所屬科目:牙醫學(三)(包括齒內治療學、牙體復形學、牙周病學等科目及其相關臨床實例與醫學倫理)
1.下列何者不是牙髓防禦機制(pulp defense mechanism)? (A)神經性發炎反應(neurogenic inflammation) (B)牙本質小管液體回流(fluid inflow) (C)動靜脈分流(arteriovenous shunt) (D)三度牙本質(tertiary dentin)形成
2.關於牙髓神經的敘述,下列何者錯誤? (A)主要的感覺神經是A fiber與C fiber (B)C fiber神經纖維分布在牙髓本體深部 (C)A fiber目前只發現A-α、A-β、A-γ三種神經纖維類型 (D)A-α神經纖維直徑比A-γ寬
3.有關造成根管感染的微生物(microbes),下列敘述何者錯誤? (A)初期根管感染多為革蘭氏陰性菌(gram-negative bacteria) (B)次氯酸鈉對革蘭氏陽性菌(gram-positive bacteria)比革蘭氏陰性菌(gram-negative bacteria)有更佳的殺菌效果 (C)Enterococcus faecalis是屬於兼性厭氧革蘭氏陽性菌(facultative anaerobic gram-positive bacteria) (D)唾液的一些成分可進到根管裡變成微生物的營養來源
4.根尖周圍炎的致病機轉(pathogenesis)與下列何者無關? (A)先天免疫反應(innate immune response) (B)適應性免疫反應(adaptive immune response) (C)神經性發炎(neurogenic inflammation) (D)自主免疫反應(auto immune response)
5.cementum是礦化無血管的結締組織,可分為三類,下列那一類位在靠冠部一半的牙根上? (A)無細胞及無纖維牙骨質(acellular afibrillar cementum) (B)無細胞及有外在纖維牙骨質(acellular extrinsic fiber cementum) (C)有細胞及有內在纖維牙骨質(cellular intrinsic fiber cementum) (D)有細胞及有外在纖維牙骨質(cellular extrinsic fiber cementum)
6.根據美國牙髓病學會2012診斷分類,最可能出現下列何種分類? (A)牙髓壞死(pulp necrosis)合併急性根尖膿腫(acute apical abscess) (B)可逆性牙髓炎(reversible pulpitis)合併慢性根尖膿腫(chronic apical abscess) (C)可逆性牙髓炎(reversible pulpitis)合併無症狀型根尖周圍炎(asymptomatic apical periodontitis) (D)牙髓壞死(pulp necrosis)合併硬化性骨炎(condensing osteitis)
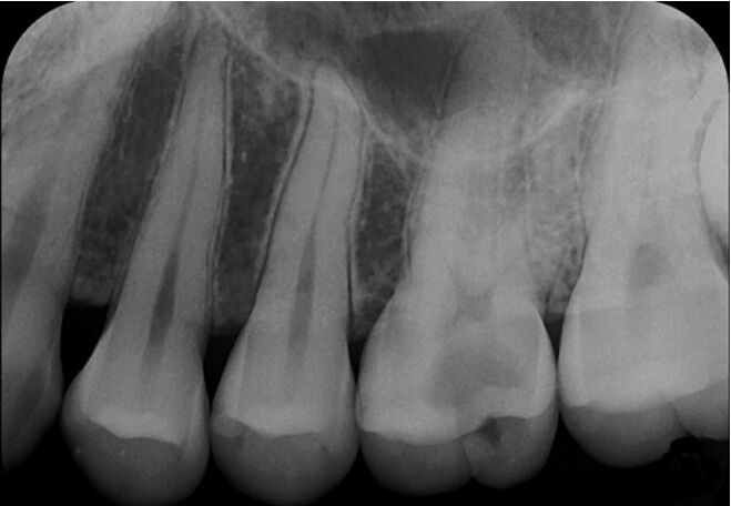
7.病人例行口腔檢查發現上顎左側第一大臼齒咬合面與遠心側有深部齲齒(deep caries),X光片如 圖所示,於探測時齲齒已深入牙髓腔。病人無自發性疼痛、冰與熱刺激皆有反應、無咬痛、敲診與觸診正常。針對上顎左側第一大臼齒的診斷何者正確? (A)牙髓診斷:可逆性牙髓炎(reversible pulpitis);牙根尖周圍診斷:正常根尖組織(normal apical tissue) (B)牙髓診斷:無症狀型不可逆性牙髓炎(asymptomatic irreversible pulpitis);牙根尖周圍診 斷:正常根尖組織(normal apical tissue) (C)牙髓診斷:無症狀型不可逆性牙髓炎(asymptomatic irreversible pulpitis);牙根尖周圍診 斷:無症狀型根尖周圍炎(asymptomatic apical periodontitis) (D)牙髓診斷:有症狀型不可逆性牙髓炎(symptomatic irreversible pulpitis);牙根尖周圍診 斷:無症狀型根尖周圍炎(asymptomatic apical periodontitis)
8.牙齒外傷分類中,診斷為複雜性牙冠斷裂(complicated crown fracture)的牙齒,下列敘述何者最適當? (A)通常需配合牙周病的相關治療 (B)牙根未發育完成之恆牙,以保留牙髓為優先考量 (C)牙根發育完成之恆牙,一律以進行根管治療為首選 (D)未來選擇使用複合樹脂或含釘柱之牙套復形,並不影響牙髓的治療計畫
9.外傷產生齒槽骨斷裂(alveolar fracture)時,下列敘述何者正確? (A)鄰近牙齒的牙髓壞死可能與其有關 (B)鄰近斷裂區的牙齒一般需及早進行根管治療 (C)若對牙髓測試無反應,無論有無症狀,都需進行根管治療 (D)使用根尖片與錐狀束電腦斷層(cone beam computed tomography, CBCT)可達到相同的診斷效果
10.由牙齒外傷所造成的各種牙根吸收,下列那一種無法經由根管治療而停止? (A)發炎性根尖外吸收(external apical inflammatory resorption) (B)發炎性牙根外吸收(external inflammatory root resorption) (C)取代性牙根外吸收(external replacement root resorption) (D)牙根內吸收(internal root resorption)
11.關於下齒槽阻斷麻醉(inferior alveolar nerve block)中麻醉藥劑的敘述,下列何者錯誤? (A)articaine 與lidocaine的成人最大劑量相同,都是700mg (B)bupivacaine相較於lidocaine作用(onset)較慢,但是麻醉時間幾乎是lidocaine的兩倍 (C)不含腎上腺素(epinephrine)的3% mepivacaine,其麻醉時間會縮短到約50分鐘 (D)1.8 mL及3.6 mL的2% lidocaine其麻醉效果相同,增加腎上腺素(epinephrine)的濃度也沒有明顯的效益
12.關於鎳鈦旋轉器械的敘述,下列何者正確? (A)radial land 的設計是為了增進效率與安全性 (B)器械的螺紋數(spirals)越多,螺紋角(helix angle)越小 (C)刀刃與切削表面的夾角對切削效率的影響不大 (D)如果同一支器械中使用不定螺距(variable pitch)的設計,通常器械的尖端螺距較小
13.因牙髓病變而產生顏面部腫脹之病人,若服用penicillin類抗生素2~3天後,臉部腫脹仍然沒有消 退跡象時,可以考慮加開下列那一項藥物以控制感染? (A)cephalosporin (B)clindamycin (C)metronidazole (D)tetracycline
14.在不考慮病人本身疾病史及過敏史的狀況下,下列那一類止痛藥為控制牙痛的首選用藥? (A)乙醯胺酚(acetaminophen) (B)非類固醇消炎止痛藥(non-steroidal anti-inflammatory drugs, NSAIDs) (C)阿斯匹靈(aspirin) (D)鴉片類藥物(opioid)
15.下列牙髓感染性的情況何者不需要給與全身性抗生素(systemic antibiotics)? (A)牙齦上的竇管(sinus tract at gingiva) (B)蜂窩性組織炎(cellulitis) (C)發燒(fever) (D)頭頸部淋巴腺腫大(lymphadenopathy)
16.下列何者是錐狀射束電腦斷層掃描(cone beam computed tomography, CBCT)應用於牙髓病診斷所建議採用的體素大小(voxel size)範圍? (A)<0.025 mm3 (B)0.075 mm 3~0.125 mm3 (C)0.20 mm 3~0.40 mm3 (D)0.50 mm3~0.80 mm3
17.下列何者不是根管治療直線入口(straight-line access)的優點? (A)可降低器械斷裂的風險 (B)可保留更多的健全齒質結構(sound tooth structure) (C)器械可直線放入根管開口 (D)使根管徹底清創更容易達成
18.以退展法(step-back technique)修形根管,由根尖開口往牙冠方向每退0.5 mm的號數分別為 No.30、No.35、No.40、No.45、No.50、No.55。則根尖處根管修形的錐度為何? (A)0.5 (B)0.05 (C)0.10 (D)0.15
19.關於軟組織傷口的癒合(wound healing),下列敘述何者正確? (A)血管生成(angiogenesis)通常在術後24小時內即已開始 (B)手術的目標主要希望達到組織能進行修復(repair),而非再生(regeneration) (C)在發炎階段(inflammatory phase),巨噬細胞(macrophage)數量的增加,會延遲組織的癒合 (D)在增生階段(proliferative phase),主要的關鍵細胞是成纖維細胞(fibroblast)與內皮細胞 (endothelial cells)
20.有關牙髓手術常使用藥劑的敘述,下列何者錯誤? (A)術前1小時必須常規給與NSAID止痛藥與抗生素,以助術後的止痛與感染控制 (B)止血膠網(Surgicel)為物理性止血劑,若殘留於手術區組織會延遲傷口癒合 (C)根尖手術前,通常建議使用0.12% chlorhexidine gluconate漱口以降低手術區域的細菌數量 (D)根尖手術局部麻醉通常建議使用含有1:50,000 腎上腺素(epinephrine)的麻藥
21.根管穿孔(canal perforation)通常在那個位置預後較差? (A)髓腔底部 (B)根管冠部齒槽骨嵴 (C)根管中段 (D)根尖處
22.關於移除根管中馬來膠的相關敘述,下列何者錯誤? (A)移除過程中應該合併使用電子根尖定位器,以避免馬來膠被帶出牙根尖外 (B)溶劑應該經常更換以維持其溶解效率 (C)許多鎳鈦旋轉器械也可以用來移除馬來膠 (D)對於先前過度充填(overextended obturation)的個案,可以考慮使用K-file以順時針方向逐步移除
23.預製金屬根柱有主動式根柱(active post)和被動式根柱(passive post),為了促進根柱的固 持性(retension),下列敘述何者錯誤? (A)主動式根柱的固持性主要來自於螺紋卡進根管壁,被動式根柱則來自於黏著劑 (B)主動式根柱在放置過程可能會發生垂直牙根斷裂 (C)被動式根柱中,平行根柱比錐形根柱更具有固持性 (D)平行根柱要移除更多的牙本質,比錐形根柱容易導致牙根斷裂
24.關於牙本質不正常鈣化(calcific metamorphosis)造成牙齒變色的敘述,下列何者錯誤? (A)與牙齒受外力撞擊有關 (B)牙冠呈現黃色或黃棕色 (C)牙髓通常會壞死,需要根管治療 (D)如病人要求,可先試行齒外漂白(external bleaching)
25.有關使用雙磷酸鹽藥物(bisphosphonates)靜脈注射的患者,下列敘述何者錯誤? (A)雙磷酸鹽藥物常用來治療骨質疏鬆 (B)雙磷酸鹽藥物有抑制骨吸收,維持骨密度的作用 (C)可能會產生骨性壞死 (D)牙齒發生病變,需要馬上拔牙
26.有關根管治療中根管銼針(file)分離之處置,下列敘述何者錯誤? (A)應立即告知患者,並協助轉診相關專科醫師協助處理分離器械事宜 (B)設法繞過分離器械進行進一步之擴大修形與充填 (C)避免醫療上之不必要糾紛,應考慮立即拔除並進行植牙等之替代處置方案 (D)應將分離器械後剩餘未分離部分保存於根管治療之病歷資料內
27.下列何種牙釉質通常不具有光滑的表面質地(surface texture)? (A)歇止性嚴重齲齒(arrested advanced caries) (B)鈣化不全牙釉質(hypocalcified enamel) (C)歇止性初期齲齒(arrested initial caries) (D)活躍性初期齲齒(active initial caries)
28.關於接觸區(contact area)的敘述,下列何者錯誤? (A)適當接觸區可協助維持牙齒位置的穩定性 (B)接觸區型態不當會增加牙周病風險 (C)接觸區通常位於牙齒鄰接面的中央偏舌側 (D)接觸區會隨著年紀增大
29.根據 Modified Keyes-Jordan diagram,影響齲齒風險率(caries risk)的因子中,下列何者不 屬於主要影響因子(primary modifying factors)? (A)性別 (B)唾液 (C)口腔衛生 (D)免疫系統
30.關於牙根齲齒進展快速之原因,下列敘述何者錯誤? (A)在高於pH值5.5環境下就可能去礦化 (B)牙根表面較粗糙且清潔不易 (C)蛀牙斷面型態呈現V-shape (D)近年牙根齲齒盛行率增加
31.針對於低(low)與高(high)齲齒風險且齒列完整的成人,分別建議多久進行X光放射線檢查? (A)低風險:12~18個月;高風險:6~12個月 (B)低風險:12~24個月;高風險:9~12個月 (C)低風險:24~36個月;高風險:6~18個月 (D)低風險:36個月以上;高風險:12~24個月
32.關於檢查齲齒方法的敘述,下列何者最不適當? (A)使用尖銳的探針用力地探測小窩與裂隙處 (B)眼睛觀察咬合面變色處 (C)用強光由頰舌側方向照射鄰接面 (D)以咬翼片(bite-wing film)檢查後牙鄰接面
33.關於第四代和第五代牙本質黏著劑,下列敘述何者錯誤? (A)第四代依照操作步驟,又稱Three step etch-and-rinse adhesives (B)第五代牙本質黏著劑將親水性底劑與厭水性樹脂合為一瓶以簡化黏著過程 (C)第四代黏著劑較第五代有較好的黏著強度表現 (D)此兩種黏著劑皆使用磷酸酸蝕以提高牙本質表面能(surface energy)
34.要在牙釉質上產生良好的黏著(adhesion),黏著劑(adhesive)的表面張力(surface tension)與牙釉質的表面能量(surface energy)之間的關係為何? (A)牙釉質的表面能量要大於黏著劑的表面張力 (B)黏著劑的表面張力要大於牙釉質的表面能量 (C)與牙釉質的表面能量無關 (D)與黏著劑的表面張力無關
35.使用牙本質黏著劑進行複合樹脂填補時,窩洞經磷酸酸蝕沖水後,過度吹乾將對牙本質表面的膠原 纖維(collagen fiber)造成何種影響? (A)可避免膠原纖維被水解 (B)膠原纖維會塌陷(collapse) (C)促進牙本質黏著劑滲入膠原纖維 (D)膠原纖維網狀體積會增加
36.下列那些位置的窩洞屬於第一類(class Ⅰ)修形?①後牙咬頭區 ②後牙頰舌側靠咬合面2/3區 ③上頷門齒舌側面 ④後牙咬合區 (A)僅①② (B)僅①③④ (C)僅②③④ (D)①②③④
37.關於牙齒修形的原則,下列敘述何者錯誤? (A)玻璃陶瓷(glass-ceramic)因不易彎折,窩洞邊緣須有1.5~2 mm厚度 (B)玻璃陶瓷(glass-ceramic)窩洞修形壁須與牙釉質外表面呈90° (C)複合樹脂窩洞任何修形壁須與牙釉質外表面呈90° (D)複合樹脂窩洞建議以鑽石鑽針修形,增加粗糙(roughness)度
38.比較汞齊合金與複合樹脂填補,下列敘述何者錯誤? (A)汞齊合金填補的窩洞設計較簡單 (B)汞齊合金填補有較高的初期邊緣滲漏(initial marginal leakage) (C)複合樹脂填補移除較少的齒質 (D)複合樹脂有較低的熱傳導率
39.下列那些方法無法減少複合樹脂聚合引起的收縮應力? (A)增加 C factor (B)使用0.5 mm厚度的流動樹脂做襯底(liner) (C)使用soft-start的光聚合模式 (D)分層填補
40.當牙齒處於脫水的狀態,比色時容易呈現何種誤差? (A)色調(shade)較淺;透明度(translucency)較高 (B)色調(shade)較淺;透明度(translucency)較低 (C)色調(shade)較深;透明度(translucency)較高 (D)色調(shade)較深;透明度(translucency)較低
41.複合樹脂填補後,邊緣產生白線(white line)的可能原因與下列何者無關? (A)邊緣斜面(bevel)過寬 (B)複合樹脂聚合收縮產生的應力過大 (C)沒有適當移除無支撐牙釉質(unsupported enamel) (D)塑形磨光不當(traumatic contouring and finishing)
42.關於第二級複合樹脂填補的完成(finishing)步驟,下列敘述何者正確? (A)當樹脂已光照硬化後,需等待24小時才可進行完成和拋光 (B)鄰接面邊緣多餘的樹脂不可使用研磨盤(abrasive discs)修整 (C)鄰接面牙齦緣的外懸(overhang)可使用12號刀片移除 (D)鄰接面牙齦緣不應以砂條(finishing strips)修整
43.針對大型的齒質缺損咬頭需進行覆蓋(capped),通常強烈建議進行咬頭覆蓋的缺損範圍標準為何? (A)缺損範圍為一級溝(primary groove)至外廓高隆線(hight of contour)1/2 (B)缺損範圍為一級溝(primary groove)至外廓高隆線(hight of contour)2/3 (C)缺損範圍超過一級溝(primary groove)至咬頭尖端1/2 (D)缺損範圍超過一級溝(primary groove)至咬頭尖端2/3
44.在進行一級汞齊填補前,若使用鑽針或挖匙(spoon excavators)移除齲齒,會在pulpal wall留下凹陷,凹陷的外圍保留部分平坦之構造(甲)稱為下列何者? (A)peripheral seat (B)retention groove (C)occlusal rest (D)base
45.關於汞齊(amalgam)的敘述,下列何者錯誤? (A)高銅汞齊是指含有重量40%的銅 (B)高銅汞齊與低銅汞齊相比,消除了比較弱的gamma 2相 (C)含鋅汞齊較不含鋅的汞齊機械性質高 (D)含鋅高銅汞齊受水分污染時,較含鋅低銅汞齊不會產生延遲膨脹(delayed expansion)
46.下列何種設計不會增加鑄造金屬嵌體(cast metal inlay)的固位(retention)? (A)增加垂直壁的外展(divergent)角度 (B)在鄰接面盒(proximal box)頰舌側做固位溝(retention groove) (C)將咬合面窩洞延伸到頰側/舌側面溝(facial/lingual surface groove) (D)裙邊形狀修形(skirt preparation)設計
47.關於金合金嵌體窩洞修形時,鄰接面的二度開展(secondary flare)的敘述,下列何者錯誤? (A)讓補綴物邊緣容易清潔 (B)建議產生小於30°的金屬補綴物邊緣,以便研光(burnish) (C)可產生較強牙釉質邊緣(enamel margin) (D)會增加金屬露出部分,影響美觀
48.有關樹脂冠蓋體(resin composite onlay)及瓷冠蓋體(ceramic onlay)的敘述,下列何者錯 誤? (A)樹脂黏合劑(resin cement)對樹脂冠蓋體比對瓷冠蓋體有更好的黏著效果 (B)瓷冠蓋體的長期咬合穩定度較樹脂冠蓋體佳 (C)可壓製陶瓷(pressable ceramics)比傳統長石瓷(traditional feldspathic porcelain)冠蓋 體較不易造成對咬牙齒的磨耗 (D)瓷冠蓋體比樹脂冠蓋體更容易在試戴(try-in)時裂掉
49.與直接複合樹脂填補比較,下列何者不是間接複合樹脂嵌體的優點? (A)聚合收縮較少 (B)嵌體具有較強的硬度 (C)可建立較理想的接觸(contact) (D)修形較簡單,可避免喪失過多的齒質
50.關於牙釉質的色彩表現,下列敘述何者錯誤? (A)厚的牙釉質比薄的牙釉質明度較高 (B)老年人因為牙釉質磨損,牙齒色相偏黃 (C)牙齒切端完全由牙釉質組成,會有乳白色(opalescent)效果 (D)切端光暈(incisal halo)是切端牙釉質鈣化程度較高所導致
51.患者因笑起來不好看求診(如下圖),下列何者為最適當的治療? (A)牙釉質修形(cosmetic contouring) (B)直接複合樹脂貼片(direct composite veneer) (C)間接陶瓷貼片(indirect porcelain veneer) (D)全瓷冠(all ceramic crown)
52.執行失活齒內漂白(internal bleaching),進行下列何種處理會增加牙根外吸收(external root resorption)風險?①強光照射 ②加熱處理 ③使用30%過氧化氫(hydrogen peroxide) ④使用10%碳醯胺過氧化物(carbamide peroxide) (A)①②③ (B)僅①② (C)①②④ (D)僅③④
53.下列何者不是內襯黏膜(lining mucosa)? (A)頰黏膜(buccal mucosa) (B)牙齦(gingiva) (C)齒槽黏膜(alveolar mucosa) (D)軟腭(soft palate)
54.關於成骨不全症(osteogenesis imperfecta)的敘述,下列何者錯誤? (A)大多為體染色體顯性遺傳(autosomal dominant form) (B)患者的口腔表徵包括牙本質發育不全(dentinogenesis imperfecta) (C)主要為第三型膠原蛋白(type III collagen)的缺陷 (D)治療藥物包括雙磷酸鹽(biphosphonate)和基因重組人類生長賀爾蒙
55.齒槽骨的原始頰舌側水平寬度為12 mm,牙齒拔除12個月後,此無牙區的頰側和舌側將分別喪失多 少骨頭? (A)2 mm;4 mm (B)4 mm;2 mm (C)3 mm;2 mm (D)3 mm;3 mm
56.下列何者的趨化作用(chemotaxis)最強? (A)IL-1β (B)TNF-α (C)IL-6 (D)IL-8
57.細菌DNA刺激免疫細胞是透過下列何者辨認(recognizes)DNA低甲基化(hypomethylated)CpG區 域的作用? (A)類鐸受體-2(TLR-2) (B)類鐸受體-4(TLR-4) (C)類鐸受體-6(TLR-6) (D)類鐸受體-9(TLR-9)
58.關於牙齦炎患者的診斷,下列敘述何者錯誤? (A)在牙周附連組織完整的個體,有無影像上的齒槽骨喪失是用來作為牙齦炎患者的診斷依據之一 (B)在牙周附連組織降低且曾患有牙周炎的患者,若全口探測流血位點<10%,探測囊袋深度≦3 mm, 則診斷為牙齦健康個體 (C)在牙周附連組織降低但未曾患有牙周炎的患者,若全口探測流血位點<10%,探測囊袋深度≦3 mm,則診斷為牙齦健康個體 (D)在牙周附連組織完整的個體,若全口探測流血位點≧10%,探測囊袋深度≦3 mm,則診斷為牙齦炎 患者
59.在2017 World Workshop公布的牙周病新分類中,下列何者不是評估牙周炎級別(Grade)的基本原 則? (A)不是所有個體對於牙周炎的易感性皆相同 (B)牙周炎進展和嚴重程度是多項影響因子共同作用的結果 (C)個體對於病菌感染所引起的宿主反應由單一影響因子調控,會影響臨床表現型 (D)部分患者需要更為複雜的治療策略來成功治療牙周炎
60.Papillon-Lefèvre syndrome病患有嚴重牙周病,與下列何種基因變異有關? (A)IL-1 (B)TNF-α (C)Cathepsin C (D)IL-10
61.25歲病人主訴牙齦紅腫發炎約一年之久,發炎牙齦旁有明顯牙菌斑堆積,但沒有齒槽骨喪失,若將 此紅腫的牙齦切除以組織切片觀察,可見下列何種明顯的變化? (A)牙齦組織內有很多的漿細胞(plasma cells) (B)牙齦組織內有膠原蛋白(collagen)的增加 (C)牙齦溝上皮(sulcular epithelium)往牙根端增生(proliferation),形成囊袋上皮 (D)牙齦溝內有大量巨噬細胞(macrophages)
62.關於慢性牙周炎的敘述,下列何者錯誤? (A)通常患者口腔衛生不佳,有大量牙菌斑及牙結石堆積 (B)精神壓力會影響慢性牙周炎的疾病進展 (C)口腔內有製作不良的牙齦下補綴物為促進因子 (D)未治療的牙齦炎是植體周圍炎的風險指標(risk indicator)之一
63.關於牙周刮匙(periodontal curettes)與鐮刀型結石刮(sickle scalers)的敘述, 下列何者 正確? (A)一般牙周刮匙刀刃的工作末端區只有一側有切削邊緣(cutting edge) (B)與鐮刀型結石刮相比,牙周刮匙較不會造成囊袋組織的撕裂外傷 (C)所有的鐮刀型結石刮只適合去除前牙的齒齦上牙結石 (D)鐮刀型結石刮比較適合刮除牙周囊袋上皮,可促進新的附連生成
64.在完全喪失齒間乳頭的廣闊齒間空間處最適合使用何種刷牙工具? (A)牙線 (B)單束毛牙刷 (C)牙間刷 (D)牙籤
65.Hamp等學者依據牙根分叉水平方向牙周侵犯的嚴重程度分為Class I、II、III,下列何者屬於二級的牙根叉侵犯(Class II furcation involvement)? (A)1 mm (B)2 mm (C)4 mm (D)頰舌側分叉侵犯相通(through and through)
66.下列那項因素不利於牙根叉侵犯以引導組織再生手術治療的效果? (A)牙齦為較厚的表現型(thicker phenotype) (B)齒間骨嵴(interdental crest)比牙根叉入口(entrance)靠近牙根尖的方向 (C)曾經根管治療過,但無根尖病灶 (D)牙齦邊緣覆蓋住牙根叉入口,無軟組織退縮現象
67.多顆牙齒需作根向移位翻瓣手術(apically displaced flap)時,使用何種縫合法(suture)最 佳? (A)連續縫合法(continuous suture) (B)垂直褥墊式縫合法(vertical mattress suture) (C)骨膜縫合法(periosteal suture) (D)間斷齒間乳頭縫合法(interrupted interdental suture)
68.下列何者並非骨切除手術(resective osseous surgery)的適應症? (A)外生贅骨(exostosis) (B)淺的骨陷口(shallow bone crater) (C)骨平台(bony ledge) (D)三骨壁骨缺損(three-wall bony defect)
69.游離牙齦移植體(free gingival graft)置於periosteum上後,移植體(gingival graft)會有 多少比例的收縮(shrinkage)? (A)20% (B)25% (C)50% (D)75%
70.下列何種翻瓣術適合用於引導組織再生手術(guided tissue regeneration)? (A)原始魏德曼翻瓣術(original Widman flap) (B)冠向移位翻瓣術(coronally advanced flap) (C)根向移位翻瓣術(apically advanced flap) (D)改良式魏德曼翻瓣術(modified Widman flap)
71.在牙周維護性治療(supportive periodontal therapy)檢查中,何種檢測較能反應目前牙周發炎 狀況? (A)牙齒搖動度 (B)牙齦探測流血 (C)X光檢查齒槽骨高度 (D)囊袋探測深度
72.關於牙周病與急性呼吸道感染,下列敘述何者正確? (A)社區型肺炎感染與吸入牙周病的感染性厭氧性細菌有關 (B)住院型肺炎的感染,可能與Haemophilus influenzae有關 (C)系統性抗生素給藥,即可有效控制住院型肺炎的感染 (D)在加護病房(intensive care unit)的被照護者,潛在的肺炎致病菌常出現在頰黏膜上
73.研究顯示心血管疾病(cardiovascular disease, CVD)與慢性發炎疾病有關聯,下列敘述何者錯 誤? (A)系統性發炎增高,是CVD與牙周病的共同危險因子 (B)急性的牙周病變、high-density lipoproteins(HDL)是CVD的致病因子 (C)牙周病的炎症反應可以擴散到遠端器官,激發肝臟發生急性反應,從而促進動脈粥樣化形成 (D)牙周囊袋的發炎潰瘍,使細菌侵入產生的菌血症,是動脈粥樣化形成的原因之一
74.關於進行牙周病治療的時機,下列敘述何者正確? (A)經診斷確定無牙周病的患者,應每3個月一次預防性回診 (B)高血壓且確定有心血管疾病的牙周病患者,牙周病治療應該延後 (C)高血糖HbA1c:9%的牙周病患,應在血糖控制下降後才可牙周病治療 (D)在第三孕期執行牙根清創或拔牙處置是安全的
75.和自然牙相比之下,植牙周圍會降低觸覺敏感性、反射功能和本體感覺,是因為缺乏下列何種結 構? (A)齒槽骨 (B)黏膜 (C)牙周韌帶 (D)角化牙齦
76.下列關於立即植牙的敘述,何者錯誤? (A)減少治療時間 (B)骨生成效果佳有助於植體與骨接觸 (C)將來可能需要黏膜牙齦手術以矯正因皮瓣手術而受影響的組織 (D)在剩餘骨量無法提供植體穩定時,只要無骨內病變,仍可以考慮
77.下列何者不是上顎竇提升術(maxillary sinus elevation)的禁忌症? (A)上顎竇感染 (B)上顎後牙區剩餘齒槽骨高度6 mm(C)嚴重過敏性鼻炎(allergic rhinitis)(D)上顎竇曾接受過放射線治療
78.植體斷裂是臨床上不易處理的併發症,下列何者不是造成的可能原因? (A)植體材料的疲乏(B)補綴設計的脆弱點(C)牙周炎(D)磨牙
79.關於植體周圍炎的研究顯示其病理機轉與牙周炎不同,下列何者錯誤? (A)植體周圍炎病灶處嗜中性白血球數量較多(B)植體周圍炎病灶和生物膜(biofilm)間缺乏表皮襯墊(epithelial lining)(C)植體周圍炎和牙周炎囊袋內的牙菌斑主要成分均為革蘭氏陰性厭氧菌(D)植體周圍炎病灶處在齒槽骨外有1 mm寬的未發炎結締組織
80.當植牙區的頰側角化牙齦寬度少於2 mm時,下列何種術式無法保留或增加角化牙齦寬度? (A)使用部分厚度皮瓣(partial thickness flap)(B)將含有角化牙齦的皮瓣縫合在更接近根尖處(C)在牙齦上以「打孔」(punch)切線方式,將植體暴露於口腔中(D)使用游離牙齦移植體(free gingival graft)縫合於傷口處