所屬科目:麻醉科
94. 你在進行胸腔手術麻醉誘導時使用 left double-lumen tube,並使用 fiberoptic bronchoscope 來確認其正確置放位置,下圖是你看到的正確位置畫面,其中各數字代表的結構分別是? (A) 1. Posterior wall of trachea; 2. Carina; 3. Right Upper Lobe Bronchus 4.Bronchus intermedius (B) 1. Bronchial Cuff; 2. Bronchus intermedius; 3. Right Upper Lobe Bronchus ; 4. Carina (C) 1. Bronchial Cuff; 2 Carina; 3. Bronchus intermedius; 4. Posterior wall of trachea (D) 1. Posterior wall of trachea; 2 Carina; 3. Right Upper Lobe Bronchus; 4. Bronchus intermedius
95. 有關病人站立時肺部血流的垂直分布區域 I-IV,其中 Zone III 的壓力大小下列何者敘述為 真?( ) (A) (B) (C) (D)
96. 機械手臂心臟手術進行體外循環時,經食道超音波可用於導引手術醫師置放導管,此影 像為食道中段 bicaval view,請問圓圈處標示為何? (A) 肺動脈導管。 (B) 下腔靜脈導管。 (C) 上腔靜脈導管。 (D) 主動脈導管。
97. 在執行 femoral nerve block 時,需辨認 femoral artery 及 femoral nerve 附近的結構,以本超音波圖形為例,若 FA 代表 femoral artery,請問紅色線條代表那個解剖構造? (A) Fascia Iliaca (B) Fascia Lata (C) Fascia Cruris (D) Fascia Sartoriaca
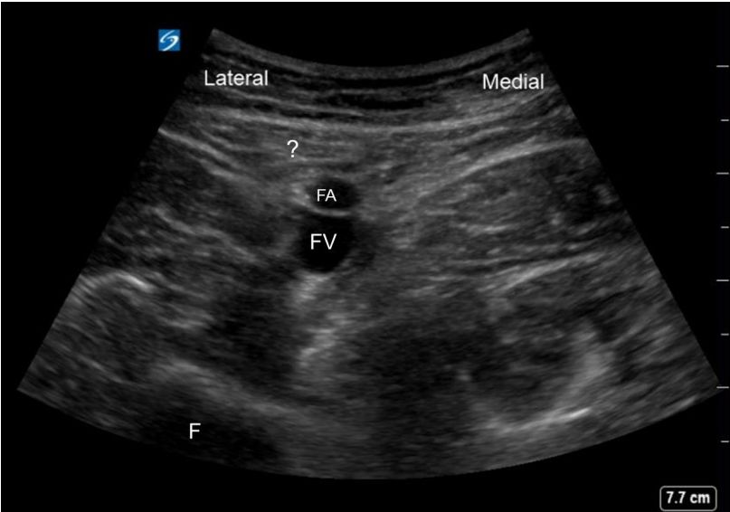
98. 進行 Adductor canal block (ACB)時,除 superficial femoral artery 尚須辨認重要的 thigh muscles,請問下圖標示” ? “是哪一條肌肉FA: superficial femoral arteryFV: femoral veinF: Femur(A) Gracilis muscle(B) Vastus lateralis muscle(C) Semitendinosus muscle(D) Sartorius muscle
99. 在進行 shoulder surgery 時,可以進行所謂 Phrenic nerve sparing shoulder block,以下超音 波影像中 AS 代表 anterior scalene muscle,MS 代表 middle scalene muscle,較小的黃色圈圈下有箭頭代表的是 phrenic nerve,較大的黃色圈圈代表 superior trunk of brachial plexus,紅色圈圈代表的解剖構造為何? (A) Platysma muscle (B) Sternohyoid muscle (C) Omohyoid muscle (D) Scalene posterior muscle
100. 47歲男性因左前降支動脈阻塞進行冠狀動脈繞道手術,於脫離體外循環之後,心電圖 (ECG) 及肺動脈楔狀壓力圖 (PAWP tracing) 顯示如圖。造成的原因最可能為何? (A) 主動脈剝離。 (B) 右心室功能異常。 (C) 左側心臟乳突肌功能異常。 (D) 心包填塞。