所屬科目:牙醫學(三)(包括齒內治療學、牙體復形學、牙周病學等科目及其相關臨床實例與醫學倫理)
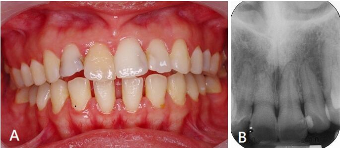
9.如圖,25歲男性於數年前右上門牙曾撞到,當時除疼痛外無其他症狀,也未曾就醫,目前檢查並無臨床任何症狀,電髓活性測試為無反應,有如圖A之變色,X光顯示如圖B。關於tooth 11,下列敘述何者正確? (A)牙髓產生鈣化現象,若無症狀,觀察即可 (B)應進行窩洞測試(test cavity)以確認牙髓活性 (C)需進行根管治療,以預防日後根尖病灶的形成 (D)牙髓在當時外傷應已壞死,只是未發生感染,觀察即可
31.臨床流行病學用於解釋診斷測試(diagnostic)與黃金標準(gold standard)的機會表(contingency table)如下圖,下列敘述何者錯誤? (A)B區域表示虛正反應(false positive) (B)D區域表示實負反應(true negative) (C)敏感性(sensitivity)是指A區域除以(A+C)區域 (D)特異性(specificity)是指A區域除以(A+B)區域
36.關於橡皮障夾(rubber dam clamp)構造的名稱,下列何者錯誤? (A)①:Bow (B)②:Points (C)③:Jaws (D)④:Beak
68.在切開及剝離牙齦時,欲保留齒間乳頭(interdental papilla)的完整,下列何種器械最不適合用於齒間 的區域? (A)(B) (C)(D)