所屬科目:心臟科
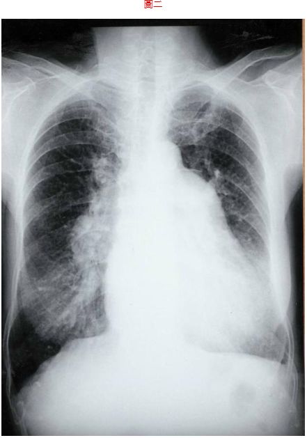
2. 75歲女性,從年輕時就常有感冒,這次來院主訴兩週來持續性呼吸困難。病人40歲時因感冒求診時,基層醫師就告知有心臟病。結婚後都因流產未生孩子,最近兩週有運動性呼吸困難,尚有食慾不振、拉肚子及腳腫。理學檢查血壓130/70 mmHg、76次/分,規則跳動,頸靜脈怒張,肺無囉濁音,但有異常心音,有輕微的肝腫。其心電圖(圖一 )及胸部X光(圖二 )如附頁;就心電圖紀錄,這位75歲老婦最顯著之異常有:(1). 右心室擴大(2). 左心室擴大(3). 所有心房心室都擴大(4). 肺動脈高血壓(5). 主動脈高血壓 (A) 1+2 (B) 1+3 (C) 1+4 (D) 1+5 (E) 2+4
6. 男性病人87歲因全身倦怠、食慾不振而住院。病人有三十多年高血壓性心臟病伴有腎功能異常。於民國83年起間有心房纖維顫動(atrial fibrillation; AF),民國88年起才持續AF,中間一度腦中風及二次心臟衰竭住院,也因此近四個月服用Aspirin 100 mg 1#qd,Spironolactone 25 mg 1#qd,Trichlormethiazide 1 mg 1#qd及Digoxin 0.125 mg 1#qd。這次病狀都在日本旅行時逐漸出現,乃緊急回國求醫。病人血壓140/80mmHg,體溫37.2℃,脈搏64/min,呼吸20/分,頸靜脈怒張,右下肺呼吸聲減低,心臟微大,有心尖心縮雜音,心律不整,其他尚無異常所見。心電圖如附頁圖三 。本心電圖之異常:(1) Atrial flutter fibrillation(2) Left bundle branch block(3) Right bundle branch block(4) Left anterior hemiblock(5) Left posterior hemiblock (A) 1+2+3 (B) 2+3+4 (C) 3+4+5 (D) 1+3+4 (E) 1+3+5
11. 23歲男性泰國勞工夜晚因痙孿(convulsion),口吐白沫被緊急送到急診,經電擊處理後,生命徵象恢復穩定,心電圖呈現如附頁圖四,理學檢查發現心臟無雜音,呼吸正常,身材正常無特殊異狀,動脈血氧飽合量為97%,CPK 182 U/L,Troponin I 無上昇。病人家族亦有年輕猝死者。下列診斷何者最恰當? (A) 心房中膈缺損。 (B) 肺栓塞。 (C) 左心室前壁梗塞。 (D) Brugada syndrome。 (E) Marfan's syndrome。