性的手術選擇(operative hysteroscopy)。下列何者較少考慮使用子宮鏡來治 療? (A)FIGO子宮肌瘤分期Type 0 (B)FIGO子宮肌瘤分期Type 1 (C)FIGO子宮肌瘤分期Type 2 (D)FIGO子宮肌瘤分期Type 3
43.有關Kallmann氏症候群(Kallmann syndrome),下列敘述何者最不適當? (A)主要症狀為嗅覺缺失(anosmia)、性腺功能低下症(hypogonadism)與色盲(color blindness) (B)男性發生率高於女性 (C)女性患者通常表現原發性閉經(primary amenorrhea) (D)女性患者抽血檢驗,通常FSH數值很高,但E 2數值很低
44.下列關於女性生殖道異常的敘述,何者錯誤? (A)有先天性生殖道異常的女性患者,常常也併有泌尿系統的異常 (B)馬蹄腎(horseshoe kidney)的發生率約為1/600 (C)有先天性生殖道異常的女性成年患者,可能併有單側或雙側的腎發育不全(renal agenesis)狀況 (D)先天性泌尿道異常,可源自於輸尿管芽(ureteric bud)或後腎母細胞(metanephric blastema) 之異常
45.濕檢視(wet mount smear)最無法辨認下列何者? (A)正常陰道表面上皮細胞 (B)乳酸菌(lactobacilli) (C)細菌性陰道炎(bacterial vaginosis) (D)淋病雙球菌(Neisseria gonorrhoeae)
46.下列那兩種型別的人類乳突瘤病毒(human papillomavirus),是造成外陰部生殖疣(genital warts)最常見的原因? (A)6、11 (B)16、18 (C)52、58 (D)31、33
47.一位13歲女生因腹脹就醫,超音波檢查發現骨盆腔有一個12公分複雜性腫瘤;血液檢驗AFP 586 ng/mL,最可能的診斷是: (A)dysgerminoma (B)endodermal sinus tumor (C)non-gestational choriocarcinoma (D)immature teratoma
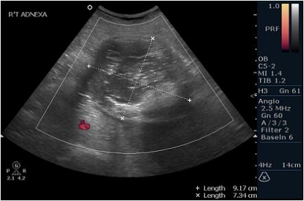
48.30歲女性,在健康檢查時,意外在骨盆超音波下,發現如圖所示之腫塊,最有可能的診斷為 何? (A)出血性黃體囊腫(hemorrhagic corpus luteum) (B)子宮內膜異位瘤(endometrioma) (C)畸胎瘤(teratoma) (D)功能性囊腫(functional cyst)
49.下列有關卵巢未成熟畸胎瘤(immature teratoma)的處置,何者不適當? (A)停經前的患者中,應進行單側卵巢切除術和保留生育能力的分期手術 (B)未成熟的畸胎瘤通常局限於單側卵巢,對側卵巢無須常規進行楔形切片(wedge biopsy) (C)未成熟畸胎瘤最重要的預後因子是細胞分化(grade),因此IA期low-grade的患者,無須接受輔助 化學治療 (D)對於有接受輔助化學治療的患者,進行二次剖腹探查(second-look operation)以確認療效是必 要的
50.一位52歲女性因停經後出血發現子宮內膜癌,回顧其家族史發現有乳癌及大腸癌病史,因此考慮進 行遺傳諮詢。此家族最有可能有下列那種遺傳性疾病? (A)BRCA2基因突變 (B)遺傳性非息肉大腸直腸癌(Lynch II syndrome) (C)考登氏症候群(Cowden syndrome) (D)黑斑息肉症候群(Peutz–Jeghers syndrome)
51.對於子宮頸癌手術後骨盆淋巴結陽性者(positive pelvic lymph nodes),下列有關輔助性放射 治療(adjuvant radiation)之敘述何者正確? (A)可減少骨盆復發,但未能提高5年存活率 (B)可減少骨盆復發,亦能提高5年存活率 (C)可降低遠處轉移,但未能提高5年存活率 (D)可降低遠處轉移,亦能提高5年存活率
52.關於子宮內膜癌的不良預後因子,下列敘述何者錯誤? (A)年紀大(>60 歲) (B)後腹腔淋巴結轉移 (C)肥胖 (D)腫瘤基因DNA多倍染色體
53.關於子宮頸腺癌(adenocarcinoma)的敘述,下列何者正確? (A)腺癌的處理原則一般和鱗狀上皮細胞癌類似 (B)腺癌的比例在抹片篩檢下逐漸減少 (C)大部分子宮頸腺癌和人類乳突病毒無關 (D)早期腺癌的病灶程度藉由子宮頸切片就可以確定
54.試管嬰兒療程中,下列何者不是造成卵巢過度刺激症候群(ovarian hyperstimulation syndrome, OHSS)的危險因子? (A)多囊性卵巢症候群(polycystic ovarian syndrome) (B)AMH 2 ng/mL (C)注射hCG當天雌二醇(estradiol)濃度3,600 pg/mL (D)取24顆卵子
55.關於罹患更年期症候群之停經婦女,為避免荷爾蒙所造成的風險,建議荷爾蒙補充的敘述何者正 確? (A)60歲以上,或停經時間滿10年以上 (B)60歲以下,或停經時間未滿10年 (C)無年齡限制,隨時都可以開始進行荷爾蒙補充 (D)不論年齡為何,都不建議補充荷爾蒙
56.51歲G3P3的女性,因為月經半年沒來而求診,身體熱潮的情形嚴重,影響睡眠品質,且已經造成日 間工作的困擾。又沒有慢性疾病,目前也沒有服用藥物,但有考慮開始接受荷爾蒙療法(hormone therapy)。在分析治療的好處和風險時,應該告知荷爾蒙療法會增加何項疾病的風險? (A)大腸癌 (B)血栓性栓塞 (C)骨質疏鬆症 (D)阿茲海默症(Alzheimer disease)
57.陰道生產容易造成骨盆底鬆弛,導致女性生殖道脫垂與應力性尿失禁的發生率比男性高。下列敘述 何者正確? (A)陰道產次越多,越易產生生殖道脫垂 (B)胎數越多,發生尿失禁的風險也相對遽增 (C)生殖道脫垂的程度,早晨起床時最為嚴重 (D)年齡越大,應力性尿失禁的機率遽增
58.關於遺傳性運動感覺神經病變(hereditary motor and sensory neuropathies),下列敘述何者 最不恰當? (A)常發生對稱進行性的肌肉無力(symmetric progressive weakness) (B)第一型(type I)主要是影響髓鞘(myelin) (C)以遠端肌肉群(distal musculature)無力較為明顯 (D)常常有疼痛(pain)的症狀(E)一律給分
59.有關脊髓損傷病人之慢性神經性疼痛(neuropathic pain),下列敘述何者最不適當? (A)可能有異態痛感(allodynia) (B)受傷部位(at level)神經痛可能源自於脊髓壓迫(cord compression) (C)受傷部位以下(below level)神經痛可能和大腦痛覺的重組(reorganization)有關 (D)受傷部位以下(below level)的疼痛醫學上稱為幻肢痛(phantom pain)
60.偵測脊髓損傷病人早期產生異位性骨化(heterotopic ossification)最敏感的影像偵測工具為下 列何者? (A)三相骨骼掃描 (B)核磁共振 (C)電腦斷層 (D)X光
61.關於中風之動作評估,若一位病人可將手平舉過頭、手可以從側面伸上來到水平位置、手肘伸直時 可以旋後和旋前、拇指可以碰到食指指節,則其布朗斯壯分期(Brunnstrom stage)最可能為那一 期? (A)II (B)III (C)IV (D)V
62.有關電療(electrotherapy)在物理醫學中的應用,下列敘述何者最不適當? (A)電療的生理效應包括抑制疼痛 (B)電療的生理效應包括增加循環及減少肌肉痙攣 (C)電刺激有止痛和消腫的作用,對於剛發生未經固定的骨折部位有很大的幫助 (D)進行干擾波電療時,電極的擺放原則是圍繞著欲治療部位
63.有關截肢(amputation),下列敘述何者最不適當? (A)截肢(amputation)是指肢體缺損的狀態,可分為先天性肢體缺損與後天性截肢 (B)先天性肢體缺損,發生在下肢的機率比上肢多;後天性截肢發生於上肢的比例明顯高於下肢 (C)以截肢部位來看,上肢截肢以外傷為主要原因,其中以手指截肢(finger amputation)最多 (D)近年來由於重建與再植手術技術的進步,以及職業安全觀念的提升,外傷截肢的比例已逐年下降中
64.旋前症候群(pronator syndrome)的主要症狀是前臂的疼痛、無力及麻木,下列那一條神經與此 症狀最有關係? (A)正中神經(median nerve) (B)尺神經(ulnar nerve) (C)橈神經(radial nerve) (D)肌皮神經(musculocutaneous nerve)
65.在呼吸加護病房中,關於早期介入胸腔復健活動之敘述,下列何者最恰當? (A)即使是生命現象穩定,三天內介入活動治療,對病人仍然不宜 (B)當病人意識清楚時,儘量採取被動的四肢關節活動 (C)當病人意識不清楚時,介入復健治療主要在訓練呼吸肌力 (D)早期胸腔復健運動介入,可協助改善呼吸器脫離率
66.關於腦性麻痺(cerebral palsy)患者的肌肉骨骼系統(musculoskeletal system),下列敘述何 者最不適當? (A)肉毒桿菌素注射是改善肌肉張力(muscle tone)的方式之一 (B)造成髖關節發育不良(hip dysplasia)的其中一個因素是因為患者的髖關節較少承載體重 (weight bearing) (C)無法行走(nonambulatory)的腦性麻痺患者,髖關節脫位(hip dislocation)的風險較高 (D)髖部疼痛(hip pain)和髖關節脫位(hip dislocation)的嚴重度直接相關
67.下列關於早期療育(early intervention)與發展遲緩(developmental delay)的敘述,何者最 不適當? (A)早期療育主要是針對未滿6歲的發展遲緩兒童及其家庭,提供必要之治療、教育與其他服務 (B)發展遲緩是指出生後的兒童在運動、知覺(perception)、語言、情緒(emotion)、認知 (cognition)、心理(psychogenesis)、社會適應性(socio-behavior)等各方面出現一種或數 種的發展落後或異常表現 (C)根據世界衛生組織(WHO)的統計,發展遲緩的發生率約為千分之六至千分之八 (D)早期療育的精神是希望提供早期發現、早期診斷及早期治療
68.有關口腔癌病人術後產生牙關緊閉(trismus)的復健評估與治療,下列何者最適當? (A)牙關緊閉的診斷標準是門齒間距(inter-incisor distance)小於5公分 (B)化學治療是造成遲發性牙關緊閉的最大原因 (C)嚼食檳榔者在手術前不易有牙關緊閉的現象 (D)牙關緊閉的復健治療最好是在後期病情穩定之後再開始(E)一律給分
69.有關巴氏量表(Barthel index)之敘述,下列何者最不適當? (A)為一常用的基本日常生活能力評估量表 (B)評估項目共有7項 (C)依現行規定,80歲以上的年長者,總分低於60分方可申請外籍看護 (D)總分為0分者,代表在日常生活中完全依賴他人的協助
70.有關復健醫療照護之敘述,下列何者最不適當? (A)疾病的種類(如中風,脊髓損傷等)為界定復健療程或黃金治療期的主要依據 (B)復健醫療的貢獻是改善病人的生活品質、降低醫療及照顧之社會成本、增進家庭和諧及減少社會問 題等 (C)復健醫療的對象是「全人」,而非只是「病人」 (D)在急性期時,復健潛能為決定復健醫療層次的主要依據
71.林先生因中風導致左側偏癱,能夠自己行走但偶爾會被不平整的地面絆倒;一般基本的日常生活及 自我照顧活動都僅需要監督或輕微協助即可自己獨立完成。林先生希望回家後,可以自己洗澡、上 廁所,可自行到客廳看電視,且希望中午可用微波爐準備簡單餐點。此外,林先生也希望其太太與 女兒可以上班。下列有關治療師根據林先生的需求與能力,給出的建議與環境改造計畫,何者最不 適當? (A)林先生的家屬不應該讓林先生自行待在家,應該請個看護或離職在家照顧其生活起居 (B)去除家裡不平整的地毯,減少被絆倒的機會 (C)在浴室的淋浴與馬桶旁安裝扶手 (D)在大門前的階梯兩側加裝扶手,且於每一台階的前端漆上白漆,以增加辨識度
72.關於腦囊狀動脈瘤(saccular aneurysm)的敘述,下列何者最不恰當? (A)前交通動脈(anterior communicating artery)是常見的位置之一 (B)在電腦斷層上,巨大的腦動脈瘤可能會有鈣化 (C)蜘蛛網膜下腔出血病患接受血管攝影檢查,若未發現動脈瘤,即可排除動脈瘤破裂 (D)血管內栓塞術是治療腦動脈瘤的方式之一
73.34歲女性子宮輸卵管攝影檢查呈現如圖,箭號所指之病灶,下列何者為最恰當之診斷? (A)輸卵管積水(hydrosalpinx) (B)子宮(輸卵管)外孕 (C)輸卵管惡性腫瘤 (D)子宮內膜異位
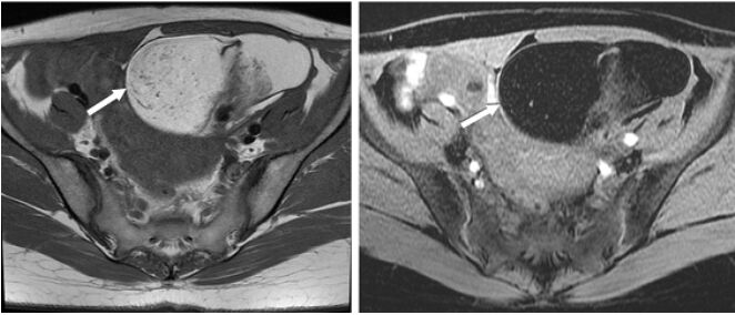
74.一位年輕女性接受磁振造影檢查發現卵巢腫瘤如圖,箭號所指之病灶,下列何者為最恰當之診斷? (A)畸胎瘤 (B)血腫 (C)黃體囊腫 (D)巧克力囊腫
75.關於Guillain-Barré症候群的敘述,下列何者最不適當? (A)此症候群通常在病毒感染或疫苗注射後發生 (B)為急性多發神經病變(polyneuropathy),合併神經髓鞘(myelin sheath)受損 (C)典型症狀為神經麻痺,由軀幹往下沿伸到下肢 (D)此症候群可能會導致呼吸肌肉麻痺
76.關於流產的敘述,下列何者最適當? (A)先兆流產(Threatened abortion):懷孕<22週子宮頸擴張相關的帶血性陰道分泌物 (B)不完全流產(Incomplete abortion):胚胎或胎兒流出而有部分或全胎盤殘留 (C)化膿性流產(Septic abortion):常見於流產後發生,電腦斷層是最適合的診斷工具 (D)過期流產(Missed abortion):懷孕<20週胎兒心跳消失,胎兒仍存留於子宮
77.25歲男性病人有頭部外傷,須實施快速順序插管(rapid-sequence intubation),當使 用神經肌肉阻斷劑 succinylcholine 時,下列有關succinylcholine的敘述,何者最不適 當? (A)可能會造成橫紋肌溶解 (B)若該病人合併有燒燙傷,succinylcholine比rocuronium合適 (C)可能造成顱內壓上升及眼壓上升 (D)可能造成胃內壓上升
78.依據赫爾辛基宣言(Declaration of Helsinki),醫師在取得受試同意書時,應特別注意受試者 是否對醫師有依賴關係,或受試者是否在脅迫下同意。倘若有上述現象時,應如何處理? (A)此醫師取得受試同意書的過程,需在有公正見證人在場的情況下進行 (B)此醫師取得受試同意書的過程,需在受試者之律師陪同下進行 (C)無法客觀取得受試同意書,此病患無法參加此研究 (D)此受試同意書應由一位充分了解此研究,但獨立於此醫病關係外之合格人員取得
79.有關告知義務,下列何者錯誤? (A)醫師履行告知義務時,應鼓勵病人發問 (B)醫師應說明延誤或拒絕治療之後果 (C)考慮華人社會中之家庭價值,在告知上應以尊重家屬意見為優先 (D)醫師履行告知義務時,應給予病人充分的時間考慮
80.末期病人昏迷使用呼吸器,無法簽署不施行心肺復甦術意願書,依我國法律規定之親屬代理決定 權,同意書代理簽署的優先順序為: (A)配偶>成年子女、孫子女>兄弟姐妹 (B)父母>兄弟姐妹>成年子女、孫子女 (C)祖父母>父母>兄弟姐妹 (D)曾祖父母>祖父母>一親等直系姻親