阿摩線上測驗
登入
首頁
>
放射線診斷原理與技術學
> 97年 - 97-2 專技高考_醫事放射師:放射線診斷原理與技術學#38412
97年 - 97-2 專技高考_醫事放射師:放射線診斷原理與技術學#38412
科目:
放射線診斷原理與技術學 |
年份:
97年 |
選擇題數:
80 |
申論題數:
0
試卷資訊
所屬科目:
放射線診斷原理與技術學
選擇題 (80)
1 下列何者不是針對副鼻竇的攝影技術? (A) Waters 攝影法 (B) 側面攝影法 (C) Caldwell 攝影法 (D) Law 攝影法
2 下列何種放射診斷攝影技術不包括在診斷眼眶週邊之顏面骨折的序列之中? (A) 側位(Lateral)攝影 (B) Waters 攝影(C) 後前位攝影(PA) (D) Stenvers 攝影
3 下列有關放射攝影時應用 X 光管之射束跟效應(Heel effect)的敘述,何者正確? (A) 胸椎(thoracic spine)攝影時陽極應朝向頭部(B) 小腿(tibia and fibula)攝影時陽極應朝向膝蓋(C) 前臂(forearm)攝影時陽極應朝向手肘(D) 腰椎(lumbar spine)攝影時陽極應朝向腳部
4 下列關於 Y 形肩胛骨側位攝影(scapular Y lateral position)的敘述,何者正確? (A) SID 至少為 72 英吋,以減少影像放大(B) 肩部脫臼患者的影像中,肱骨頭(humeral head)會在 Y 字交叉處之下(C) 採正側位姿勢,非患側手部應置於頭上(D) X 光中心線垂直射向腋下約 5-6 公分處
5 拍攝 sternum 時,下列敘述何者正確? (A) 採左前斜位(LAO)、較短時間曝露法、深度呼吸、低 kV 及低 mA 拍攝技術(B) 採左前斜位(LAO)、較長時間曝露法、深度呼吸、高 kV 及高 mA 拍攝技術(C) 採右前斜位(RAO)、較短時間曝露法、淺層呼吸、低 kV 及高 mA 拍攝技術(D) 採右前斜位(RAO)、較長時間曝露法、淺層呼吸、低 kV 及低 mA 拍攝技術
6 欲觀察頸椎的椎腳(pedicle)及椎間孔(intervertebral foramen)時,下列何種攝影最恰當? (A) 過度彎曲像(hyperflexion) (B) 前後位像(AP)(C) 側位像(lateral) (D) 斜位像(oblique)
7 觀察左側 T-spine zygapophyseal joint 之最佳姿勢為何? (A) 右前斜位(RAO) (B) 左前斜位(LAO)(C) 左側位(left lateral) (D) 右側位(right lateral)
8 下列何者可拍出較佳之 sella turcica? (A) Stenvers method (B) Towne 30 度 (C) Caldwell method (D) Lateral projection
9 下列有關生育年齡婦女之 X 光攝影之敘述何者錯誤? (A) 儘可能採取十日法則(10 days rule) (B) 儘可能採用低 mAs 攝影技術(C) 儘可能採用快速增感屏 (D) 增加攝影距離
10 下列何種攝影技術不適用於顏面骨(facial bones)檢查? (A) Lateral projection (B) Waters method (C) PA projection (D) Towne method
11 針對下列何種目標進行放射診斷攝影時,所使用的管電壓峰值最低? (A) 成人手指 (B) 嬰幼兒胸部 (C) 乳房 (D) 鼻骨
12 奇靜脈(azygos vein)主要引流下列何處之靜脈回流? (A) 前胸壁 (B) 後胸壁 (C) 下頸部 (D) 縱膈腔代號:4109頁次:7-2
13 當病患無法站立而又需要檢查其肺尖(lung apex)時,下列何種攝影為此時之最佳選擇? (A) AP projection (B) lateral projection(C) RAO 或 LAO projection (D) semi-axial AP projection
14 下列何種放射診斷攝影技術適用於檢查薦-腸骨關節(sacroiliac joint)病變? (A) 前後軸向攝影(AP axial outlet projection)與後斜位(posterior oblique)攝影(B) 前後單側邊髖骨(AP unilateral hip)攝影與前後(AP projection)攝影(C) 蛙腿姿勢(frog-leg position)攝影與前後(AP projection)攝影(D) 前後軸向(AP axial)攝影與前後單側邊髖骨(AP unilateral hip)攝影
15 下列何種頭顱攝影最能把 foramen ovale 及 foramen spinosum 表現出來? (A) Towne method (B) SMV projection (C) Law method (D) Haas method
16 有關大腸攝影檢查技術,下列敘述何者錯誤? (A) 應叫病人呼氣,然後將肛管朝肚臍方向自肛門插入(B) 應囑咐病人縮緊肛門擴約肌將肛管夾住避免脫落(C) 應囑咐病人收縮腹部肌肉以增加腹腔壓力,使鋇劑停留在大腸管腔內(D) 應囑咐病人集中精神以口呼吸,以減少大腸痙攣及絞痛
17 Pantomography(panorex)的主要目的在於呈現: (A) teeth 及 mandible (B) nasal cavity 及 maxillary sinuses(C) external ear canals 及 mastoids (D) orbits 及 ethmoid sinuses
18 下列有關雙重對比肩關節攝影之敘述,何者錯誤? (A) 主要在評估關節囊、肩旋轉環帶、關節軟骨及二頭肌之異常(B) 於 X 光透視機監視下,將顯影劑注入肩關節(C) 因有注射針孔,故不宜動病人的肩關節(D) 注射約 3-4 ml 之顯影劑及 10-12 ml 之空氣
19 子宮輸卵管攝影(HSG)最適合之施行時段,為病人處於月經來潮後多久? (A) 1-5 days (B) 7-10 days (C) 10-15 days (D) 16-26 days
20 下列何種方式,不屬於 Venous Access Devices? (A) Stent placement (B) Peripherally inserted central catheter(PICC)(C) Hickman line (D) Subcutaneous port
21 目前施行 Myelography 較適當的對比劑為: (A) 非離子性、水溶性 (B) 離子性、水溶性 (C) 脂溶性 (D) 鋇劑
22 婦產科檢查女性不孕症時常用下列何種檢查? (A) Pelvimetry (B) Hysterosalpingography(C) Fetography (D) Seminovesicography
23 下列何種檢查,將所有顯影劑注射完之所需時間最長? (A) Cerebral angiography (B) IVC venography(C) Lymphangiography (D) Hysterosalpingography
24 數位減贅血管攝影(digital subtraction angiography, DSA)檢查中,做為減贅依據之影像稱為: (A) mask image (B) mirror image (C) subtraction image (D) latent image
25 在 operative cholangiography 時,特別是對較瘦的病患,為了要使膽道與脊椎分開,通常需要採何 projection?(A) lateral (B) AP (C) slight LPO (D) slight RPO
26 下列何者之檢查中最無法施行介入性診療(如:取出結石)? (A) endoscopic retrograde cholangiopancreatography(B) percutaneous transhepatic cholangiography and drainage(C) magnetic resonance cholangiopancreatography(D) T-tube cholangiography代號:4109頁次:7-3
27 一般靜脈注射泌尿攝影之 AP projection(KUB),其中心射束應對準正中矢狀面的那一個高度? (A) 腸骨嵴 (iliac crest)(B) 劍突(xiphoid)至腸骨嵴 之 中 點(C) 腸骨嵴 至恥 骨聯 合(symphysis pubis)之中點(D) 劍突至肚臍(umbilicus)之中點
28 男童做 voiding cystourethrography 檢查時,排尿時最宜採用下列何種姿勢攝影? (A) AP (B) Lateral (C) RPO 或 LPO 60 度 (D) LPO 或 RPO 30 度
29 在靜脈注射泌尿道攝影檢查中,讓病患直立有助於下列何異常的診斷? (A) 游離腎(floating kidney) (B) 異位腎(ectopic kidney)(C) 重複腎(duplications of kidney) (D) 馬蹄腎(horseshoe kidney)
30 關於消化道攝影時所使用的鋇劑(barium sulfate),下列敘述何者正確? (A) 為一陰性對比劑 (B) 易溶於水(C) 在懷疑胃穿孔時使用 (D) 與水混合形成膠狀懸浮劑
31 下列那種體型的病患橫結腸的位置較易下垂? (A) 肥胖型 (B) 標準型 (C) 纖瘦型 (D) 健壯型
32 下列何種消化道攝影檢查是以鋇劑及 methylcellulose 做雙重對比檢查? (A) lower GI series (B) upper GI series (C) esophagraphy (D) enteroclysis
33 關於小腸攝影之敘述,下列何者錯誤? (A) 服用顯影劑前,一定要先照一張腹部素片(B) 喝約 2 杯(約 16 oz.)之鋇劑並記錄喝下之時間(C) 15 到 30 分鐘攝影目的在觀察鋇劑是否已至降結腸(D) 60 分鐘後須再照一張
34 下列何種 CT 的設計方式是最新的? (A) electron beam CT (B) 第三代 CT (C) 第四代 CT (D) Spiral CT
35 電腦斷層掃描 short geometry system 與 long geometry system 相比,前者的缺點是: (A) X-ray tube 到 isocenter 的距離較短 (B) X-ray efficiency 較差(C) image noise 較明顯 (D) 病人所接受的 X-ray dose 較高
36 理想下,電腦斷層掃描儀之 dose profile 和 sensitivity profile 應是什麼形狀? (A) sine (B) circle (C) square (D) triangle
37 電腦斷層掃描時使用掃描視野(field of view, FOV)= 20 cm,512 × 512 matrix,切片厚度為 5 mm, 此檢查的體積元素(voxel)為:(A) 14.5 mm3(B) 5 mm3(C) 0.8 mm3(D) 0.1 mm3
38 MTF(modulation transfer function)和電腦斷層中的下列何者有關? (A) 空間解析度(spatial resolution) (B) 時間解析度(temporal resolution)(C) 最長可掃描時間 (D) 最大可掃描範圍
39 下列何者可表示影像雜訊程度? (A) 算數平均值 (B) 中間值 (C) 標準差 (D) 幾何平均數
40 若要減少部分體積假影(partial volume artifact)時,應減小下列何者? (A) kVp (B) matrix size(C) 偵檢器數目 (D) post-patient collimator 寬度
41 下列何者 CT artifacts 的改正方法錯誤? (A) metal artifact-將不完整的 signal profile 以內插法補足(B) beam-hardening artifact-將 bowtie filter 改成 rectangular filter(C) partial volume artifact-將 slice thickness 縮小(D) ring artifact-更換破損的 detector
42 對一顏面骨外傷之病患,如欲以 CT 檢查得到其 3D 顱骨外觀之影像,應採下列何技術? (A) maximum intensity projection (B) shaded surface display(C) multiplanar reformation (D) volume rendering代號:4109頁次:7-4
43 假設 CT 之窗寬(window width)為 200,窗階(window level)為 0,則 CT 值在下列何範圍呈現灰 階?(A) 200 ~ 400 (B) 100 ~ 300 (C) -100 ~ 100 (D) -300 ~ -100
44 使用傳統的 CT 作為介入性診療導引的工具時,若和超音波儀(ultrasound scanner)或 fluoroscopy 相 較,主要有下列那一項缺點?(A) 醫療人員接觸較多的 X-ray(B) 缺少同步影像呈現(real-time display of images)(C) 不易定位(D) 無法進行肺部結節的取樣
45 在正常頭部電腦斷層影像中,下列何種構造之 CT number 最高? (A) 脊髓液 (B) 大腦灰質 (C) 大腦白質 (D) 顱骨
46 下列何種腎臟疾病在 CT 影像最常出現脂肪密度? (A) Angiomyolipoma (B) Hematoma (C) Polycystic kidney (D) Horseshoe kidney
47 附圖中箭號所指的構造為何?
(A) 門靜脈(portal vein) (B) 總膽管(common bile duct)(C) 下腔靜脈(inferior vena cava) (D) 上腸繫膜靜脈(superior mesenteric artery)
48 下列何者是影響 T1 effect 之最主要參數? (A) FOV (B) NEX (C) TR (D) TE
49 下列何者不是磁振造影特有的假影? (A) 化學位移假影(chemical-shift artifact) (B) 切除假影(truncation artifact)(C) 渦電流假影(Eddy currents artifact) (D) 射束硬化假影(beam-hardening artifact)
50 下列有關各組織 T2 的長短排序,何者正確? (A) 灰質<白質<CSF<Edema (B) CSF<Edema<灰質<白質(C) 白質<灰質<Edema<CSF (D) 灰質<白質<Edema<CSF
51 請問 FOV 小於檢查部位時,會產生何種假影? (A) 化學位移假影(chemical-shift artifact) (B) 移動假影(motion artifact)(C) 反摺假影(aliasing artifact) (D) 射頻雜訊(RF noise)
52 在反轉回復波序(inversion recovery sequence)中,反轉時間正好是某組織 A 的零點(null point) 時,會造成組織 A 的訊號作何變化?(A) 增強 (B) 最強 (C) 減弱 (D) 消失
53 由所附之 MRI 腦部影像,可知是何種影像?
(A) T1WI(T1 weighted images)(B) T2WI(T2 weighted images)(C) FLAIR(Fluid-attenuated inversion recovery)(D) DWI(diffusion weighted images)
54 磁共振檢查時使用 128 × 128 的矩陣,檢查範圍(FOV)為 40 cm,其畫素(pixel)大小為: (A) (1.56 mm)2(B) (0.78 mm)2(C) (3.12 mm)2(D) (0.39 mm)2
55 注射磁振造影顯影劑後會有下列何種現象發生? (A) 組織內的擴散常數(diffusion coefficient)增加(B) 組織的縱向回復時間縮短(C) 化學位移的頻率變化加大(D) 正常組織之間的對比度增加
56 由週期性脈動(如動脈)所造成的假影(ghost artifact)會出現在何方向? (A) 切面選擇方向 (B) 頻率編碼方向 (C) 相位編碼方向 (D) 主磁場方向
57 下列何者是對鐵磁性(ferromagnetic)敏感度最低的脈衝序列(pulse sequence)? (A) 快速自旋迴訊(fast spin echo) (B) 梯度磁場迴訊(gradient echo)(C) 平面迴訊造影(echo planar imaging) (D) 自旋迴訊(spin echo)
58 下列何種假影為射頻(RF)干擾所致? (A) truncation (B) magic angle (C) zipper artifact (D) aliasing
59 下列關於 Eddy current 的敘述,何者錯誤? (A) 與 shimming 有關 (B) 與梯度磁場系統有關(C) 與 RF 系統有關 (D) 與主磁場不均勻有關
60 附圖中線狀高回音性構造最可能為下列何者?
(A) 肝鐮韌帶(falciform ligament)(B) 肝圓韌帶(round ligament)(C) 靜脈韌帶(ligamentum venosum)(D) 主肝裂(main lobar fissure)
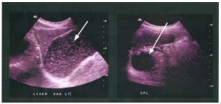
61 所附之超音波掃描圖係來自同一受檢者,左圖為左上腹的縱向切面掃描,右圖為左上腹冠狀面掃描, 箭號所指的同一個器官為:(A) 脾臟(B) 腎上腺(C) 大腸(D) 胃
62 當腹部主動脈管徑變大,超過多少管徑時即可被視為是擴張(ectasia): (A) 15-20 mm (B) 25-30 mm (C) 35-40 mm (D) 45-50 mm
63 做超音波檢查時選擇較高頻率的探頭可以達成下列何種結果? (A) 增加穿透的深度 (B) 增加影像解析度(C) 減少顯像的頻率(frame rate) (D) 增加音束的波長
64 脂肪肝之病人,超音波可見下列現象,何者除外? (A) 肝臟瀰漫性回音增強 (B) 遠端肝臟回音減弱(C) 肝臟回音比腎臟低 (D) 門靜脈壁之回音減弱
65 TGC(time gain compensation)的功能主要為: (A) 調整發射音波訊號大小 (B) 調整接受的音波訊號大小(C) 調整探頭頻率 (D) 調整探頭發射的總能量
66 下列有關腎上腺及其病灶之超音波掃描之敘述,那一項最有錯誤? (A) 正常的腎上腺右邊比左邊較容易偵測(B) 右邊的腎上腺位於右腎的上方及下腔靜脈的後方(C) 新生兒因為脂肪較多,故正常的腎上腺較成人難被偵測到(D) 有臨床症狀之腎上腺嗜鉻細胞瘤(pheochromocytoma)可由超音波偵測到
67 腎臟超音波檢查時,下列關於腎臟回音性的敘述,何者錯誤? (A) 正常腎皮質之回音比胰臟實質回音低(B) 腎臟實質部分之厚度正常應大於 1.3 公分(C) 正常腎髓質錐體(medullary pyramid)之回音較皮質高(D) 正常腎臟回音,以腎竇(renal sinus)最高
68 下列有關上腹部超音波掃描的敘述,何者錯誤? (A) 掃描胰臟尾部時,應採橫切面於腹部前方,且探頭順時針往肚臍部位掃描(B) 正常之總膽管應小於 6 mm(C) 正常之門靜脈應小於 13 mm(D) 為評估肝門(Porta hepatis),常須請病人深吸氣後閉氣
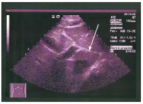
69 一病人主訴右上腹部疼痛,其右腎超音波之長軸切面如圖示,下列敘述何者正確?
(A) 腎臟先天性異常,可能具有雙套集尿系統 (B) 先天性血管異常(C) 腎惡性腫瘤 (D) 馬蹄腎
70 下列何種 X 光軟片的表面上具有最高密度的可回收銀(Ag, silver)? (A) 未曝光之一般攝影用 X 光軟片 (B) 未曝光之雷射軟片(C) 未曝光之乳房攝影軟片 (D) 已沖洗之任何類型軟片
71 數位影像要沖洗成底片時,會以圖中那一個區域作為中值光密度值(mid-density)的指標?
(A) 30%(B) 40%(C) 50%(D) 60%
72 在 kVp 正確性(accuracy)測試中,kVp 變動的差異性不可超過多少%? (A) 3 (B) 5 (C) 8 (D) 10
73 下列關於磁振造影影像均勻度的敘述,何者正確? (A) 影像均勻度只要 70%以上(B) 只需評估軸狀切面和冠狀切面的影像均勻度(C) 頭部線圈和身體線圈的影像均勻度,只需擇一評估即可(D) 主磁場不均勻可能影響影像的均勻度
74 電腦斷層的雷射光誤差不可超過下列何值? (A) 1 mm (B) 2 mm (C) 3 mm (D) 4 mm
75 下列關於 PACS broker 的敘述何者正確? (A) 位於 RIS(或 HIS)與 PACS 之間的一個介面(B) 具有多處直接接點於 RIS 與 PACS 之間(C) 無法從 RIS 接收 HL7 的訊息(D) 可進行影像的失真壓縮
76 若 CT 值可以呈現的範圍是-1024 到 3071,則該影像是用多少位元去儲存一個像素的灰階值? (A) 10 (B) 1024 (C) 12 (D) 4096
77 下列何者不包含在 PACS 標準格式中? (A) 位元組順序(byte ordering) (B) 檔頭格式(header format)(C) 矩陣大小(matrix size) (D) 編碼方式(encoding)
78 在顯示工作站中,下列何者會影響影像顯示的特性,並以 cd/m
2
表示? (A) 觀看者受視力(human perception) (B) 顯示器明亮度(luminance)(C) 環境噪音(noise) (D) 顯示器解像力(resolution)
79 網路路由器(router)的功能為何? (A) 連結二或多種相似或相異網路,如 WAN、MAN 或 LAN(B) 不同通訊協定轉換(C) 橋接相似網路但不同的媒介結構,如 thinnet 及 Ethernet(D) 減少影像大小
80 關於 CT angiography 的後處理(postprocessing),下列何者最正確? (A) Multiplanar reconstruction(MPR)無法分辨動靜脈(B) Maximum intensity projection(MIP)無法看出血管內的血栓(C) Shaded surface display(SSD)無法看出血管管腔內的病變(D) Volume rendering(VR)使用的是 sagittal volume data
申論題 (0)
相關試卷
115年 - 115-1 專技高考_醫事放射師:放射線診斷原理與技術學#137344
115年 · #137344
114年 - 114-2 專技高考_醫事放射師:放射線診斷原理與技術學#128969
114年 · #128969
114年 - 114-1 專技高考_醫事放射師:放射線診斷原理與技術學#125124
114年 · #125124
113年 - 113-2 專技高考_醫事放射師:放射線診斷原理與技術學#121691
113年 · #121691
113年 - 113-1 專技高考_醫事放射師:放射線診斷原理與技術學#118731
113年 · #118731
112年 - 112-2 專技高考_醫事放射師:放射線診斷原理與技術學#115920
112年 · #115920
112年 - 112-1 專技高考_醫事放射師:放射線診斷原理與技術學#113162
112年 · #113162
111年 - 111-2 專技高考_醫事放射師:放射線診斷原理與技術學#109901
111年 · #109901
111年 - 111-1 專技高考_醫事放射師:放射線診斷原理與技術學#106212
111年 · #106212
110年 - 110-2 專技高考_醫事放射師:放射線診斷原理與技術學#99941
110年 · #99941